
Julie Feldstein,MD
@feldstej
Followers
7K
Following
62K
Media
8K
Statuses
46K
Chief Pathologist @Histowiz #Telepathology #DigitalPathology #AI @NCI @msk @CAP @mssm #mom #pathpower20 @PathOutlines @ASHScientificCommittee
New York, NY
Joined March 2012
44
61
321
2
0
4
1
1
9
0
3
16
3
4
30
1
0
16
3
8
28
Cardiac myocytes (heart muscle cells) differentiating from iPS cells photographed through a microscope. Actin filaments and nuclei are shown. #CellBiology
3
16
126
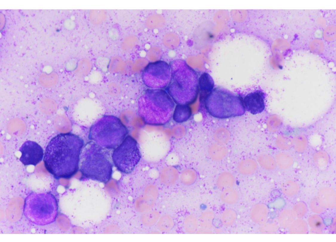
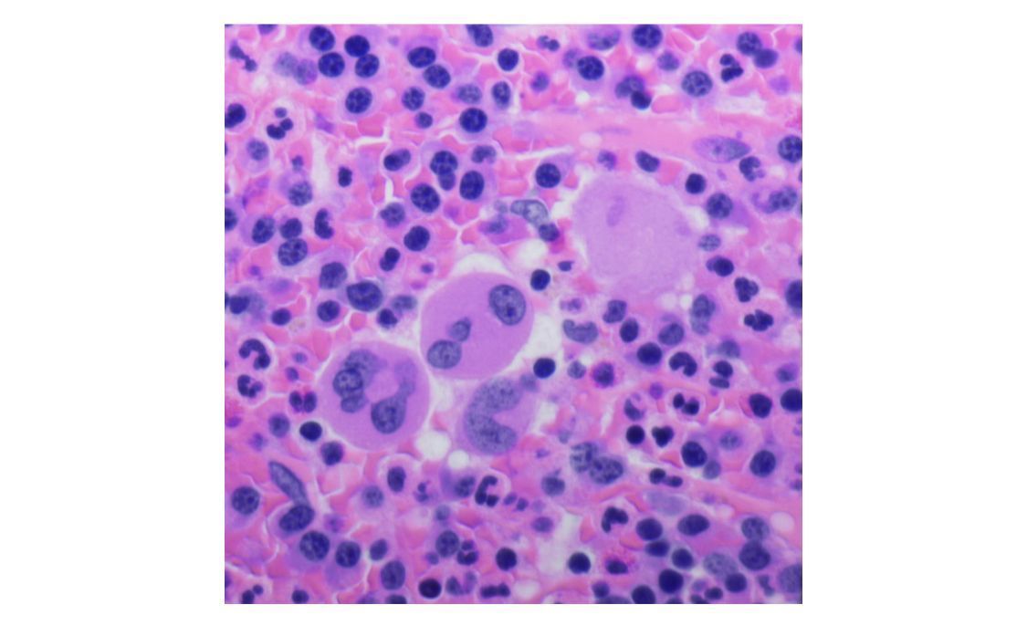
@feldstej They look like megas with a cohesin defect, such as a stag2 mutation. These peripheral wreath like megas are typical in gata2 deficiency with somatic stag2 variants. I’ve also seen them in the setting trisomy 8 and Cornelia de Lange syndrome (germline cohesinopathy)
0
1
15
A high-res look inside an inflamed nasal tissue of a patient with chronic eosinophilic #rhinosinusitis! Disrupted #eosinophils and beautiful Charcot-Leyden crystals (blue) revealed by #ElectronMicroscopy! #Pathology #MicroscopyMonday
0
5
11
1
2
13
1
4
36