MGBpathology Profile Banner
Mass General Brigham Pathology Profile
Mass General Brigham Pathology

@MGBpathology

Followers
895
Following
421
Media
16
Statuses
353

Setting the standard in diagnosis. Redefining research. Training the next generation of leaders in pathology.

Boston, MA
Joined February 2022
Don't wanna be here? Send us removal request.
@MGBpathology
Mass General Brigham Pathology
9 months
We couldn’t be more thrilled to introduce this stellar new class of 19 (yes, 19!) PGY1s joining the Mass General Brigham pathology family! 🥳 Welcome to the team — we can’t wait to have you on board and see you thrive! 🧬🔬💫
4
17
158
@MichelleDunno17
Michelle_Hirsch (Donovan)
11 days
We had a fantastic Grand Rounds visit today with @Andres_M_Acosta at @BWHPath/@MGBpathology! I’m so proud of all Andy has accomplished!! #proudmentor #GUrocks #GUfamily #teamGU 🔬 @drwillanderson @CPHpath
3
5
42
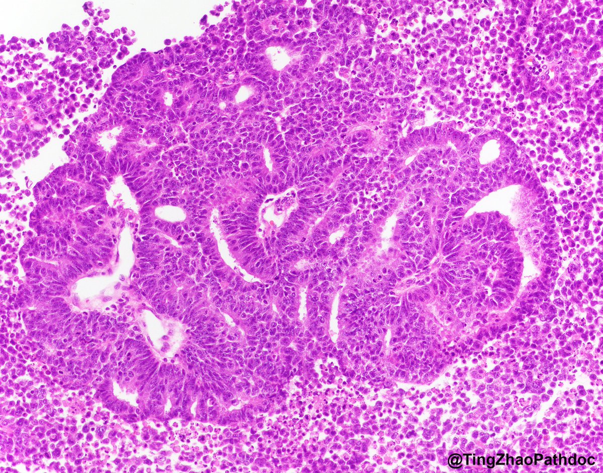
@TingZhaoPathdoc
Ting Zhao, MD
17 days
80s M, cystectomy. What is your diagnosis? #PathTwitter @MGBpathology @MGHPathology
4
18
58
@MGBCI_BreastOnc
MGBCI Breast Oncology
19 days
#SABCS25 | Wed, Dec 10 ∙ 1:00-2:15M CT Join Dr. Dennis Sgroi @MGBpathology in Translational Controversies: ADCs, Targeted Therapy, or Chemo?, presenting "HER2 low/ultralow: what the pathologist sees."
1
1
2
@TingZhaoPathdoc
Ting Zhao, MD
23 days
@MGBpathology @MGHPathology Metastatic prostatic adenocarcinoma to testis #GUpath https://t.co/G9UDkqHNsw
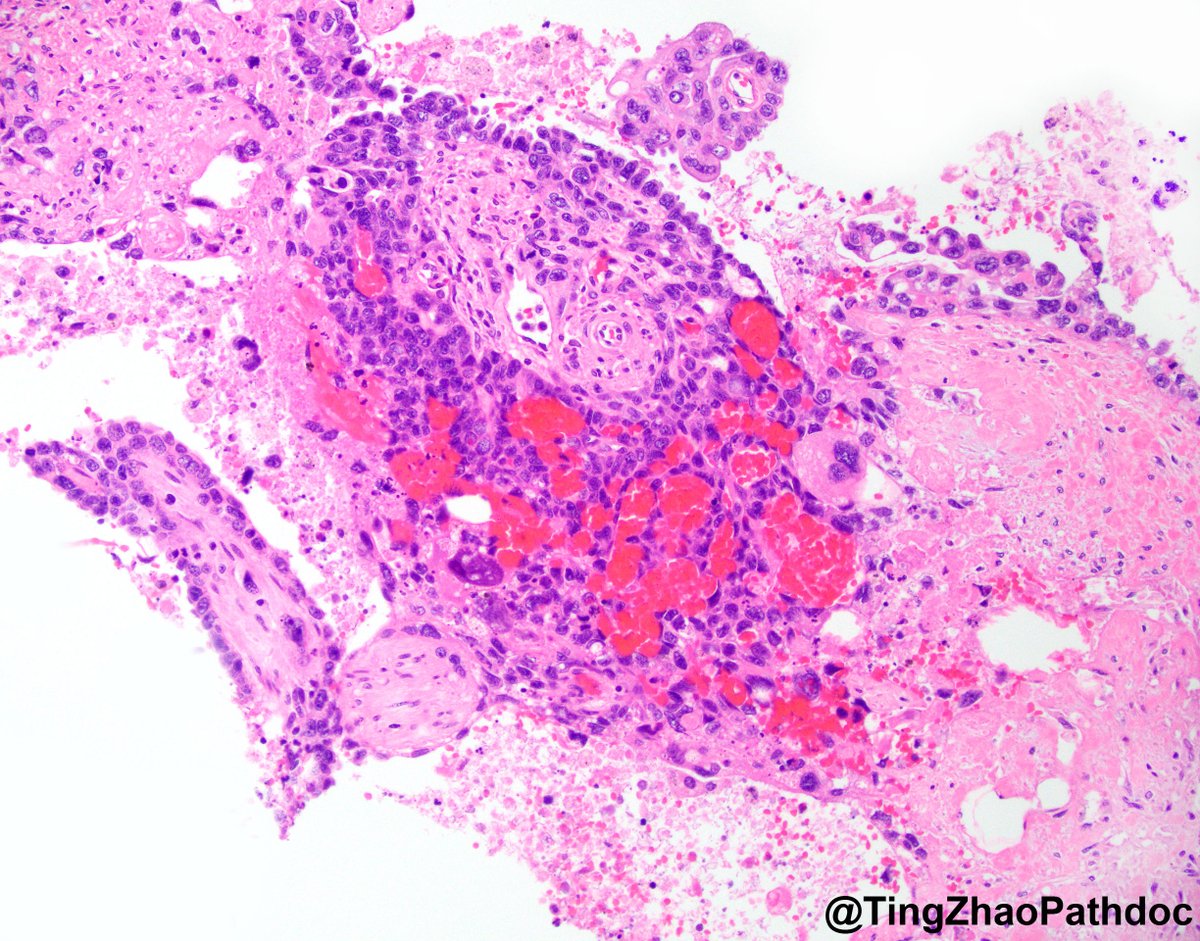
@TingZhaoPathdoc
Ting Zhao, MD
5 months
60s male, orchiectomy specimen. What is your diagnosis? #PathTwitter @MGBpathology @MGHPathology
0
1
4
@TingZhaoPathdoc
Ting Zhao, MD
1 month
60s F, bladder transurethral resection. What is your diagnosis? #PathTwitter @MGBpathology @MGHPathology
12
40
123
@MichelleDunno17
Michelle_Hirsch (Donovan)
1 month
💥Diagnostic Pitfall Alert 💥 ➡️Diffuse CA9 expression in ~20% of FH-deficient RCCs ➡️Pitfall likely greater in metastatic lesions vs primary renal tumor #gupath #GUpathrocks 🔬 Baniak N et al, Histopathol 2020 - PMID: 32639054 Pacheo RR et al, IJSP 2024 - PMID: 37050851
0
37
72
@JLHornick
Jason L. Hornick, M.D., Ph.D.
1 month
Kimchi noodle soup with wilted greens 🥬 🍲 Not #pathx or #PathTwitter @MGBpathology
3
2
30
@byrk_bsr
Busra YAPRAK BAYRAK
1 month
Dr. Mahmut Akgül from @MGBpathology shared three challenging kidney tumors, followed by an insightful chat with @dokemal in “Academic Pathology: Between the Lines.” And we have a new book! #gupath #BSTpath @GU_Path_Society @ISUP
0
7
29
@byrk_bsr
Busra YAPRAK BAYRAK
1 month
Our work with @dokemal on renal synovial sarcomas, presented at the 34th National Pathology Congress — with remarkable mentors Dr. Abbas Agaimy, Dr. @NielsenPetur and Dr. Mahmut Akgul #gupath #BSTpath @GU_Path_Society @IntSocUropath
2
4
29
@TingZhaoPathdoc
Ting Zhao, MD
1 month
Insightful lecture from Dr. Harrison K. Tsai on scenarios where clinically significant fusion events may be missed by computational pipelines analyzing RNA-based NGS data 🧬🧬🧬 #AMPath2025 @AMPath @MGBpathology @BostonChildrens
0
2
22
@AMPath
Association for Molecular Pathology
1 month
🔗 Meet our AMPlifiers at #AMPath2025 🔗 At 2:45 p.m., AMP's social media street team, The AMPlifiers, will have a meetup at AMP Central in the expo hall. Come connect with them in person!
0
2
8
@TingZhaoPathdoc
Ting Zhao, MD
1 month
Ready for #AMPath2025! Can’t wait to dive into all the amazing lectures and sessions! 🧬🧬 #MolPath @AMPath @pvhernandezmd @whosainastro
0
4
10
@AMPath
Association for Molecular Pathology
1 month
📢 Calling All Mentors! 📢 If you're at #AMPath2025, visit the AMP booth from 1:30 to 2 p.m. to talk to Adam Fisch of the AMP Mentorship Program Task Force about how to get involved in a forthcoming program designed to support the next generation of molecular professionals.
0
2
6
@TingZhaoPathdoc
Ting Zhao, MD
1 month
Grateful and honored to be one of the winners in the AMP social media challenge! 🎉🧬🧬 @AMPath @MGBpathology @MGHPathology @pvhernandezmd
2
5
30
@TingZhaoPathdoc
Ting Zhao, MD
1 month
✨ Honored to be one of the AMPlifiers! Come meet us at AMP Central — can’t wait to connect @AMPath @whosainastro @pvhernandezmd
@AMPath
Association for Molecular Pathology
1 month
🔗 Meet our AMPlifiers at #AMPath2025 🔗 At 2:45 p.m., AMP's social media street team, The AMPlifiers, will have a meetup at AMP Central in the expo hall. Come connect with them in person!
0
2
10
@RepettoF_MD
Federico Repetto, MD
1 month
I’m so happy to share our new manuscript, now published in @LIjournal, where we highlight key mechanisms of cutaneous alloreactivity and discuss how these insights inform transplantation, immune-mediated skin disease, and modern immunotherapies. 🔬🧬 #PathTwitter #DermPath
3
2
20
@MGBpathology
Mass General Brigham Pathology
1 month
🚨 New paper alert 🚨 Now out in @LIjournal, the authors review mechanisms of skin alloreactivity and highlight decades of work from the BWH dermpath group. 📝 Congrats to @RepettoF_MD, Drs. Christine Lian and George Murphy. 🔗 https://t.co/kKGTVVBQTg #PathTwitter #Dermpath
Tweet card summary image
laboratoryinvestigation.org
Skin is both the most immunogenic transplantable tissue and the easiest to observe clinically, making it an ideal system for understanding alloreactivity. We trace the concept of alloantigens from...
@RepettoF_MD
Federico Repetto, MD
1 month
I’m so happy to share our new manuscript, now published in @LIjournal, where we highlight key mechanisms of cutaneous alloreactivity and discuss how these insights inform transplantation, immune-mediated skin disease, and modern immunotherapies. 🔬🧬 #PathTwitter #DermPath
0
1
13
@TingZhaoPathdoc
Ting Zhao, MD
1 month
Great Genetics Plenary by Dr. Heidi L. Rehm providing a contemporary overview of the ongoing efforts to address the persistent challenges in identifying and reporting VUS in germline genetic testing #AMPath2025 #MolPath @AMPath @MGBpathology @MGHPathology @broadinstitute
0
4
8
@bfaquin
WC Faquin, MD, PhD
1 month
Superb annual ASC Meeting in St Louis… great seeing all the Cyto stars and friends!
3
6
39
@AstridWeins
Astrid Weins
1 month
Populating the US with outstanding renal pathologists, one trainee at a time. Here are some of my faves, but the group is obviously incomplete. @MGBpathology
2
1
27