vdelbrutto Profile Banner
Victor J. Del Brutto, MD, MSc Profile
Victor J. Del Brutto, MD, MSc

@vdelbrutto

Followers
598
Following
699
Media
17
Statuses
171

Stroke Neurologist trained at the University of Chicago, University of Miami Miller School of Medicine and Jackson Memorial Hospital

Miami, FL
Joined April 2019
Don't wanna be here? Send us removal request.
@vdelbrutto
Victor J. Del Brutto, MD, MSc
2 months
Very much looking forward to it! @caseyalbin @vijaykramanan
@caseyalbin
Casey Albin, MD
2 months
Registration is open!!! Vijay Ramanan and I have a STAR-STUDDED line up of speakers for the Update curricular, including some X favs!! @MarcusVPinto @AaronLBerkowitz @vdelbrutto @HeraKamdar and so many more excellent educators!! Will be there Thursday-Sunday and cannot wait!!!!
0
0
7
@UMiamiNeuro
UMiami Neurology
3 months
We’re excited to announce that we’ve been ranked #23 in the nation for Neurology & Neurosurgery by U.S. News & World Report for 2025! 🧠✨ @umiamimedicine @UMiamiHealth @DrJRomanoNeuro
1
10
37
@AshuPJadhav
AshuJadhav
5 months
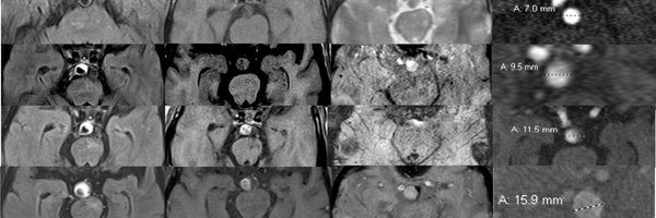
Stroke thrombectomy of a mural thrombus in a severe dolichoectatic basilar artery with double parallel large stent retrievers and Sofia 88 https://t.co/yA3Lfc7fzH
1
11
38
@odelbrutto
Oscar Del Brutto
6 months
Proud to see that G3 Genes, Genomes, Genetics has selected a photo from our article for the cover of the April issue this year!
0
2
7
@DrJRomanoNeuro
Jose Romano, MD, FAHA, FAAN, FANA
8 months
U.S. News Voting for “Best Hospitals” Opens Soon. We hope to earn your vote as one of the most advanced Neurology and Neurosurgery programs in the country. Read more about our accomplishments and vote at https://t.co/Zp1NY3trUE @univmiami @UMiamiNeuro
1
4
13
@Jorge_Ortiz_G
Jorge G. Ortiz-Garcia, MD, MSCR, FAAN
9 months
Join us today at 2 PM PST for an engaging session on Dolichoectasia! I'll be moderating alongside four outstanding experts: Dr. Gutierrez, Dr. Qiao, Dr. Del Brutto, and Dr. Winkler. Don't miss it! . . #Dolichoectasia #ISC25 #ISC2025 @StrokeAHA_ASA @AHAMeetings @AHAScience
1
2
17
@odelbrutto
Oscar Del Brutto
10 months
CVD Symposium UEES
0
1
15
@RevEcuatNeurol
RevEcuatNeurol
10 months
Una excelente oportunidad de actualización en el tema #stroke #strokeconference ¡No se la pierdan!
0
3
6
@caseyalbin
Casey Albin, MD
1 year
Now I have the Twitter handle to give credit to @vdelbrutto for this awesome slide summary!
@caseyalbin
Casey Albin, MD
1 year
Amazing slide for some of the key trials in ICH: #AANFC
1
8
42
@AANmember
American Academy of Neurology
1 year
Shoutout to our Emerging Leaders program participants! 👏 We're excited to kick off the 2024-2025 cohort this weekend in Las Vegas. #NeurologyProud #NeuroTwitter #AANleadership
2
11
53
@odelbrutto
Oscar Del Brutto
1 year
DOI: 10.1080/14787210.2024.2409404
0
3
7
@ShadiYaghi2
Shadi Yaghi
1 year
The “sub-occipital rind” sign is when there is thickening of the vertebral artery wall at the V3/4 junction caused by an intramural hematoma that suggests a vertebral artery dissection. https://t.co/sjsDTWPEWJ #stroke #CAD #cervical #artery #dissection #MedEd #neurotwitter
2
14
47
@UTHoustonStroke
UTHealth Houston Vascular Neurology
1 year
@UTHealthHouston @UTHNeuro @UTHealthStroke Kickin' off the new academic year with Vascular Neurology Grand Rounds on Dolichoectasia and Ischemic Stroke by the phenomenal Dr Del Brutto @vdelbrutto @UMiamiHealth @umiamimedicine
0
7
17
@UMiamiHealth
UMiami Health System
1 year
We welcome Dr. Jose Romano (@DrJRomanoNeuro) as the next chair of @UMiamiNeuro 🎉🙌! His expertise as a clinician & researcher has made him a leader in #stroke care & #research, while being vital to the department's national reputation and clinical growth. https://t.co/RM7vbE7LXp
Tweet card summary image
news.med.miami.edu
Chair Dr. Jose Romano has been named full chair of the 20th-ranked U.S. News & World Report neurology program.
0
10
36
@vdelbrutto
Victor J. Del Brutto, MD, MSc
1 year
🫶🏻 @candrade1963
0
0
3
@vdelbrutto
Victor J. Del Brutto, MD, MSc
2 years
Great time today surrounded by brilliant #stroke neurologist at #AANAM during stroke session en español! @DrKarenOrjuela @Jorge_Ortiz_G @DanielVelaMD @neurologiagye #AAN2024
1
1
24
@neurologiagye
Rocío Santibáñez Vásquez 🇪🇨
2 years
Excelente sesión en español sobre Ictus/Stroke dirigida por @vdelbrutto @AANmember #AANAM 🇪🇨❤️ @DrKarenOrjuela 🇨🇴
0
1
18
@ATHjournal
Atherosclerosis
2 years
Individuals with high fish intake are almost 2⃣ times less likely to have moderate-to-severe intracranial artery stenosis than those with low 🐟 intake 🔗 https://t.co/aqJqjfHHLN @society_eas #CardioTwitter @vdelbrutto
2
16
36
@StrokeAHA_ASA
Stroke AHA/ASA
2 years
Some of the Blogging Stroke and digital media crew (including podcast) met up at #ISC24 - dedicated to bringing attention to exciting emerging science @ArgyeH @shleester405 @Stroke_doc @vdelbrutto
1
2
19
@StrokeAHA_ASA
Stroke AHA/ASA
2 years
#Stroke Digital Media Editors @vdelbrutto @brianmacgrory @DrKarenOrjuela @Stroke_doc @shleester405 will be taking over the @StrokeAHA_ASA account during #ISC24 this week. Follow along for live updates and session highlights from the conference.
0
2
5