Explore tweets tagged as #ebv
@dlingenfelter
David Lingenfelter, PhD (UCLA, Phys-Org Chemistry)
16 days
T cells trained to fight Epstein-Barr virus mistakenly attack the brain’s ANO2 protein, triggering MS through molecular mimicry. This discovery links EBV to MS and opens doors for targeted vaccines and personalized therapies based on ANO2 reactivity. (1/2)🧵
3
45
165
@msaerens01
Michael Saerens
1 day
📢Just out in @JAMAOnc: 5 year OS data OF CAPTAIN1st trial in #nasopharyngealcancer: 🔥adding Camrelizumab to chemo improves survival: 5 year OS 38% vs 24% 📉EBV clearance as excellent prognostic marker 🛑 safe to stop IO at 2yrs in absence of progression 👇 @OncoAlert
0
5
17
@i2ebv
عالم النساء 💄🎀💗🪞
3 days
منتجات شعركم بيشوف الهنا معها خلال شهر بسسس
13
27
1K
@loscharlos
charlos
4 days
Hey #LongCovid fam — EBV has been positive for last year +. I’ve been on Valganciclovir (valcyte) for 11 months now. Any other ideas on how to address this ?
36
20
87
@DrJackKruse
☣️ Pleb Kruse = BTC foundationalist in exile 🟩🔆
11 days
A new centralized MD showed up today in El Salvador to consult with me about why his patients in Denver keep coming down with Lyme disease, Bartonella, and EBV. He lives in a city, which I have tested which is horrible and already polluted with 5G as an earlier adopter and he
25
174
597
@Dr_Gulfaraz
Gulfaraz Khan PhD, FRCPath
9 hours
👏Congratulations to my PhD student, Atia Rasheed for being awarded 1st place🥇 in the Oral Presentation at the 4th AAU Health & Biomedical Postgraduate Symposium held in Abu Dhabi. Atia’s project aims to understand the role of #EBV and #vitamin D in the pathogenesis of #MS.
1
0
4
@ApexAlbon
J
9 hours
everyday i'm reminded that we have to share the world with these dumb ass people. it's been proven numerous times that the vaccine is fine and that covid is oncogenic. also you had ebv before. guess what getting covid does if you've had ebv. but sure go eat grass and lick a rock
@kennyhealth444
kenny
1 day
pov: you’re a 25 year old getting treatment for a rare and aggressive cancer that suspiciously emerged months after the c-19 v. no family history. the nurse hooks you up to your first iv chemo of the day. you check the manufacturer’s label on the bag. it’s made by pfizer.
0
0
29
@MSKCancerCenter
Memorial Sloan Kettering Cancer Center
1 day
A new collaborative research study by researchers at MSK, @AstraZeneca, and @Baylor College of Medicine, has identified 22 specific genetic variants that are linked to both higher active levels of the Epstein-Barr virus (EBV) and risk for chronic diseases of the lung and heart,
2
5
38
@i2ebv
عالم النساء 💄🎀💗🪞
17 days
هذي المنتجات بتدعيييين لي عليهاا✨✨
9
12
375
@suesskatzi
Heliuwum
10 days
Meine Kollegen freuen sich immer wenn ich Fotos von schönen Zellen mache, darum hier auch für euch: Schöne Plasmazelle im peripheren Blut bei Kind mit Virusinfektion (V.a. EBV) Leberwerte alle stark erhöht, Leber vergrößert, laut Kinderarzt dadurch sogar Milzriss
9
0
73
@kfitzgeraldnd
Dr. Kara Fitzgerald
7 days
One of the clearest mechanistic links yet between EBV and lupus. New Science Translational Medicine data show EBV can reprogram autoreactive B cells, amplifying immune dysfunction, not just triggering flares. Important for how we think about autoimmunity. PMID: 41223250
0
1
2
@DrSamuelBHume
Samuel Hume
2 days
The DNA of the Epstein-Barr virus (EBV) can hang around in our cells for many decades When it does, it's associated with a range of diseases (beyond the known links with cancer and autoimmunity): COPD, fatigue, depression... This virus is a menace, and we should eradicate it
10
32
213
@3JART91
Jeremy Johaness Johnson
15 days
🙋Ahoj všem!!! Za RT a ❤️ děkuji!!! #roztrousenenoviny 📰 👩‍🔬Vědci už dlouho vědí, že virus Epstein-Barrové (EBV) je hlavním rizikovým faktorem pro vznik roztroušené sklerózy. Ale EBV má v těle skoro každý dospělý člověk (95 % populace). Proč tedy RS dostane jen někdo? Odpověď
4
24
91
@johnholowach
J O H N
11 hours
@Kenneth33071904 So apparently this was back in 2023 and the proposed mechanism is that the Pfizer vaccine reactivated Epstein-Barr virus that caused her cancer *18 months* later. Can vaccination reactivate EBV? The evidence isn't non-existent, but it's sparse: https://t.co/gJtvZHs7uX There's
4
0
142
@EricTopol
Eric Topol
2 days
We just learned about some secrets of the Epstein-Barr virus (not files)! New, ingenious method to quantify EBV load from its DNA sequence in the blood, which correlates with different diseases. Also specific variants of EBVDNA had clinical relevance. Load (EBVemia) not linked to
20
106
532
@i2ebv
عالم النساء 💄🎀💗🪞
6 days
اذا قلنا فستان انثوي نقصد هذا
21
18
2K
@wtogami
Warren Togami
4 days
@loscharlos Interesting. Over 7 months I tested positive for EBV IgM three times. EBV IgG positive the first time but it became negative the two subsequent tests (wtf?). EBV PCR never positive. I decided to try valacyclovir instead of valgan because it's safer. After the first dose ... 1/
2
0
3
@CalebLareau
Caleb Lareau
2 days
⚠️ If you’re reading this, you’ve been infected* ⚠️ *~95% the human population has been infected by the Epstein-Barr Virus (EBV). Today in @Nature with @nyeo_sherry, @EMC22381830, @RyanDhindsa @SlavePetrovski, we shed some light on what happens next. https://t.co/Db1j4aHeFO
21
120
452
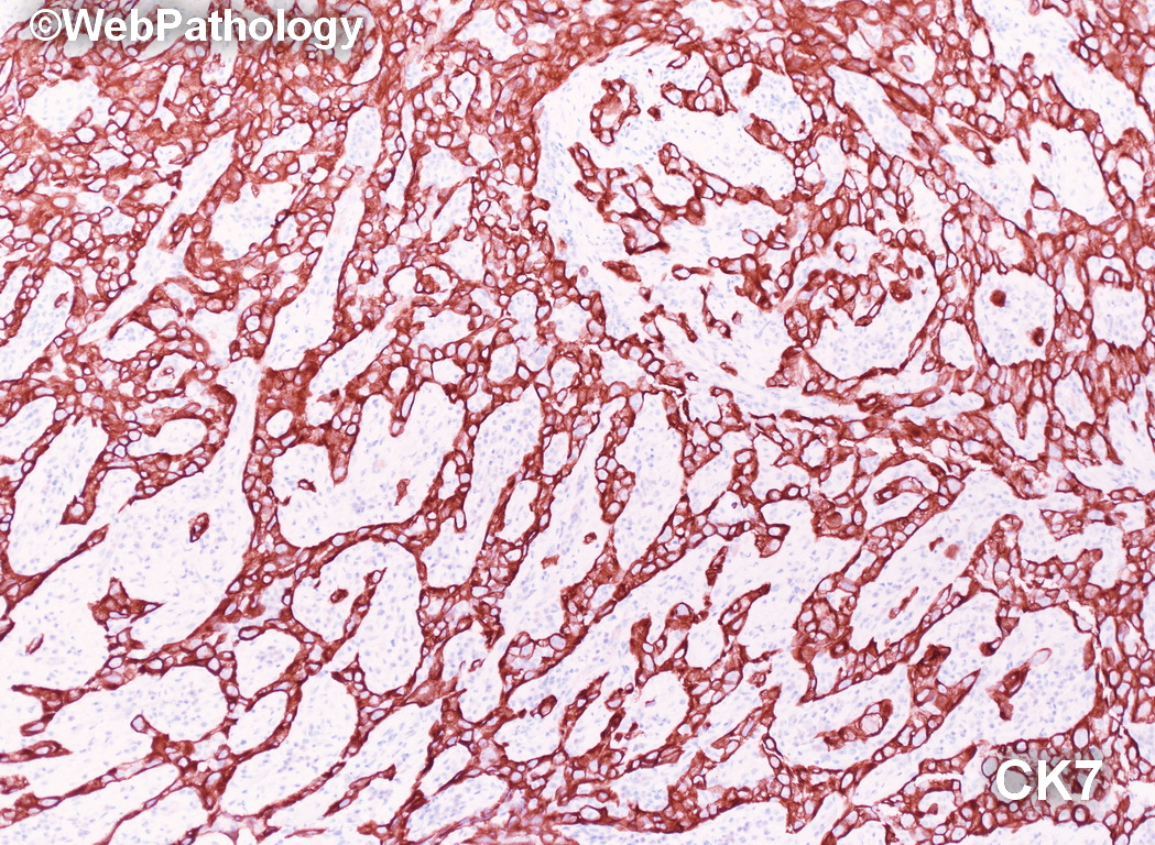
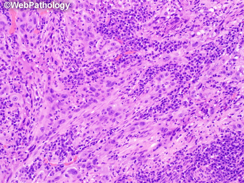
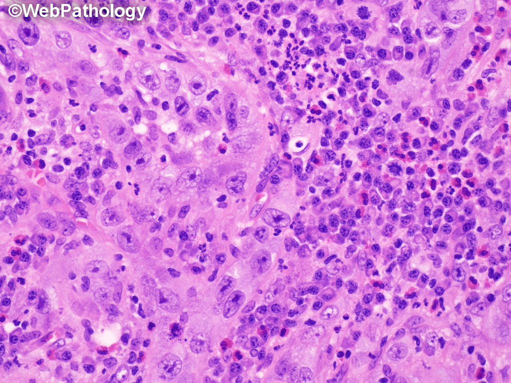
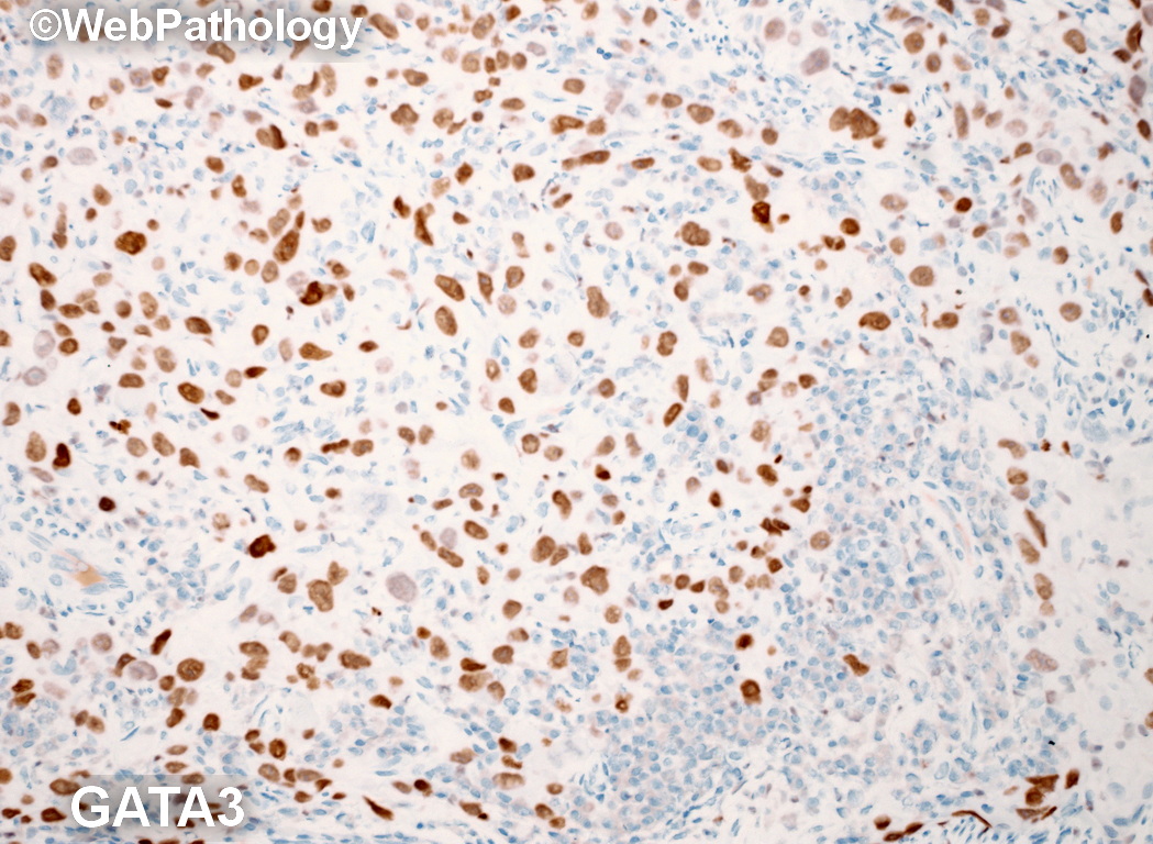
@WebPathology
WebPathology
3 days
Additional images: Lymphoepithelioma-like Urothelial Carcinoma. Sheets, clusters of undiff. cells with syncytial appearance surrounded by lymphoplasmacytic infiltrate. Resembles nasopharyngeal lymphoepithelioma but lacks association with EBV or HPV. Pos for cytokeratins, GATA3.
0
12
35