nilufer510 Profile Banner
Nilüfer Kadıoğlu Profile
Nilüfer Kadıoğlu

@nilufer510

Followers
1K
Following
68K
Media
658
Statuses
8K

Cmt yüzünden yorgun düşmüş patolojik patolog

Joined January 2009
Don't wanna be here? Send us removal request.
@nilufer510
Nilüfer Kadıoğlu
13 hours
Chaudhary - Amit Trivedi | English Lyrics Translation & Meaning | Mame K... https://t.co/UCK5hQel55 @YouTube aracılığıyla
0
0
0
@alpertuydes
Alper Tüydeş
22 hours
Kars’ta çektiğim arkadaşım tilki serisi yayında💚
28
108
2K
@yro854
Yale Rosen
3 days
@nilufer510 @Histopatolomon It is our pleasure to be able to do this. The Atlas of Medical Foreign is a unique undertaking that aims to educate pathologists about foreign bodies that they encounter in their practices as well as to enable them to identify foreign bodies. Since its founding 7 years ago there
2
3
8
@nilufer510
Nilüfer Kadıoğlu
3 days
Thanks for your efforts on making this archive🙏@yro854⁩ and ⁦@Histopatolomon
1
1
6
@murat_saltik61
Murat SALTIK🦅
3 days
⚠️Dikkatle izlerseniz ötüşünü yaparken kuyruğunu da uyumlu şekilde titreştirdiğini göreceksiniz. İlkbaharda bahçemizde bana arkadaşlık etmişti. Benden korkmayıp yanımda kalan kuşlar beni mutlu ediyor. Kızılgerdan ile en çok karıştırılan kuşumuz. Küçük Sinekkapan #Trabzon
12
46
761
@Janiranavarro
Janira Navarro
4 days
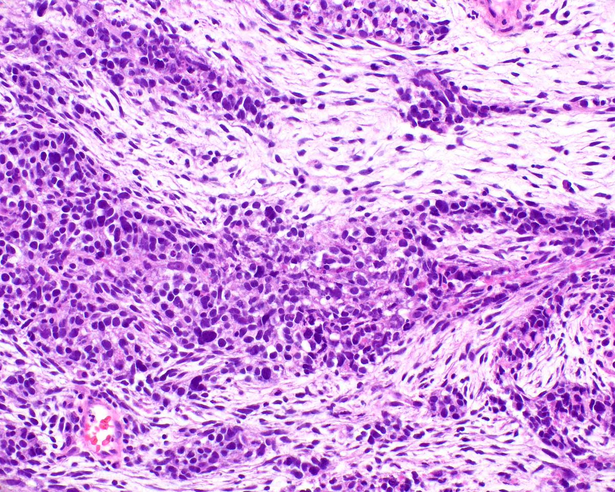
If you only have a fragment of high-grade sarcoma in an endometrial biopsy that is p53-positive and myogenin-positive... Sign it out descriptively and add in your comments a differential diagnosis between carcinosarcoma, adenosarcoma with high-grade sarcomatous overgrowth, and
0
26
85
@nilufer510
Nilüfer Kadıoğlu
9 days
Monika Jalili - Jane Maryam (türkçe çeviri) https://t.co/eV1fmrhy6D @YouTube aracılığıyla
0
0
0
@arkeologbirey
Basileos
10 days
Dünya’nın en iyi korunmuş Zeus tapınaklarından biri olan Aizanoi Zeus Tapınağı’na mevsimin ilk karı yağdı. ❄️ 🏛️🏺 Aizanoi Antik Kenti Zeus Tapınağı. Çavdarhisar/Kütahya
6
122
2K
@ModernPathology
Modern Pathology
10 days
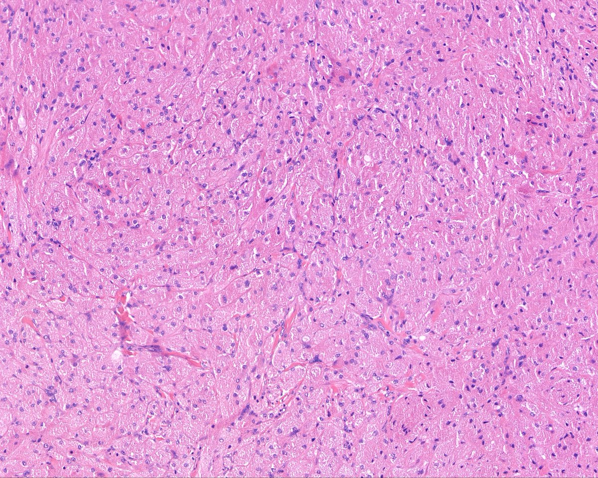
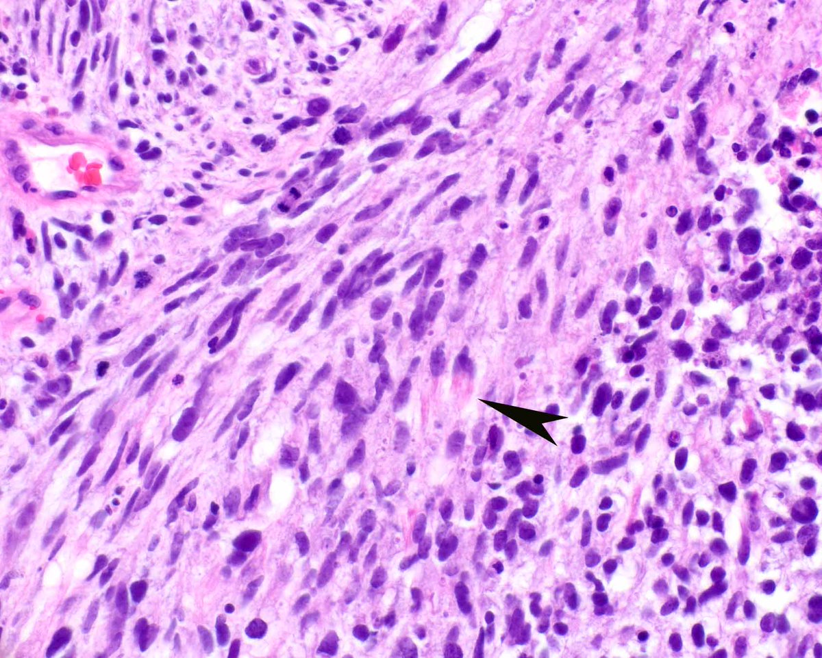
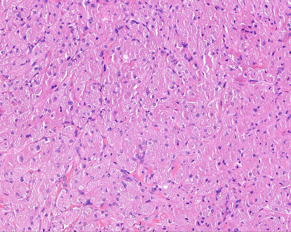
Dr. Sarah Dry has published a wonderful review of fatty tumors and nerve sheath tumors. Check out this malignant triton tumor (malignant peripheral nerve sheath tumor with rhabdomyosarcomatous differentiation) - the muscle differentiation is obvious on H&E. Dry S. Updates in
1
17
57
@Janiranavarro
Janira Navarro
10 days
Breast - Solid Papillary Carcinoma with Invasion It can present as: - Invasive solid papillary carcinoma, conventional infiltration pattern (pic 2) - Invasive solid papillary carcinoma, nested infiltration pattern (pic 3) - Mucinous carcinoma - Invasive carcinoma of no special
0
28
71
@science_press
Innovative Science Press
10 days
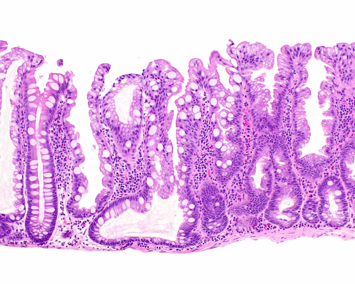
Just a lovely sessile serrated adenoma (polyp/lesion) with a Christmas stocking in the middle! https://t.co/11aBMJYcco
1
24
103
@slusagar
Ankur Sangoi
30 days
not uncommon, ejaculatory duct/seminal vesicle type epithelium can mimic prostate cancer on bx! #GUpath #beautyinb9
3
25
62
@surgpathcases
Surgical Pathology Cases
12 days
3
6
25
@Janiranavarro
Janira Navarro
12 days
Microglandular adenosis This is the only benign breast lesion that lacks a surrounding myoepithelial layer. The glands are S100-positive and have an intact basement membrane (demonstrated by IHC or reticulin stain, which highlights the basement membrane). Dr. Wen - 2025
0
27
85
@SumantaDas_7
Sumanta Das
2 months
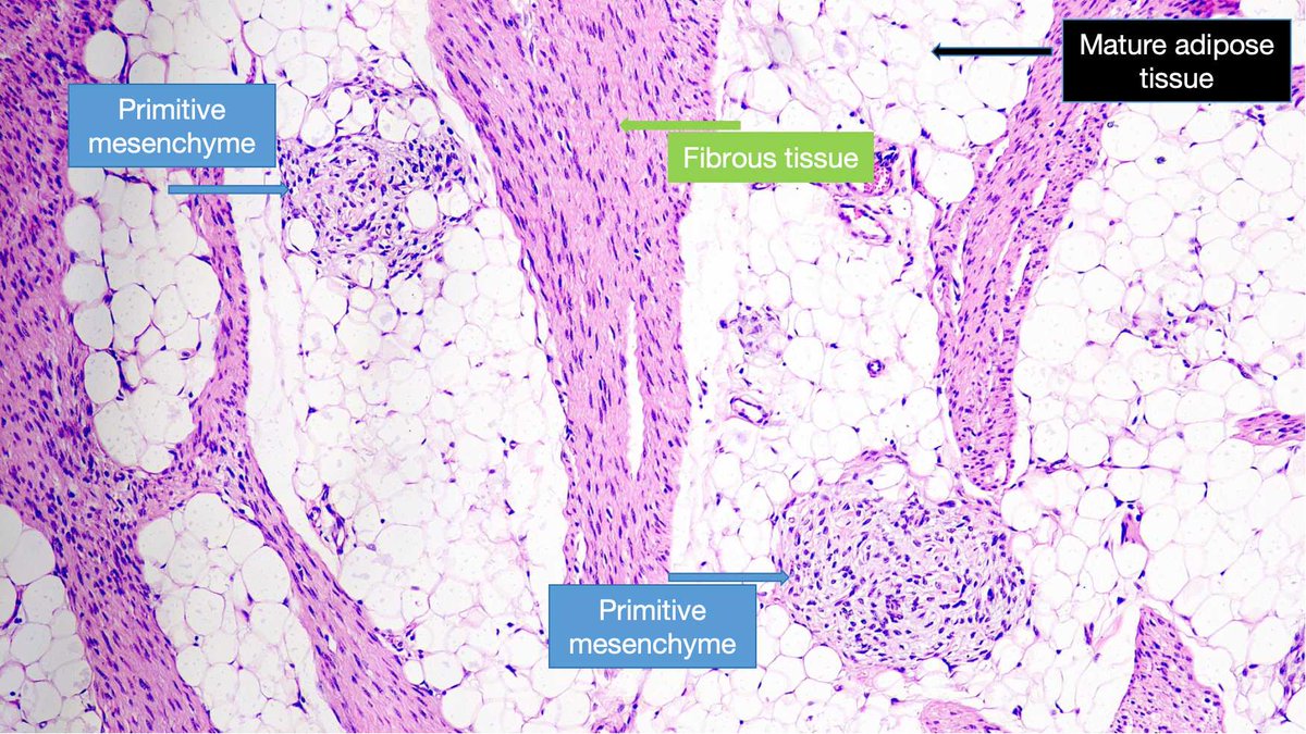
Dx : Fibrous hamartoma of infancy * Benign tumor of infancy * Most frequent in first 2 years of life * Triphasic morphology - Mature adipose tissue - Intersecting fascicles of fibroblastic/myofibroblastic cells - Myxoid nodules of primitive appearing spindled to stellate cells
3
9
54
@Janiranavarro
Janira Navarro
13 days
Endometrial carcinoma involving the fallopian tube is pT3a. But what happens when tumor cells are seen in the fallopian tube lumen, unattached to the wall? "The presence of detached tumor cells in the tubal lumen should be reported, but this finding per se does not upstage
0
31
96
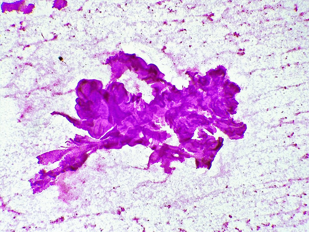
@Citopatoroxx
Roxana Chávez Cito, MIAC.
13 days
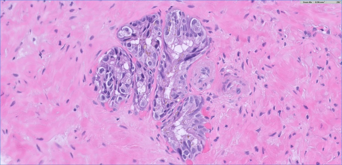
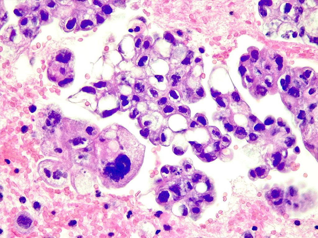
Lymph node with cystic degeneration and these lush papillae. Patient with a history of thyroidectomy with papillary thyroid carcinoma. #cytopath #cytology
1
5
26
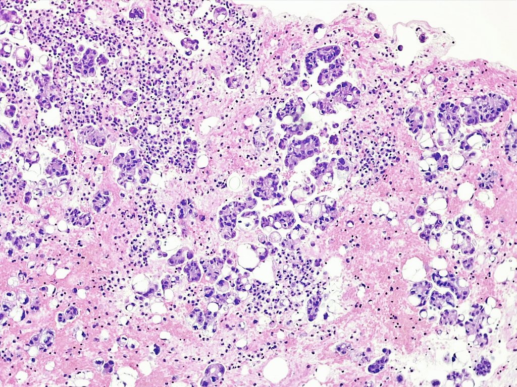
@Citopatoroxx
Roxana Chávez Cito, MIAC.
13 days
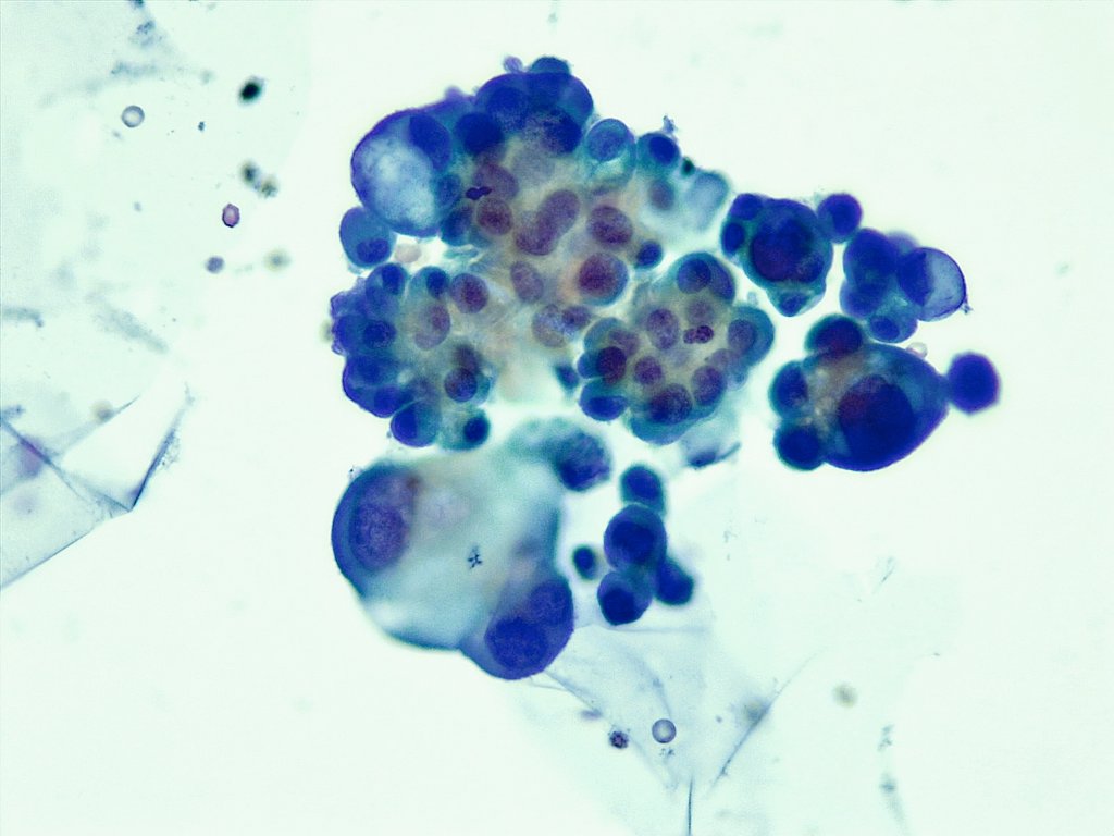
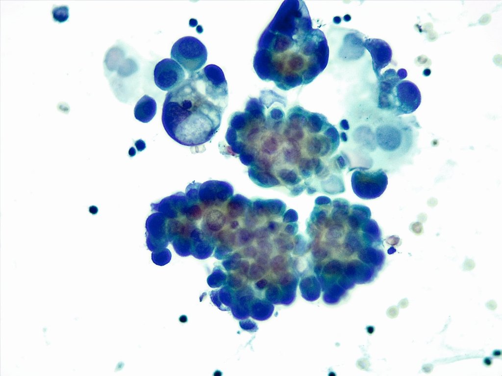
Ascites with infiltration of high-grade serous ovarian carcinoma. #cytopath #cytology
2
17
70
@STEVENKOLKERMD
Steven
14 days
Glomus tumor is a benign neoplasm derived from glomus cells -- temperature regulating cells. Glomus tumors are often painful. They usually arise under the fingernail (subungual), on the fingertip pad, or on the palm. They can also occur on the wrist or forearm.
0
6
28
@sza_jhcyto
Syed Z. Ali
14 days
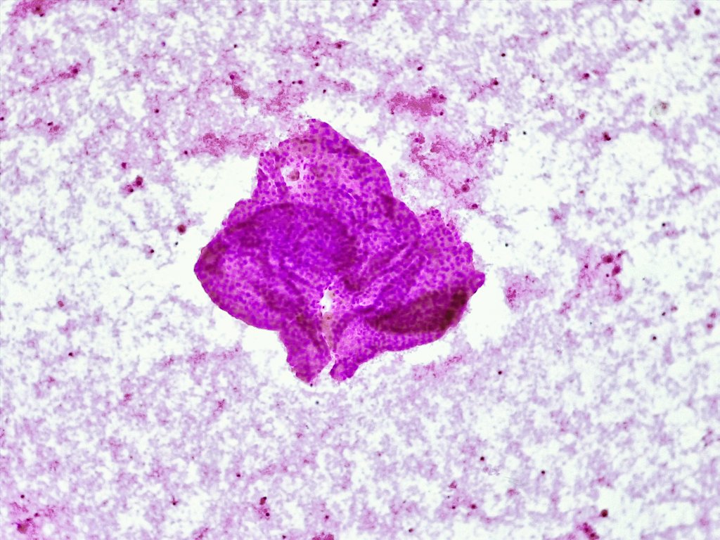
Partially denuded, "Vascular Skeleton" in a Papillary Thyroid Carcinoma. (FNA)
2
25
92