WashUIR Profile Banner
Mallinckrodt IR Profile
Mallinckrodt IR

@WashUIR

Followers
1K
Following
13
Media
20
Statuses
61

Missouri, USA
Joined November 2016
Don't wanna be here? Send us removal request.
@WashUIR
Mallinckrodt IR
5 years
Interested in learning more about Interventional and Diagnostic Radiology at Mallinckrodt? If you missed the first information evening we have you covered, join us for the encore on Oct 12th @SIRRFS
1
1
16
@WashUIR
Mallinckrodt IR
5 years
Interested in learning more about the IR residency program at Wash U? Joins us next Monday, Sept 21st for a virtual conversation. Register here: https://t.co/pF2iBiKzge
0
1
5
@BenRoushMD
Benjamin Roush, MD
8 years
@SIRspecialists outgoing president Dr. Vedantham from @WashUIR speaking on Venous disease & procedures. #SIR18LA #TwittIR
2
2
7
@WashUIR
Mallinckrodt IR
8 years
Congrats to Daniel Crawford and Allison Khoo! Welcome to the Mallinkrodt family. #Match2018 #IRadRes #IRad
1
7
30
@WashUIR
Mallinckrodt IR
8 years
Thermal ablation versus surgical resection for localized hepatocellular carcinoma: a population study using the SEER database. Published by @GokeIRDoc @rramaswamy in Future Oncology. https://t.co/MxOLsQ3uB1
0
1
5
@WashUIR
Mallinckrodt IR
8 years
Huge mesenteric varices draining from SMV to LRV with no initial portal visualization. IVUS TIPS to the rescue. Courtesy Dr. Kim and @maninbsir. #irad #miips @SIRspecialists @SIRRFS
0
6
22
@WashUIR
Mallinckrodt IR
8 years
Right/middle hepatic vein not good. no #problem. Intentional left hepatic vein to left portal vein #TIPS using ivus (#iTIPS). #twoattendingcase with @rramaswamy @GokeIRDoc #miip #irad @SIRspecialists @SIR_ECS @rkryu @DrGiardinaIR @maninbsir
3
8
30
@GokeIRDoc
Goke Akinwande
8 years
Bgn SVCsynd with occluded #stent. Glide frontend fail. Glide backend wins! rest is history. @DrGiardinaIR @maninbsir @WashUIR #miip #irad
2
6
19
@WashUIR
Mallinckrodt IR
8 years
Review article on modified BRTO, PARTO, CARTO, and BATO published by Seung Kim in @CVIR_Journal @JVIRmedia @maninbsir @GokeIRDoc @rramaswamy @SIRspecialists @SIRRFS https://t.co/svGoP2sdtp
1
10
30
@BSIR_News
The British Society of Interventional Radiology
8 years
#IRad has been recognised as an excellent treatment for #trauma for over 10 years! Read this important paper by Gould and Vedantham on how beneficial #IRad can be in treating trauma
Tweet card summary image
pmc.ncbi.nlm.nih.gov
Since the development of angiography and transcatheter techniques, interventional radiology has played an important role in the management of trauma patients. The ability to treat life-threatening...
0
11
18
@RajWellnessMD
Raja Ramaswamy, MD
8 years
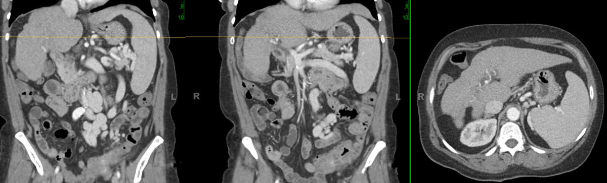
lypmhangiogram with complete lymphovenous shunting directly into IVC. Has anyone seen this before? @medravi @Penn_IR @GokeIRDoc @GuerbetGroup
5
6
21
@maninbsir
Mani NBS
8 years
18 month baby in PICU with a failed PICC placement where part of the guidewire sheared off. @WASHUIR to the rescue. Wire snared and new PICC placed. One #happybaby in @STLChildrens. @SIRRFS @SIRspecialists @rramaswamy #pedsir @socpedsir @keithppereira
5
10
34
@GokeIRDoc
Goke Akinwande
8 years
3
3
16
@WashUIR
Mallinckrodt IR
8 years
@GokeIRDoc
Goke Akinwande
8 years
Bye bye #optease. Insitu #snare, amplatz for axis, neck access not needed. @WashUIR @rramaswamy #miip @SIRspecialists #filterout
0
0
1
@WashUIR
Mallinckrodt IR
8 years
Occluded TIPS recanalization via a transplenic approach. Revision by Mike Darcy. @JVIRmedia @extremeIR @SIRspecialists @SIRRFS
5
9
46
@WashUIR
Mallinckrodt IR
8 years
Congrats Avik Som on the Cope Med Student Research Award!
@GokeIRDoc
Goke Akinwande
8 years
Congrats to Avik Som for winning the Cope Med Student research award. Love getting students involved in IR research. @rramaswamy @WashUIR
0
0
4
@WashUIR
Mallinckrodt IR
8 years
Retrospective comparative study on removing Denali, Option, and Tulip filters @rramaswamy @GokeIRDoc @WashUIR @maninbsir @SIRspecialists https://t.co/PqoI05HEOk
1
5
14
@WashUIR
Mallinckrodt IR
8 years
Congrats Dr. Vedantham and the ATTRACT team!
@SIRspecialists
Society of Interventional Radiology
8 years
The results of the ATTRACT trail, first presented at #SIR17DC, were published today in @NEJM. Congrats to Dr. Vedantham @WashUIR & the whole ATTRACT team. #IRAD https://t.co/h1XWbzwSVZ
0
1
3
@WashUIR
Mallinckrodt IR
8 years
Nodal Lymphangiogram/Embolization @ RSNA 2017 Thanks to Dr. Resmi Charalel for presenting. @Lymphomation @GuerbetGroup @rramaswamy @GokeIRDoc
0
0
5
@SIRspecialists
Society of Interventional Radiology
8 years
SIR President Suresh Vedantham: Think globally, lead locally https://t.co/IqnAmieorM via IRQ
0
5
9