
Aysha Mubeen
@AMubeen_Path
Followers
8K
Following
20K
Media
274
Statuses
6K
MD | Pathologist & Cyto fellowship director @UNMPathology | Fellowships @brighamwomens @UABPathology| Residency @ Univ of Florida| #gynpath #GUpath #cytopath
United States
Joined June 2017
I did something outside my comfort zone but it turned out to be so rewarding!I gave a presentation to my daughter’s fifth grade class about Pathology. The kids thought what we do is cool and some actually want to consider Path when they grow up!😊 Sharing a few thank you cards!
5
3
64
🚨 ISUP Presents..... 🔬Dr. Michelle Downes on “Updates in Bladder Pathology” 📅 27 Oct 2025 at 12p EST via Zoom Register here: https://t.co/NMGIna3Csk
0
7
11
Prostate cancer w/foamy gland features - note the pyknotic nuclei in foamy glands = deceptively benign-appearing Fortunately, as in this example, often admixed with usual acinar #prostatecancer with more amphophilic cytoplasm, prominent nucleoli, etc. #gupath
1
13
38
Morning commute looking like this during balloon fiesta week!
0
0
9
Took a break from purple and pink to explore some yellow and orange today! IYKYK 🙂
0
1
6
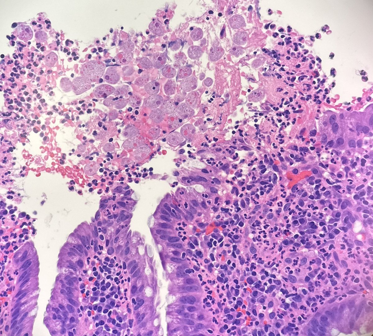
Indeed this is amebic colitis! Uncommon in western world (h/o travel is important). Characteristic flask shaped ulcers, amebic trophozoites often with ingested RBCs. #pathboards
Not my typical #gupath #gynpath post but an interesting one for trainees! Colon biopsy for GI bleed, clinical concern for IBD. #pathboards
0
15
63
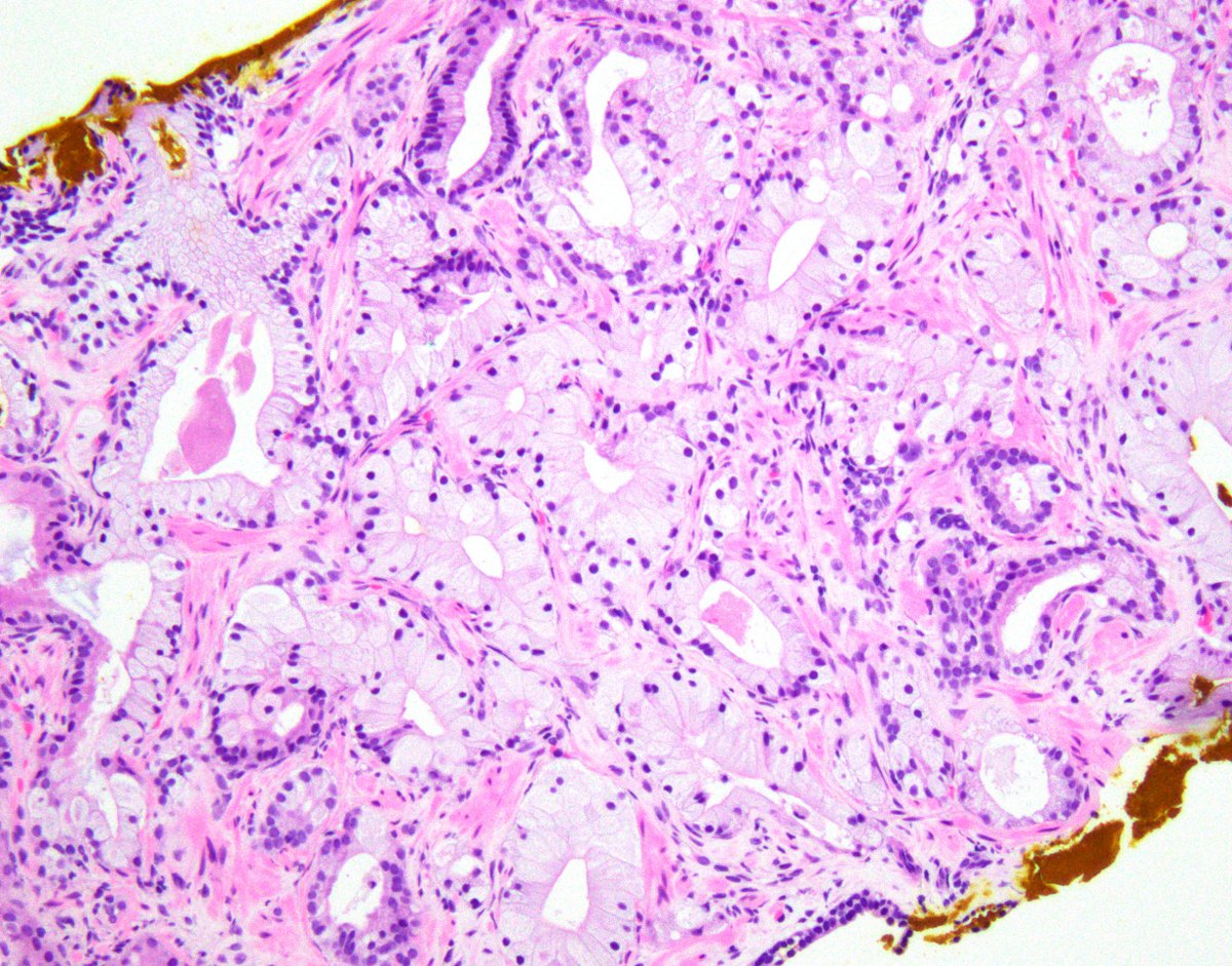
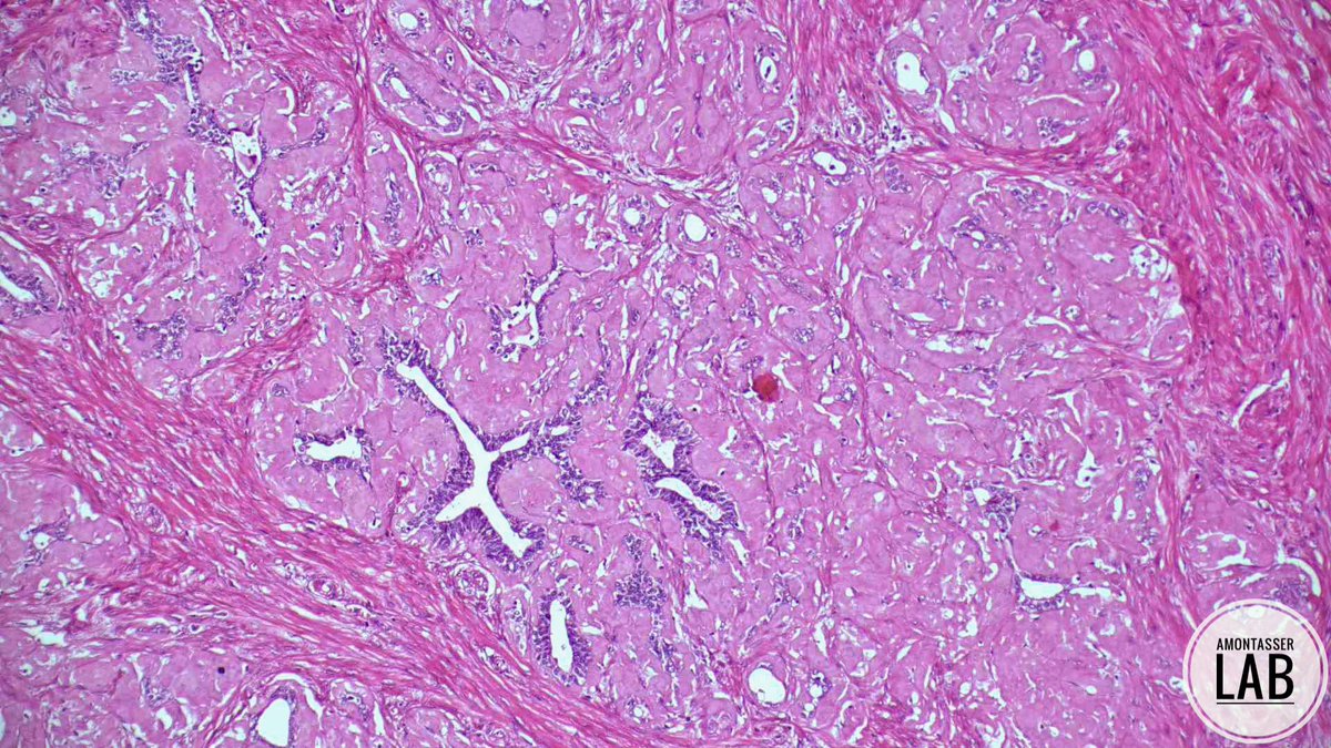
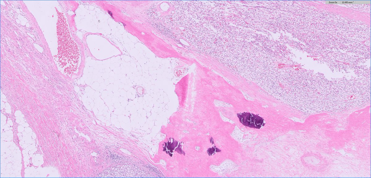
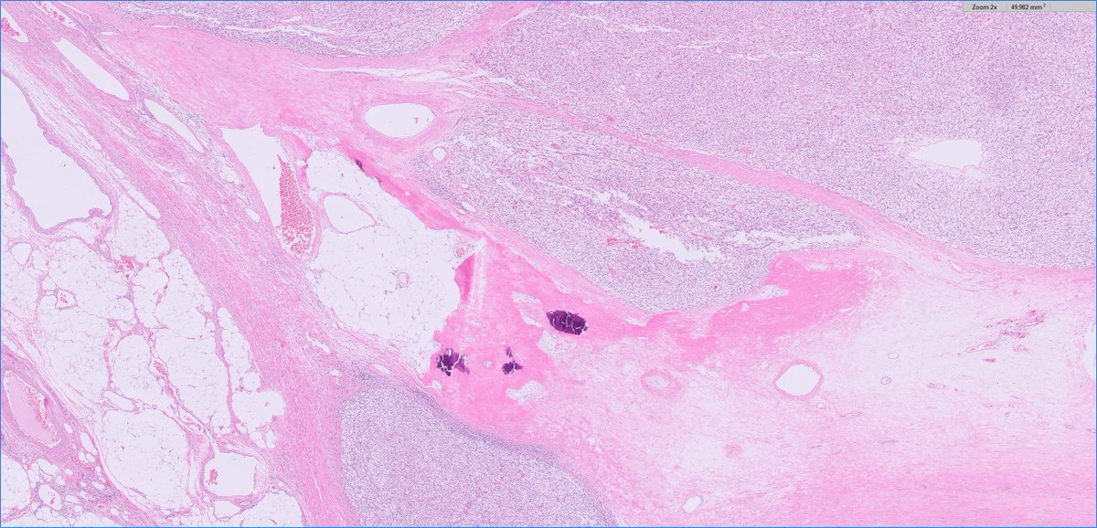
70s F, partial nephrectomy. What is your diagnosis? Gross photo in the chat. #PathTwitter
@MGBpathology @MGHPathology @PathDocBoston
6
35
92
Thrilled to be on the #PathologyPowerList2025. The essays from all nominees are truly inspiring—voting is now open! https://t.co/bvVTOj6Yoa
💡 The Power List 2025: Leading Voices Edition is LIVE! 🏅 Now it’s your turn: help crown the Reader’s Favorite in each category. 👉 Read all 50 essays today and vote! https://t.co/wZ0a0pMEm6
#Pathology #PowerList2025 #LeadingVoices #LabMedicine #PathTwitter
14
4
43
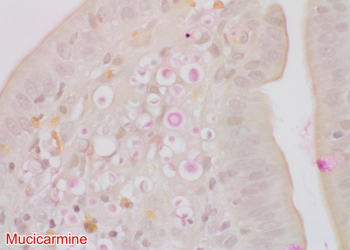
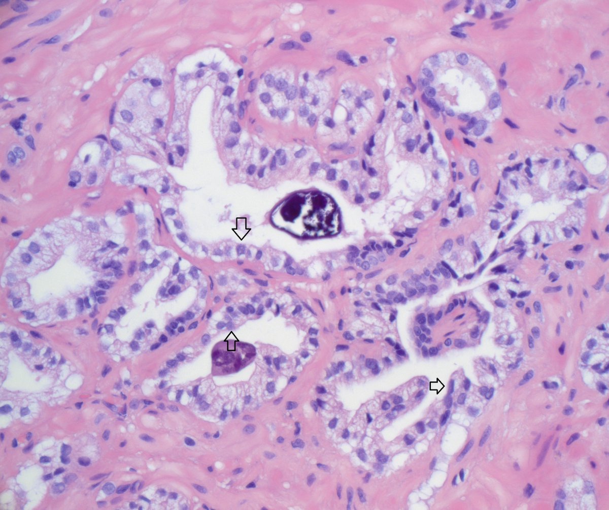
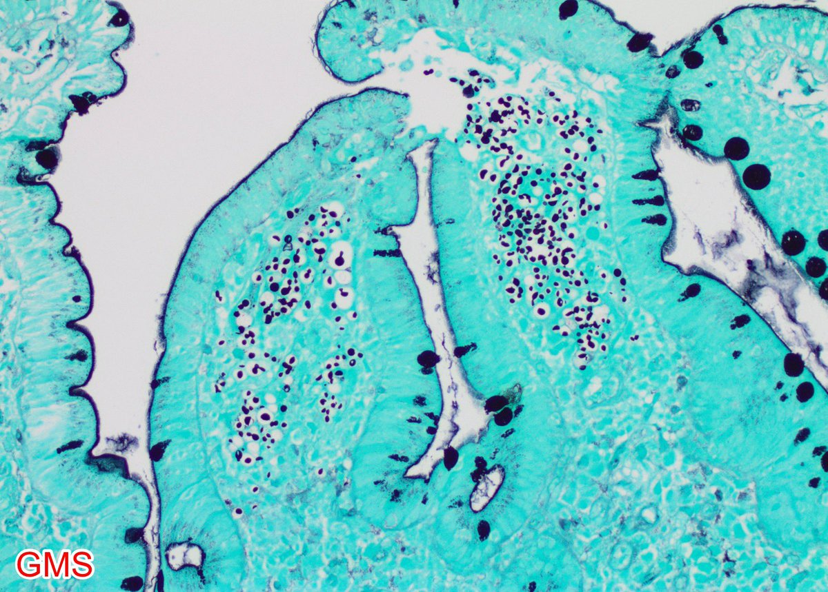
Duodenal biopsy in an HIV+ pt with chronic diarrhea: 🔬 Cryptococcus – variably sized (3.5 - 8 μm) encapsulated yeasts with narrow based budding highlighted by GMS & Mucicarmine special stains. 🧫 Cryptosporidium – tiny 2–5µm organisms attached to apical enterocyte surface. A
6
32
101
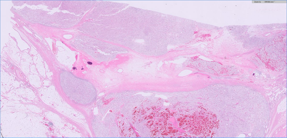
Seminal vesicle amyloidosis: ✅ A finding in up to 10% of RPs. ✅ Mimics T3b disease intra-operatively. ✅ Usually represents a localized form rather than part of a systemic process. ✅ Suepithelial deposition of amorphous hyaline material, Congo Red + #PathTwitter #GUpath
1
14
58
🧵 We’re thrilled to share the Harvey Goldman Memorial Lecture live on YouTube! 🎙️ Rish Pai: “Diagnostic Approach to Colonic Polyps” 📅 Saturday, Sept 27 🕥 10:30–11:15 AM (ET) 📺 Streaming live on YouTube — don’t miss it! Another exciting lecture coming up Sunday. See you
8
24
59
Flowers make me genuinely happy! Pictures of some recent beauties! 😊
3
2
17
Not my typical #gupath #gynpath post but an interesting one for trainees! Colon biopsy for GI bleed, clinical concern for IBD. #pathboards
9
58
235
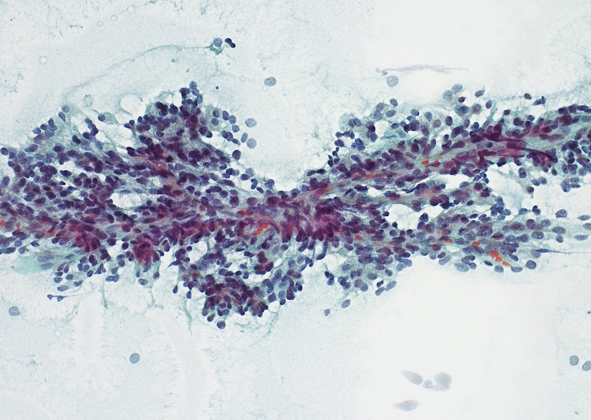
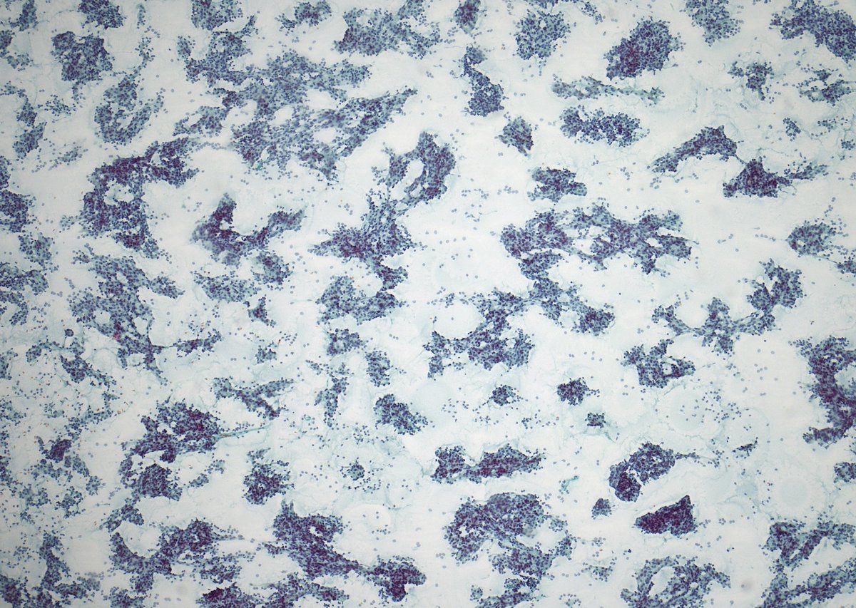
🔬 Parotid FNA - What's your diagnosis? ⬇️ Vote or comment below! 📅 Answer will be revealed tomorrow! #CytoPath #ENTPath #PathTwitter
5
14
51
We're Getting the Band Back Together!!! I'm thrilled to welcome everyone back for the 1st ISIMM webinar of the academic year. Please join Wednesday, September 17 at 11 am ET for @slusagar's lecture "IHC Correlates in Bladder Pathology." Register here: https://t.co/WToBbXCxOr
4
30
83
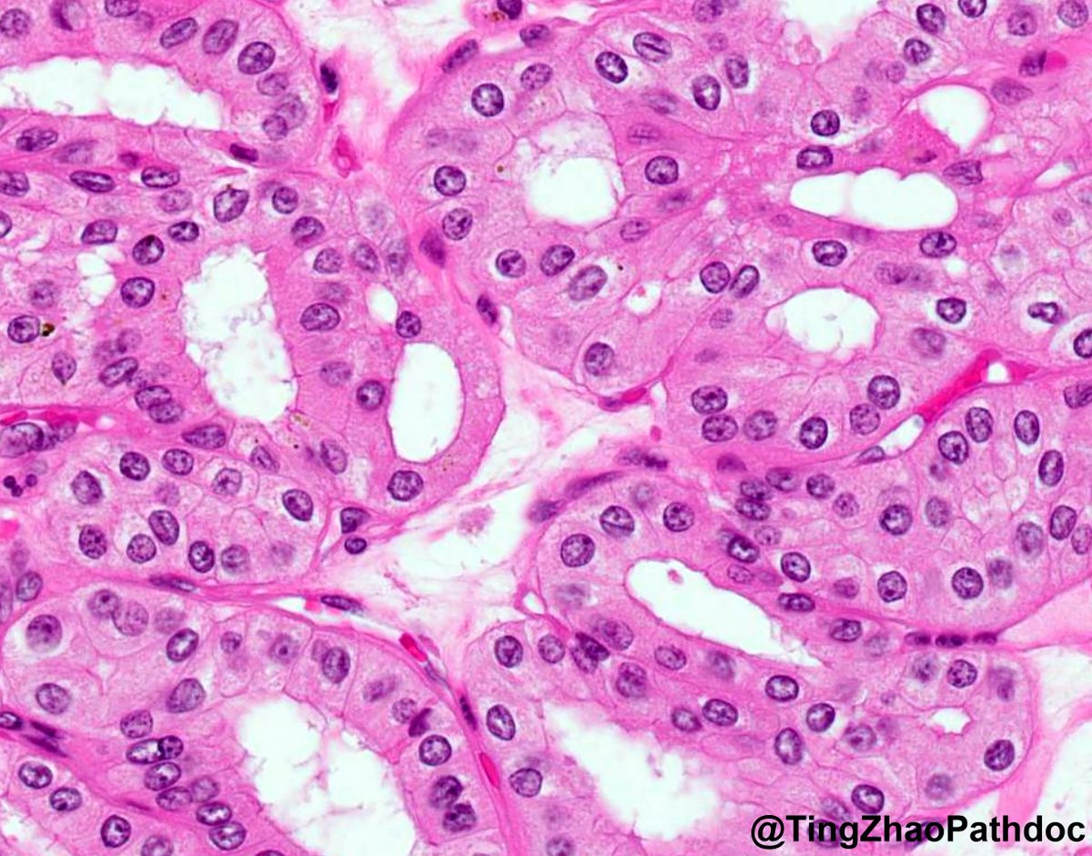
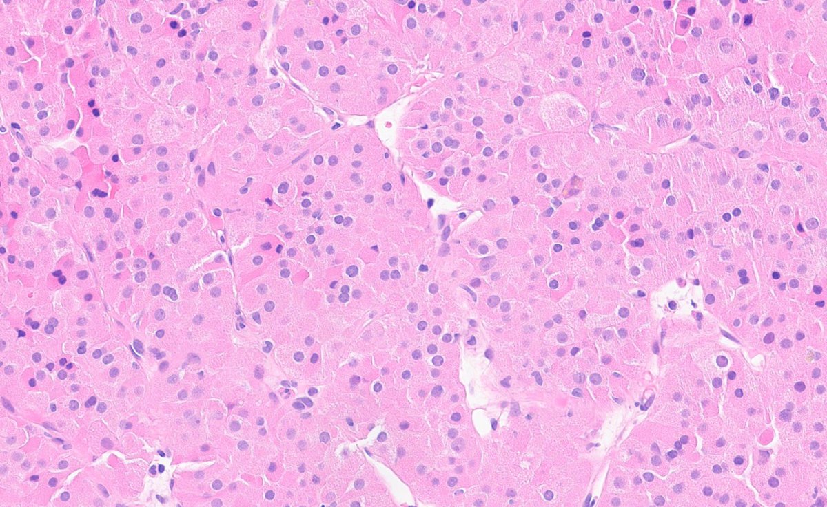
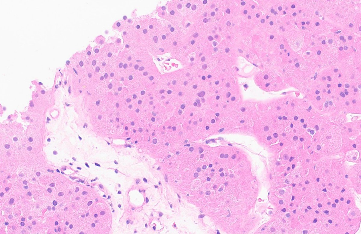
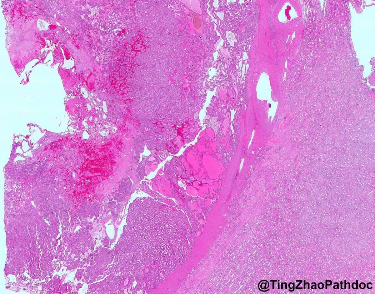
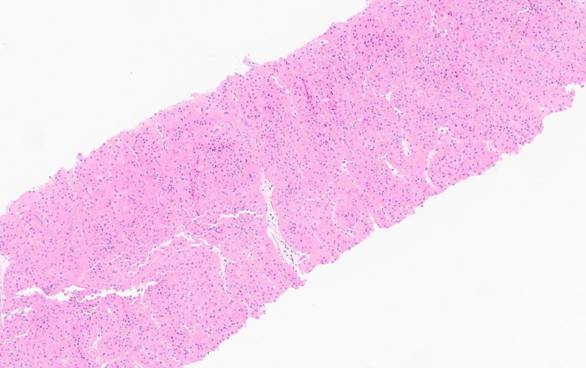
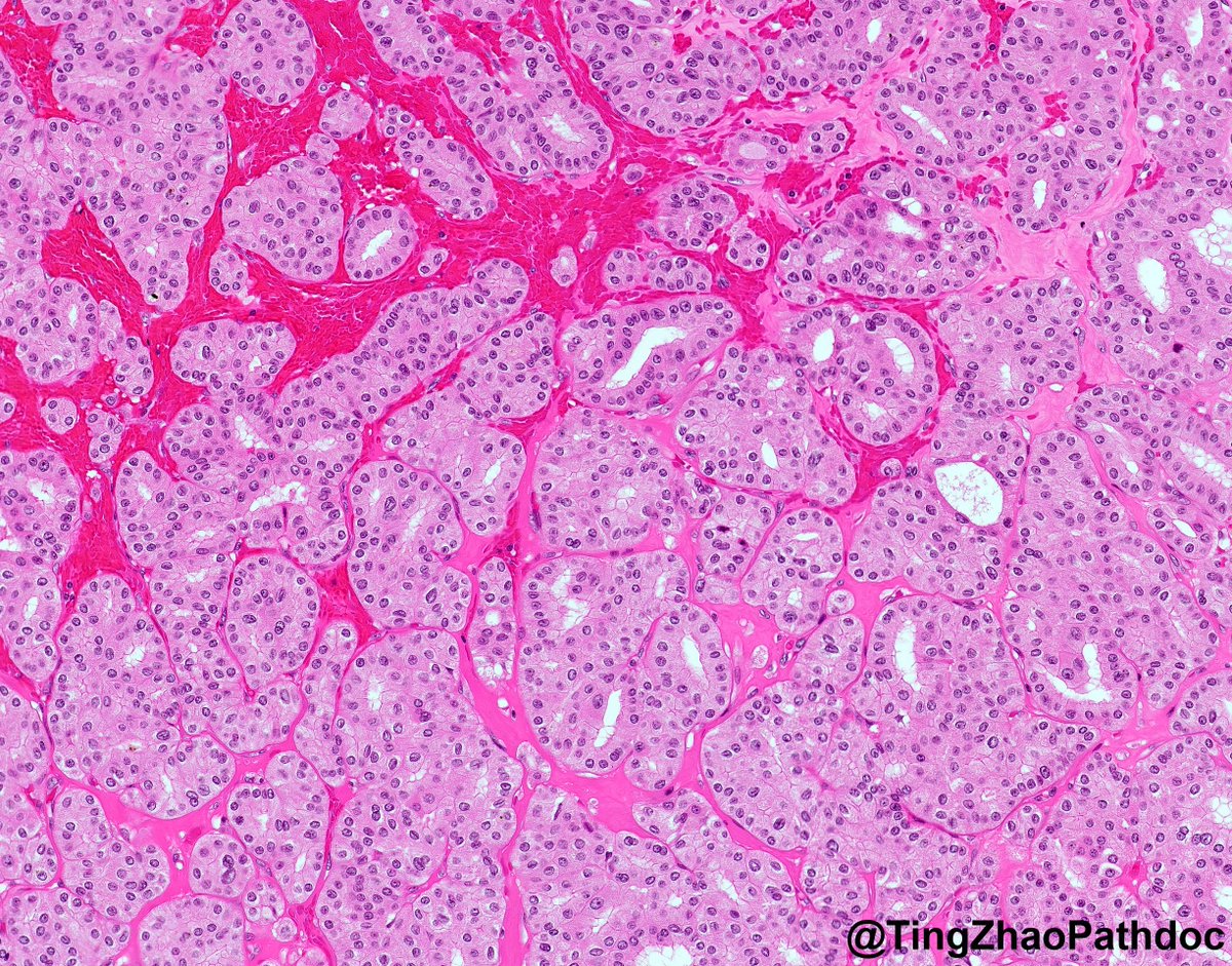
Kidney tumor from an adult female. Eosinophilic tumor, essentially positive for only CK AE1/AE3 and PAX8; while negative for markers including, but not limited to, CK7, CD117, CAIX, TFE3, cathepsin-K, and GPNMP. What would be your diagnosis? #surgpath #pathX #pathtwitter
4
14
35