
Rahul Karna, MD
@RahulKarnaMD
Followers
2K
Following
10K
Media
142
Statuses
2K
Chief GI Fellow @UMN_GIHep| Incoming AEF @BIDMChealth | @AHNIMres via @MAMC_NewDelhi | AΩA @umnmedschool | Associate Editor @ACGCRJ | lifelong learner| 🇮🇳🇺🇸
Minneapolis, MN
Joined May 2021
Honored at match @BIDMChealth @harvardmed for Advanced Endoscopy Fellowship training 🥳 Beyond grateful to my institution @UMN_GIHep & mentors @BilalMohammadMD @StuartKAmateau @gurutrikumd #Dr. Martin Freeman for inspiring & lighting the path of my academic journey 📚 Stoked
85
9
240
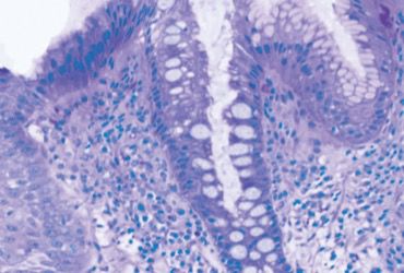
Most post-endoscopy gastric cancers result from missed precursor lesions on index EGD, study finds. Improved detection & follow-up could save lives 👇 https://t.co/P1tmntOOtZ
#Gastroenterology #Endoscopy #GastricCancer
0
1
3
Thank you so much @AmCollegeGastro & #ACGTrainingCommittee for fantastic opportunities geared towards #fellows #residents 🔥 #ACG2025 #SoExcited @BilalMohammadMD @AmyOxentenkoMD
The #ACG2025 is here 🔥🔥 The #Trainees are the #FutureOfGI The @AmCollegeGastro Training Committee has made a program tailored to trainees at evert step of their journey ! Check out the #ACG2025 Trainee 🗓️ 👇 Special welcome from #MadamPrez @AmyOxentenkoMD to our trainees 🤩
0
2
5
🚨 Let’s talk about networking 🫱🏻🫲🏾 #ACG2025 is a few days away! 😬 Yikes! There’ll be 1️⃣0️⃣0️⃣0️⃣s of people and multiple events ongoing simultaneously Got your #networking toolkit ready? 🧰 🔖 Bookmark and follow these 🔑 tips #GITwitter #FutureOfGI #MedTwitter
2
23
65
Cannot wait for #ACG2025 🔥🔥 Kudos to @LindaNguyenMD & @ibdtweets for an incredible @AmCollegeGastro #PGCourse program ! Cant wait 🎉 for this ✅ course P.S. Little 🕊️ told me - the #ForiegnBody luncheon is where the cool kids 😎 will be at ☺️🤩 @AmyOxentenkoMD #ACG2025
Excited to connect with colleagues at the @AmCollegeGastro Postgraduate Course #ACG2025! 🎓 https://t.co/oHlINUvbrM ✨This year’s theme — “Research to Reality: Enriching Clinical Practice” — bridges cutting-edge science with day-to-day patient care. From emerging therapies to
1
8
43
🏅 Editor's Pick of the Month #ACGCRJ 🧠 Perihilar masses aren’t always cholangiocarcinoma- this case wasn’t. Multiple non-diagnostic ERCPs finally revealed undifferentiated carcinoma with osteoclast-like giant cells 🔗 https://t.co/mIW1ddKHQ2
#GITwitter #MedTwitter
1
8
15
Thank you @gastroendonews for highlighting our work #JensonPhung @BilalMohammadMD @UMN_GIHep @CUGastroHep
📊 Root cause: 70% of missed cancers showed visible irregularities—just not suspected by endoscopists. Guidelines may need updating to catch more early cancers https://t.co/DV27CySudM
#Esophagus #EarlyDetection #GIoncology
0
2
11
📊 Root cause: 70% of missed cancers showed visible irregularities—just not suspected by endoscopists. Guidelines may need updating to catch more early cancers https://t.co/DV27CySudM
#Esophagus #EarlyDetection #GIoncology
2
4
11
#ACGCRJ Image of the Month! 77M with prior thigh liposarcoma presented with severe anemia from occult GIB. 📅 1 yr ago: EGD → multiple benign gastric ulcers (-ve biopsies). 📅 Now: Repeat EGD → large ulcerated “volcano-like” gastric masses. 🔬 Biopsy → metastatic liposarcoma.
3
9
18
iGIE article now on the official blog: "Bridge the GAPPS (gastric adenocarcinoma and proximal polyposis syndrome)" by Suchapa Arayakarnkul and Daniela Guerrero Vinsard https://t.co/QQArnFMInn
@SuchapaAraya @Dvinsard
0
2
9
Thank you @AGA_CGH for this opportunity to share our work! 🙏🏼🎊 Check out “What You Need to Know” section for a quick take-away! 🔗:
cghjournal.org
Salvage endoscopic submucosal dissection (ESD) has been proposed for previously attempted colorectal lesions (PACLs), yet the extensive submucosal fibrosis impacts procedural difficulty and resection...
🛎️Salvage ESD is highly effective in the treatment of #PACLs. When performed by experts, AEs were uncommon and mostly managed endoscopically. @SuchapaAraya Read more here➡️: https://t.co/bQvwDsWyeB
1
1
4
Great study!! Have been noticing this trend for the past 5-10 years. It certainly wasn’t the case 15-20 years ago. What could explain this? Feels like a “new” disease in the last decade.
☀️ Idea → 🎬 ACG2024 → 📝publication! What links EoE and IBD? ❓Do IBD patients carry a higher risk of developing EoE? ❓Risk modifiers? ❓Natural history when EoE+IBD vs EoE-only? @akMD03 @GKochharMD @FarrayeIBD @JHashashMD 🔗 https://t.co/VXEN8OsaBV
5
10
51
Be WISE and register for the women’s GI leadership course at #ACG2025! Designed for #WomeninGI (senior fellows & attendings), topics include leadership, navigating challenges, work-life balance, networking, and more. ➡️ https://t.co/kcgYDi5XNQ
@TrieuMD @AmyOxentenkoMD
0
8
11
AWARENESS DRIVES ACTION. Yet ~90% of patients with MASLD —even those eligible for resmetirom— don't know they have it!👇 https://t.co/tEvVHmXbqk Led by yours truly 🙋♂️ w/ gratitude to @peow_u & the amazing team💚 @HepCommJournal @AASLDtweets @AmCollegeGastro @ACPIMPhysicians
1
5
6
Cervical cancer screening remains low in liver transplant patients regardless of demographics: A single-center review @LizzieAbyMD
https://t.co/O6UnPFCwFg
journals.lww.com
An abstract is unavailable. This article is available as a PDF only.
0
3
7
#ACGCRJ Editor's pick of the Month! 💊 Medication mix-up gone wrong 🚨 Bowel prep error → Psyllium overdose → Serious complications 🔗 https://t.co/yaT7kqJdxM
#GITwitter #MedTwitter #GIX #MedX
1
10
12
Woohoo! The list is out 📜 Check out my near-exhaustive 🧵 of networking events at #ACG2025 🏜️ 🎀 prime networking opportunities 🎀 socialise and have fun 🎀 events for whatever your interest Bookmark and enjoy! 🔖 #GITwitter #FutureOfGI
3
17
44
Great video demonstrating use of device assisted FTRD from @BilalMohammadMD He recently also served as faculty lecturing on this topic for the @FreeSpaceCo
#FTRD cont to be a 🛠️ for mgmt of difficult lesions 1st report of a Novel #FullThicknessResection Device for ✂️ early #CRC 🔥now @endoscopyjrnl ✅ Ease of use Need data to compare efficacy to existing #FTR devices 👏 to @TGHermanMD for leading this https://t.co/TFP3ATZAzL
0
9
31
Kudos to @KKadkhodayan, @DrHasan_Orlando & team #CIE AdventHealth for a 🔥🔥 #EndoBariatrics & #Suturing Master Class ! Couldnt be more impressed by the enthusiam of the participants ! And inspired by the ⭐️ co-faculty ! The future of #Endobariatrica & #MetabolicTherapies is
1
9
44
Barrett's sampling with esopahgeal varices? Check out our video demonstrating "Band-and-Biopsy" technique. @ACGCRJ @AmCollegeGastro @KU_GIHep @DushDahiya @BilalMohammadMD @AllonKahn @mikewallacemd @PrasadIyerMD @DaniyalAbbasMD @EsophagusDoc @AfrinKamalMD
https://t.co/nPrXzuGW30
journals.lww.com
An abstract is unavailable.
0
9
16