
Ritu Gupta, MD
@RenalGUPath
Followers
481
Following
1K
Media
4
Statuses
65
Renal and GU Pathologist with interest in QI. Views are my own.
Joined December 2019
Thankful for the opportunity to present at #KidneyWk2024 as @IcahnMountSinai faculty #MountSinaiNephrology
0
0
5
4
34
91
Our paper is out! IgG4-related kidney disease: Clinicopathologic features, differential diagnosis, and mimics. @drsigilani #renalpath @Renalpathsoc @MayoClinicNeph @MayoClinicPath
3
55
149
#We are hiring. Join the University of Zambia School of Medicine, Department of Pathology and Microbiology. #Haematopathologist #Anatomical Pathologists #MedicalMicrobiologists. #Copecsa
0
1
2
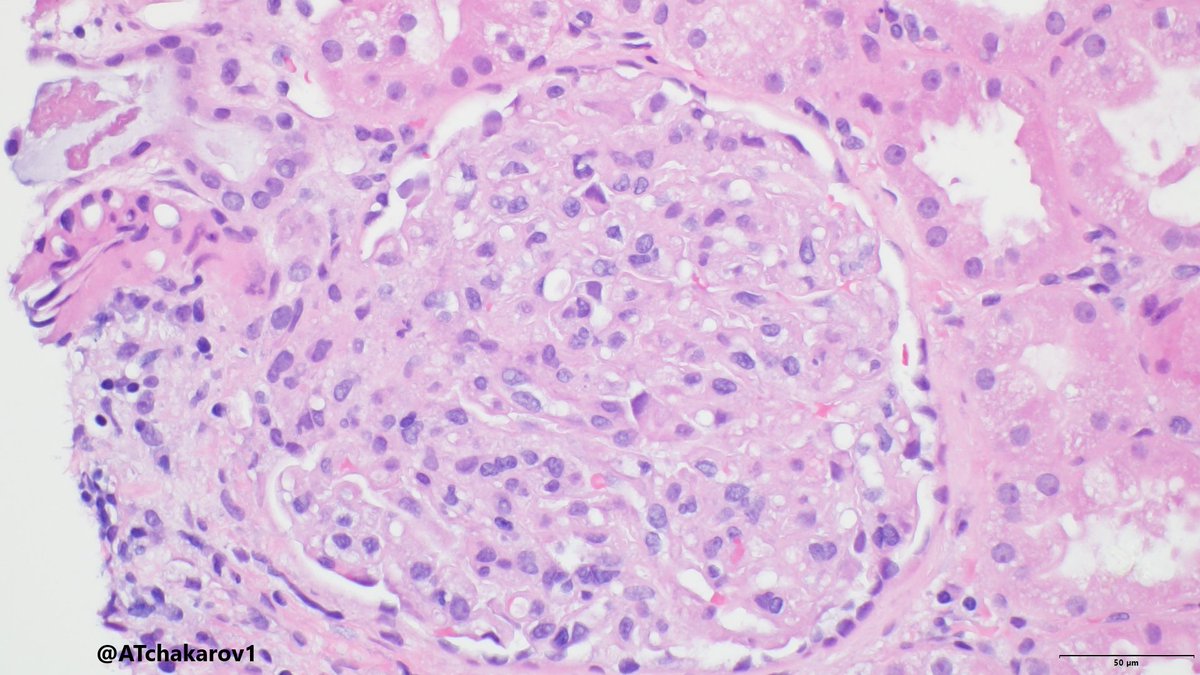
Some cases of light chain proximal tubulopathy are obvious by light microscopy, and others are more subtle. Here is an example of an obvious one! Best seen on the trichrome stain. Neg frozen IF; paraffin IF shows crystals #renalpath @MayoClinicNeph @MayoClinicPath @Renalpathsoc
1
22
56
“Culture is a set processes (and beliefs) in an organization that affects the total motivation of its people.” #SetThePath23 #pathology #CAPnow
Starting off the session, @ksirgimd discusses the ubiquity of workplace culture: “Even if you don’t think your workplace doesn’t have a culture, that, in and of itself, is a culture.” #SetThePath23
0
5
20
So thankful to have had this opportunity! Thank you #CAPELA #engagedleadershipacademy
📣📣These incredible @Pathologists #engaged #leaders are about to graduate from #CAPELA22 and I can’t wait to see and hear their INCREDIBLE stories and advocacy on the global stage!📣📣 @CareyAugust1 @AJoeSaad1 @eva_wojcik #pathology Please tag anyone I inadvertently missed!
0
1
20
Classic example! Thanks, @JeanHouMD
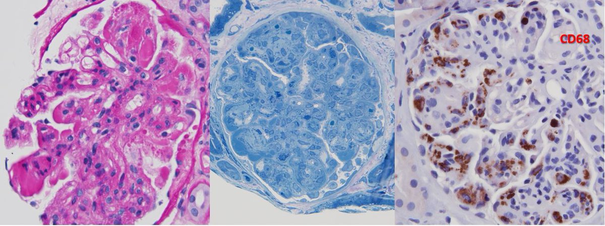
Crazy Cryo: 63 yo M w/ DM, syphilis, untreated (severe) HCV infection, bx/ed for proteinuria. Positive cryo's, SPEP with IgM-kappa paraprotein. Gloms with nodules, GBM double contours, macrophages, and intracapillary cryo aggregates. Classic EM findings. Yup, it STILL happens!
0
1
1
Beautiful example!
Testicular embryonal carcinoma with intratubular growth next to germ cell neoplasia in situ (GCNIS). #GUPath
0
3
6
Absolutely agree!!
Thank you @Tiff_Caza @IbrahimBatal9 love the courtesy Helmut Rennke. Dr Rennke changed the way we all see renal pathology. @AstridWeins @VBijol @kidneypathology @SethiRenalPath @Justaglomerular He deserves a lifetime award for his teaching - his students can pay it forward.
0
0
2
The Renal Pathology Society is organizing a free webinar on adequacy of renal biopsies on May 28, 2021 at 11 am. Please register at https://t.co/3ePmBDsgbT
#RenalBiopsyAdequacy @iSRTP
0
27
57
Through his ingenious creation of UpToDate first starting off with the kidney (his specialty), he helped educate millions of healthcare professionals and guided them in the treatment of their patients. Thank you, Dr. Rose. RIP https://t.co/ZL2ZPkuBVp
1
4
18
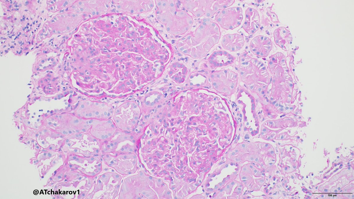
Nice example of a tip lesion secondary to diabetic nephropathy. Otherwise classic nodular diabetic nephropathy. #renalpath
1
19
46
Even mundane diabetic nodules can be interesting. An enormous diabetic nodule (thick arrow) with a large microaneurysm overshadows small nodules (thin arrow). What makes it so large-capillary fragility and microaneurysms? 76-yr woman with type 2 diabetes & chronic kidney disease.
1
24
82