Explore tweets tagged as #intraventricular
@Alobaid_Abdul
د. عبدالله العبيد Abdullah Alobaid MD FRCSC
14 days
right intraventricular tumor, differential diagnosis ependymoma
0
1
6
@PanShelei
Shelei Pan
7 days
Had a great time at #CNS2025 presenting our work on intraventricular hemorrhage and hydrocephalus!! @strahleMD @Gracehalupnik
1
4
24
@drsthanus
Dr sthanu subramanian
5 months
Thalamic hemorrhage. Limited bleeding or accompanied by a small amount of intraventricular hemorrhage in patients without coma and hemiplegia often complain about mild headache, limb numbness or sensory abnormalities, which is called simple sensory stroke.
1
15
71
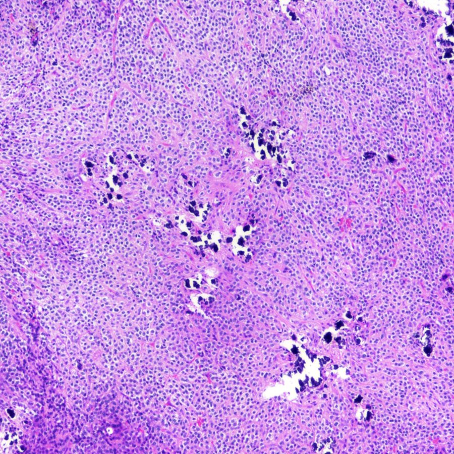
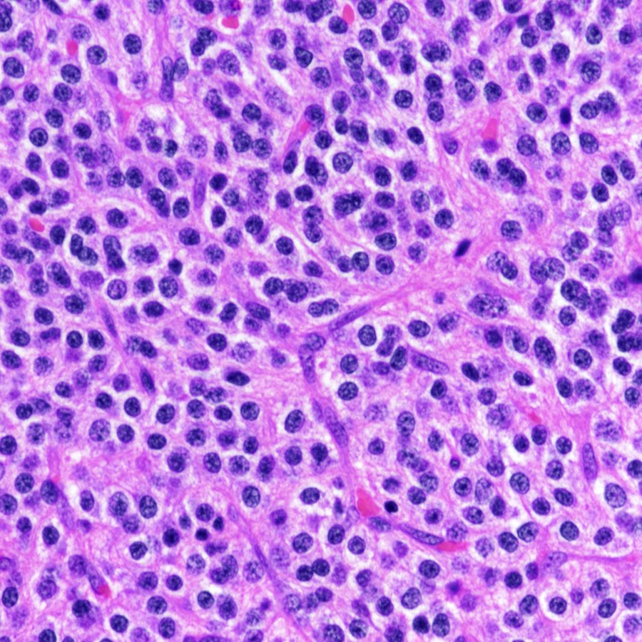
@CraigHorbinski
Craig Horbinski
10 months
Left intraventricular mass in an adult. Diagnosis? (Hint: this is most definitely IDH wildtype.) #pathology #neuropath #PathTwitter
18
26
86
@RadMasterclass
Radiology Masterclass
2 days
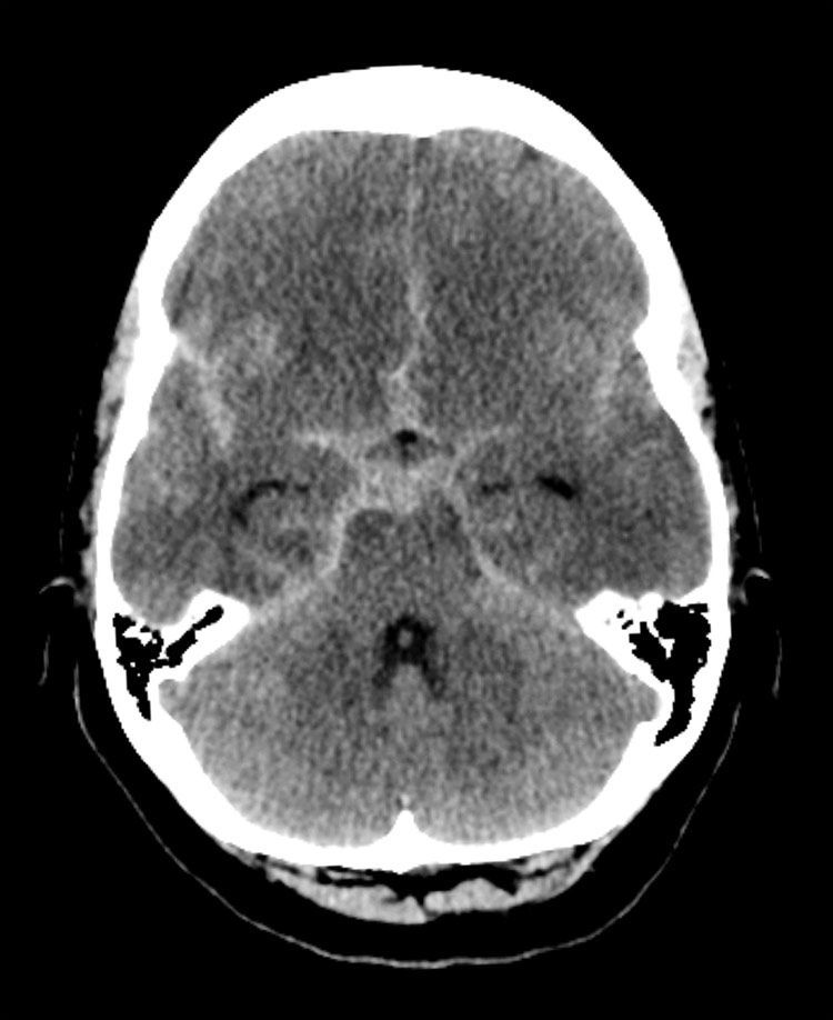
CT BRAIN QUIZ: Non-contrast CT Brain: Sudden onset severe headache. What does the image show? A: Subdural haematoma B: Subarachnoid haemorrhage C: Intraventricular haemorrhage D: Extradural haematoma E: Intracerebral haemorrhage Start Quiz https://t.co/ATFl8YktNe
34
16
132
@ImagenCardiaca
SEIC - Sociedad Española de Imagen Cardíaca
2 months
Trombo intraventricular derecho en paciente con miocardiopatía arritmogénica. Reporte de un caso 📙 https://t.co/8Sa71kEDlE◀️ ¡Registro como Socio de la SEIC gratis! 👤 https://t.co/Txdr5UtYvb ◀️ #aprendeconcasos
0
0
3
@CardioBeat_
CardioBeat
2 months
🚨 Intraventricular conduction delay (IVCD): Widened QRS (≥120 ms) signals ventricular conduction issues. LBBB: Deep S wave in V1, broad R waves in I, aVL, V5-V6, delayed R peak (>60 ms). RBBB: QRS >120 ms, RSr' in V1-V2, slurred S waves in lateral leads. #Cardiology #ECG
0
14
51
@TrackYourHeart
CardiovascularCorner
6 months
Left Anterior Fascicular Block (LAFB) is a type of intraventricular conduction delay involving the anterior fascicle of the left bundle branch. Electrophysiology: The anterior fascicle of the left bundle conducts impulses to the anterosuperior portion of the LV. In LAFB,
0
103
322
@MeetMeAtCalvary
❤MyAshton&Marlow☀
4 months
Prayer Request: 🙏 Please say a prayer for Barrett Bear🩵🧸 as he goes into the hospital tomorrow to have his shunt value switched from a nonprogrammable to a programmable as he begins to receive intraventricular chemo and radiation as of next week. 🎗️🙏🩵🧸✝️
230
90
1K
@unnstudentz
unnstudentz
28 days
Deborah Anyachukwu is a brilliant 500 level UNN student. She had a Left Posterior Trigonal Intraventricular Arteriovenous Malformation (AVM) with Intranidal Aneurysms that ruptured slightly in her brain. We are soliciting for financial support🙏 301 424 9522 - Firstbank
0
4
6
@CardioAPFerrol
Cardio-Primaria Ferrol
9 months
Recordemos que el Haz de His se divide en dos ramas: derecha e izquierda (que a su vez consta de fascículo anterior y posterior). El bloqueo de rama es un trastorno de la conducción intraventricular, que afecta a la despolarización y repolarización de los ventrículos, por lo
1
16
82
@pepeheffernan
Pepe Jiménez Heffernan
3 days
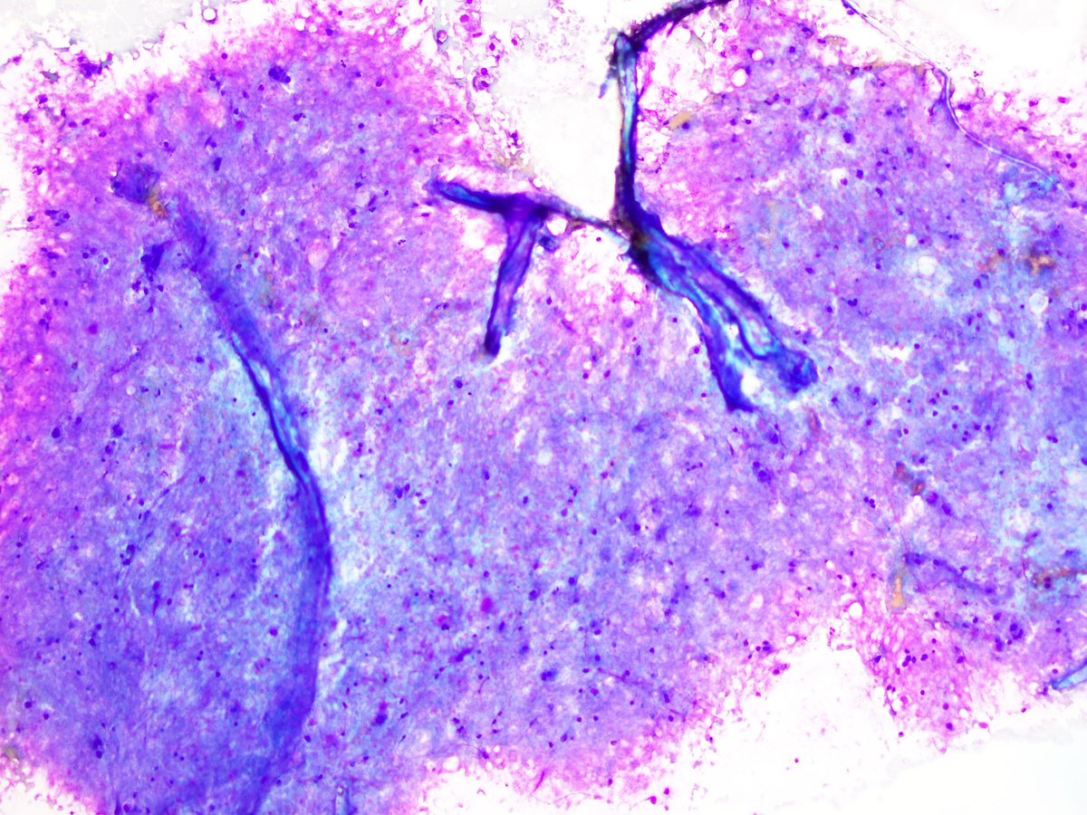
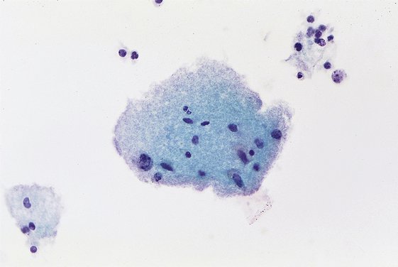
Both patients underwent VENTRICULAR DERIVATION due to high intraventricular pressure, so these are CSF samples containg normal brain tissue fragments. I have found two similar images on the web. Unusual cases, aren't they? Thanks! https://t.co/bwNVLM905x https://t.co/8kJvORVGgD
3
3
20
@DocNavarrow
Dr Navarro
22 days
💡Intraventricular empyema🧠 • FLAIR – intraventricular hyperintense material • Post-contrast T1 – ependymal enhancement (ventriculitis) • DWI – marked hyperintensity • ADC – low signal (restricted diffusion) https://t.co/oBc7jB9a5K
1
26
141
@JordiRoldanB
Jordi Roldan
4 months
Context: intraventricular pediatric mass 🧠 One peak to rule them all: choline. No NAA. No creatine. 📉 Neuron-free profile. 🎯 Highly suggestive of choroid plexus tumor. #MRI #PediatricNeuro
2
21
101
@TrackYourHeart
CardiovascularCorner
2 months
Understanding Fascicular Blocks in the Left Ventricle A 🧵 Let’s break down the anatomy, ECG patterns, and diagnosis of Left Anterior Fascicular Block (LAFB) & Left Posterior Fascicular Block (LPFB), two important intraventricular conduction delays.
4
79
347
@ZHeart11768530
The Heart
7 months
🔴Acute Pulmonary Embolism⤵️ 🔹"D" sign:In a physiologically normal heart, LV pressure > RV pressure. When viewing heart in a parasternal short axis during systole the LV maintains a circular appearance, bowing the intraventricular septum into the right ventricle.
1
43
162
@javier20ch
Dr. FEVI🫀🩺
9 months
Trastornos de la conducción intraventricular en el IAM. 🫀⚡️ 🔴En el contexto del IAM, los trastornos de conducción intraventricular son relativamente frecuentes y clínicamente significativos. Entre ellos, destacan los bloqueos de rama y fasciculares. 🔴BFARIHH: el más común de
1
20
67
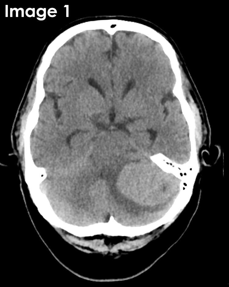
@RadMasterclass
Radiology Masterclass
6 months
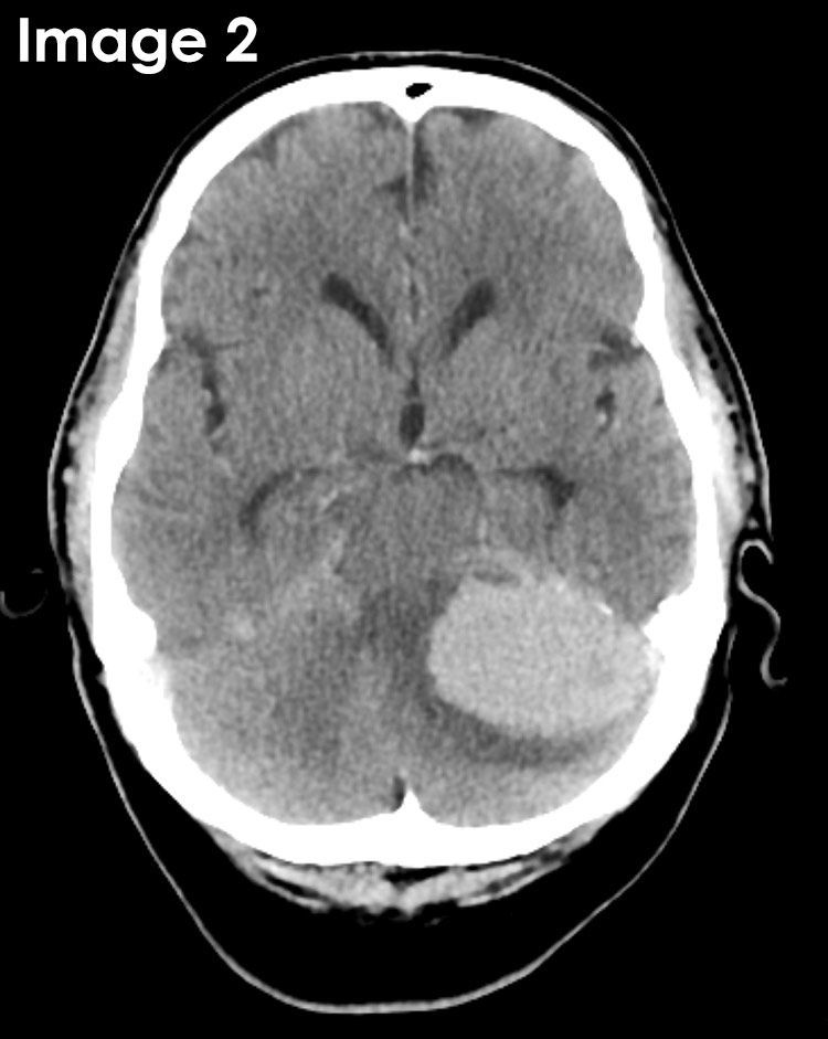
CT BRAIN QUIZ: Pre + post-contrast: Postural headaches. Cerebellar signs. What is the most likely diagnosis? A: Subdural collection B: Subarachnoid haemorrhage C: Intraventricular haemorrhage D: Extradural haematoma E: Posterior fossa meningioma Start Quiz https://t.co/ATFl8YktNe
18
23
131
@RadMasterclass
Radiology Masterclass
5 months
CT BRAIN QUIZ: Non-contrast CT. History of hypertension & sudden left facial droop. What does the image show? A: Subarachnoid haemorrhage B: Subdural haemorrhage C: Intraventricular haemorrhage D: Intracerebral haemorrhage E: Enhancing mass Start Quiz https://t.co/ATFl8YktNe
16
20
103
@Notas_Patologia
NotasDePatologia
5 months
🔬 #NeurocitomaCentral: A rare intraventricular tumor with neuroepithelial flair 📷 Quick definition: Rare, well-differentiated intraventricular neoplasm with neuroepithelial differentiation, typically near the foramen of Monro, comprising 0.1–0.5% of primary CNS neoplasms. 📷Key
1
10
35