Oleksandr Kravtsov Profile
Oleksandr Kravtsov

@oleks_kravtsov

Followers
189
Following
218
Media
0
Statuses
28

Assistant Professor at SUNY Upstate | #Ukrainian #NotRussian

Syracuse NY
Joined July 2011
Don't wanna be here? Send us removal request.
@oleks_kravtsov
Oleksandr Kravtsov
5 years
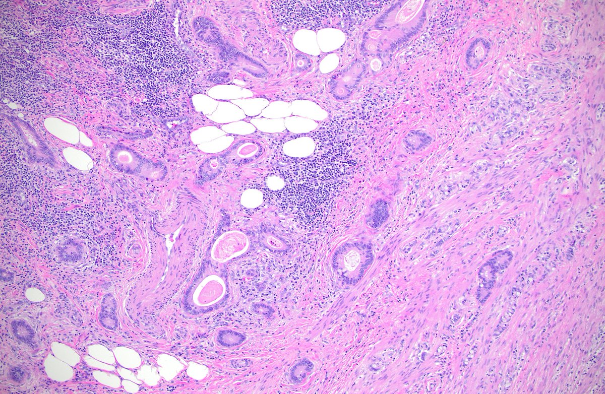
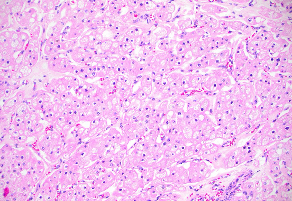
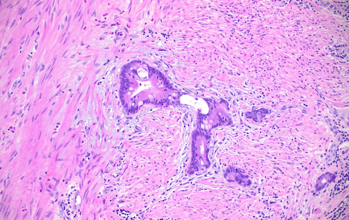
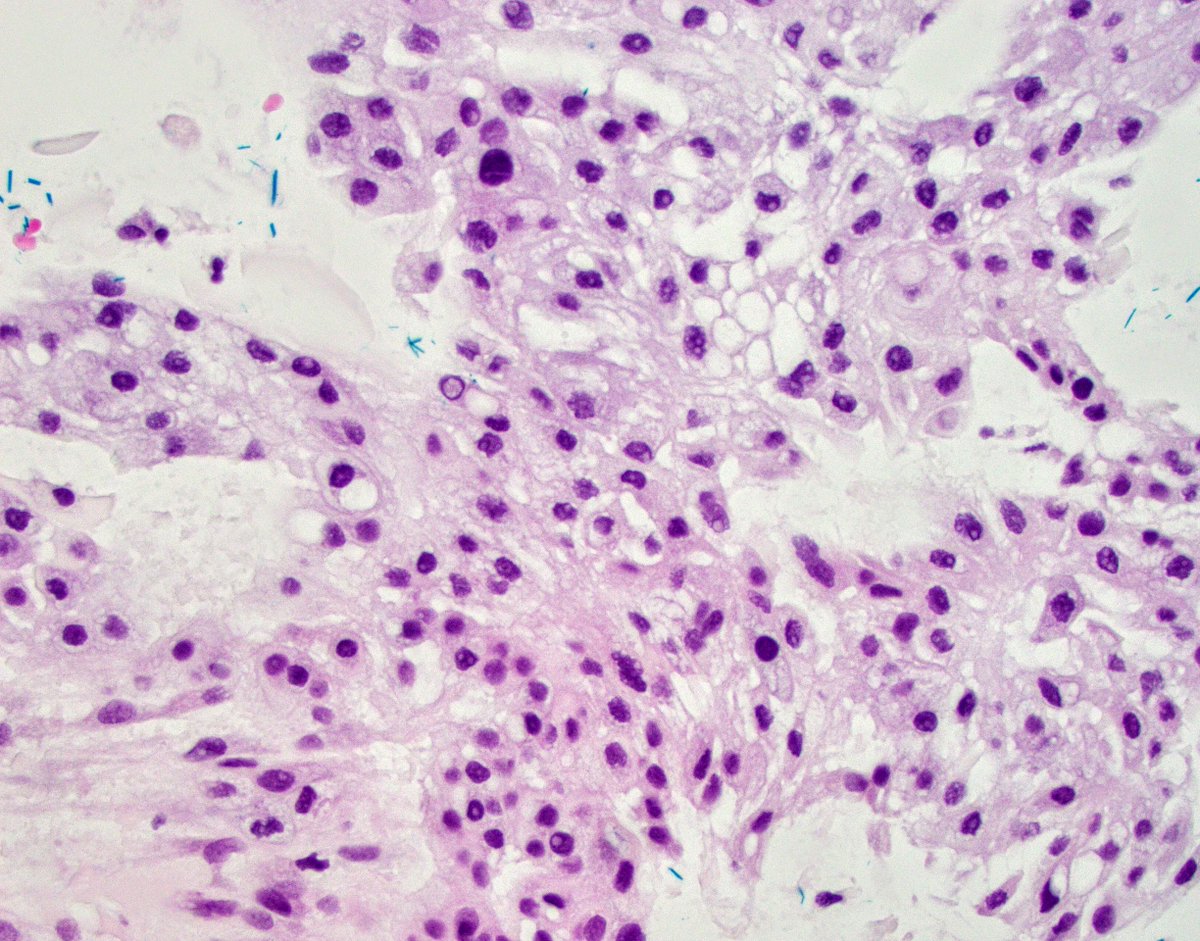
Our study on LOT with 9y+ follow up confirms the indolent nature of those tumors and provides more evidence to support that LOT is distinct from oncocytoma and chRCC. Thanks @REjimenezMD @johncheville @Shounak_Gupta and all involved @MayoClinicPath staff. #gupath
@Shounak_Gupta
Sounak Gupta
5 years
(1/4) I am excited to highlight excellent work done on low grade oncocytic tumors of the kidney by our former surgical pathology fellow @oleks_kravtsov (and future GU pathologist at Upstate Medical University) and @REjimenezMD https://t.co/ohCZkZsMPw
2
5
28
@SueEPig
No longer active - Katrina Collins
2 years
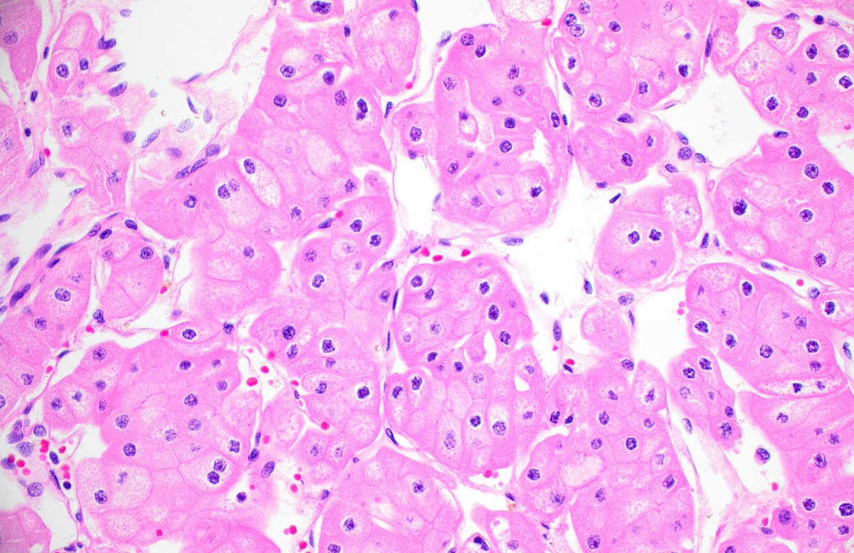
#cap23 Renal oncocytosis - rare condition with multiple oncocytoma-like tumors. BHD syndrome connection unclear. 8 cases: median age 69, tumor size 4 cm. No LOT or EVT. RO ≠ BHD. @Pathologists Monday, 10/9/2023 9:00-11:45am Poster Session Number: 2, Poster #4
1
4
13
@IntSocUropath
International Society of Urological Pathology
2 years
#ISUPJournalClub Enthusiasts Check out SECOND QUARTER OF 2023 https://t.co/T8SwV82brA JC reviewed by @oleks_kravtsov Dont miss out on the great topic for discussion with detailed review and FREE LINK to article
journals.lww.com
s of 13 such tumors. The patients were 20 to 73 years old (median, 36 y), and all with available data presented with testicular masses (median size, 3 cm), with 2 having synchronous retroperitoneal...
0
3
7
@SunyUpstate
SUNY_Upstate_PathologyCases
3 years
53 yo male with a well-circumscribed renal mass. What is your diagnosis? @oleks_kravtsov @GirlAtTheScope #GUPath #PathTwitter
5
15
42
@SunyUpstate
SUNY_Upstate_PathologyCases
3 years
Neck mass biopsy from a 56 yo male. AE1/AE3 and desmin negative. What is your diagnosis? #PathTwitter #BSTPath #HemePath
3
5
8
@SunyUpstate
SUNY_Upstate_PathologyCases
3 years
12 year old male with a tibial mass. What is your diagnosis? #BSTPath #PathTwitter @oleks_kravtsov
3
3
6
@SueEPig
No longer active - Katrina Collins
3 years
Prostatic adenocarcinoma with aberrant p63 expression in the luminal cells, may be confused with benign mimickers of prostate cancer #gupath #prostatecancer #pathtwitter
3
41
117
@SunyUpstate
SUNY_Upstate_PathologyCases
3 years
40-year-old patient with acute appendicitis. What is your diagnosis? #PathTwitter #GIPath
2
5
7
@SunyUpstate
SUNY_Upstate_PathologyCases
3 years
Bone biopsy of a 52 year-old male. Neoplastic cells stain positive for AE1/AE3 and EMA, and show focal weak positivity for S100. What is your diagnosis? What is confirmatory IHC? #BSTPath #PathTwitter @oleks_kravtsov
3
5
9
@Human_Pathology
Human Pathology
5 years
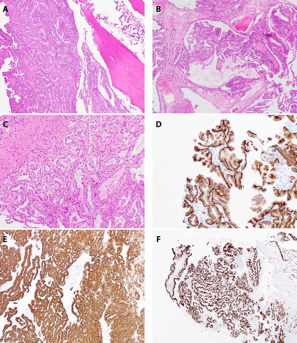
.@oleks_kravtsov et al. show that LOT is an indolent eosinophilic renal neoplasm that constitutes ∼ 4% of tumors diagnosed as oncocytoma. The morph, phenotypic, & mol features of this neoplasm suggest it is a distinct entity of renal neoplasia https://t.co/dd8QDUgsbQ
1
16
33
@oleks_kravtsov
Oleksandr Kravtsov
5 years
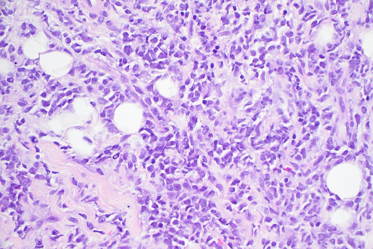
A case of metastatic clear cell papillary RCC. #gupath
@Shounak_Gupta
Sounak Gupta
5 years
IHC: PAX8+, CK7+, CA IX+ (cup‐like), GATA3+, HMWCK+, CD10-, and AMACR- SNP Array: No loss of 3p NGS (514 genes): No mutation of VHL/ TSC1/ TSC2/ TCEB1/ MTOR ……..and Metastatic What is your diagnosis? https://t.co/8RGC8Qv38k https://t.co/36cO8rcDJn
0
0
2
@MelanieBoisMD
Melanie Bois
5 years
@GaryKeeneyMD & @johncheville demonstrate the legacy of the Frozen Section Lab in Rochester, MN. How Dr. Keeney managed to survive those temperatures for 3 minutes and 52 seconds, the world may never know. #pathology #frozensection #ThankYouLBWilson https://t.co/LNuFuGHqEt
4
12
25
@rovingatuscap
Samson W. Fine, MD
5 years
Fresh resource for #gupath interested folks - @GU_Path_Society Update on Renal Neoplasia @Uroweb @UroOnc @AmerUrological #UroSoMe #kidneycancer @arihakimi @DrChoueiri @PavlosMsaouel
@GU_Path_Society
GU Pathology Society (GUPS)
5 years
Hot Off The Press! Check out the @GU_Path_Society Review of Novel, Emerging & Provisional Entities in Renal Neoplasia https://t.co/jujmeYRZvM #kidneycancer #gupath
1
6
16
@slusagar
Ankur Sangoi
5 years
“So after you take the biopsy, the specimen can’t be diagnosed🔬immediately. The tissue needs time to fix, then embed, then cut, then stain.” Explaining #surgpath to clinicians
0
5
17
@oleks_kravtsov
Oleksandr Kravtsov
5 years
Something we can never agree on.
@rovingatuscap
Samson W. Fine, MD
5 years
OK #gupath interested folks - how would you evaluate this focus of #ProstateCancer - small well formed glands? poorly formed glands? 3+3=6? 3+4=7? any features that give you pause?
0
1
3
@PeterBOstergren
Peter Ostergren
7 years
What is clinical significant #prostatecancer in 2019? Presented by Peter Albertsen. #AUA2019
1
48
92
@Haneen_Maghrabi
Haneen Al.Maghrabi
7 years
#sketch collection to make #pathology easier 😍👍🏼🔬
6
130
248
@oleks_kravtsov
Oleksandr Kravtsov
7 years
A nice all-inclusive article on spleen pathology #pathboards #hemepath #spleen
0
1
1