Kenneth Aldape, MD Profile
Kenneth Aldape, MD

@Kenneth_Aldape

Followers
2K
Following
61
Media
68
Statuses
240

Neuropathologist, data-driven tumor diagnostics 🔬 | detective novels 📓, methylation profiling 🧬. Views are my own

Joined January 2020
Don't wanna be here? Send us removal request.
@Kenneth_Aldape
Kenneth Aldape, MD
1 month
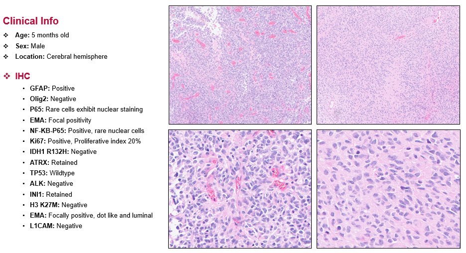
Methylation Case of the Week: 5 month old male patient with a cerebral hemisphere lesion. ImagiNe For AN insTant the-TYPE of HEMISPHERIC GLIOMA this might be. #Neuropath #pathology #PathTwitter
1
10
28
@Kenneth_Aldape
Kenneth Aldape, MD
2 months
This is an HGAP! Has the ATRX loss and CDKN2A/B homozygous deletion, which are seen in a good proportion of cases. Case courtesy of CJ Lucas.
1
0
5
@Kenneth_Aldape
Kenneth Aldape, MD
3 months
Methylation Case of the Week: 68 year old male patient with an IDH-wildtype brainstem glioma. there was a CDKN2A/B homozygous loss and ATRX loss. these features are worth Highlighting. can you Guess the Answer for this Particular tumor type? #Neuropath #pathology #PathTwitter
9
10
56
@Kenneth_Aldape
Kenneth Aldape, MD
3 months
good point on the CRX! It wasn't done, but a good idea to do. This matched to papillary tumor of the pineal region. It showed loss of chrom 10 and had a PTEN (presumably somatic) mutation. Case courtesy of Rati Chkheidze.
1
2
8
@Kenneth_Aldape
Kenneth Aldape, MD
3 months
Methylation Case of the Week: 37 year old female patient with a pineal region tumor. Please Take your time Pondering the gene and Region of the case for the diagnosis. bonus question: can you PreTENd to guess the mutant gene in this case? #Neuropath #Pathology #Pathtwitter
4
14
48
@Kenneth_Aldape
Kenneth Aldape, MD
3 months
yes, this is an ETMR: the histology is good for it, and it also matched well to ETMR on methylation profiling. C19MC amplification was evident on the DNA copy number plot. Case courtesy of Ahmed Gilani.
0
0
9
@Kenneth_Aldape
Kenneth Aldape, MD
3 months
Methylation Case of the Week: 18 month old male patient with a posterior fossa tumor. note the young age, Every Tiny histologic detail and you won't Miss it. any Reccomendations on the diagnosis? #neuropath #pathology #PathTwitter
5
12
64
@Kenneth_Aldape
Kenneth Aldape, MD
3 months
Methylation Case of the Week: 36 year old female patient with a right temporal tumor. Glial markers are generally negative. it Can be dIfficult to properly diagnose this Case, however the Simplicity of the morphology And the Round Cell features can help. #PathTwitter
6
9
44
@Kenneth_Aldape
Kenneth Aldape, MD
4 months
yes, Ewing sarcoma-- Not commonly seen in neuropath circles, but good to keep in mind in otherwise difficult-to-classify small round cell tumor. an EWSR1::FLI1 fusion was identified. Case courtesy of Ewa Borys.
0
1
9
@Kenneth_Aldape
Kenneth Aldape, MD
4 months
Methylation Case of the Week 2: 28 year old male patient with a lumbar intradural extramedullary spinal cord lesion. A fusion was identified. Everyone can WIN Going for a rare diagnosis on this one. #pathology #neuropath #PathTwitter
7
8
50
@Kenneth_Aldape
Kenneth Aldape, MD
4 months
nice case of solitary fibrous tumor--and yes, a NAB2::STAT6 fusion was identified. An intraventricular location is unusual but happens on occasion. Case courtesy of Harry Rosenberg.
0
1
4
@Kenneth_Aldape
Kenneth Aldape, MD
4 months
Methylation Case of the Week: 85 y/o male pt. with a left atrium of the left lateral ventricle lesion. A fusion was found. it is So inFrequenT to find it in this location, but not impossible. it can be often diagnosed STAT by IHC usually in 6 seconds or less. #pathology
2
7
40
@Kenneth_Aldape
Kenneth Aldape, MD
4 months
yes--this was a ZFTA fusion-positive ependymoma, which has a wide histologic spectrum. In this case the fusion did not involve RELA (ZFTA::MAML2). Unusual in this case was the negative staining for L1CAM (most cases should be L1CAM-positive). Case courtesy of Igor Fernandes.
0
1
6
@Kenneth_Aldape
Kenneth Aldape, MD
4 months
Methylation Case of the Week: 33 year old female patient with a right temporal lobe lesion. GFAP positive, Olig2 negative, and L1CAM negative. There is a non-Zero chance oF These staining results being unusuAl. #Neuropath #PathTwitter #Pathology
4
12
49
@Kenneth_Aldape
Kenneth Aldape, MD
4 months
yes, this is a nice example of a multinodular vacuolating neuronal tumor (MVNT). The nodularity and vacuoles helped with the Dx :) MVNT's have a characteristic indel mutation in MAP2K1, which was seen in this case. Case courtesy of Igor Fernandes.
0
1
7
@Kenneth_Aldape
Kenneth Aldape, MD
4 months
Methylation Case of the Week: 54 year old male patient with a left frontobasal parenchymal tumor. There are Multiple Very Notable Tidbits to be seen. and the bonus question; what mutation was identified? #PathTwitter #pathology #Neuropath
4
5
43
@Kenneth_Aldape
Kenneth Aldape, MD
4 months
yes--CNS tumor, PLAGL1 fusion-positive on methylation pofiling. We found an EWSR1::PLAGL1 fusion in this tumor using RNAseq. These tumors may be related to ependymomas, but more is needed to understand this relationship. Case courtesy of Hope Richard.
0
0
4
@Kenneth_Aldape
Kenneth Aldape, MD
5 months
Methylation Case of the Week: 23 year old male patient with a left parietal mass. This case has ePendymoma Like features And Gains a Lovely fusion. This fusion is unique to this "1" entity. Any thoughts on what this might be?#Neuropath #pathology #PathTwitter
7
9
39
@Kenneth_Aldape
Kenneth Aldape, MD
5 months
yes--nice case of clear cell meningioma. It's the one meningioma subtype with a distinct methylation profile, likely due to the SMARCE1 loss (see image showing homozygous SMARCE1 loss in this case). Case courtesy of Hope Richard.
0
0
3
@Kenneth_Aldape
Kenneth Aldape, MD
5 months
Methylation Case 2 of the Week: 27 year old pt. with a spinal cord lesion, intradural, extramedullary. the diagnosis could be CLEARly seen from the CELLs. but MaybE Not InsurmouNtable with this GIfted Optical MAstery (sorry, that was the best I could do!)#neuropath #pathology
5
11
50