PeterKobalka Profile Banner
Peter Kobalka Profile
Peter Kobalka

@PeterKobalka

Followers
603
Following
30K
Media
368
Statuses
1K

Pathologist, teacher. Training and interests in neuropathology, cytopathology, thoracic, and general surgical pathology

Joined July 2022
Don't wanna be here? Send us removal request.
@PeterKobalka
Peter Kobalka
10 days
Yes, this is Paraganglioma! Key point is to consider other GATA-3+ entities
0
0
2
@PeterKobalka
Peter Kobalka
10 days
Additional stains were performed. Now what do you think?
2
0
2
@PeterKobalka
Peter Kobalka
10 days
70 F periaortic mass, hx of breast cancer. GATA-3 is shown. Do we have enough to make the diagnosis? #pathx #pathtwitter #cytology #cytopath #cytopathology #pathology
2
1
15
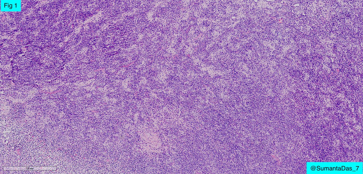
@SumantaDas_7
Sumanta Das
17 days
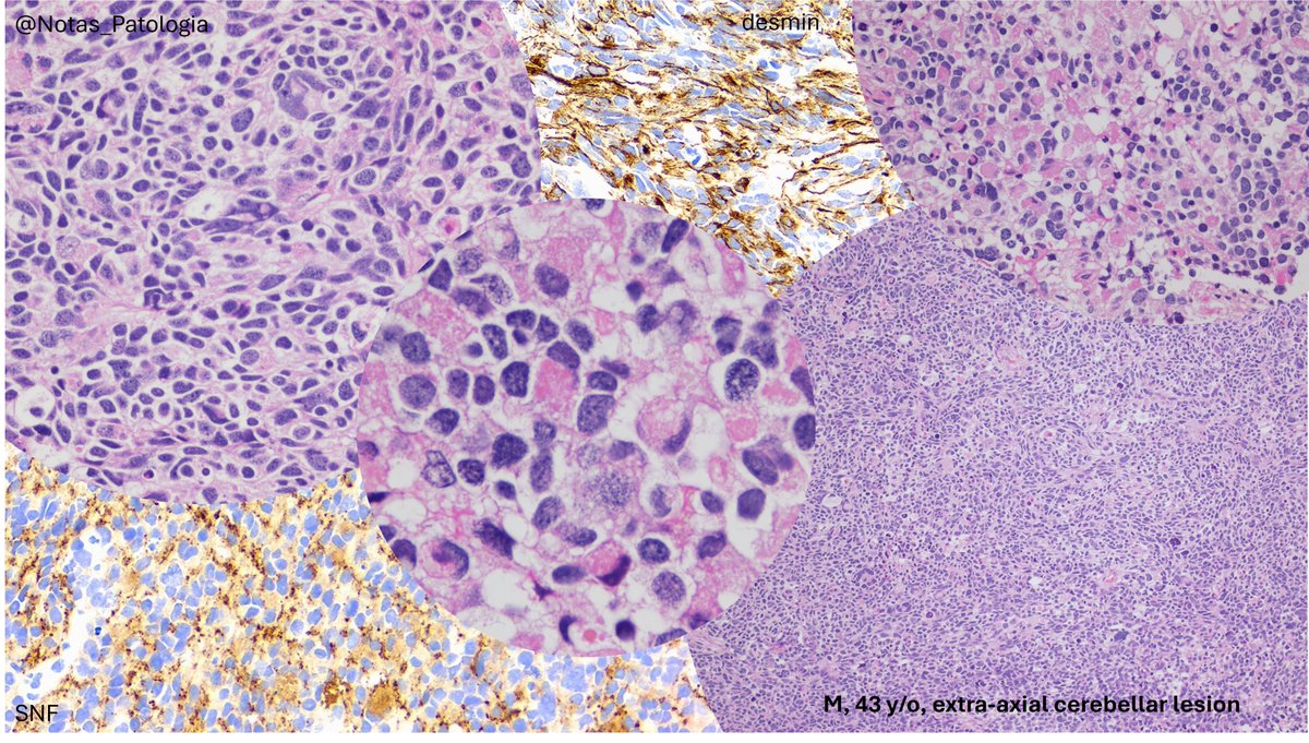
Adult Male. Dura based lesion. #PathX #PathTwitter #PathClassic #BSTPath #NeuroPath
3
22
55
@PeterKobalka
Peter Kobalka
25 days
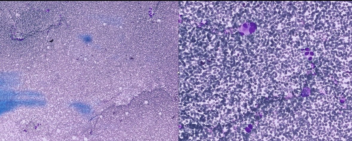
What is this? Glioma in a CSF! This can be challenging to recognize, as they look nothing like their appearance in surgical specimens! #cytology #cytopath #cytopathology #neuropath #neuropathology #pathx #pathtwitter
0
2
8
@PeterKobalka
Peter Kobalka
25 days
Oh cool! Placenta strongly expresses PD-L1! (Makes sense; you don’t want Mom to attack it…) #immunohistochemistry #pathology #pathtwitter #pathx #ihc
0
1
9
@ChristianRinke
Chris Rinke
2 years
It's an open secret that #Scientific #publishing is a joke! 😢 If you ever need a funny explanation for a friend who is not familiar with the publish or perish game, here it is - by the brilliant "Dr Glaucomflecken"
2
15
40
@ZMaleki_cyto
Zahra Maleki, MD, MIAC
1 month
Significance of Medical history- Station 7 lymph node FNA of a 73 years old, large single cells with plasmacytoid and oncocytic features, TTF-1, NapsinA, SOX10 negative, and AR positive DX: metastatic salivary duct carcinoma #CytoPro @AmerSwid @JHUPath @IACytology @IAPCentral
1
15
51
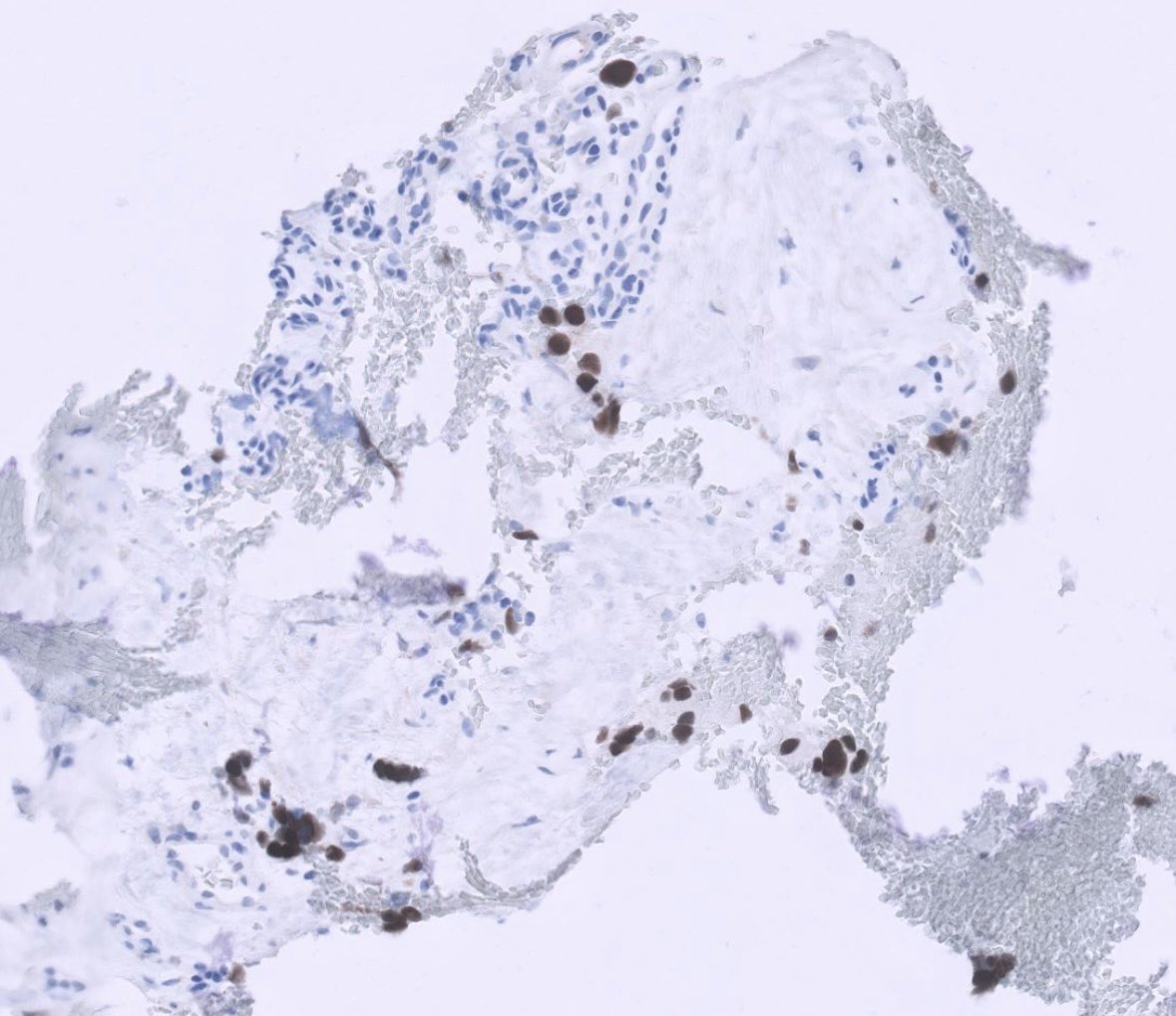
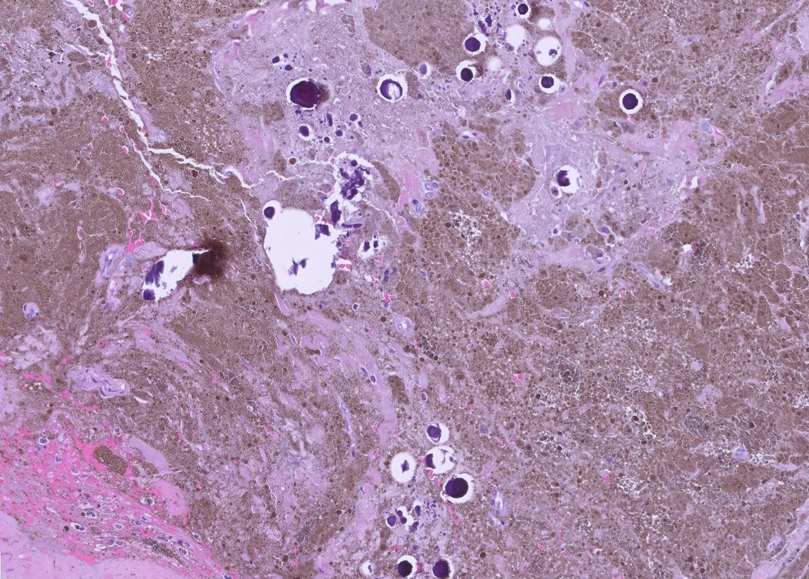
@PeterKobalka
Peter Kobalka
1 month
Mass of spine 32M. Malignant Melanotic Nerve Sheath Tumor (MMNST). Heavily pigmented tumor. Note the frequent psammoma bodies here, a clue to the correct diagnosis. Syndrome/molecular? Other features of this syndrome? #pathx #pathtwitter #neuropath #neuropathology #cnspathology
0
5
31
@JaredAhrendsen
Jared T. Ahrendsen MD, PhD (AP/NP/FP)
1 month
What pathologies can be seen in these two photos? In what clinical scenario are these changes typically observed? #neuropath 🧠🔬
9
28
121
@PeterKobalka
Peter Kobalka
2 months
Two, glial markers will be NEGATIVE if all you have is the PNET or sarcoma component of a glioma/gliosarcoma!
0
0
2
@PeterKobalka
Peter Kobalka
2 months
3rd ventricle mass. glial markers negative. SYN+ as is TTF-1 (shown). Molecular signature is GBM. Two important points: TTF-1 is sometimes positive in the PNET component of a glioma! #pathx #pathtwitter #pathology #cnspath #neuropath #neuropathology
2
1
16
@Notas_Patologia
NotasDePatologia
2 months
🧠 Medulloblastoma with muscular differentiation (medullomyoblastoma) — practical review 🧾 Definition Medulloblastoma with muscular differentiation (historically “medullomyoblastoma”) is a histologically defined medulloblastoma that shows frank or focal myogenic
0
13
33
@PeterKobalka
Peter Kobalka
2 months
Tylenol causes autism? Maybe we should have Andrew Wakefield weigh in… #Autism #vaccineswork
0
0
0
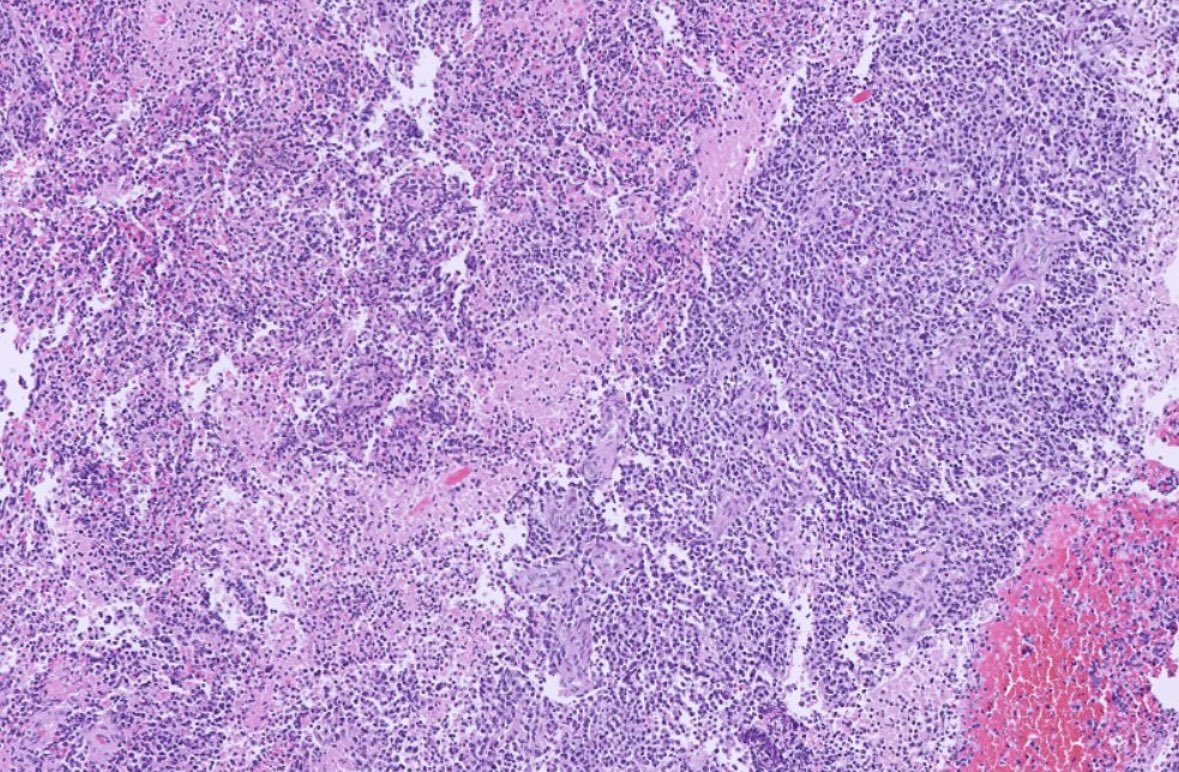
@PeterKobalka
Peter Kobalka
2 months
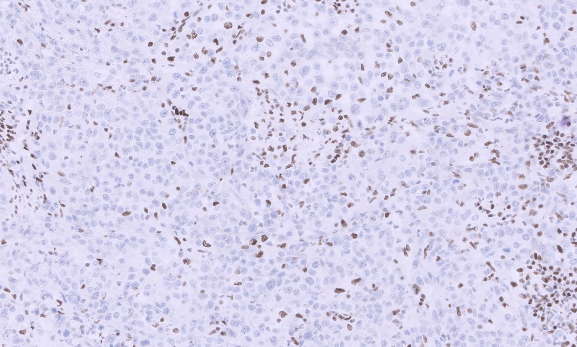
CAM5.2 and SMARCA4 shown below. Now, what’s do you think?
0
0
0
@PeterKobalka
Peter Kobalka
2 months
Other considerations included a met SCC (not likely, given histology) NUT Carcinoma and other poorly differentiated entities.
1
0
0
@PeterKobalka
Peter Kobalka
2 months
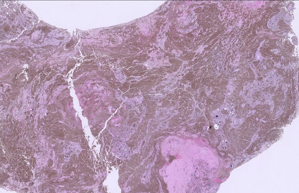
Diagnosis?
1
0
0
@PeterKobalka
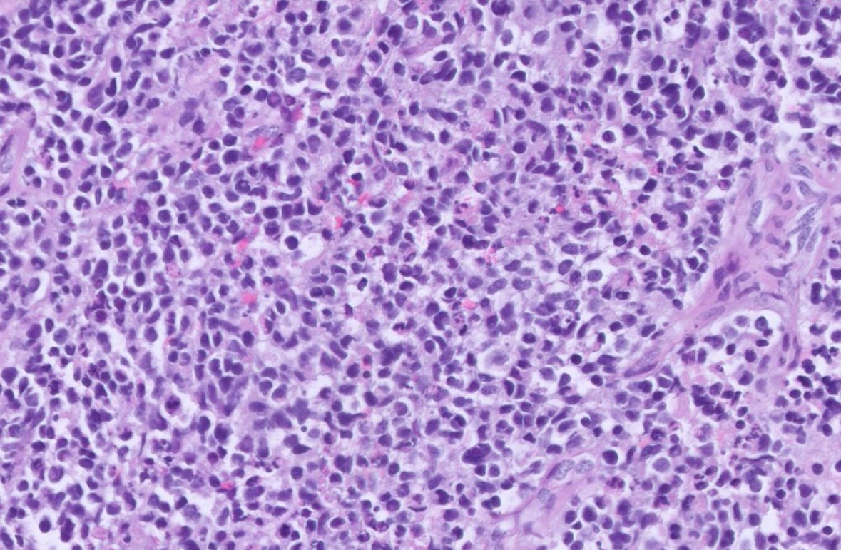
Peter Kobalka
2 months
60s male Hx tonsilar SCC, s/p RT. Now with large ant mediastinal mass. Stains? What’s your diagnosis? Poll below #thoracicpath #pathology #pathtwitter #pathx
1
0
1
@Saroja_DeviG
Saroja Devi Geetha
3 months
CSF with tumor cells from lobular breast carcinoma. Clues to look for (not all seen in this image): • Single cells & loose clusters • Indian file–like linear arrangement • Cytoplasmic blebs • Semilunar nuclear contour #PathTwitter #MedTwitter #CytoPath #PathResidents
2
21
51