Stuart Schnitt Profile
Stuart Schnitt

@SchnittStuart

Followers
3K
Following
464
Media
12
Statuses
501

Professor of Pathology @harvardmed, Chief of Breast Oncologic Pathology @DanaFarber, Senior Pathologist @BrighamWomens, Past President of @theUSCAP #BreastPath

Joined March 2017
Don't wanna be here? Send us removal request.
@ChristineDesme2
Christine Desmedt
2 years
Registration is now open for the annual invasive #lobular breast cancer symposium ( https://t.co/kBqV5sOMt5) which will take place in Leuven, Belgium, this year on September 23-25! Register now as places are limited. @OncoAlert
1
22
39
@IbexMedAx
Ibex Medical Analytics
2 years
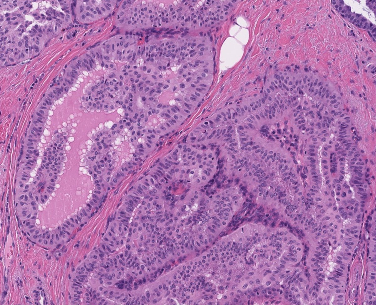
A closer look at this #USCAP2024 study, evaluating Ibex’s #AI platform's performance in detecting microinvasive breast carcinoma & showing very high accuracy for AI in identifying these minute tumors: https://t.co/kbBsi8zXdH #breastcancer #pathology @BrighamWomens @SchnittStuart
0
3
10
@MichelleDunno17
Michelle_Hirsch (Donovan)
2 years
The GOAT. 🔬🐐 @CFletcherMD
@DanaFarberNews
Dana-Farber News
2 years
Christopher Fletcher, MD, @DanaFarber has received the #AACR24 James S. Ewing-Thelma B. Dunn Award for Outstanding Achievement in Pathology in Cancer Research for discoveries transforming the cancer pathology field and establishing innovative therapies. https://t.co/h8dZJxEBI7
3
12
70
@DFCI_BreastOnc
Dana-Farber’s Breast Oncology Center
2 years
ESMO expert consensus statements (ECS) on the definition, diagnosis, and management of HER2-low breast cancer. Read the highlights 👉 https://t.co/4K9TttND8g
0
9
24
@ProfRAScolyer
Professor Richard Scolyer AO
3 years
Day 2 post op & feeling much better. Still in #ICU at #RPAH/@SydneyLHD. Op seemed to have gone well. Just waiting on #neuropathology
125
52
1K
@ProfRAScolyer
Professor Richard Scolyer AO
3 years
Hi all! Feeling great in neuro ICU at #RPAH/@SydneyLHD. Thanks so much to my friend & colleague Dr Brindha Shivalingam & team for meeting with my wife Dr Katie Nicoll & @ProfGLongMIA yesterday & for operating on me today! Thanks to friends & colleagues around world & @MelanomaAus
45
25
506
@chandrajitraut
Chandrajit Raut
3 years
Celebrating Chris Fletcher’s seminal contributions to #sarcoma care and our ⁦@DanaFarber⁩ ⁦@BrighamWomens⁩ sarcoma team with Beth Baldini, Andy Wagner, Suzanne George, George Demetri ⁦@DrSarcoma⁩ and ⁦@JLHornick⁩ ⁦⁦@BwhSurgOncology
7
12
94
@TedPellaInc
TedPellaInc
3 years
We are ready for you USCAP!!!
1
5
11
@garyleethompson
Gary L. Thompson
3 years
Day 75/250 of my "tour" of @BCRFcure funded researchers... sometimes you get a 2-for-1... Dr. Schnitt and Dr. Tung, both at @DanaFarber, "are analyzing blood and tumor specimens collected from INFORM participants to better understand... 1/2
bcrf.org
Stuart J. Schnitt has been a BCRF investigator since 2007. Learn more about their BCRF-supported research, impact, and progress so far.
1
4
9
@DFCI_BreastOnc
Dana-Farber’s Breast Oncology Center
3 years
A New View of HER2 Expression | Join Drs. Tarantino, Schnitt and Reis-Filho on March 13 in Person or Online for this @PeerView Symposium ➡️Testing/Treatment Advice for #HER2Low #BreastCancer. Register here: https://t.co/DAetZEPYva @PTarantinoMD @SchnittStuart
0
14
32
@ihartpathology
Stephanie Hart, MD
3 years
Patient presents with a 8 mm palpable breast mass. Diagnosis? What is the most common molecular finding for this entity? Answer and pearls in the comments! #PathTwitter #MedEd #breastpath #pathology
5
57
166
@AstridWeins
Astrid Weins
3 years
I am deeply honored to announce that I have been appointed to succeed my mentor and teacher, Dr Helmut Rennke, as the next Chief of Renal Pathology @BWHPath @BWHkidney. I can only attempt to fill these massive shoes of a true giant and pioneer in our field.
66
14
372
@TheUSCAP
USCAP
3 years
Announcing our 2023 Annual Meeting. See you in New Orleans! https://t.co/CfrkXIOt7d
1
18
38
@stolaney1
Sara Tolaney
3 years
Incredible lecture by @LANewmanMD who is dedicated to understanding and improving disparities in care and outcomes we see for our breast cancer patients; what an incredible way to honor the memory of Dr. Carolyn Kaelin! @DFCI_BreastOnc #bcsm
@dr_laurad
Laura Dominici MD
3 years
Fantastic grand rounds by @LANewmanMD in memory of Dr. Kaelin. @BrighamSurgery @DFCI_BreastOnc #bcsm “Outcomes depend on access to care”
0
3
23
@OKantorMD
Olga Kantor MD, MS, FACS
3 years
An inspiring talk by @LANewmanMD at the 4th Annual Carolyn Kaelin Visiting Lecture @DFCI_BreastOnc @BrighamSurgery on triple negative breast cancer disparities and the role of ancestry in defining the path forward! @TariKingMD @gmdoherty @kaelin_lab
0
8
28
@EMittendorfMD
Dr. E Mittendorf
3 years
@stolaney1 @DrHBurstein @AnnPartridgeMD @nlinmd @elmayermd - our work looking at racial differences in the immune response to breast cancer is a finalist for the BRIght futures prize. Can we count on your vote? (And spread the word😊)
@BrighamWomens
Brigham and Women's Hospital
3 years
We have three impressive cancer-related research projects participating in the BRIght Futures Prize competition. The team with the most votes will receive a $100,000 award to further their work. Learn more and vote NOW through Oct. 7: https://t.co/nKrGrO2X2C
2
10
25
@TariKingMD
Tari King MD
3 years
Thanks for sharing your work and expertise with us @LANewman - a phenomenal way to resume our Carolyn Kaelin Visiting Professorship @BrighamSurgery @DFCI_BreastOnc
@OKantorMD
Olga Kantor MD, MS, FACS
3 years
An inspiring talk by @LANewmanMD at the 4th Annual Carolyn Kaelin Visiting Lecture @DFCI_BreastOnc @BrighamSurgery on triple negative breast cancer disparities and the role of ancestry in defining the path forward! @TariKingMD @gmdoherty @kaelin_lab
0
1
13
@TariKingMD
Tari King MD
3 years
Looking forward to hosting Dr Lisa Newman @BrighamSurgery and @DFCI_BreastOnc for Carolyn Kaelin visiting Professorship.
0
7
30
@DoktoraMalvar
Grace L. Malvar, MD
3 years
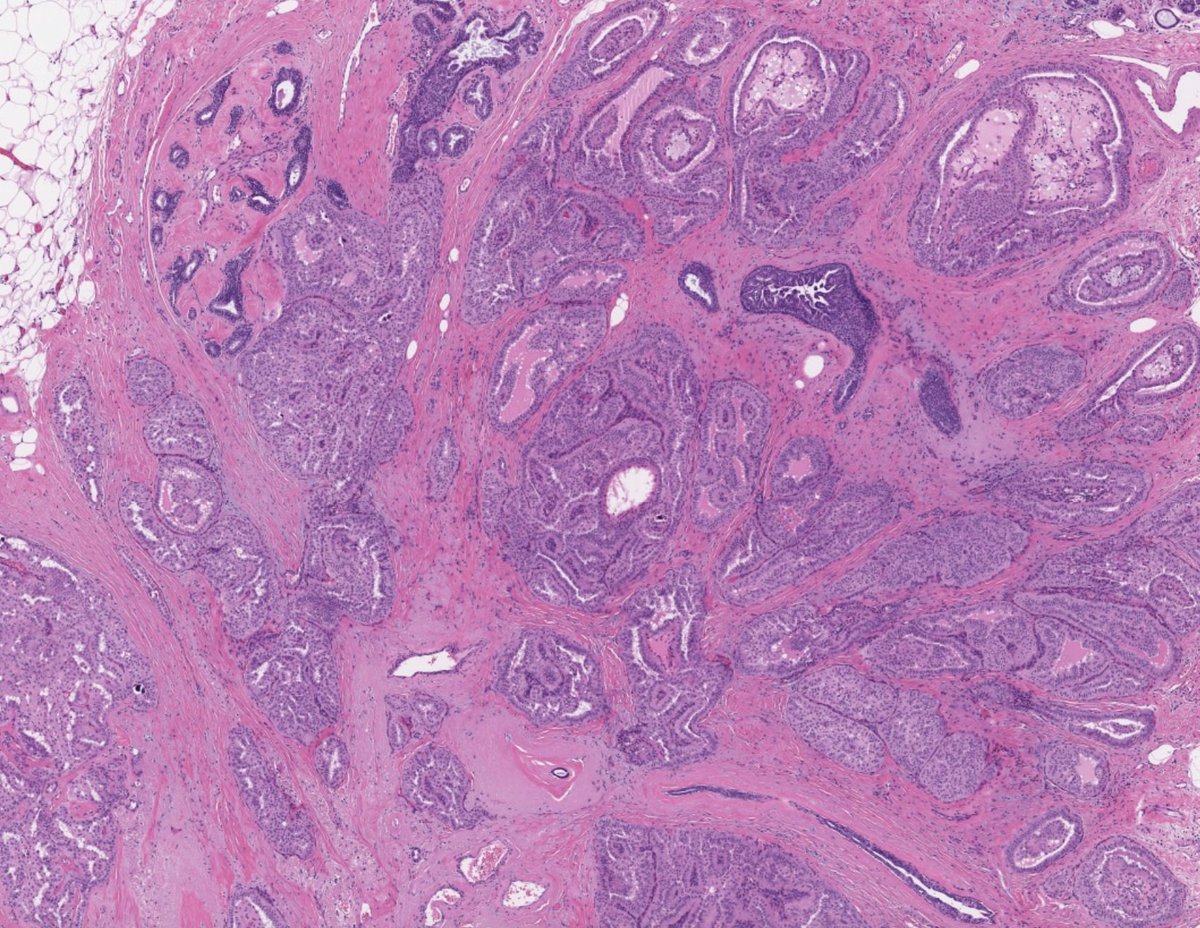
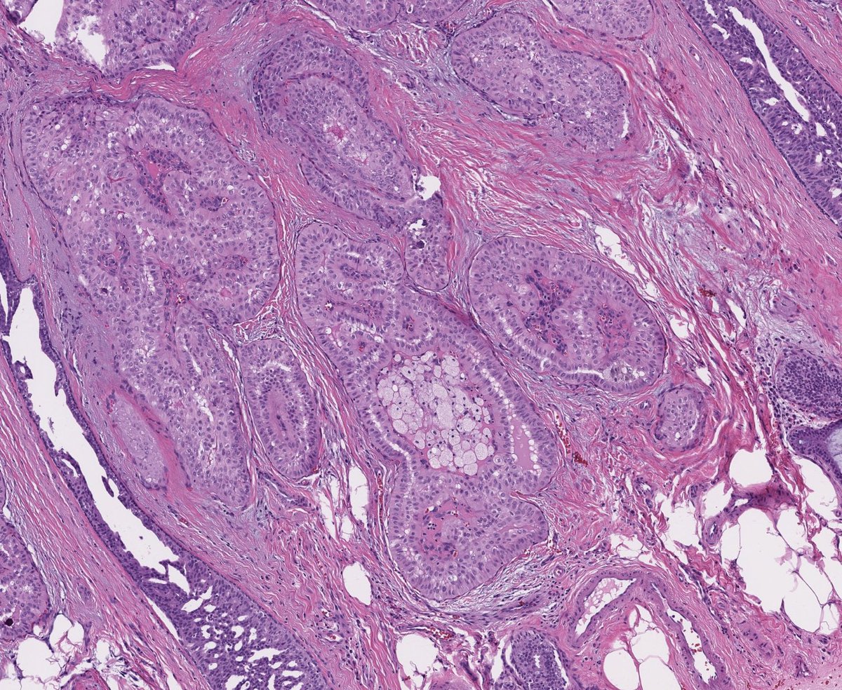
Dr. @SchnittStuart covering Updates on Lobular Carcinoma In Situ Classification and Management … WATCH OUT for invasive lobular carcinoma with aberrant e-Cadherin staining!
2
24
83
@IbexMedAx
Ibex Medical Analytics
3 years
Are you in Basel for #ECP2022? join this talk by Drs. @SchnittStuart @JudithSandbank on practical implications of using #AI in breast #pathology, looking at real world cases reviewed with AI and findings from recent clinical studies. See you at our booth (#1)! @ESP_Pathology
0
2
9