Optimise_Physio Profile Banner
Ash Shattock Profile
Ash Shattock

@Optimise_Physio

Followers
175
Following
811
Media
25
Statuses
325

Passionate about Physio and providing evidence based functional rehab. Home and office visiting physiotherapy service in Surrey

Weybridge, Surrey
Joined July 2017
Don't wanna be here? Send us removal request.
@hjluks
Howard Luks MD
2 years
Orthopedic surgery office based decision making isn’t easy …
69
212
1K
@HealthPhysio
Christopher Tuckett MCSP
3 years
👣 #Falls and the relentless march of time ⏰, two things we cannot stop. 🚶🏽‍♀️🚶🏻‍♂️🚶🏿‍♀️🚶🏼 Much better to promote movement, mobility, freedom and independence. #NHS #PatientSafety #EndPjParalysis
6
68
156
@shattockn
Nigel Shattock
3 years
One in 8 men, and 1 in 4 black men, will get prostate cancer. And with a father who had PC and a mother with breast cancer, I’m 2.5+ times more likely to get it. Men - make sure you know about the risks, the age factors, the PSA test and what it means, and the treatment options.
@ProstateUK
Prostate Cancer UK
3 years
“I found the diagnosis very upsetting even though I was expecting it." A family history meant Neil was two-and-a-half times more likely to get prostate cancer. Now, he's working with @ukfuturehealth to create a better outlook for his own sons. https://t.co/f9mUavDHYk
0
1
2
@SahilBloom
Sahil Bloom
3 years
Today is my 32nd birthday. Over the last month, I asked several 90-year-olds what advice they would give to their 32-year-old selves. Here's the life advice everyone needs to hear:
2K
24K
110K
@Optimise_Physio
Ash Shattock
3 years
So what does one do with all one’s old paperwork CPD- 30 years of ‘stuff’ (not even including the hard drives full of ‘stuff’)!! Was trying to have a sort out but have got stuck! 😂🤪🙏
0
0
0
@DrJohnOrchard
John Orchard
3 years
Cortisone injections for knee osteoarthritis are harmful in the longer term, so doctors should stop doing them
14
129
425
@DrSandyThomson
Sandy Thomson
4 years
As a Geriatrician and a fellow human, what an example of positive ageing & and what a way to go; at home, with family, comfortably, quickly and enjoying life up until your final days. What a woman.
431
2K
37K
@physiojack
The Rheumatology Physio
4 years
I have totally slept on #WorldPTDay focussing on #osteoarthritis So here is a thread of resources about #OA some from me, some from actual legends 🧵 1/
5
68
164
@PhysioATOCP
ATOCP Physio
4 years
#ATOCP22 ATOCP conference taking place out of BOA Congress in Birmingham on 22nd Sept. Come and join us! There are ticket options for members and non-members. See you in Birmingham👇🏻
2
4
19
@ClementsCharl96
Charlie Clements
4 years
1) A short thread looking at Polymyalgia Rheumatica (PMR) which is an inflammatory condition causing pain & stiffness in predominantly proximal regions. 🧵
1
30
95
@HealthPhysio
Christopher Tuckett MCSP
7 years
Concerned about encouraging the unsteady patient to walk in case they fall? They'll only become more unsteady the longer you wait. The clinical evidence is in your favour to take the risk. #Deconditioning = harm, despite the perceived lack of 'trauma'. #endPJparalysis
13
347
459
@AdamMeakins
The Sp⚽️rts Physio
4 years
High intensity resistance, explosive, aerobic, balance and mobility training should ALL be recommended to BOTH fit and frail older adults to reduce age related physical and cognitive decline! #CantGoWrongGettingStrong https://t.co/Qj1UvNgnB6
1
38
159
@Optimise_Physio
Ash Shattock
4 years
0
0
0
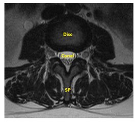
@PalingClaire
Claire Paling Physio
5 years
Epic response to thread 1. Thanks so much for sharing everyone!! 🥰   Basics of lumbar MRIs thread 2   Last time we mostly looked at mid-sagittal cuts. This time we’ll explore some other angles. 👀
4
102
382
@JonRoom
Jon Room
5 years
Just out in BMJ open Home-based rehabilitation programme compared with traditional physiotherapy for patients at risk of poor outcome after knee arthroplasty: the CORKA randomised controlled trial https://t.co/euxUwI8bLz
bmjopen.bmj.com
Objectives To evaluate whether a home-based rehabilitation programme for people assessed as being at risk of a poor outcome after knee arthroplasty offers superior outcomes to traditional outpatient...
2
15
58
@Optimise_Physio
Ash Shattock
5 years
#therapylive2021 How do I choose- aaah! Too many good lectures on at the same time 🔥🤪
0
0
1
@thecsp
Chartered Society of Physiotherapy (CSP)
5 years
'Keep moving, keep active and things will settle' @Mercephysio speaks to the Guardian about why people with back pain should keep calm and carry on exercising. https://t.co/umxnES8GK0
Tweet card summary image
theguardian.com
When it hurts to walk, bend or even sit, it’s tempting to lie down until your spine sorts itself out. But moving can be the key to getting better
1
50
73
@Optimise_Physio
Ash Shattock
5 years
Just stumbled across this from David Butler. Wouldn’t it be great if all patients received this knowledge from their clinician! OA Wear & Repair: an Osteoarthritis knee story using healthy linguistics https://t.co/KNjVtukgMZ via @YouTube
0
0
1
@Strength4_Life
Strength For Life
5 years
💪🏼 Hand grip strength is one of the most evidenced based predictors of longevity & resilience to chronic disease! With good quality dynamometer’s available for £25, will 2021 be the year it is implemented more widely? #StrengthSavesLives Dyno link: https://t.co/Zc2a280f6I
12
104
373
@bbcquestiontime
BBC Question Time
5 years
"Great Britain will never be the safest country in the world until all the world has access to vaccines.” Immunologist @robin_shattock says the UK is considered a "high risk” to many parts of the world because there is still a high virus infection rate. #bbcqt
34
128
363