ChangUCanSpare Profile Banner
Anthony Chang, MD (張賀文) Profile
Anthony Chang, MD (張賀文)

@ChangUCanSpare

Followers
5K
Following
6K
Media
611
Statuses
4K

Prof/renalpath @UChicagopath ⬅️ @UWlabmedpath⬅️ @AlbanyMed ⬅️@MIT ⬅️@HWSchool, Past-Prez @RenalPathSoc, @ChicagoPathSoc; COI: Alexion, Novartis, Apellis, Otsuka

Chicago, IL
Joined July 2017
Don't wanna be here? Send us removal request.
@ChangUCanSpare
Anthony Chang, MD (張賀文)
6 days
What was also clear when our panel went through this process is that there is not enough evidence in the literature, especially in the last 10 years, so please consider publishing your data
0
1
2
@ChangUCanSpare
Anthony Chang, MD (張賀文)
6 days
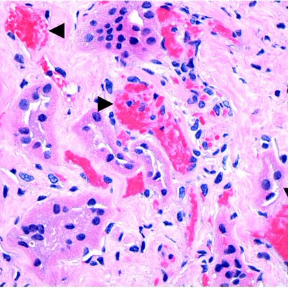
Didn't see PTC thrombi, but we reported this previously
1
0
0
@ChangUCanSpare
Anthony Chang, MD (張賀文)
6 days
The paucity of tubular profiles in the renal medulla should raise the consideration of a hemoglobinopathy, especially in those with African ancestry, such as this patient. Notably, the cortex has much less tubular loss. RBC sickling occurs in the medulla where it's more hypoxic
2
10
19
@Neph_Times
Nephrology Times
16 days
Our #KidneyWk coverage continues to roll out. Next up is our interview with Vlado Perkovic on the possibility of curing #kidneydisease and his take on the FINE-ONE and ORIGIN-3 trials presented on day 1 of the meeting. #nephrology #nephtwitter https://t.co/TJNdyylZT7
2
1
10
@JZRenalPath
Jonathan Zuckerman MD PhD
12 days
Arteriole with features of a old recanalized thombus in a transplant kidney biopsy. Multiple slit like vascular spaces within the fibrotic lumen. Not a lesion I see often. Pt had clinically diagnosed TMA a few months prior. #renalpath #pathtwitter #nephrology
2
6
26
@IHC_guy
Andrew Bellizzi 🇺🇦
20 days
Please join us this Wednesday, November 12 at 11 am ET for @OHSUPathology's Vanderlene Kung's erudite lecture on the role of "IHC/IF in Medical Kidney Disease." See you soon! Register here: https://t.co/XZEQM7Ount
1
24
44
@shary_tang
Shary Tang
27 days
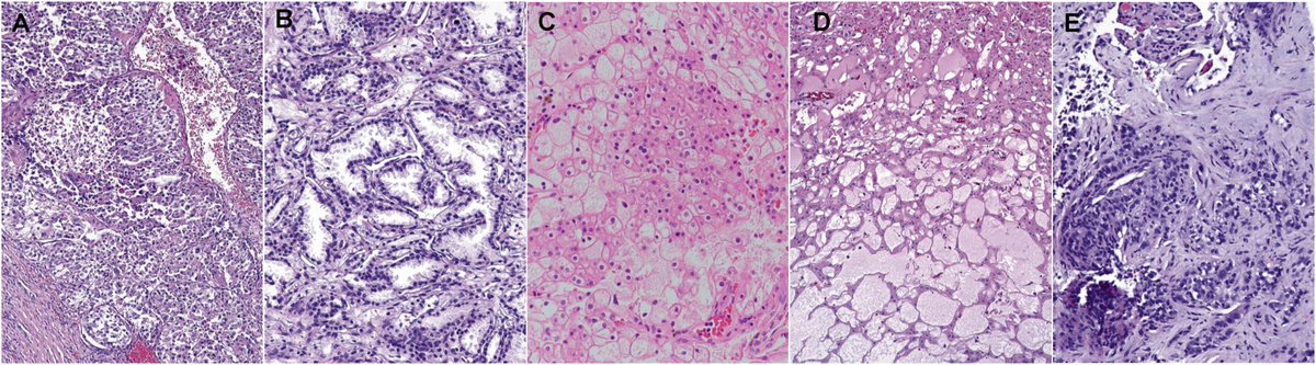
29y male,body builder, 1-1.7g proteinuria, Alb normal, Scr slightly increased (92.9-97.2-100.3) umol/L. LM: 2 glom with FSGS lesion, but what is the pie-like granular lesion in interstitium? #renalpath #askrenalpath
8
24
50
@CEOatNKF
Kevin Longino
1 month
We appreciate and admire this selfless act by Mr. Eisenberg to step up and give the gift of life. Every kidney donor helps make a real difference for someone living with kidney disease and this generosity can inspire others to consider living donation.
Tweet card summary image
kidney.org
0
4
17
@AJKDonline
AJKD
1 month
Core Curriculum by Kristen Tillquist, @Nephrosage, @ChangUCanSpare, and Susie L. Hu: The Nephrologist’s Perspective in Evaluation and Management of Localized Renal Masses: Core Curriculum 2025 #OpenAccess https://t.co/EPumfc8x86
0
11
30
@ChangUCanSpare
Anthony Chang, MD (張賀文)
1 month
Tasked with discussing ANCA vasculitis Will work this little known concept of autoantigen complementarity into my talk https://t.co/Witl9eGnYz
@ChangUCanSpare
Anthony Chang, MD (張賀文)
2 months
Register for the @nkfwi Renal Pathology Summit on Nov. 13 in Madison, WI. It's FREE https://t.co/etY7a2rGBP
0
2
7
@ChangUCanSpare
Anthony Chang, MD (張賀文)
1 month
Nice article on fellow MIT alum, Susan Fuhrman '75, of the Fuhrman nuclear grade for renal cell carcinoma. #WomenInPathology https://t.co/rrDGhLStjr
alum.mit.edu
Susan Fuhrman ’75 became a pathologist because she likes providing clear answers to diagnostic questions. Read more.
0
3
10
@SabineKaram6
Sabine Karam
2 months
A great event to learn scientific facts and life lessons about experiencing a life-changing journey with FSGS @nkf
@ChangUCanSpare
Anthony Chang, MD (張賀文)
2 months
Join me Oct 3 for a fun evening in Minneapolis with Saugar Maripuri and @JenCramerMiller - enjoying her book, Incurable Optimist, about her journey with kidney disease
0
2
11
@ChangUCanSpare
Anthony Chang, MD (張賀文)
2 months
This study and my editorial are in the Oct issue of A&R @ACR_Journals
@ChangUCanSpare
Anthony Chang, MD (張賀文)
7 months
Unicorn sighting! A repeat kidney bx study on long‐term voclosporin treatment in active lupus nephritis by Robin et al
0
0
5
@ChangUCanSpare
Anthony Chang, MD (張賀文)
2 months
Join me Oct 3 for a fun evening in Minneapolis with Saugar Maripuri and @JenCramerMiller - enjoying her book, Incurable Optimist, about her journey with kidney disease
0
2
15
@anuja_java
Anuja Java, MD (she/her)
2 months
Behind every aHUS diagnosis is a family fighting fear, hope, and uncertainty. On #aHUSAwareness Day, we honor their strength and push for timely diagnosis, greater access to care and brighter tomorrows!! #RareDisease #aHUSWarriors
1
5
17
@ChangUCanSpare
Anthony Chang, MD (張賀文)
2 months
A reminder of my view on this topic
@ChangUCanSpare
Anthony Chang, MD (張賀文)
1 year
My presentation on post-transplant TMA. This thread is full of theory, which has been simmering in my head over the last decade. Our general view of conventional TMA is too narrow. Only a small subset of patients present acutely / catastrophically
0
0
4