
Andrew Gao
@afgao
Followers
2K
Following
3K
Media
129
Statuses
1K
Neuropathologist @UHN and Neuropathology Residency Program Director @UofT_LMP @uoftmedicine 🧠🔬 #neuropath 🇨🇦 #neuropathology
Toronto, Ontario, Canada
Joined June 2017
We are now offering a 2-year residency program in #Neuropathology, available to trainees after completion Diagnostic and Molecular Pathology residency. Applications are open for DMP residents until April 1 for 2026 start. Learn more:
lmp.utoronto.ca
0
1
6
The next edition of Tumors of the Central Nervous System is here! Impactful new discoveries, evolving diagnostic classifications, and rapid technical advances have reshaped the field. Having this essential atlas is key for supporting every practicing diagnostic pathologist.
0
11
25
Malignant transformation within an adamantinomatous craniopharyngioma. #pathx #PathTwitter #neuropath #neuropathology #cnspathology
1
11
28
cIMPACT-NOW update 11: Proposal on adaptation of diagnostic criteria for IDH- and H3-wildtype diffuse high-grade gliomas and for posterior fossa ependymal tumors https://t.co/jIhUIgbp69
#neuropath @neuropathology @IARCWHO
onlinelibrary.wiley.com
The Consortium to Inform Molecular and Practical Approaches to Central Nervous System Tumor Taxonomy (cIMPACT-NOW) updates provide guidelines for the diagnosis of central nervous system (CNS) tumors...
1
2
4
This 45-year-old patient underwent sural nerve biopsy to evaluate for potential etiologies of their progressive sensorimotor predominantly axonal polyneuropathy. An extensive clinical workup did not identify a clinical cause for the patient’s neuropathy (i.e. idiopathic). What
1
2
6
Check out Dr. Brat’s feature in The Pathologist where he reflects on his career as a neuropathologist and gives advice to those considering the specialty. @DanielJBrat @pathologistmag
https://t.co/ncBlZYwXuz
thepathologist.com
In conversation with Daniel Brat, professor of neuropathology and lifetime educator
1
14
53
This cohort study suggests that chromosomal alterations should be included in the WHO grading criteria for meningiomas, as they are associated with worse outcomes and can refine the current classification system. https://t.co/E2OURavMVY
@DrAMansouri @afgao
0
14
38
cIMPACT-NOW update 10: Recommendations for defining new types for central nervous system tumor classification #neuropath @Kenneth_Aldape @sahm_lab
@CHawkinsLab
https://t.co/vjZcgcDJ0T
onlinelibrary.wiley.com
Click on the article title to read more.
0
15
26
UHN marks the passing of Dr. James Till, whose work with Dr. Ernest McCulloch first demonstrated the existence of blood-forming stem cells in 1961 at Ontario Cancer Institute, now Princess Margaret Cancer Centre. His work has helped launch the field of #stemcell science.
0
14
44
New in Nature Cancer: CANON co-lead Dr. Julie Bennett and team show that 31% of AYA gliomas carry pediatric-type alterations. Findings highlight the need for age-specific approaches to diagnosis and treatment.
nature.com
Nature Cancer - Bennett et al. conducted a population-based study in adolescents and young adults with gliomas, revealing the specific molecular alterations and identifying potential...
0
4
8
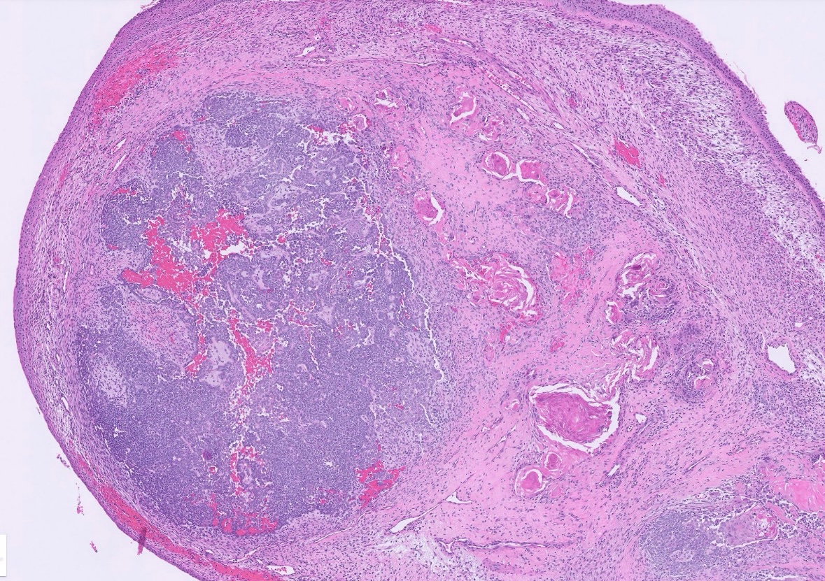
This 40-year-old patient has increasing back pain and lower extremity paraparesis. MRI of the cervical and lumbar spine with and without contrast showed multiple intradural leptomeningeal enhancing masses (spinal dissemination) with compression of the conus medullaris region.
2
3
4
Diffuse astrocytoma, MYB or MYBL1-altered. An infiltrating, but grade 1 glioma! (Note the trapped neurons—evidence of infiltration) Tumor cells rel. monomorphic, round to ovoid or spindly. It is strongly associated with epilepsy. #neuropath #neuropathology #pathx #PathTwitter
1
11
40
This new report by several ICOM authors in @JAMAOnc highlights the importance of a role for #CytogeneticProfiling in the next iteration of #CNS WHO grading. Read now: https://t.co/zivs2kY5Lx
@ap_landry @FarshadNassiri @justinzw @gelarehzadeh @Kenneth_Aldape @sahm_lab @afgao
0
4
13
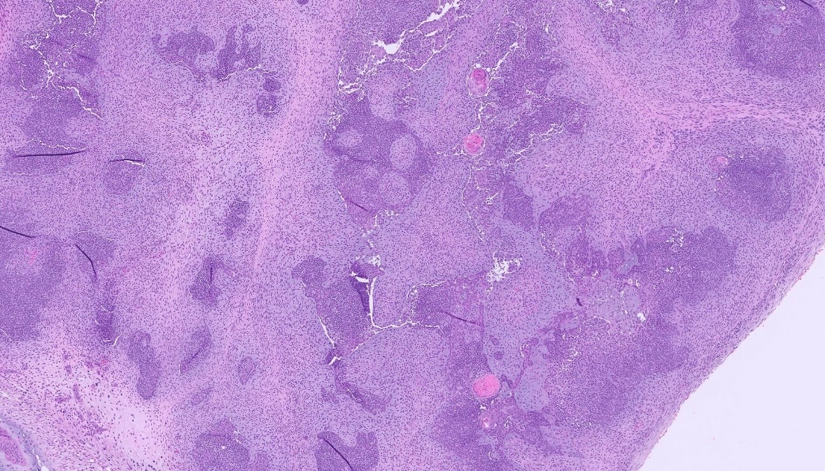
Intramedullary spinal tumor in a young woman. FISH showed apparent 1p/19q codeletion. Other molecular findings include BRAF fusion. Diagnosis? (You don't need to consult the Division for Lizard Governance and New Taxes to get this one right.😁) #pathology #neuropath #pathtwitter
7
17
71
Now online! Autoimmune mechanisms elucidated through muscle acetylcholine receptor structures
cell.com
Structural elucidation of the human muscle acetylcholine receptor bound to pathogenic autoantibodies from myasthenia gravis patients defines epitopes and mechanisms underlying channel inhibition and...
2
45
143
Our new paper in @JAMAOnc demonstrating how #cytogenetics can inform #classification of #meningiomas in clinical practice Led by @ap_landry @justinzw @UofTNeuroSurge @UHN_Research @UHN @gelarehzadeh @MayoClinicNeuro @Kenneth_Aldape + many more @ICOMeningioma collaborators
Our new paper is out today in @JAMAOnc demonstrating the importance of chromosome 1p loss and 1q gain in #meningioma grading https://t.co/5q6WT1kq7r
@justinzw @gelarehzadeh @FarshadNassiri
2
4
31
Our new paper is out today in @JAMAOnc demonstrating the importance of chromosome 1p loss and 1q gain in #meningioma grading https://t.co/5q6WT1kq7r
@justinzw @gelarehzadeh @FarshadNassiri
jamanetwork.com
This cohort study examines chromosomal copy number alterations that could be used to improve the current World Health Organization grading of meningioma.
5
14
57
Teenage male with normal developmental milestones but difficulty playing sports or running. What is the diagnosis? Check the thread for more diagnostic images 👇 #pathtwitter #pathx #neuromuscularpath #neuropath #neuronotes
1
3
8
Dr. Zadeh delivered an outstanding lecture as their Dorothy Klenke Nash Lecturer at UPMC, presenting her work on advancing the understanding of meningiomas. A real tour de force in neuro-oncology and skull base @gelarehzadeh @MayoClinicNeuro @UPMC @hadjiMDPhD @DrRFriedlander
2
5
52