LLCoolProf Profile Banner
Dr. Lisa Lee Profile
Dr. Lisa Lee

@LLCoolProf

Followers
2K
Following
11K
Media
852
Statuses
5K

AssociateProfessor UC School of Medicine #Embryology #Histology #Anatomy #Pathology. Disseminating anatomical science pearls 1 tweet at a time.

Everywhere
Joined March 2010
Don't wanna be here? Send us removal request.
@James_Reed3
James Reed
8 months
Need a recap of day 1 of #AnatomyConnected25 and a local donut recommendation? I got you covered 😉
0
2
3
@AnatRecord
The Anatomical Record
8 months
In celebration of the @AnatomyOrg conference we're pleased to share a joint virtual issue on "Connecting organ development, evolution, and physiology" with our sibling journals, @DevelopmentalDy & @AnatSciEduc. Cross-disciplinary look at organogenesis! https://t.co/8i3BbD71OW
0
13
16
@LLCoolProf
Dr. Lisa Lee
1 year
A tale of 3 continents, innovative anatical sciences education featured in symposium #36! Lessons learned from innovation are sometimes better than the invitation itself #IFAA2024 @An040my
0
0
7
@AnatSciEduc
Anatomical Sciences Education
1 year
We are incredibly proud of Associate Editor @krebs_claudia, keynote speaker of #IFAA2024. #AnatEd #MedEd
0
8
33
@LLCoolProf
Dr. Lisa Lee
1 year
The future of #anatomy discusses the importance of embodied transdisciplinary collaboration & finding the area of intersection with the shared ground rules and understanding of scholarship. @krebs_claudia #ifaa2024
0
1
4
@AnatSciEduc
Anatomical Sciences Education
1 year
We are thrilled to partner with @AnatRecord and @AnatomyOrg for an exhibit at #IFAA2024. If you are attending the conference, please stop by to learn more about our journals and how to publish your work.
0
9
40
@LLCoolProf
Dr. Lisa Lee
1 year
Over 1000 attendees including us from @CUAnschutz at #IFAA2024 happening here in Gwangju Korea!
1
1
24
@Jeanninius
Jeannine Foley
1 year
📣Calling all Anatomical Sciences Program Leaders!! 🧠Represent your program by taking our survey🫀 https://t.co/KoELJ0oyZX 🫁 #AnatomicalSciences #Anatomy #GraduatePrograms #Survey #ProgramAssessment #PhD #MastersDegree @AnatomyOrg @LLCoolProf
0
2
2
@LLCoolProf
Dr. Lisa Lee
1 year
#AnatSci program leaders, pls complete this survey spearheaded by one of the @AnatomyOrg #DELTA fellows! We want to learn about your program! Pls tag programs & their faculty& staff you know. 🙏
@Jeanninius
Jeannine Foley
1 year
📣Calling all Anatomical Sciences Program Leaders!! 🧠Represent your🫀program by taking our Graduate Anatomical Sciences Programs (GASP) survey!🫁 https://t.co/KoELJ0oyZX #AnatomicalSciences #Anatomy #GraduatePrograms #Survey #ProgramAssessment #PhD #MastersDegree @AnatomyOrg
0
3
3
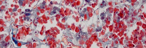
@Hashimoto__0
Hisham Alshuaibi
2 years
Biopsy from posterior mandible The clinician is worried about metastatic malignancy This is what you under the microscope, what is your diagnosis?
17
39
122
@DevelopmentalDy
DevelopmentalDynamic
2 years
Esophageal atresia, in which part of the tube that connects the #mouth to the #stomach is missing, is a birth defect of the #foregut. Learn how #cilia and IFT88 are critical for septation of the foregut and correct formation of the #trachea and #esophagus https://t.co/WEXZtdLWid
0
4
7
@DevelopmentalDy
DevelopmentalDynamic
2 years
The primordia of the #male and #female reproductive tracts are sexually dimorphic and derived the #Wolffian duct and the #Müllerian duct, respectively. Learn how anti-Müllerian hormone regulates this process. @_jsdb_ https://t.co/PNQ1pcZdca
0
2
3
@AnatRecord
The Anatomical Record
2 years
Uncover the secrets of Triassic Tetrapods! Join our webinar April 10 @ 12pm EDT, exploring ancient fossils in "Dawn of an Era: Comparative & Functional Anatomy of Triassic Tetrapods" by Drs. @KerberLeonardo, @FeliPinheir & @FlavioAPretto. Register now! https://t.co/9Go6IR8z9a
0
12
23
@LLCoolProf
Dr. Lisa Lee
2 years
A few days late, but Dr. Chelsea Lohman's platform on our autopsy-based prosection project in #MedEd at #Anatomy24 was simply fantastic 👌 👏 Thrilled to see the enthusiastic response from potential future collaborators! 😀 @AnatomyOrg @ModHumAnatCU
1
1
15
@AnatRecord
The Anatomical Record
2 years
The first report of preovipositional embryonic development in the legless gecko, Lialis burtonis (Gekkota: Pygopodidae). Study by @AaronHGriffing, @DrScanley & @danpaluh https://t.co/laZ37mjSig
0
8
41
@amandameyerphd
Dr Amanda J. Meyer linkedin.com/in/amandameyerphd
2 years
I spied this very gorgeous hypoglossal neuron in @LLCoolProf medulla oblongata slide on @VMDatabase. I can't get enough of neurohistology!
0
1
5
@LLCoolProf
Dr. Lisa Lee
2 years
0
0
21
@LLCoolProf
Dr. Lisa Lee
2 years
Great minds dress alike! Who can tell us apart!?! #Anatomy24 @briaunalea
1
0
33
@AnatRecord
The Anatomical Record
2 years
If you're attending #Anatomy24, check out our Master Class on Visualizing & Building the Musculoskeletal System, Sunday 3/24 3:30-5:00pm (Grand West), co-sponsored w/@DevelopmentalDy & @asejournal featuring presentations by Leonard Shapiro, Natasha Chang & @AdamHRose! @anatomyorg
0
5
9
@AnatRecord
The Anatomical Record
2 years
In honor of the start of the annual @AnatomyOrg conference, we are pleased to present a joint virtual issue on Advances in Imaging and Visualization in the Anatomical Sciences w/@AnatSciEduc & @DevelopmentalDy. Check it out here: https://t.co/MskuwaawM3 #Anatomy24 #Anatomy2024
0
9
20