drharunyildiz Profile Banner
Dr Harun Yıldız Profile
Dr Harun Yıldız

@drharunyildiz

Followers
14K
Following
7K
Media
1K
Statuses
2K

#RadiologicalIllustration ✍️ * Let's learn by sharing! * #Radiologist * #Radiology * #MedEd * #MedTwitter * #MedX * 👍❤🙋‍♂️

Türkiye
Joined September 2019
Don't wanna be here? Send us removal request.
@drharunyildiz
Dr Harun Yıldız
3 days
Interview with AuntminnieEurope https://t.co/usASM09PdN #radiologicalillustration ✍️ pixel by pixel handmade!
0
1
12
@AuntMinnieEuro
AuntMinnieEurope
3 days
We must see the beauty and realize the full value of medical images, says @drharunyildiz from #Bursa, #Turkey. He reveals his passion for art, presents a selection of work, and speaks about his online talk at 6 pm CET today. https://t.co/dVE6rBuWRU #Radiology
0
1
5
@The_ASPNR
American Society of Pediatric Neuroradiology
20 days
📚 Don’t miss the Core Curriculum at #ASPNR2026! 🗓 Thursday, Jan 15 Topics include: • Intracranial Neoplasms • Vascular Pathologies • Epilepsy • Cranial Vault & CSF Spaces • Head & Neck Infections • Hearing Loss 👉 Full agenda: https://t.co/grC2W25u6l
0
11
23
@drharunyildiz
Dr Harun Yıldız
6 days
📢📢📢 I will be presenting my first! lecture on "radiological illustration" on November 20, 2025, at 8:00 PM Turkey time. Showtime! 🥳 📌 Link: https://t.co/ujlHI7kXZY #radiologicalillustration ✍️ pixel by pixel handmade!
0
2
7
@drharunyildiz
Dr Harun Yıldız
14 days
QUCARILL ♠️♦️♣️♥️ Labrune syndrome (Leukoencephalopathy with cerebral calcifications and cyst) vs L-2-hydroxyglutaric aciduria and Brain Tumour #radiologicalillustration ✍️ pixel by pixel handmade!
0
19
80
@stikkman11
Asthik Biswas
17 days
Our paper on imaging phenotypes of mitochondrial disorders is now out! Grateful to my brilliant co-authors @GaurPritika @cesaralvesneuro @SSudhakar2019 @drmankad @drharunyildiz and Dr. Rahman. Full text link here: https://t.co/nmHW9JMGBO
3
13
49
@drharunyildiz
Dr Harun Yıldız
17 days
Fresh! 👍♥️🙋‍♂️ Imaging patterns of paediatric CNS mitochondrial disorders https://t.co/M3ohYWjbLW #radiologicalillustration ✍️ pixel by pixel handmade!
0
28
85
@drharunyildiz
Dr Harun Yıldız
21 days
Dilated Perivascular Space https://t.co/42DZ2C2qEQ #radiologicalillustration ✍️ pixel by pixel handmade!
0
24
145
@drharunyildiz
Dr Harun Yıldız
22 days
Early Subacute Hematoma #radiologicalillustration ✍️ pixel by pixel handmade!
0
11
82
@drharunyildiz
Dr Harun Yıldız
24 days
“Fireworks Sign” Diffuse Astrocytoma (MYB or MYBL1-altered) https://t.co/oxgM0KUy5T #radiologicalillustration ✍️ pixel by pixel handmade!
2
16
96
@drharunyildiz
Dr Harun Yıldız
26 days
Arachnoid Granulation Protruding Into The Transverse Sinus and Idiopathic Intracranial Hypertension "Is it a cause or the effect of IIH? Which comes first?" https://t.co/qPqfCd0kdI #radiologicalillustration ✍️ pixel by pixel handmade!
0
6
35
@drharunyildiz
Dr Harun Yıldız
29 days
1st Branchial Cleft Cyst #radiologicalillustration ✍️ pixel by pixel handmade!
1
5
37
@drharunyildiz
Dr Harun Yıldız
30 days
Abusive Head Trauma Nuchal Injury #radiologicalillustration ✍️ pixel by pixel handmade!
1
3
35
@drharunyildiz
Dr Harun Yıldız
1 month
Iris Sign (in Deep Medullary Venous Thrombosis) https://t.co/r515WpS6an https://t.co/HMHw2qfzqH #radiologicalillustration ✍️ pixel by pixel handmade!
1
19
109
@drharunyildiz
Dr Harun Yıldız
1 month
Ectopia Lentis https://t.co/BRrpwmVB9N #radiologicalillustration ✍️ pixel by pixel handmade!
0
0
4
@drharunyildiz
Dr Harun Yıldız
1 month
Brush Sign (in deep venous thrombosis) https://t.co/a5juSz0GTf https://t.co/fvfTgwq2fY #radiologicalillustration ✍️ pixel by pixel handmade!
0
23
130
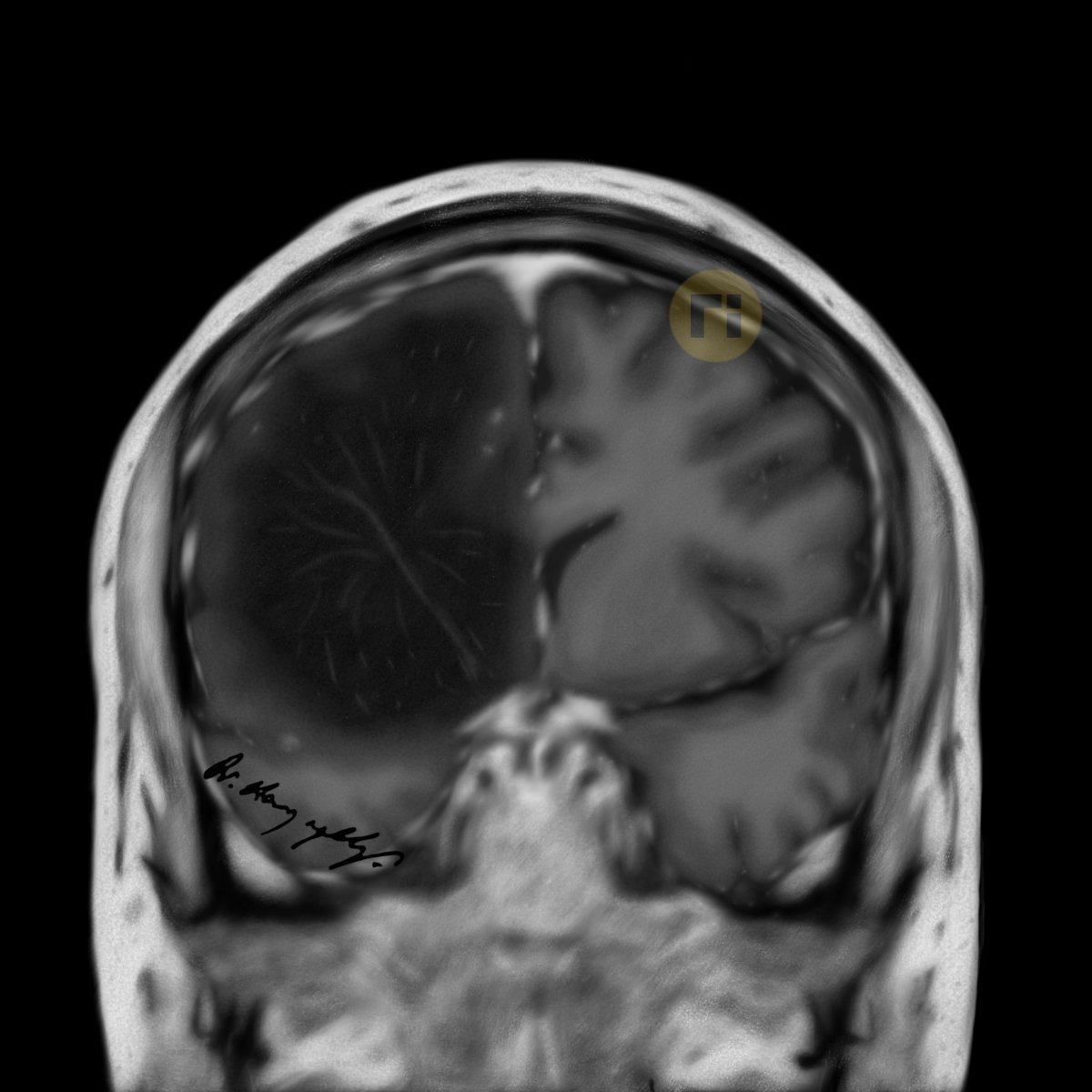
@drharunyildiz
Dr Harun Yıldız
1 month
Third Ventricular Recesses 🐟 #radiologicalillustration ✍️ pixel by pixel handmade!
0
22
122
@drharunyildiz
Dr Harun Yıldız
1 month
Koos Classification for Vestibular Schwannomas https://t.co/GMDbVxtHrP #radiologicalillustration ✍️ pixel by pixel handmade!
1
62
301
@drharunyildiz
Dr Harun Yıldız
2 months
Sinus Trombosis and Mastoiditis #radiologicalillustration ✍️ pixel by pixel handmade!
1
6
36
@drharunyildiz
Dr Harun Yıldız
2 months
0
23
102