Xuanli (Shary) Tang Profile
Xuanli (Shary) Tang

@shary_tang

Followers
226
Following
254
Media
48
Statuses
383

A renal pathologist from Hangzhou TCM Hospital Affiliated to Zhejiang Chinese Medical University, China

Joined January 2022
Don't wanna be here? Send us removal request.
@shary_tang
Xuanli (Shary) Tang
13 hours
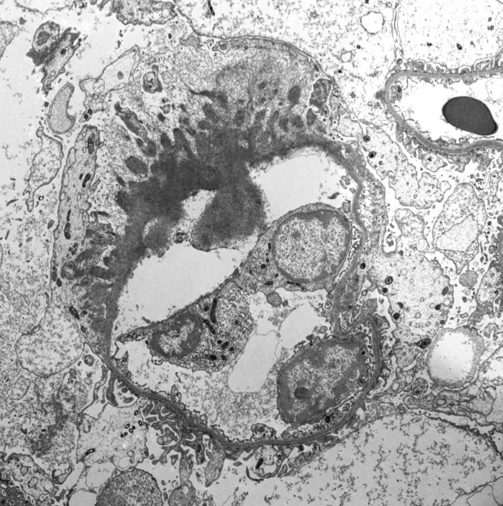
There is a kind of MCD, or a kind of MN, with sparse subepithelial deposits, but diffuse FPE. Acute disease onset, sensitive to steroids, but relapse or spontaneous remission. What would you categorize them under?#renalpath
0
0
4
@ChangUCanSpare
Anthony Chang, MD (張賀文)
7 days
The paucity of tubular profiles in the renal medulla should raise the consideration of a hemoglobinopathy, especially in those with African ancestry, such as this patient. Notably, the cortex has much less tubular loss. RBC sickling occurs in the medulla where it's more hypoxic
2
10
19
@shary_tang
Xuanli (Shary) Tang
7 days
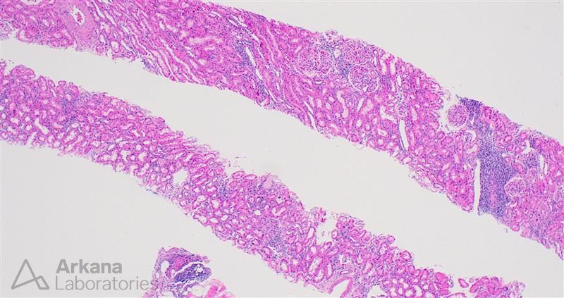
Granulomar IN: M, 18y, UP 1.5g, Scr 648umol/L, Hb77g/L, C3 0.8, increased IgG 22.7 (G1 14.8, G4 4.7), IgA 5.3. ANA-, ANCA-; no virus infection, no eye lesions, no related meds. LM: clear nodules mainly surrounding tubules, no giant cells, no caseous necrosis. Cause? #renalpath
1
7
20
@JZRenalPath
Jonathan Zuckerman MD PhD
10 days
Unusual granular casts with annular appearance. Light chain, hemoglobin, myoglobin, chromogranin casts excluded. Patient on IV vancomycin. Suspicious for vancomycin cast nephropathy. https://t.co/WUG0cLnawH #renalpath #pathtwitter #nephrology
4
27
72
@JZRenalPath
Jonathan Zuckerman MD PhD
10 days
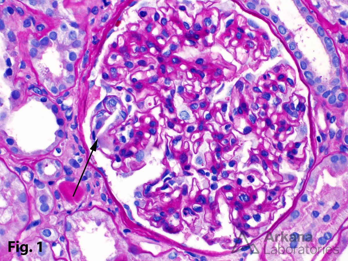
One of my favorite biopsy artifacts. Displaced tubular epithelial cells in glomerular capillary loops mimicking a thrombus. #renalpath #pathwitter #nephrology.
1
17
65
@roboonya
Boonyarit Cheunsuchon, MD
9 days
Differential Dx of pauci-immune GN with "full house" mesangial staining from: https://t.co/l93PaUa8w9
1
38
108
@arkanalabs
Arkana Laboratories
20 days
This biopsy shows the characteristic features of uric acid nephropathy (commonly known as gout), which results from precipitation of uric acid in the kidney parenchyma. Tophi frequently occur in the medulla, and usually consist of central regions of acellular, granular material
1
13
34
@roboonya
Boonyarit Cheunsuchon, MD
20 days
C3 GN in 11 yo boy with proteinuria, hypertension, low C3 (normal C4). EM shows irregular thickening of glomerular capillary wall and mesangial expansion by electron dense deposits. The deposits are somewhat ill-defined with early sign of resorption.
1
15
33
@AJKDonline
AJKD
20 days
AJKD Atlas of Renal Pathology: Crystalglobulin-Induced Nephropathy https://t.co/TyG5KPwziJ (FREE) @podocytes @AlpersCharles @AgnesFogo #RenalPath Image: Large bright eosinophilic crystals within glomerular capillaries (arrow, Jones silver stain)
1
14
48
@roboonya
Boonyarit Cheunsuchon, MD
25 days
Cryofibrinogen-associated nephropathy shows MPGN pattern with no Igs and complement staining. Unique tubular structure with central bores and multiple layers, larger than those in immunotactoid GN by EM
Tweet card summary image
kireports.org
Cryofibrinogen-associated nephropathy (CFN) is a very rare disease. Only few data are available about the clinicopathological presentation and treatment outcomes.
2
9
18
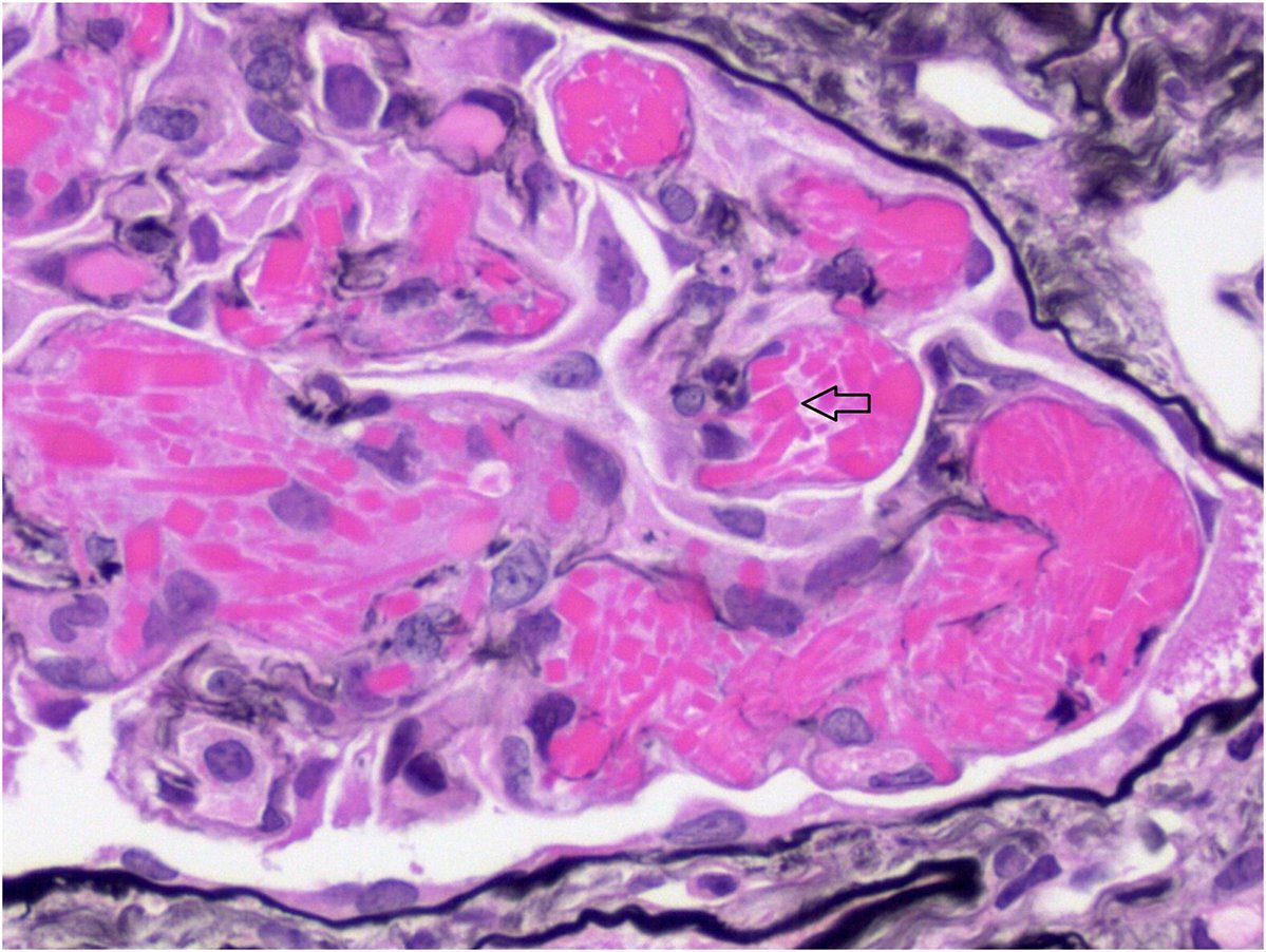
@shary_tang
Xuanli (Shary) Tang
27 days
29y male,body builder, 1-1.7g proteinuria, Alb normal, Scr slightly increased (92.9-97.2-100.3) umol/L. LM: 2 glom with FSGS lesion, but what is the pie-like granular lesion in interstitium? #renalpath #askrenalpath
8
24
50
@arkanalabs
Arkana Laboratories
1 month
Happy Halloween! Dr. Bijol observed a ghoulish case of amyloid spicules by electron microscopy. #pathx #nephx #renalpath
0
16
54
@JZRenalPath
Jonathan Zuckerman MD PhD
1 month
Severe vascular rejection hiding in the IF tissue. Fibrinoid necrosis really pops on the H&E and further confirmed by fibrinogen IF. #renalpath #pathtwitter #nephrology
1
14
44
@SethiRenalPath
Sanjeev Sethi
1 month
Complement- Kidney biopsy is grossly inadequate when it comes to complement: we stain for only C3/C1q! LMD/MS can: -determine complement pathways -determine burden of complement -Activated vs entrapped complement -Assess complement regulating proteins https://t.co/aGD0K0i1Dt
Tweet card summary image
journals.lww.com
y studied. Furthermore, kidney biopsy does not distinguish between activated versus inactive complement proteins. Laser microdissection and mass spectrometry (LMD/MS) is a relatively new methodology...
4
39
98
@shary_tang
Xuanli (Shary) Tang
1 month
It's worth the trip for more friendships!
0
0
2
@Tiff_Caza
Tiffany Caza
1 month
Numerous clinical associations of collapsing glomerulopathy - great overview by Dr. Kelly Smith at @GlomCon :
0
14
25
@Jrpsofficial
日本腎病理協会【公式】 Japanese Renal Pathology Society -JRPS
1 month
The 2nd East Asia Renal Pathology Conference has started! Beautiful case presentation was given from @shary_tang about Cryofibrinogen-associated glomerulonephritis with paraproteinemia - PubMed
1
1
3
@arkanalabs
Arkana Laboratories
1 month
Cholesterol emboli involving the kidney may manifest clinically as acute kidney injury, hematuria, proteinuria (both non-nephrotic and nephrotic range), and even new onset hypertension. This biopsy illustrates a rare example of glomerular involvement. Most emboli are identified
2
18
65
@arkanalabs
Arkana Laboratories
2 months
What Dr. Singh saw #UnderTheScope today: Plasma cell-rich interstitial nephritis in a patient with Sjogren's syndrome.  #kidneypath #renalpath #pathology #nephtwitter #pathx #nephx
0
13
43
@arkanalabs
Arkana Laboratories
2 months
What Dr. Singh saw #UnderTheScope today: GBM spicules "eyelashes" in a case of AL lambda amyloidosis. #renalpath #kidneypath #pathx #nephtwitter #nephx
1
14
38