Rami Z. Morsi, MD Profile
Rami Z. Morsi, MD

@DrRamiMorsi

Followers
1K
Following
3K
Media
303
Statuses
2K

Neuroendovascular surgery fellow via vascular neurology @UChicagoMed @Neuroucmc 🧠 | @AUB_Lebanon alumnus | RT/Likes are not advice/endorsements. 🇦🇺🇱🇧

Chicago, IL
Joined January 2017
Don't wanna be here? Send us removal request.
@DrRamiMorsi
Rami Z. Morsi, MD
1 day
🧵1/ 🚨 New study drop! We're excited to share our work comparing reduced-dose ticagrelor, full-dose ticagrelor, and clopidogrel for secondary prevention after acute stroke/TIA. Big thanks to @Harsh_Desai_1, Elena Badillo Goicoechea, and the entire team! https://t.co/irsKCOGHbh
1
2
3
@DrRamiMorsi
Rami Z. Morsi, MD
1 day
11/ Full details in @_jocn. Always happy to chat offline. DMs open! #StrokeResearch #NeuroTwitter
0
0
1
@DrRamiMorsi
Rami Z. Morsi, MD
1 day
10/ Hats off to my co-authors (again: @Harsh_Desai_1, Elena) + @UChicago_Neuro team. If you’re managing antiplatelet therapy post-stroke or TIA, what’s your practice? Does this shift your thinking?
1
0
0
@DrRamiMorsi
Rami Z. Morsi, MD
1 day
9/ Bottom line: In our real-world cohort, ticagrelor (even at a lower dose) looked at least as effective, and possibly safer, than clopidogrel for secondary stroke prevention. Larger, multi-center, prospective studies are needed, but this could be a real game-changer!
1
0
0
@DrRamiMorsi
Rami Z. Morsi, MD
1 day
8/ Importantly, the cohort was unique (over 80% Black patients, 31% with ICAD). We know genetic variants may impact clopidogrel effectiveness, making findings especially relevant for real-world applicability in the US.
1
0
0
@DrRamiMorsi
Rami Z. Morsi, MD
1 day
7/ This suggests a reduced dose may offer similar benefits as the standard dose, especially for those high risk for bleeding.
1
0
0
@DrRamiMorsi
Rami Z. Morsi, MD
1 day
6/ Dose matters? No significant differences in 90-day mortality or functional independence were observed between reduced-dose and full-dose ticagrelor (mortality OR 1.08, CI [0.40–2.91], p=0.88; functional independence OR 0.84, CI [0.27–2.56], p=0.76).
1
0
0
@DrRamiMorsi
Rami Z. Morsi, MD
1 day
5/ 🔑result: Ticagrelor (any dose) = lower 90-day mortality vs. clopidogrel. OR 0.51, CI [0.28–0.93], p=0.03. No statistically significant differences in functional independence at 90d between groups.
1
0
0
@DrRamiMorsi
Rami Z. Morsi, MD
1 day
4/ Methodology nugget: Used elastic net regression + propensity scoring for robust adjustment. Primary outcomes: 90-day mortality & functional independence (mRS 0–2). Secondary: stroke recurrence, hemorrhages (incl. symptomatic intracranial hemorrhage).
1
0
0
@DrRamiMorsi
Rami Z. Morsi, MD
1 day
3/ Our approach: We retrospectively reviewed 562 patients with acute ischemic stroke or TIA at a single center (Sept 2020–July 2022), comparing: - Reduced-dose ticagrelor (45–60mg BID) - Full-dose ticagrelor (90mg BID) - Clopidogrel (75mg daily) All received aspirin.
1
0
0
@DrRamiMorsi
Rami Z. Morsi, MD
1 day
2/ What's the issue? While ticagrelor is increasingly used for stroke patients, the optimal dosing remains a gray area. Higher doses offer potent platelet inhibition, but at what cost of bleeding 🩸risk? Is a lower dose just as effective? 🤔
1
0
0
@DrRamiMorsi
Rami Z. Morsi, MD
9 days
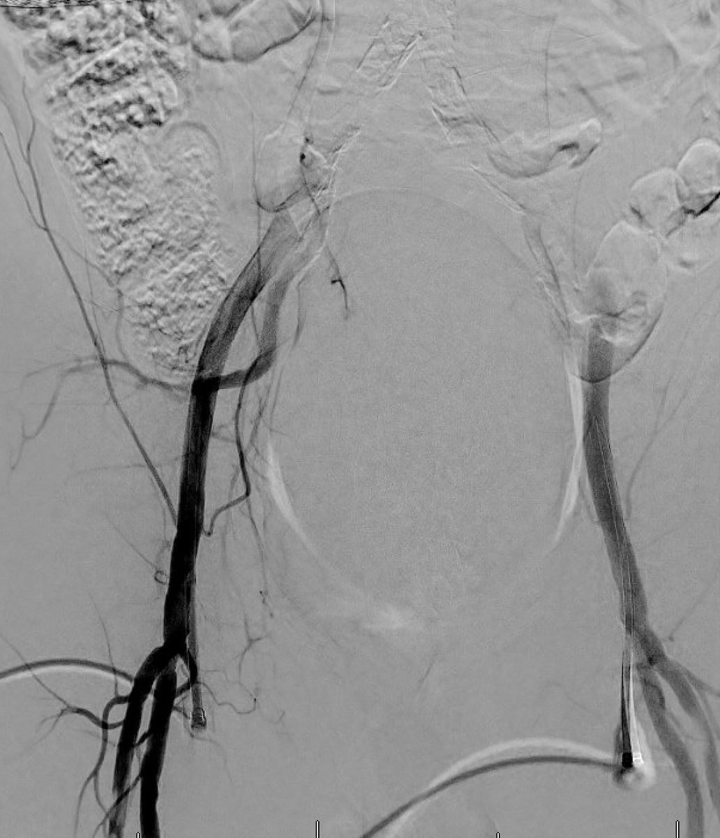
Channeling my inner Lara Croft: double femoral arterial access, double the precision. Sometimes neurointervention calls for the 'Tomb Raider Akimbo Technique.'
0
0
4
@StrokeAHA_ASA
Stroke AHA/ASA
14 days
Article Commentary: “Factors Associated With Stroke Recurrence After Initial Diagnosis of Cervical Artery Dissection” In this #BloggingStroke post, @Theodorou_Aik discusses #Stroke article by @DrDanielMandel et al. https://t.co/24KrNkqp8i
1
15
33
@AdamMGrant
Adam Grant
3 months
Being kind boosts mental health more than seeking joy. Evidence: Doing 3 random acts of kindness a week is enough to reduce depression, anxiety & loneliness. It's more beneficial than doing nice things for yourself. Self-care feels good, but generosity builds lasting bonds.
103
1K
5K
@DrRamiMorsi
Rami Z. Morsi, MD
3 months
Very honored to be able to contribute to a commentary on a well-designed study that I apply to real-world clinical scenarios.
@StrokeAHA_ASA
Stroke AHA/ASA
3 months
Article Commentary: “Association of Ischemic Core Hypodensity With Thrombectomy Treatment Effect in Large Core Stroke” In this #BloggingStroke post, @DrRamiMorsi discusses #Stroke article by @VYogendrakumar & Campbell et al. #AHAJournals https://t.co/3aZPeD9H9y
0
0
11
@DrRamiMorsi
Rami Z. Morsi, MD
4 months
This was a phenomenal course for fellows. I genuinely learned a lot, a very unique experience. Highly recommend for next year! Lucky to train with you, @TareqKass, and thanks to @Thindmints for organizing this extraordinary meeting.
@TareqKass
Tareq Kass-Hout
4 months
And that’s a wrap of our CHICAGO course!! Thanks for the faculty and fellows, UChicago administrators, the device company sponsorship and the UChicago animal lab that made this possible And of course this was just an idea till @thindminst leadership made it a reality!!!
0
1
12
@DrRamiMorsi
Rami Z. Morsi, MD
4 months
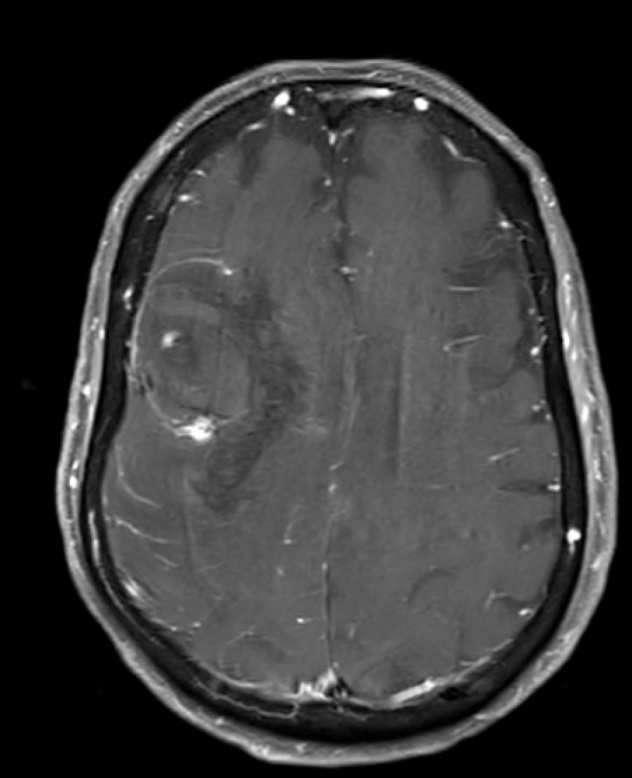
Would you treat a low-grade AVM (~10.6×7.8mm) without high-risk features in an octogenarian? If yes, how (embolization, radiosurgery, observation, surgery)? When would you intervene? Curious to hear your approaches and rationale!
0
0
0
@GalaxyThera
Galaxy Therapeutics
4 months
🌍 SEAL IT IDE Trial update 🌍 Ruptured case successfully treated by Dr. Kass-Hout @ University of Chicago ➡️ 238 patients enrolled! Thank you to Dr. Kass-Hout & team for their outstanding work! #SEALIT #BrainAneurysm #Neurointervention
0
1
8
@DrRamiMorsi
Rami Z. Morsi, MD
4 months
Missed being at @SNISinfo this year, but still got hands-on with the @JNJNews Neurovascular flow model, right here in one of the angio suites. Bringing a piece of SNIS to me! #SNIS2025
0
1
25
@AndreaDarzi
Andrea J. Darzi MD, MPH, PhD
5 months
Just out: Our SR (44 studies, ~10K IMEs) shows low CoE that higher rates of symptom exaggeration in studies with ≥40% women (47%) vs <40% (31%). A multimodal approach including validated tests of performance measures is needed for IME evals. https://t.co/jU9NGkHIMk
Tweet card summary image
journals.plos.org
Background Independent medical evaluations (IMEs) are commonly acquired to provide an assessment of impairment; however, these assessments show poor inter-rater reliability. One potential contributor...
1
3
10