
Zouheir Bitar
@zbitarsonoicu
Followers
2K
Following
2K
Media
1K
Statuses
3K
Intensivist and Critical care ultrasound . Associate editor at clinical case reports and health science Reports .
The Capital, Kuwait
Joined August 2019
Normal femoral vein flow Doppler for comparison. Note the respiratory modulation and wide monophasic negative vein flow velocity representing antegrade vein flow with minor retrograde vein flow components.
0
0
2
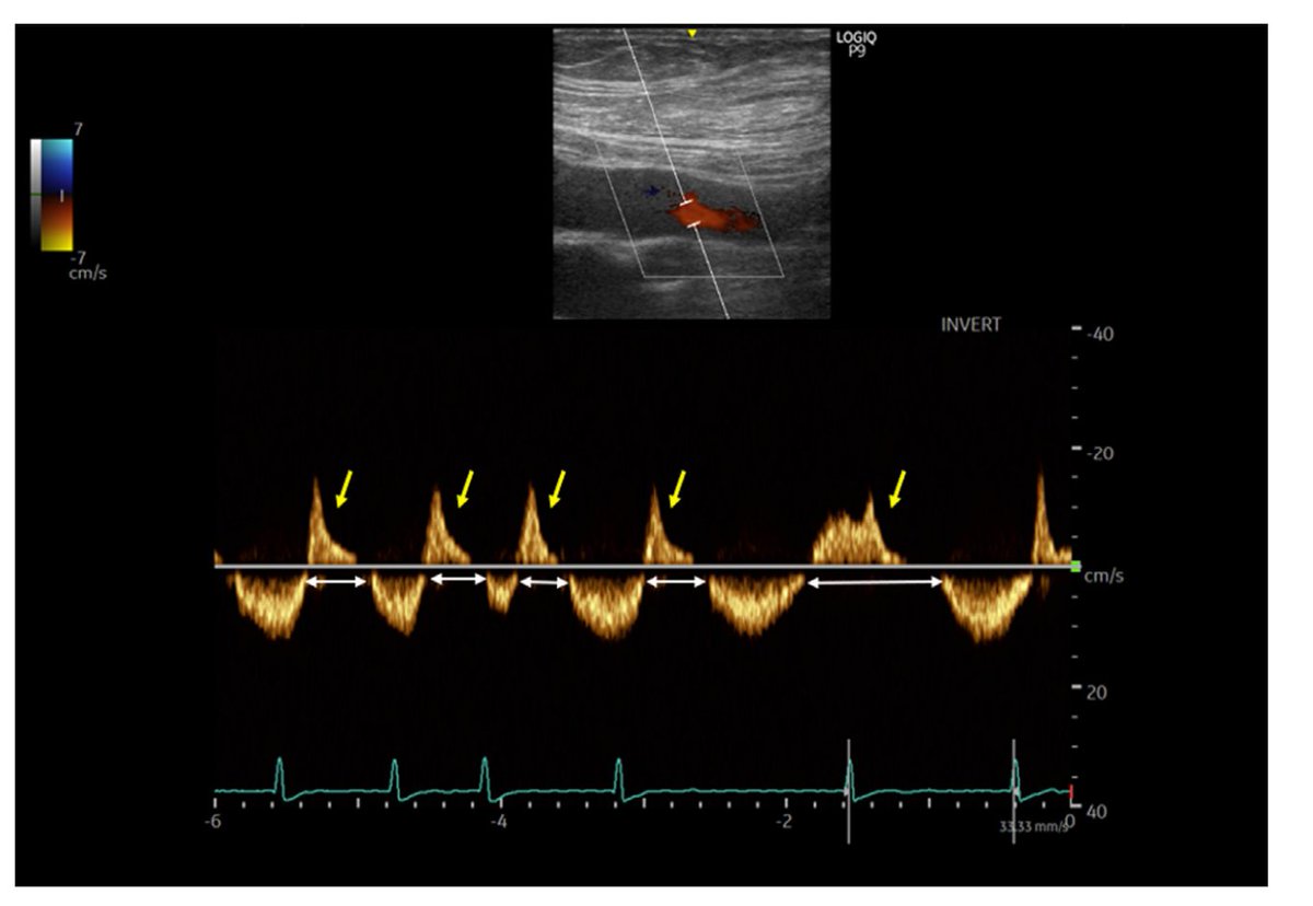
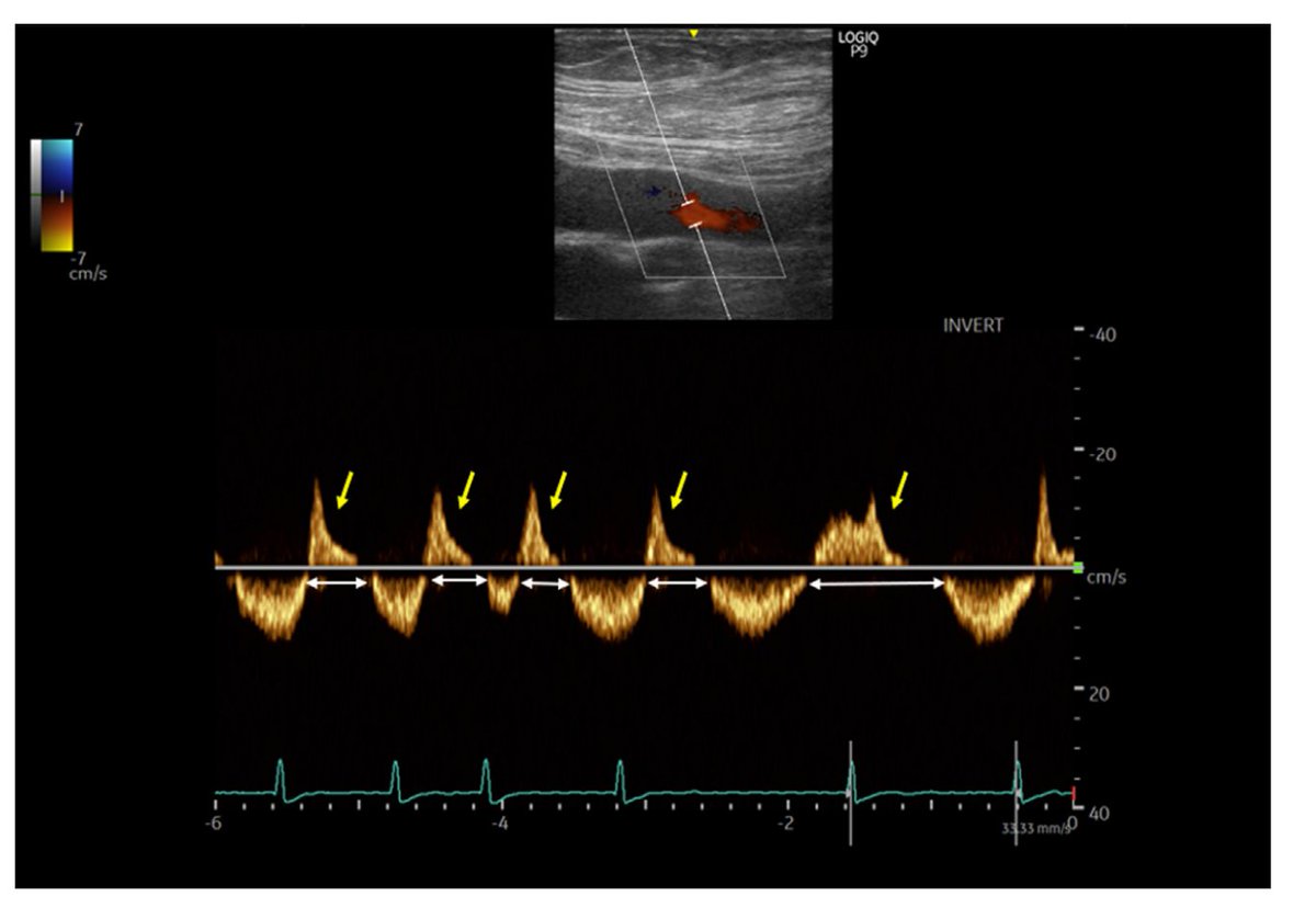
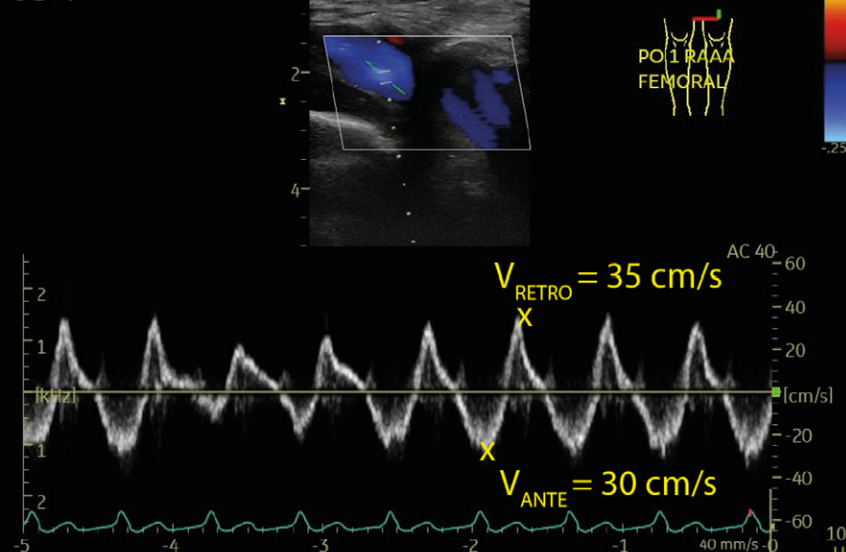
The femoral vein spectral display demonstrates a highly pulsatile waveform with significant flow interruptions (white arrows) and prominent retrograde waves above the baseline (yellow arrows), suggestive of severe venous congestion.
1
0
1
Antegrade femoral vein flow velocity representing vein flow from the periphery to the right side of the heart is 30 cm/s, whereas retrograde velocity of 35 cm/s represents systolic flow reversal, right ventricular dysfunction
1
0
2
Femoral vein Doppler pulsatility in venous congestion Serial femoral vein Doppler in a patient with severe venous congestion, and after 4 days of diuresis 1 . Femoral vein flow is biphasic with an important retrograde component
1
4
6
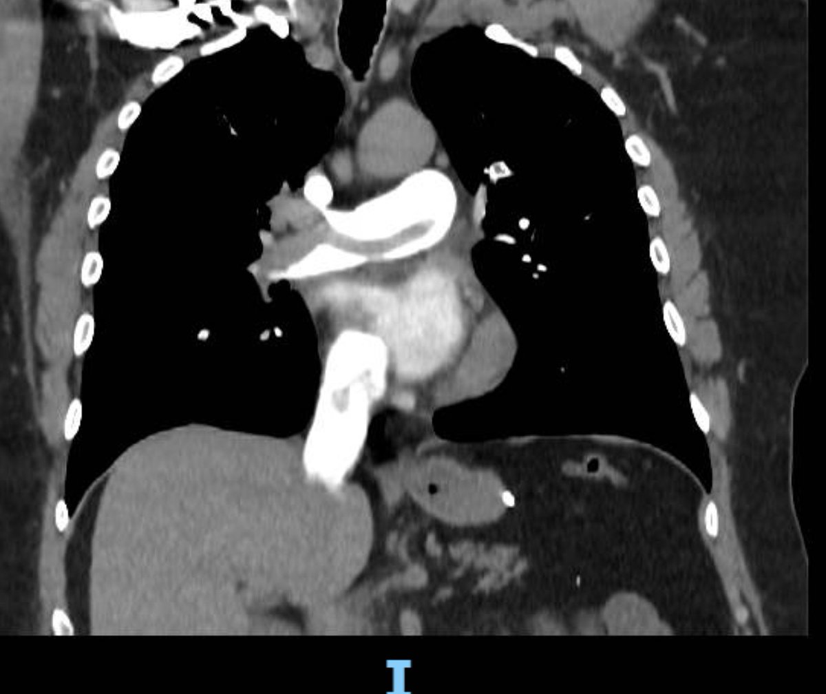
dilated ascending aorta with a clear flap, arch of aorta, and descending aorta down to renal arteries. The plan changed to CT aortography, and the patient was taken to the cardiac OR. The whole aorta was repaired successfully
0
1
11
Should we perform echocardiography for all STEMI patients? 55 A 55-year-old man with severe chest pain, high blood pressure, and STEMI, activated primary PCI. Point-of-care echo showed below @POCUS @HoosierPocus @EchoCases
11
21
68
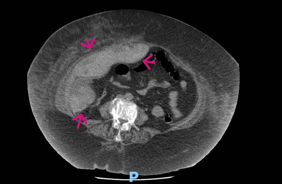
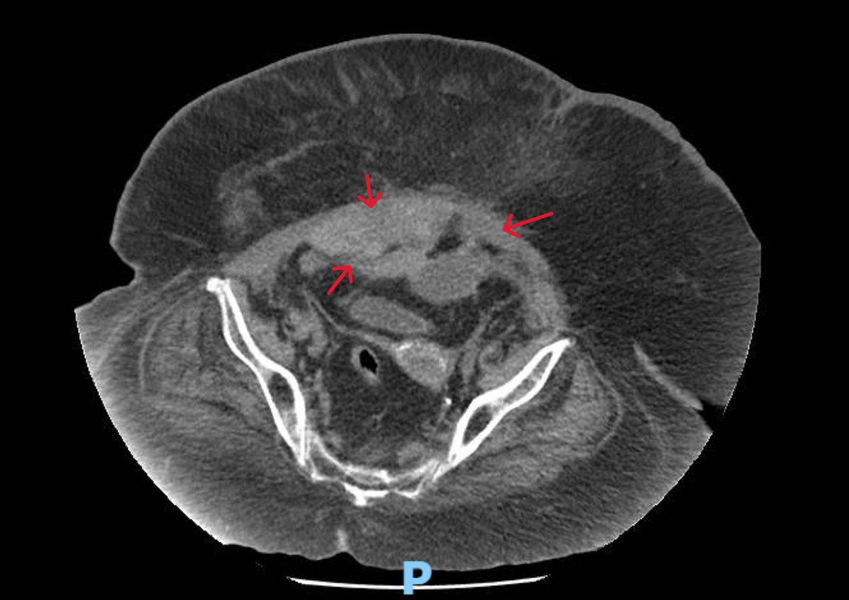
CT abd confirmed an intramuscular and intraperitoneal hematoma. Most probably related to dual antiplatelet and cough
0
0
1
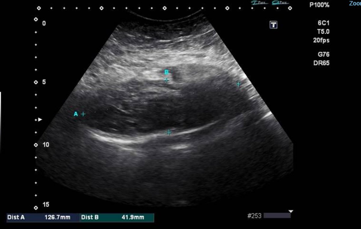
muscular hematoma An 84-year-old with morbid obesity, type 2 resp failure, admitted with acute dropping of hemoglobin to 6 gm and right abdominal pain. POCUS showed right abd muscular huge hematoma
3
3
11
1
9
40
Delighted to share the final typeset version of the 1st Joint EACVI/ACVC/@EACTAIC Expert Consensus on Cardiac Ultrasound in Cardiovascular Emergency & Critical Care — now the most-read article in EHJ–CV Imaging! 🫀 #EACVI #EchoFirst #POCUS #CriticalCare Open access 👇
11
84
203
0
3
15
Left atrial two-dimensional static and functional parameters, together with mitral pulsed-wave Doppler, can help determine whether a rhythm versus rate control strategy is more suitable for arrhythmia management.
0
0
0
Echocardiography-guided management of atrial fibrillation Critical care echocardiography is an invaluable tool for the management of atrial fibrillation and other supraventricular arrhythmias in intensive care. Intensive Care Med https://t.co/I2CjKSkJLd
1
0
2
Arterial aneurysms are among the rare vascular manifestations of HIES. We present a case of a 17-year-old girl who had a known history of HIES since childhood. She had a large thoracic descending aortic aneurysm, which required surgical repair to prevent complications
0
0
1
Hyperimmunoglobulin E syndromes (HIES) are a heterogeneous group of primary immunodeficiencies sharing manifestations including recurrent lung infection and significantly raised serum levels of immunoglobulin E.
1
0
1
New publication, JACC case reports A Huge Thoracic Aortic Aneurysm as a Rare Complication of Hyperimmunog... https://t.co/iiAyH7bCaE
#POCUS, @ABCDEcografia,@AAlFares79, @icmteaching, @Omkolsoumyahoo1, @NephroP
2
2
8
0
0
3
right ventricle dilatation and hypokinetic lat wall with active apical region. CT pulmonary angiography confirmed the presence of thrombus at the PA and extended to the right and left arteries. Considered intermediate high risk and given thrombolysis with good response
1
1
6
A visualized pulmonary arterial thrombus A 62-year-old man presented to the ER with H/O minor chest trauma and localized tenderness of 3 days duration with dyspnea! Because of hypoxia in the room air, echocard was done with saddle embolism at the bifurcation of the pulmonary A
5
6
13