oakloby1 Profile Banner
Dr.Omar Alakloby Profile
Dr.Omar Alakloby

@oakloby1

Followers
433
Following
782
Media
7
Statuses
493

Prof. of Dermatology and Dermpath أستاذ وإستشاري الأمراض الجلدية وامراض الأنسجة/مهتم باللغات والادب والتاريخ

Dammam
Joined May 2011
Don't wanna be here? Send us removal request.
@oakloby1
Dr.Omar Alakloby
3 years
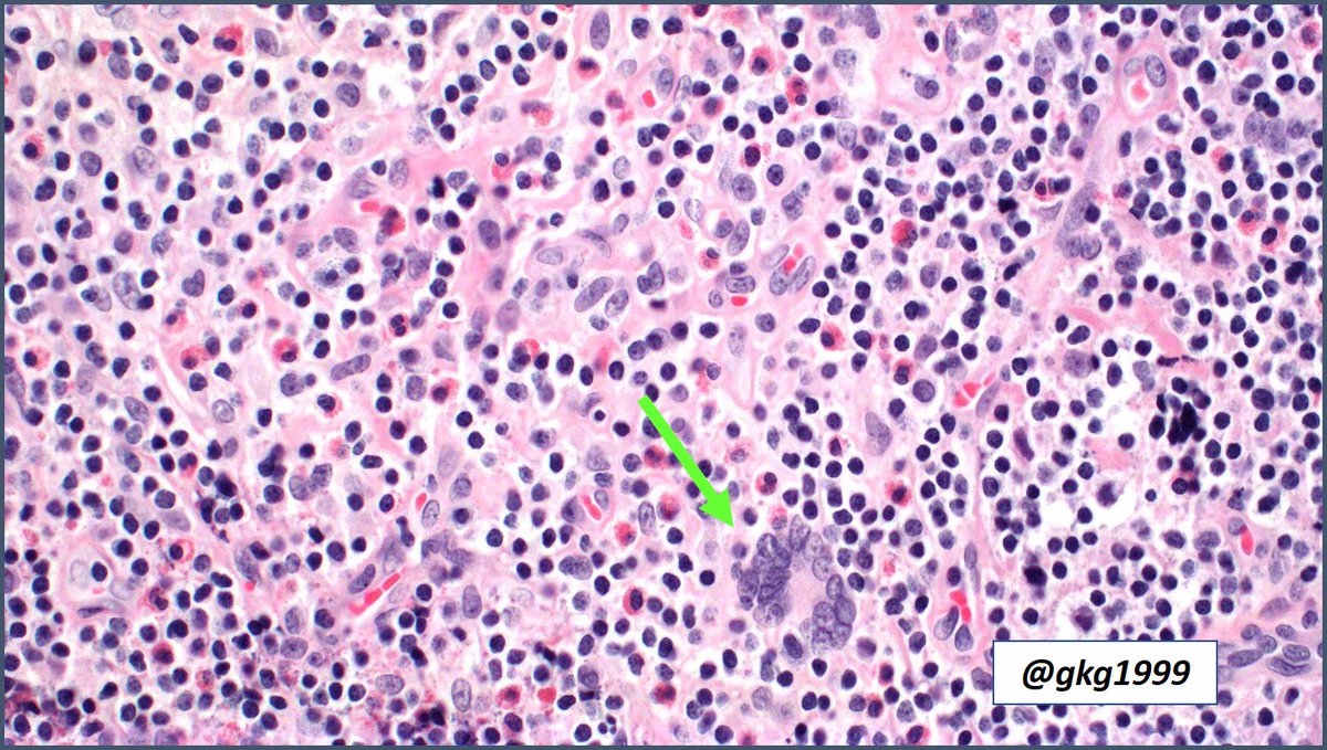
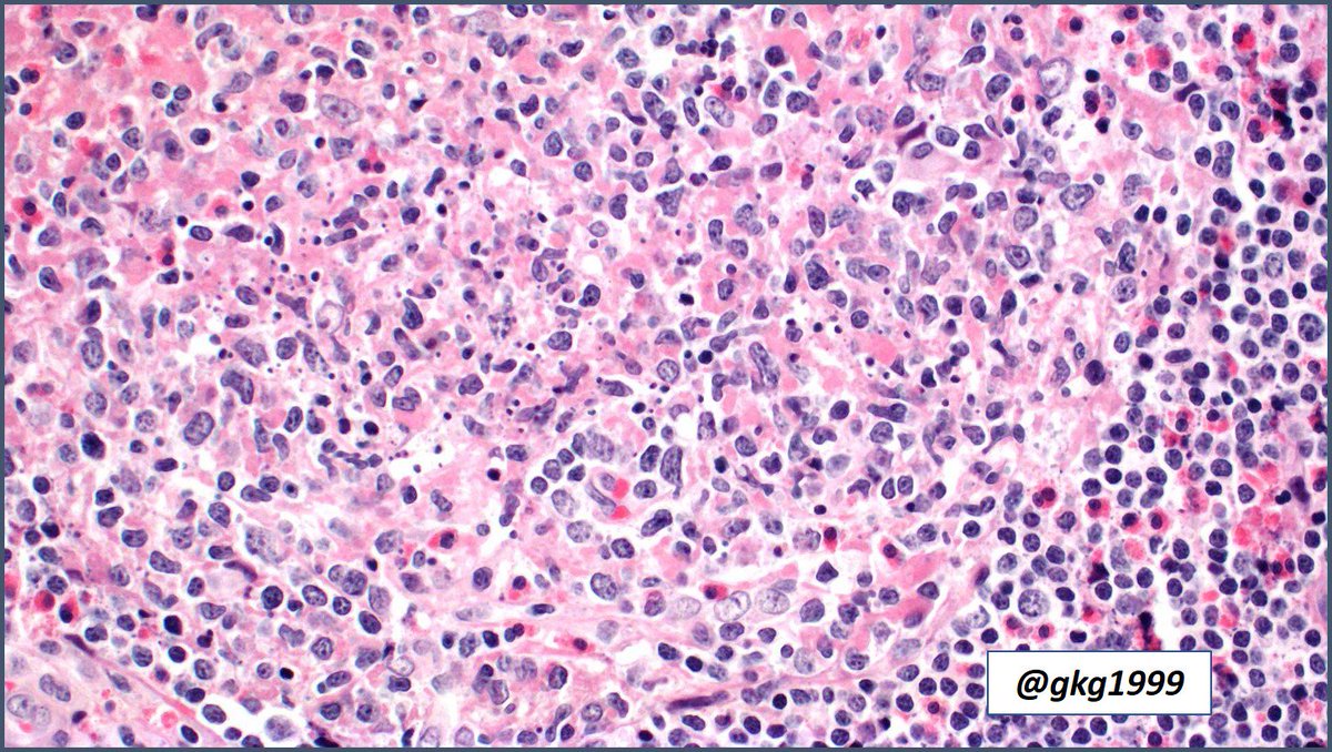
Very interesting perifollicular purpura with very exacting histology(Typical scurvey case)and demodex mites in the follicle.
@JMGardnerMD
Jerad Gardner, MD
3 years
72 Yo F. Your diagnosis? Digital slide: https://t.co/P0daiAkivC. Answer: https://t.co/7YtO0v18h9. Only case I’ve ever seen (& only paper I’ll ever get published in NEJM!). Clinical pics: Dr. Malan Kern. #pathology #pathologists #pathTwitter #dermpath #dermatology #dermtwitter
0
0
4
@NobelPrize
The Nobel Prize
5 years
In the 1970s, Frederick Sanger developed techniques to sequence DNA, for which he received his second #NobelPrize. In June 2000, came the announcement that the majority of the human genome had been sequenced.
6
123
579
@oakloby1
Dr.Omar Alakloby
5 years
بسم الله ماشاء الله تستاهل سعادة استاذ العمارة والإداري المتميز في العلم والخلق وخبير التصميم والتحكيم نفع الله بعلمك وبارك فيك
@iau_icss
معهد الدراسات والخدمات الاستشارية
5 years
#بيوت_الخبرة | استلم سعادة أ.د.عبدالسلام السديري رخصة بيت خبرة (الفيصل للوساطة والتحكيم الهندسي) من سعادة عميد معهد الدراسات الاستشارية والخدمات. حيث سيقدم نخبة من الخدمات الاستشارية والتدريبية والتصميمة في مجال الوساطة والتحكيم الهندسي للمستفيدين. #جامعة_الإمام_عبدالرحمن_بن_فيصل
0
1
2
@oakloby1
Dr.Omar Alakloby
5 years
ذِكرُ الفَتى عُمرُهُ الثاني وَحاجَتُهُ* ما قاتَهُ وَفُضولُ العَيشِ أَشغالُ
@algarnyali
د.علي بن محرز القرني
11 years
محاسن الأخلاق ديمومة البقاء ، بها تقوم الحضارات وعنها يأفل نجمها يقول شوقي "و إذا أصيب القوم في أخلاقهم *** فأقم عليهم مأتما و عويلا"
0
3
5
@oakloby1
Dr.Omar Alakloby
6 years
حرف العطف الثاني الموجود في الأسبانية والبرتغالية (حتى) بالأسبانية:(Hasta) H-لاتنطق ،فتنطق استا بالبرتغالية:(Até)تنطق اتي فمثلاً نقول بالعربي: انتظرت (حتى)الصباح بالأسبانية: Esperé (hasta )la mañana بالبرتغالية: Eu esperei (até) a manhã
0
0
2
@oakloby1
Dr.Omar Alakloby
6 years
من حروف العطف العربية الموجودة باللغتين الأسبانية والبرتغالية (أو) مقابلها بالأسبانية(O) بالبرتغالية (OU) وهو يدل على نفس المعنى وينطق بنفس الطريقة فمثلاً نقول: إختر اللون الأحمر أو اللون الأخضر بالأسبانية: Elige rojo o verde بالبرتقالية: Escolha vermelho ou verde
1
3
6
@oakloby1
Dr.Omar Alakloby
6 years
اللهم أسكنه فسيح جناتك ودار رضوانك وتغمده بواسع رحمتك وكريم مغفرتك. مَضَتِ الدّهُورُ وَمَا أتَينَ بمِثْلِهِ * وَلَقَدْ أتَى فَعَجَزْنَ عَنْ نُظَرَائِهِ
@alwajiha_brk
صحيفة الواجهة - عاجل
6 years
سيرة ومواقف من حياة الشيخ عبدالله بن عامر الصعيري في زاوية "راحلون" - صحيفة سبق بيشة الإلكترونية https://t.co/0DOEekQWVX
0
2
5
@oakloby1
Dr.Omar Alakloby
6 years
بسم الله ماشاء الله ،ابارك لجميع طلاب الدفعة الأولى من كلية الطب بجامعة بيشة واتمنى لهم التوفيق في حياتهم العملية إن شاء الله. لقد تشرفت بمعرفتهم عن قرب وقد كانوا متميزين في اخلاقهم وفي علمهم كما ابارك لأعضاء هيئة التدريس بكليتة طب بيشة وعلى راسهم عميد الكلية د.مشبب الغامدي
@UBCOM_BISHA
كلية الطب UBCOM
6 years
@Bisha_U كلية الطب بجامعة بيشة تبارك وتهنئ الدفعة الأولى من طلابها الخريجين.
1
5
14
@oakloby1
Dr.Omar Alakloby
6 years
Parece que covid-19 está en contra de cualquier cosa relacionada a la oxigenación de los tejidos, como el daño pulmonar, tromboembolismo y hemoglobina, lo cual puede explicar algunas de las nuevas lesiones en la piel
@julianconejomir
Julián Conejo-Mir
6 years
Porfirinas implicadas en #Covid_19. Otra hipótesis de por que ocurre el daño a la hemoglobina. Interesante!!!
0
0
1
@oakloby1
Dr.Omar Alakloby
6 years
Outcomes of patients with severe COVID-19 treated with high-dose intravenous immunoglobulin and outcomes of patients with severe COVID-19 from Seattle https://t.co/aTQNrGvF7r via @docguide
0
1
4
@yashar
Yashar Ali 🐘
6 years
Woman, 90, dies from coronavirus in Belgium after refusing a ventilator and telling doctors: 'I had a good life, keep this for the younger' https://t.co/0vSCHgIn5R
Tweet card summary image
dailymail.co.uk
Suzanne Hoylaerts from Binkom, near Lubbeek, was hospitalised on March 20 when her condition rapidly deteriorated after contracting COVID-19.
2K
12K
49K
@G_GUPTAMD
Gaurav Gupta, MD, PhD
9 years
Kimura disease, Warthin-Finkeldey Cells #pathology #pathologists #hemepath #pathboards
5
90
125
@JMGardnerMD
Jerad Gardner, MD
6 years
Pagetoid SCC in situ. Clue: "Eyeliner sign"(normal basal layer retained) - seen in SCC in situ & Paget's, but not in melanoma in situ. more info in my #dermpath #pathsurvivalguide book: https://t.co/85dyJi37nn
1
27
94
@SPAregions
واس العام
6 years
مجلس إدارة #الهيئة_العامة_للإحصاء يصدر قراراً بتكليف الدكتور كونراد بيسيندورفر رئيساً للهيئة. https://t.co/IBMRLKqEeJ #واس_عام
1K
415
639
@oakloby1
Dr.Omar Alakloby
6 years
Coronavirus Map: Tracking the Spread of the Outbreak
0
2
1
@ghamid_bisha
ملتقى غامد اهل بيشة
6 years
*الرجل المناسب في المكان المناسب* يتقدم فريق غامد اهل بيشه بأصدق التهاني الى سعادة الدكتور/ *عبدالله بن عامر آل خشيل* بعد صدور قرار تعيينه مديراً طبياً لمركز الامير سلطان لأمراض وجراحة القلب".. فلك منا اصدق التبريكات ابا عامر متمنين لك التوفيق والسداد. ودوام النجاح
7
11
20
@JCellBiol
Journal of Cell Biology
6 years
Read a special selection of research advancing our understanding of cell division in health and disease, recently published in JCB https://t.co/qQC8aWQtZp
0
6
10
@OmarAlsaeeri
omar alsaeeri
6 years
إياك ان تطمح لتكون أفضل من الآخرين فقط حاول دوما ان تطمح لتكون أفضل من نفسك فالعقول تصغر عندما تنشغل بالآخرين ولكنها تكبر كثيرا عندما تنشغل بذاتها.
0
1
1
@ABUFAISAL_M1
محمد السديري
7 years
@oakloby1 ذكرتني يابومحمد بأبيات للشاعر سعد بن جدلان الله يرحمة اثر الزمن دوار وايامنا طيش ومصادم الايام يحتاج صمله الطير يأكل نملة الارض ويعيش وان مات ترجع تاكل الطير نمله
2
2
3