drgauraang Profile Banner
Gauraang Profile
Gauraang

@drgauraang

Followers
305
Following
3K
Media
17
Statuses
788

Cricket. Food. Radiology.

England, United Kingdom
Joined January 2012
Don't wanna be here? Send us removal request.
@Gastro_Ash
Ashish Srinivasan MD PhD
15 days
📘 Here’s our review of Imaging in perianal #Crohn’s disease 🔍MR Pelvis | Endoanal US | Transperineal US ⚙️ We examine strengths, limitations, & clinical utility of each imaging modality 💡An #IBD × #Radiology collab WJG🔗 https://t.co/f7e2PZ0wVs @drgauraang @VasudevanAbhi
1
16
36
@ibdseb
Seb
24 days
Date 📅 for the diary 📔 of all #IBD colleagues The premiere #IBD Congress in the world 🌎 #ECCO in February 26 at Stockholm Please register early https://t.co/J6goQdbwg4 If you are not an #ECCO member ask the ❓ why not 😊 Look forward to seeing all 🇸🇪
0
13
27
@BowelUltrasound
InternationalBowelUS
3 months
We’re pleased to announce the “ECCO-ESGAR-ESP-IBUS Guideline on Diagnostics and Monitoring of Patients with IBD,” a project involving IBUS, showing the role of IUS in the diagnosis and monitoring of IBD patients. P.1: 10.1093/ecco-jcc/jjaf106 P.2: 10.1093/ecco-jcc/jjaf107
0
32
68
@BSGAR_UK
BSGAR
5 months
Want to know how someone else approaches reporting IBD?! The BSGAR spotlight 🔦 paper for June can help Check out How I Do It: Cross-sectional Imaging in Small-Bowel Crohn Disease and Ulcerative Colitis 👉 https://t.co/hFtVEzRkru 🤩 @_the_SRT @EsgarSociety @RCRadiologists
pubs.rsna.org
Cross-sectional imaging, particularly MR enterography and intestinal US, is now the mainstay for diagnosing and monitoring inflammatory bowel disease, providing a robust means of assessing activity...
0
6
14
@ShiYunZhao
SW Chew PhD MBChB
5 months
Another beautiful day in #Scotland Hugely successful small bowel ultrasound workshop 👏🏼🔥 Thank you to Canon for the machines and Drs Hameed, Grunshaw and Higginson! @scotrad
0
2
7
@BowelUltrasound
InternationalBowelUS
5 months
A few days since the ESGAR & IBUS Bowel Ultrasound Programme 2025 in Amsterdam — and we're still buzzing! Huge thanks to our incredible faculty and engaged participants. You made it all possible. #ESGAR2025 #IBUS #BowelUltrasound #MedicalEducation
1
1
13
@BowelUltrasound
InternationalBowelUS
5 months
We’ve just wrapped up a fantastic edition of the ESGAR and IBUS Collaboration – Bowel Ultrasound Programme 2025 in Amsterdam! Thank you to everyone who joined us to share knowledge, connect, and innovate. Your participation made this congress a true success! #IBUS #ESGAR2025
0
2
13
@bottomlineibd
The Bottom Line IBD
7 months
My mum is in @FrimleyHealth with a broken shoulder. When I hear her talk of the sheer joy of a care assistant washing her hair, and her 99yo bed neighbour, Beryl who just wants somebody to say hello, you realise that true medicine really is in those light touch moments.
4
1
21
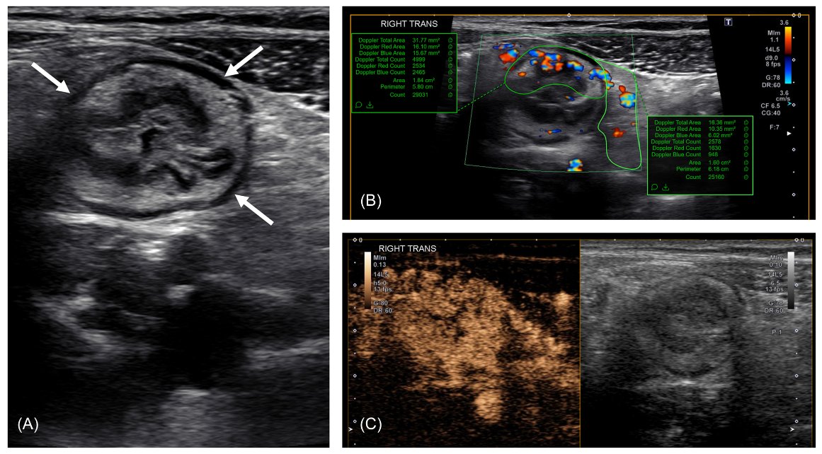
@therealjonadill
Jonathan Dillman
7 months
Time to move intestinal #ultrasound Doppler blood flow assessments from qualitative to quantitative in #Crohns - we can likely do better by measuring vessel density ⬇️ @CincyKidsRad @MotilentNews @JPGNonline https://t.co/XLL2mAawQW
1
3
11
@BowelUltrasound
InternationalBowelUS
7 months
Join the upcoming IBUS Webinar on Wednesday, the 26th, at 11:00 am CET for an in-depth session on "Differential Diagnosis in IUS" with Dr. Frauke Petersen and Dr. Shintaro Sagami. 👉 Visit the IBUS website for more details and to secure your spot: https://t.co/ydlJyPuM9C
0
7
18
@BowelUltrasound
InternationalBowelUS
8 months
IBUS celebrates International Women's Day 🙌 Women members of the IBUS committees and office, near and far! #WomensDay25 #internationalwomensday2025 #IBUS
0
14
34
@RuneWilkens
Rune Wilkens
8 months
I am delighted to be part of this prospective inception cohort study led by @GormRoager @BowelUltrasound predicts long-term steroid-free clinical remission in #ulcerativecolitis. "In conclusion, our study highlights transmural remission as an achievable treatment target in UC,
0
9
24
@DrYoonAn
Dr Yoon-Kyo An
8 months
Huge congratulations to Myat Khaing, @Dr_RFernandes, and Ei Swe for their poster presentations at #ECCO2025! Their research, supported by the #GENIUS grant, explores the role of #handheld ultrasound in clinical practice—an exciting step forward in IUS innovation. A fantastic
0
1
16
@profstuartaylor
Stuart Taylor
8 months
It all went well! Great multi society collaboration. Guidelines will be out very soon
@BowelUltrasound
InternationalBowelUS
8 months
Don’t miss Torsten Kucharzik’s talk tomorrow on at the ECCO 2025: ECCO – ESGAR – ESP – IBUS: Multi-society Guidelines on Diagnostics and Monitoring of Patients with IBD! More info: https://t.co/YSG5qOpOcx #IBUS #IUS #ECCO
0
4
8
@bottomlineibd
The Bottom Line IBD
8 months
*NEW IBD PODCAST* My Crohn's compadre (@Crohnoid) and I have 70 years' lived IBD experience between us! So we've just recorded the first of 8 #IBD podcast episodes where we reflect and opine on it all! 😁 Stay tuned for Episode 1 this week: to start or to stop meds?
2
9
65
@BowelUltrasound
InternationalBowelUS
8 months
Don’t miss Torsten Kucharzik’s talk tomorrow on at the ECCO 2025: ECCO – ESGAR – ESP – IBUS: Multi-society Guidelines on Diagnostics and Monitoring of Patients with IBD! More info: https://t.co/YSG5qOpOcx #IBUS #IUS #ECCO
0
3
11
@BowelUltrasound
InternationalBowelUS
8 months
A wonderful evening at the IBUS Members Meeting in Berlin! Great venue, happy guests, and special moments. Congrats to Polychronis Pavlidis for winning the ECCO IBUS Grant! And of course: A heartfelt thank you to Frauke Petersen, our honorary IBUS member. #IBUS #ECCO
0
7
27
@alimentiv
Alimentiv
8 months
We are pleased to announce the extension of our exclusive collaboration with IBUS (International Bowel Ultrasound Group) as we both continue advancing intestinal ultrasound (IUS) as an additional imaging modality in GI clinical trials. Since 2023, Alimentiv has been delivering
0
1
3
@BowelUltrasound
InternationalBowelUS
1 year
Exciting news! Thanks to The Helmsley Charitable Trust’s funding, IBUS is partnering with Motilent to launch a revolutionary eLearning platform for bowel ultrasound education. Check this link for all the details: https://t.co/bDnMRoXI73 #IBUS #BowelUltrasound #eLearning
0
13
39
@charlie_lees
Charlie Lees
8 months
The world needs physicians who understand healing from both professional and personal perspectives, leaders who combine scientific rigor with creative vision, humans who can demonstrate transformation through authentic living.
2
5
50