t_intheleadcoat Profile Banner
Venkat Tummala MD Profile
Venkat Tummala MD

@t_intheleadcoat

Followers
5K
Following
21K
Media
839
Statuses
7K

Vascular & Interventional Radiologist Associate CMO Penumbra

Joined July 2019
Don't wanna be here? Send us removal request.
@t_intheleadcoat
Venkat Tummala MD
3 days
4
0
26
@ChengaziMD
Harris Chengazi
6 days
@t_intheleadcoat The biggest part of “routine” has come from being clinical… we see patients for portal hypertension, not ‘just TIPS’ - collaborating with our GI and hepatology colleagues has moved the needle just as much as ICE and steerable needles @ebtapper @md_myer @BlaneyMD
2
1
11
@t_intheleadcoat
Venkat Tummala MD
7 days
💯
@ChengaziMD
Harris Chengazi
7 days
@t_intheleadcoat Not only is it life saving in acute situations - it’s life prolonging when done early in appropriately selected patients! And it has a bit of everything, a flagship IR procedure - truly minimally invasive surgery!
0
0
2
@t_intheleadcoat
Venkat Tummala MD
7 days
Life saving intervention..looking back 25 some years, couldn’t know in my wildest dreams that I would be able to, but I am fortunate & it has been a privilege to be able to offer it to patients in dire circumstances.
@DrAkhilX
Dr. Akhil 🇮🇳
7 days
What is this procedure❓️
2
0
31
@t_intheleadcoat
Venkat Tummala MD
9 days
Those are phenomenally consistent case times for TIPS !👏🏾
@ChengaziMD
Harris Chengazi
9 days
4 TIPS this week, 3/4 with moderate sedation, all under 30 mins to stent deployment. ICE and steerable needles are the future!
2
0
17
@IRKhalsa
Raj Khalsa, MD, MBA
10 days
@t_intheleadcoat @SIRRFS @kmadass @keithppereira @SDhandMD @IR_Doctor Learning all sorts of tricks from this thread
0
1
4
@ChengaziMD
Harris Chengazi
10 days
@t_intheleadcoat @DonGarbettMD @SIRRFS @kmadass @keithppereira @SDhandMD @IRKhalsa @IR_Doctor In native tracts I sometimes like using the metal stiffening cannula of new tube as a styler to disrupt crust, and provide ample support for pushing a wire to crest channel. Can also perforate tube with back end of glide wire and then navigate alongside outside occlusion But
2
1
4
@kmadass
Kumar Madassery
10 days
@t_intheleadcoat @SIRRFS @keithppereira @SDhandMD @IRKhalsa @IR_Doctor Can see two separate catheters and wires before pulling the encrusted ones
2
1
9
@bahetimd
Aparna Baheti, MD
11 days
@t_intheleadcoat @SIRRFS @kmadass @keithppereira @SDhandMD @IRKhalsa @IR_Doctor This very recently happened to me! Options- snake a snare onto it and then into the renal pelvis. Put glidewire into snare, remove old crusty tube. Also this is when I found out they made a glidie-er stiff glide than the regular stiff glide (it’s a cardiology wire- I’ll see if
0
1
2
@DonGarbettMD
Don Garbett
11 days
@t_intheleadcoat @SIRRFS @kmadass @keithppereira @SDhandMD @IRKhalsa @IR_Doctor Roadrunner “nimble” wire, the white one. It’s the slipperiest of the slippery wires, hold on tight. If it’s encrusted then run a tough stitch though the external end of the NU and back out through a 12 fr dryseal sheath. The sheath is flexible and hydrophilic enough to glide over
4
1
7
@maninbsir
Mani NBS
11 days
@t_intheleadcoat @SIRRFS @kmadass @keithppereira @SDhandMD @IRKhalsa @IR_Doctor Have two ideas which have come in handy...assuming we have exhausted wires thru stent. 1. Long peelaway sheath with a wire thru the stent to pull and drive peelaway in. 2. Get a buddy catheter plus wire and go along side of stent. @sirrfs @WashUIR @SIRspecialists @sash
1
1
7
@DoctorCliffyy
@DoctorCliffyy
11 days
@t_intheleadcoat @SIRRFS @kmadass @keithppereira @SDhandMD @IRKhalsa @IR_Doctor Cut a small side hole in the tube and get a glide wire advantage to track alongside the tube and into the system Push the floppy part into ureter Walk it off Exchange
1
1
3
@laronecampbell
M. Larone Campbell
11 days
@t_intheleadcoat @SIRRFS @kmadass @keithppereira @SDhandMD @IRKhalsa @IR_Doctor Encrusted? These can go sideways fast if not careful. Often a glidewire can track alongside the stent (similar to clogged antegrade PCN/GJ tubes). 👀 to see what you did
2
1
2
@smbracewell
Stephen M. Bracewell
11 days
@t_intheleadcoat @SIRRFS @kmadass @keithppereira @SDhandMD @IRKhalsa @IR_Doctor These are tough cases for a routine exchange- and go by many names- reverse PCN- diversionary catheter- and "single J"- if no wire will go through, can always take a KMP alongside it, get a wire up and slowly pull as to not dislodge your buddy wire, otherwise, crossing catheter
1
1
3
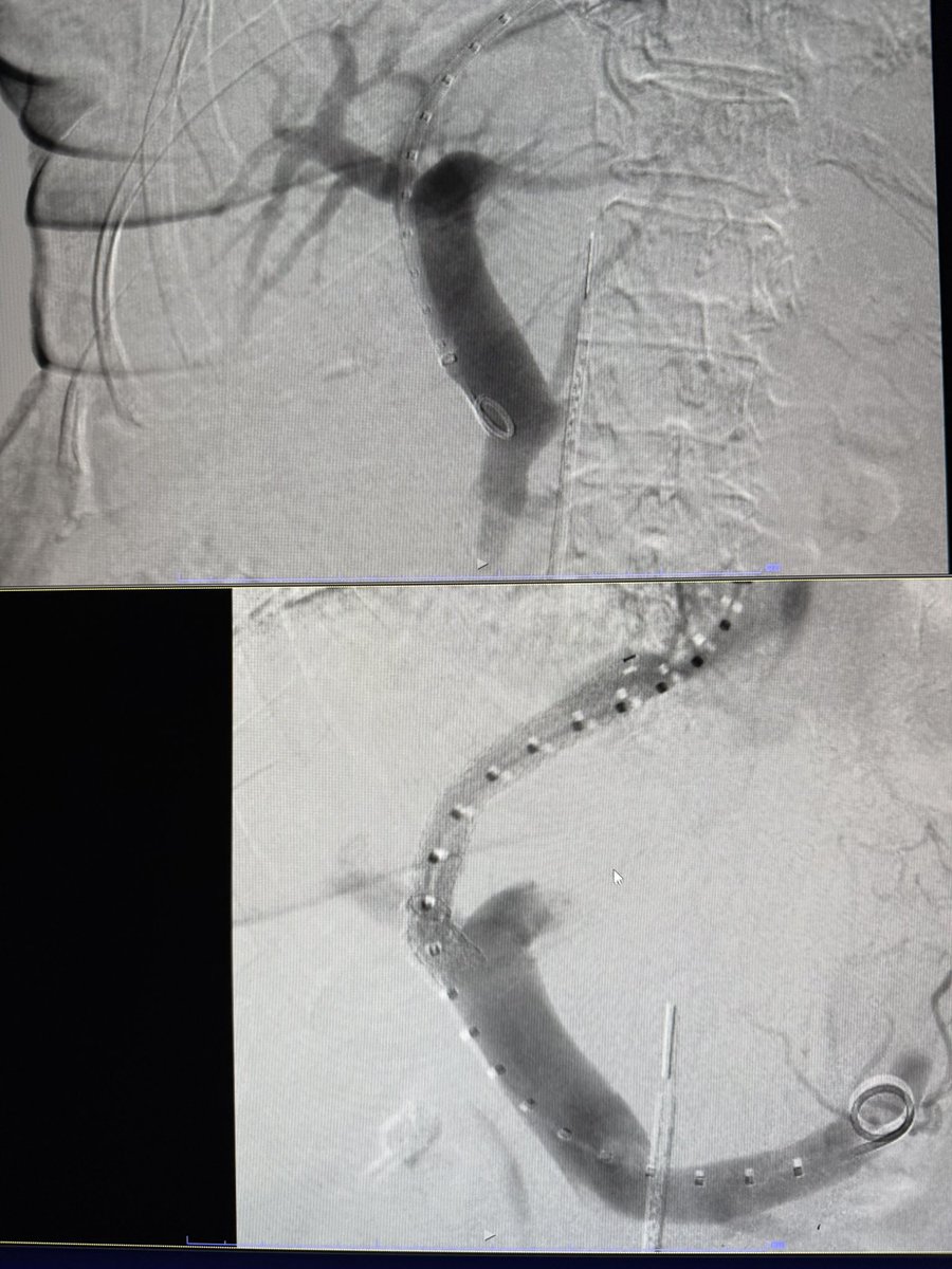
@t_intheleadcoat
Venkat Tummala MD
11 days
#CTO of Nephroureteral stents! Can’t cross with any wire on shelf! What’s your rec to help out your junior colleague to swap them ? May be your trick can come handy & help @SIRRFS one day ! @kmadass I know it ain’t arterial 😁 @keithppereira @SDhandMD @IRKhalsa @IR_Doctor
16
6
31