
The Next Level Guy Show
@nextlevelguy
Followers
566
Following
53K
Media
8K
Statuses
29K
A podcast where the greats are interviewed, to learn the hacks, tips, and protocols to help you better your own life. Connect: https://t.co/MdpUHwT8Th
Scotland, UK
Joined April 2010
Michael "The Monster" Todd: Faith, Grit & Finding Your Way Back 🎙️ Meet Michael “The Monster” Todd — world champion arm wrestler, founder of The Monster Factory, and proof that grit, faith, and consistency can turn pain into power. https://t.co/NhGtiUvj3T
0
0
0
Phd Neuroscientist literally explains how bad habits are formed & how to get rid of them ‼️‼️
110
2K
13K
This guy literally breaks down the 6 neuroscience secrets to mastering any skill faster
8
247
2K
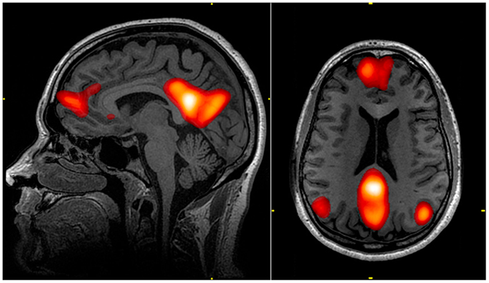
Physical activity is the most effective intervention available for promoting brain health and longevity. Recent research demonstrates that regular exercise, even in modest amounts, is effective for enhancing brain volume, improving memory, and reducing the risk of
18
417
2K
⚔️ FROM THE VAULT — The Soldier’s Mindset When Nick talks resilience, it isn’t theory — it’s lived. The man lost a leg, went back to combat, and still leads from the front. 🎧 Listen now — https://t.co/imQKtTx3wU
#NextLevelGuy #FromTheVault #NickMachineLavery #Mindset
0
0
0
Depression hates a moving target. Keep your body & mind active. Depression thrives in stagnation & rumination.
67
404
3K
Being bored is a luxury in a world with constant stimulation. Boredom activates your brain's default mode network, sparking creativity & self-reflection.
75
635
5K
The Monster Mindset! “It’s not about talent. It’s about consistency, discipline, and the days you show up when you don’t want to." In this clip, ‘Monster’ Michael Todd breaks down what it really takes to be a world champion — in sport, in business, and in life. 🎙️ On Wed
0
0
0
“Mediocrity disgusts me. Being normal never made sense.” — Michael Todd In this new episode, Monster Michael Todd talks about what it takes to rise after defeat, to rebuild when your body breaks, and to chase excellence when the world tells you to settle. 🔗 Coming wednesday!
0
0
0
⚔️ FROM THE VAULT — The War Master’s Code This one still hits hard. Josh doesn’t just talk about fighting; he lives the philosophy behind it. https://t.co/mwpyH5TgYW
#NextLevelGuy #FromTheVault #JoshBarnett #Masculinity #Mindset #Discipline #WarMastersCode #MensGrowth
0
0
0