Kim Ivan Mendoza Profile
Kim Ivan Mendoza

@kmivn_

Followers
7K
Following
68K
Media
89
Statuses
27K

Radiology and Tennis.

Manila, Philippines
Joined March 2012
Don't wanna be here? Send us removal request.
@maadismad
maad
30 days
being a doctor is fun till the salary arrives and you realize why everyone avoids this profession
@ThisisOshaz_
Oshaz
1 month
Being a medical student is fun till the exams arrive and you realise why everyone avoids this degree.
81
2K
35K
@GAgaYA19
พรี้อั๊ยft.𝟐𝟎𝟐𝟔
1 month
Can you believe it? I rewatch this scene more than 10 times a day. It’s such a short moment, yet it brings so much happiness.🤭 I can’t move on 🥹 #ボーイフレンド2 #BOYFRIEND2 #TheBoyfriendSeason2
2
43
660
@drmankad
Dr Kish Mankad
2 months
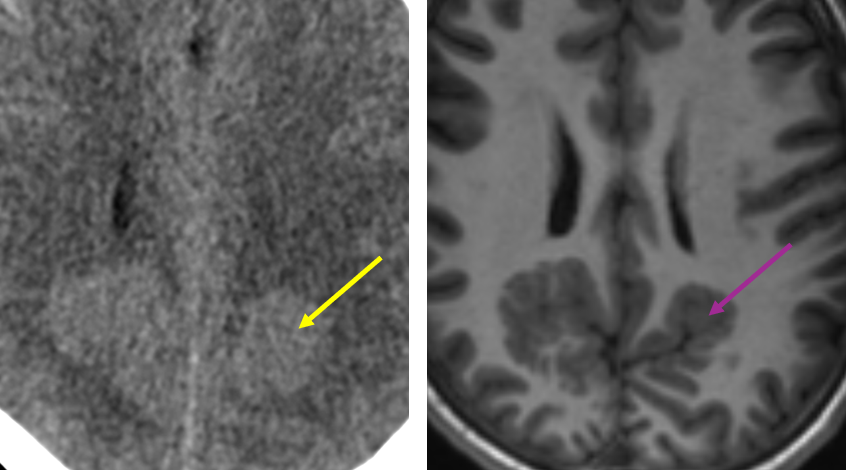
Tip of the day 💡: If CT is all one has, there is still a lot that can be gained- look out for the relative hyperdensity of cortical malformation. This was confirmed months later on an MRI scan. As a good diagnostician, use all you have- resources may be scarce, but human
4
21
160
@spinacademics
SPIN | Society of Pediatric Neuroimaging
3 months
MELAS & the Radiologic Signature of Stroke-Like Episodes (SLEs) A deep dive into the imaging–pathophysiology interplay Today we explore the mitochondrial chameleon that routinely mimics stroke yet behaves nothing like one: MELAS . Ref: doi: 10.3389/fneur.2022.843386
17
34
124
@draash
Aashim Bhatia, M.D., M.S.
3 months
Big thanks to SPIN organizers @drmankad @zguroztekin and all the wonderful people who attended. Meeting had it all, great lectures and friends from all over the world in Dubai. Oh and check out the CHOP Radiology representing! @CHOPRadiology @spinacademics
0
3
17
@spinacademics
SPIN | Society of Pediatric Neuroimaging
4 months
Dr Ata Siddiqui guided us expertly through the causes of hearing loss through an excellent series of cases, ending with the imaging essentials to get cochlear implant planning right! @DrAtaSiddiqui
0
2
10
@francisdeng
Francis Deng, MD
4 months
Incidental pineal cysts that are simple & <15 mm, or nonsimple & <10 mm, do not need further imaging follow-up. New from the @RadiologyACR @gmoonis @drsuyash @PallaviUtukuri @nyahyavi @JennyKHoang https://t.co/A8wr5W0M7i
3
41
137
@spinacademics
SPIN | Society of Pediatric Neuroimaging
4 months
Highlights from #SPIN2025
0
11
22
@spinacademics
SPIN | Society of Pediatric Neuroimaging
4 months
Congratulations @SusanPalasis, for inspiring us all in every way- as a great human being, as a friend, as a mentor, and as one who has always supported the good cause and fight.
@The_ASPNR
American Society of Pediatric Neuroradiology
4 months
🏅We are thrilled to announce Dr. Susan Palasis as the 2026 ASPNR Gold Medal Award Recipient! Dr. Palasis’s visionary leadership and dedication to advancing pediatric neuroradiology — including launching the Society’s first Annual Scientific Meeting in 2019 — have transformed
1
7
27
@spinacademics
SPIN | Society of Pediatric Neuroimaging
4 months
1/ 🧬 SPIN Tweetorial Wednesday Today, we explore tRNA synthetase–related leukodystrophies (mt-aaRS disorders) — translation defects that uniquely target white matter. Key prototypes: DARS2 → LBSL EARS2 → LTBL AARS2 → Ovario-LD (Fine et al., J Neurodev Disord 2019 11:29)
16
14
54
@spinacademics
SPIN | Society of Pediatric Neuroimaging
4 months
Reading Between the Scans — Dr. Sanjay Prabhu decodes tumor response assessment, progression vs. pseudoprogression, and introduces us to AI-RAPNO. Excellent talk at SPIN Dubai.
0
8
24
@spinacademics
SPIN | Society of Pediatric Neuroimaging
4 months
From molecular subtypes to modern strategies — Dr. Korgun Koral (USA) illuminated the evolving landscape of Medulloblastoma, yet one truth stands firm: Radiotherapy remains indispensable! #SPINDUBAI
0
6
20
@stikkman11
Asthik Biswas
4 months
Our paper on imaging phenotypes of mitochondrial disorders is now out! Grateful to my brilliant co-authors @GaurPritika @cesaralvesneuro @SSudhakar2019 @drmankad @drharunyildiz and Dr. Rahman. Full text link here: https://t.co/nmHW9JMGBO
3
13
50
@drmankad
Dr Kish Mankad
4 months
Let us convene to contribute. All of you who want to make a positive impact in Pediatric Neuro-oncology space, let us connect and build capabilities together. International Symposium on Pediatric Neuro-oncology. #ISPNO26 #Sydney
1
5
20
@draash
Aashim Bhatia, M.D., M.S.
4 months
Thrilled for our latest publication of Sodium MRI in Pediatric Brain Tumors! The imaging evolution to better understand tumor biology is with MRI of elevated sodium concentrations in tumors 🧂 Download Now https://t.co/nQGJzS2lYL Big Thanks to @TimRoberts_Phl @CHOPRadiology and
1
3
13
@TheAJNR
AJNR
4 months
"Differentiation between Nonenhancing Tumor in Glioblastoma and Vasogenic Edema Using Diffusion-Weighted and Dynamic Susceptibility Contrast MR Imaging" https://t.co/aDtORGl6R9 @sahar_alizada_ #EditorsChoice
2
17
61
@drmankad
Dr Kish Mankad
4 months
Incredible and thank you to the world of gentle learners. @CMRadiology @thecortexclub
0
9
24
@BSPRJuniorForum
BSPR
4 months
🧠 BSPR x RCR Webinar Series Topic: Congenital Brain Abnormalities 📅 Friday 7 November 2025, 1–2 PM UK 🎓 Speaker: Dr Ian Russell, Consultant Paediatric Neuroradiologist, Royal Manchester Children’s Hospital. Click below to register! https://t.co/k5kJYIJJoo
0
3
4
@drmankad
Dr Kish Mankad
4 months
Tip of the day 💡: NF-1 related FASIs like to hide in the hippocampi. Definitely a review area! No seizures in this case. This weekend, trick and treat!
2
28
174
@thoracicrad
Society of Thoracic Radiology
4 months
New in Radiology: “Comparison of 10-year Survival Outcomes between CT Surveillance and Surgery for Ground-Glass Nodules.” In this large cohort, long-term survival was not significantly different between conservative monitoring and surgical resection for selected ground-glass
0
11
49