VMDatabase Profile Banner
VMDatabase Profile
VMDatabase

@VMDatabase

Followers
573
Following
333
Media
22
Statuses
128

Virtual Microscopy Database by American Association of Anatomists. Mission to share resources for global education, scholarship, collaboration & research

Joined February 2017
Don't wanna be here? Send us removal request.
@VMDatabase
VMDatabase
6 years
A and B show the same organ but in a different state! Can you identify this organ and its specific state (A and B)? More virtual slides are available at VMD! #Educators and #researchers Join https://t.co/dMCd1gPtSm!  #histology #embryology #anatomy #staysafeandhealthy
1
0
12
@VMDatabase
VMDatabase
6 years
Image Credit: University of Michigan, Dr. Michael Hortsch
0
0
0
@VMDatabase
VMDatabase
6 years
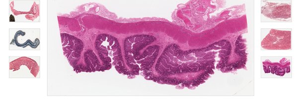
This organ is derived from the foregut. Can you identify this organ and more specifically, which part of the organ this virtual slide shows? #Educators and #researchers Join https://t.co/dMCd1gPtSm for more virtual slides! #histology #embryology #anatomy #staysafeandhealthy
2
1
7
@VMDatabase
VMDatabase
6 years
This organ allows us to see beautiful faces around us. Identify this organ. This virtual slide shows a space (red arrows) created by loose connection between two layers. What are these two layers? #Educators and #researchers Join https://t.co/dMCd1gPtSm for more virtual slides!
3
0
8
@VMDatabase
VMDatabase
6 years
This organ is derived from the neural crest cells and the intermediate mesoderm. Can you identify this organ? Also, ID the layer highlighted in cyan and the hormone secreted from that layer. #Educators and #researchers Join https://t.co/dMCd1gPtSm!  #histology #embryology #anatomy
2
0
10
@VMDatabase
VMDatabase
6 years
63 new VMD applications processed so far this month! Happy to serve the global community in this uncertain times. VMD brought to you by @AnatomyOrg & generous virtual slide donors from arnd the world @LLCoolProf @havivag @hortschm @IHeartHisto @Chapman_Histo @DrKarenPinder & more
0
0
9
@VMDatabase
VMDatabase
6 years
Can you ID this structure? What major fiber type is found in this structure, and how does it contribute to the function of this structure? #Educators and #researchers Join https://t.co/dMCd1gPtSm! for more virtual slides! #histology #embryology #anatomy #staysafeandhealthy
3
0
5
@VMDatabase
VMDatabase
6 years
ID 1, 2, and 3 highlighted in the slide. What are their functions and embryonic origin? More virtual slides are available at VMD! #Educators and #researchers Join https://t.co/dMCd1gPtSm!  #histology #embryology #anatomy #staysafeandhealthy
0
1
4
@VMDatabase
VMDatabase
6 years
I appreciate these structures’ hard work every meal and snack time (yummm)! ID organ and the highlighted structure in the zoomed box. #Educators and #researchers Join https://t.co/dMCd1gPtSm for more virtual slides! #histology #embryology #anatomy #staysafeandhealthy
1
4
14
@VMDatabase
VMDatabase
6 years
I spy #histology #educators & #enthusiasts, many of them VMD contributors, admins & avid users! ❤👍❤ DHIG rocks!
@LLCoolProf
Dr. Lisa Lee
6 years
So happy the DHIG was able to virtually connect today! Thanks all for joining in and talking #histology #education #OnlineTeaching #assessment #anatomy20! @AnatomyOrg
0
0
2
@VMDatabase
VMDatabase
6 years
Did you wake up from birds’ singing and chirping this morning? This structure transduces mechanical energy to electrical energy for hearing! #Educators and #researchers Join https://t.co/dMCd1gPtSm!  for more virtual slides! #histology #embryology #anatomy #staysafeandhealthy
0
0
8
@AnatomyOrg
American Association for Anatomy
6 years
Mark your calendar for Wednesday at 3 PM Eastern for an #Anatomy20 #AnatomyDEI Twitter chat on #diversity in gross #anatomy, education, research -- moderated by @toppk @anatomalli @OrganJM @angeliquee_93 @lamsciworld #dei #anated
0
17
28
@VMDatabase
VMDatabase
6 years
ID organ and the highlighted structures in the zoomed box. These highlighted structures have their own specific name! More virtual slides are available at VMD! #Educators and #researchers Join https://t.co/dMCd1gPtSm!  #histology #embryology #anatomy #staysafeandhealthy
2
5
17
@AnatomyOrg
American Association for Anatomy
6 years
REMINDER: Virtual Annual Meeting Week begins Monday! Members & #Anatomy20 registrants: watch your inbox for daily VAMW emails. Follow along & participate online! https://t.co/ILEJPRCTVg #anatomy
1
15
24
@LLCoolProf
Dr. Lisa Lee
6 years
In one week, @ModHumAnatCU students will be presenting their educational #research & #scholarship in a #VirtualSymposium! Mark your calendars & hope to "see" many of you next week! @AnatomyOrg #anatomy20 @CUAnschutz
@ModHumAnatCU
CU-AMC Modern Human Anatomy
6 years
Join us April 6th for a Virtual Symposium! 2nd yr MHA's will present work accepted for presentation at a national conference, but are now unable due to COVID-19 conference cancellations. Join us virtually to hear the exciting student research & scholarship https://t.co/we2U74OXAZ
0
4
16
@AnatomyOrg
American Association for Anatomy
6 years
#ExpBio #Anatomy20 Update: Was your #anatomy abstract accepted for EB20? Upload an e-Poster to present your research! Deadline: April 7. Details: see the email "EB 2020 e-Posters: Upload a poster presentation" sent to accepted abstract authors from @expbio dated March 27.
0
3
7
@VMDatabase
VMDatabase
6 years
ID organ and the highlighted structure in the zoomed box. What is the function of this organ, embryonic origin, and vascular supply? #Educators and #researchers Join https://t.co/dMCd1gPtSm!  #histology #embryology #anatomy for more virtual slides at VMD! #staysafeandhealthy
0
2
3
@VMDatabase
VMDatabase
6 years
So glad we are able to serve #histology #educators during this unprecedented time!
@embryoprof
Jennifer Dennis (she/her)🔬🧠👩🏽‍🏫
6 years
Thank you @Anatomy & @VMDatabase for the amazingly spectacular histology slides for our members!! Creating a new GI Histo review for 1st year students, delivered remotely via @Lifesize ! Technology in action! #HistoHustle #Anatomy #MedEd #sundaymornings
1
1
7
@VMDatabase
VMDatabase
6 years
Are you doing yoga at home? Then, you know how important your feet are in yoga. Here is a cool #virtual #slide for you! Can you identify the type of ossification in the zoomed box? #Educators and #researchers Join https://t.co/dMCd1gPtSm for more virtual slides!
0
1
11
@LLCoolProf
Dr. Lisa Lee
6 years
We are putting on a Virtual Symposium on April 6th! These are of our @ModHumAnatCU student abstracts accepted for poster/platform presentations @AnatomyOrg Come check them out, engage in Q&A, and provide feedback pls! #AnatSci #Education #MedEd #EdResearch #Innovation
@ModHumAnatCU
CU-AMC Modern Human Anatomy
6 years
Join us April 6th for a Virtual Symposium! 2nd yr MHA's will present work accepted for presentation at a national conference, but are now unable due to COVID-19 conference cancellations. Join us virtually to hear the exciting student research & scholarship https://t.co/we2U74OXAZ
2
8
31