DrDilshadD Profile Banner
Dilshad Dhaliwal Profile
Dilshad Dhaliwal

@DrDilshadD

Followers
571
Following
1K
Media
72
Statuses
547

PGY4 AP/CP Pathology, Baylor college of Medicine #dreamer #poet #Pathologist ๐Ÿ‡ฎ๐Ÿ‡ณ๐Ÿ‡จ๐Ÿ‡ฆ๐Ÿ‡บ๐Ÿ‡ธ

Houston, TX
Joined January 2010
Don't wanna be here? Send us removal request.
@Pathology_mcqs
Pathology mcqs
13 days
๐Ÿ’ฅ LEIOMYOSARCOMA simplified! WHO 2022 ๐Ÿ‘‰ Spindle, Epithelioid & Myxoid types with key histologic clues ๐Ÿ”ฌ ๐ŸŽ‰ Donโ€™t miss the Pathology Day 2025 offer โ€” 20% OFF on WHO-based modules! ๐Ÿง  #PathologyMCQ #WHO2022 #Leiomyosarcoma #PathologyDay
1
40
105
@DrKamleshDarji1
Dr Kamlesh Darji
12 days
Low power reveals truths that electron microscopy can never touch! #PathTwitter #HistoPathology #SurgicalPathology
1
8
41
@DrKamleshDarji1
Dr Kamlesh Darji
11 days
Grateful to my professors for imparting decades of wisdom in just a couple of hours. Every reporting is a masterclass in learning. Today's learning! #Pathology #PathTwitter #SurgicalPathology
0
9
40
@LizMontgomeryMD
Elizabeth Montgomery, MD
12 days
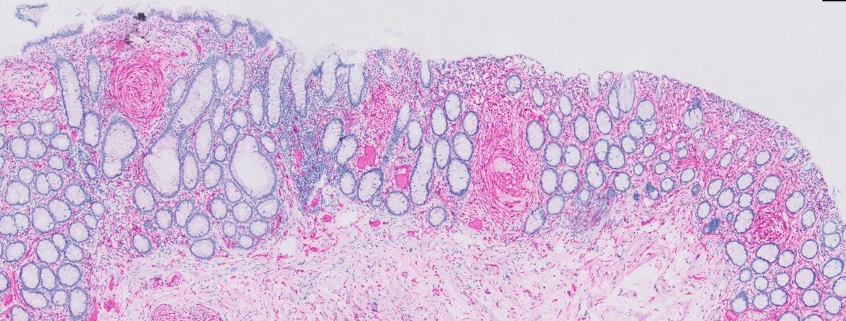
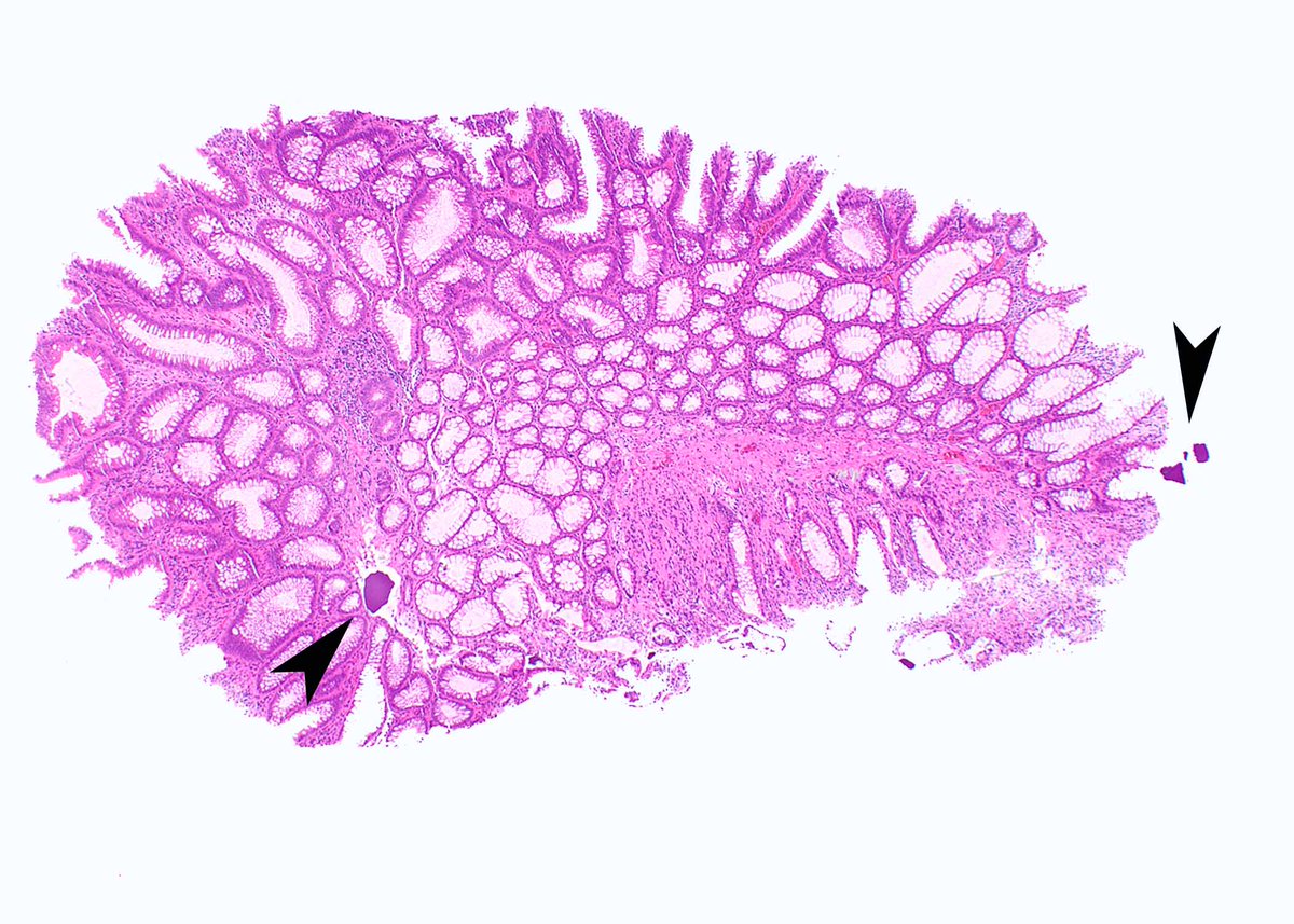
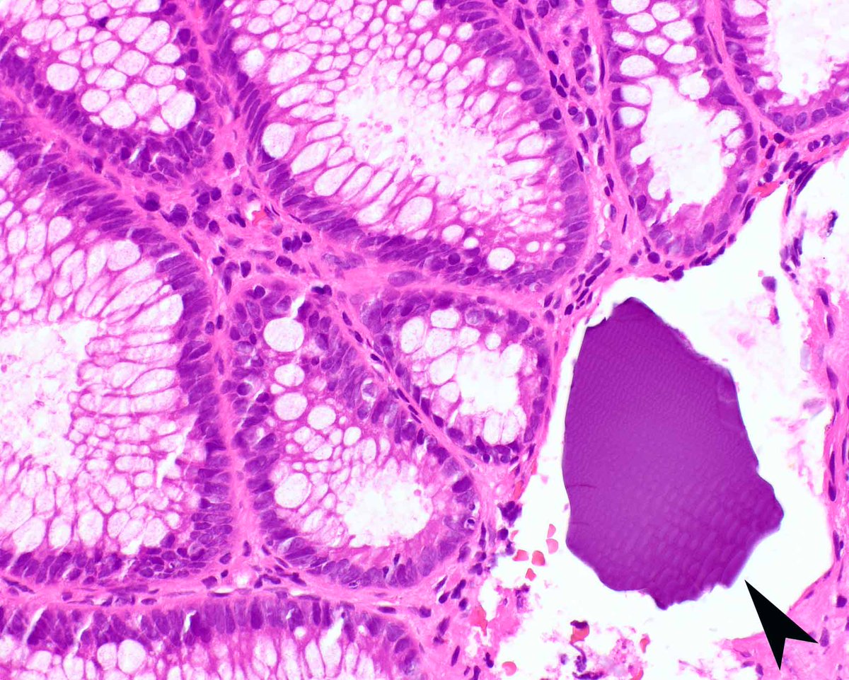
Adenoma accompanied by sodium polystyrene sulfonate (Kayexalate) without mucosal injury. Recent data show a limited association with mucosal injury, an issue in the past when it was administered in hypertonic sorbitol. Note the cracked appearance of the crystals. PMID: 39103605
0
10
54
@BMollamehmet
Begรผm, MD
13 days
๐Ÿ”ฌ Mucosal Schwann cell hamartoma. S100 lHC ๐Ÿฉท #GIPath
3
11
27
@Saroja_DeviG
Saroja Devi Geetha
13 days
Calling all #MedStudents If you are a first author on an @TheUSCAP abstract, apply for the Medical Student Travel Award! ๐Ÿ† $1000 + complimentary meeting registration at #USCAP2026 & 1 year membership Deadline: Dec 11 https://t.co/28RVyu0mXB #PathTwitter #FuturePathologist
foundation.uscap.org
0
2
2
@TaniaPlateroMD
Tania Platero
19 days
Excited to present our @MDAndersonNews experience on osteofibrous dysplasia and adamantinoma spectrum lesions at #USCAP2026! Thank you @TheUSCAP for the opportunity. #BonePath #PathTwitter
3
3
47
@DrDilshadD
Dilshad Dhaliwal
19 days
Lets go ๐Ÿ’ช๐Ÿป excited to have my abstract accepted at @TheUSCAP, looking forward to connecting with colleagues, mentors and friends ๐Ÿ™Œ at San Antonio TX
3
1
32
@Vik_deshpandeMD
Vikram Deshpande
25 days
Free Barrettโ€™s histology e-learning module! Sharpen your diagnostic skills and test your eye on challenging cases. Highly recommended ๐Ÿ‘‡ https://t.co/sMF634U2gk
7
54
123
@Saroja_DeviG
Saroja Devi Geetha
1 month
Ever seen โ€œcornflakesโ€ on a Pap smear? ๐Ÿฝ๏ธ That brown, crispy look on squamous cells isnโ€™t breakfast, itโ€™s air trapping! ๐Ÿ˜„ #PathTwitter #MedTwitter #CytoPath #Cytology #GYNPath #PathResidents
1
4
35
@TheUSCAP
USCAP
1 month
๐ŸŽ‰๐ŸŽŠ๐Ÿ™Œ
@slusagar
Ankur Sangoi
1 month
when youโ€™ve uploaded your final version of @TheUSCAP abstract #USCAP2026
1
1
17
@Carol2Path
Carol N. Rizkalla, MD
2 months
#USCAP2025 with Dr @MerceJorda1 Hyperchromasia is no longer a major criterion for high grade urothelial carcinoma @ParisSystem2- some high grades have glassy nuclei like polyomavirus, others have jet black chromatin instead of clumped โ€”> still HGUC #PathWebinarPearls
0
11
32
@AbhijitSurgPath
Abhijit Das, MD
2 months
Diffuse gliomas - basic facts for residents #whocnstumors #makesurgipatheasy
3
141
478
@GIJamesMD
GI James
2 months
@drtimbracey
Tim Bracey
2 months
Appendicitis with an incidental serrated epithelial proliferation. The preferred terminology is "serrated polyp" rather than SSL as they have different genetics to their colonic counterparts. NB this is not LAMN as the muscularis mucosae is intact @Pathoutlines @RaulSGonzalezMD
1
4
25
@VijayPatho
Vijay Shankar S
2 months
We are deeply saddened by the passing of Dr. Anita Borges, a doyen of pathology in India and an eminent pathologist of national and international repute. Her remarkable contributions, dedication, and zeal have left an indelible mark on the field of pathology, inspiring
52
64
325
@SadhikaSood
Sadhika Sood
2 months
๐ŸŒŽโœˆ๏ธ Applications are OPEN for the 2026 Global Partner Travel Awards! Join us at #USCAP2026 in San Antonioโ€”the worldโ€™s largest gathering of pathologists. 26 awards available (our biggest year yet!) ๐ŸŽ‰ ๐Ÿ”—Apply now:
foundation.uscap.org
Since 2009, USCAP Foundation has been working to improve global health outcomes. As the philanthropic arm of the United States and Canadian Academy of Pathology, USCAP Foundation supports access to...
0
2
3
@yalepathology
Yale Pathology
2 months
What is a surgical pathologist and how do you interpret their reports? Marie Robert, MD, Professor of Pathology and of Medicine (Digestive Diseases), discusses it with @KeithKountz of @WTNH. https://t.co/gILu1cIJfz
0
3
16
@DrDilshadD
Dilshad Dhaliwal
2 months
Join our residency program virtual house on 9/16/25 and meet our wonderful resident sharing their experiences ๐Ÿ˜‡
@BCM_PathRes
BCM_PathRes
2 months
Discover your future in pathology at Baylor College of Medicine. Join us for a virtual open house to learn more about our program. Sign up by 09/16/2025 5:00pm CST.
0
1
2
@BCM_PathRes
BCM_PathRes
2 months
Discover your future in pathology at Baylor College of Medicine. Join us for a virtual open house to learn more about our program. Sign up by 09/16/2025 5:00pm CST.
0
2
2
@IJSPjournal
Int J Surg Pathol
3 months
Fantastic review article on USP6-associated neoplasms/lesions for all #BSTPath aficionados out there! ๐Ÿ“œCheck it out ๐Ÿ‘‰๐Ÿผ https://t.co/iGgeL9nDvF #PathTwitter
0
14
34