
Fernanda, MD
@pathgurl21
Followers
1K
Following
712
Media
161
Statuses
757
🇲🇽 Pathologist 👩🏼⚕️🔬 Postdoctoral Fellow at John’s Hopkins School of Medicine. #Neuropath 🧠
Baltimore, MD
Joined May 2020
8
64
402
👴🏼 72 yo. He presented cognitive decline, behavioral changes and depression. Thoughts? 💭 #neuropath #PathTwitter #pathresidents #pathology #Path
0
0
1
4
32
147
Nice case to share: 👩🏾 34yo, asymptomatic; image shows a mass in the left hepatic lobe. This images show the lesion. Diagnosis? IHC? #pathology #PathTwitter #GIpath #liver #pathresidents 🔬
0
1
4
This must be tweeted every Halloween. I don’t make the rules
166
10K
72K
0
0
8
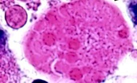
What’s the name of these tiny droplets? Where we can see them? #neuropath #pathology #PathTwitter #pathresidents 🔬
0
2
14
0
0
4
“Tumors don’t read the book”. Amazing talk by @CraigHorbinski. As a current pathologist aspiring to be a neuropathologist, this talk was awesome! 🧠 . @NU_Pathology @neuropathology
0
1
24
I feel so proud to work with this amazing neuropathologist! Dr. Meaghan Morris is the best mentor and one of the smartest people I’ve ever met! @neuropathology #pathology #pathologists #neuropath #pathTwitter 🧠
1
3
23
So happy to attend the 100 meeting of the AANP in Olympic Valley!! @neuropathology #pathology #pathresidents #neuropath
0
0
16
Once you see Barrett’s Esophagus, the next thing you automatically need to think: • Neg for Dysplasia • Indefinite for Dysplasia • Low grade Dysplasia • High grade Dysplasia I find this extremely tricky. Here are some tips my staff have told me👇 #pathagonia #path4people
0
46
132
Every time 😂
0
0
5
1
3
27
Biopsy from posterior mandible The clinician is worried about metastatic malignancy This is what you under the microscope, what is your diagnosis?
17
39
122
What’s the name of these “buddies”? Where can we find them? #pathology #PathTwitter #pathresidents 🔬 👀
3
3
37