RadMasterclass Profile Banner
Radiology Masterclass Profile
Radiology Masterclass

@RadMasterclass

Followers
10K
Following
1K
Media
883
Statuses
1K

Radiology education for medical students, doctors in training and allied healthcare professionals. Founder/Director @DrGrahamLJ

UK
Joined January 2022
Don't wanna be here? Send us removal request.
@RadMasterclass
Radiology Masterclass
1 day
ABDOMINAL X-RAY 25: Which of the following structures is abnormally calcified? A-Liver, B-Kidneys, C-Pancreas, D-Adrenals, E-Gallbladder. Answer https://t.co/STSG7YlMV4
6
1
46
@RadMasterclass
Radiology Masterclass
2 days
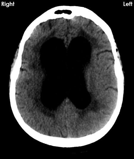
CT BRAIN 25: Patient with hydrocephalus. What is the low density of the periventricular white matter called? Answer https://t.co/U3HvZCGmhD
9
8
92
@GOLDCOUNCIL
World Gold Council
1 month
Imagine if everything in life was as good as gold. It’s easy to invest in, could help grow your wealth, and protect it too. A timeless asset that stands strong when others may not.
142
268
4K
@RadMasterclass
Radiology Masterclass
3 days
X-RAY QUIZ: Patient with severe abdominal pain. What is the cause of pain demonstrated on this abdominal X-ray? A: Caecal volvulus B: Normal appearance C: Pneumoperitoneum D: Small bowel obstruction E: Toxic megacolon Start Quiz https://t.co/9y3NgnASoI
25
6
121
@RadMasterclass
Radiology Masterclass
4 days
TRAUMA X-RAY 74: Pain in foot. 2 images. What is the abnormality? Answer https://t.co/S0hiZfBWi9
9
6
50
@RadMasterclass
Radiology Masterclass
5 days
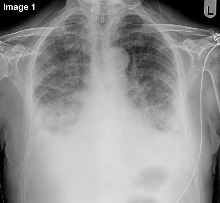
CHEST X-RAY 47: What is the medical device? What is the life-threatening abnormality in this image? Look closely! Answer https://t.co/z8QZmwDUFj
5
4
50
@Delphi_Digital
Delphi Digital
4 days
The best time to get ahead is before everyone catches on. Get all three of our 2026 Year Ahead Reports (Markets, Apps, Infra) plus 2 free months of Delphi Pro. All for $89.
11
13
80
@RadMasterclass
Radiology Masterclass
6 days
X-RAY QUIZ: What are the artifacts visible? A: Urinary catheter and navel jewellery B: Urinary catheter and surgical clips C: Gastrostomy tube and surgical clips D: Catheter and ingested foreign body E: Gallstones and urinary catheter Start Quiz https://t.co/1RrslRiBTg
8
2
29
@RadMasterclass
Radiology Masterclass
7 days
TRAUMA X-RAY 73: Elderly patient. Fall on stairs. Where is the injury? Answer https://t.co/48Twe6e4tc
13
5
84
@RadMasterclass
Radiology Masterclass
8 days
X-RAY QUIZ: Which of the following features is present? A: Dextrocardia B: Bilateral pleural effusions C: Pericardial effusion D: Hiatus hernia E: Normal chest X-ray Start Quiz https://t.co/QHgSHKrnO3
44
15
145
@RadMasterclass
Radiology Masterclass
9 days
ABDOMINAL X-RAY 24: Patient with longstanding ulcerative colitis. What is the radiological sign? Answer https://t.co/O1053qlXXw
7
14
83
@USATODAY
USA TODAY
6 days
Before you give someone the present of a pet, it’s important to consider the enormous responsibility of life-long care. Story from Lemonade.
2
23
102
@RadMasterclass
Radiology Masterclass
10 days
CHEST X-RAY 46: What is the normal variant? Answer https://t.co/VAPp25H2cF
9
8
78
@RadMasterclass
Radiology Masterclass
11 days
X-RAY QUIZ: What is the abnormality? A: Breast asymmetry due to previous mastectomy B: Pleural effusion C: Air bronchogram D: Bilateral hilar enlargement E: Phrenic nerve palsy Start Quiz https://t.co/82w2tKeopW
25
10
126
@RadMasterclass
Radiology Masterclass
12 days
TRAUMA X-RAY 72: Injury to hand in a child. What is the eponymous fracture? Answer https://t.co/cedJdlFoPp
14
14
119
@RadMasterclass
Radiology Masterclass
13 days
CT BRAIN 24: Patient intubated following prolonged cardiopulmonary resuscitation. What are the abnormalities? Answer https://t.co/SzWQa19oUw
16
14
119
@inconetwork
Inco ☁️
6 days
Navigating Privacy and Compliance in Blockchain Systems: a new report from Inco and @0xPredicate a review of the privacy + compliance landscape, exploring solutions from @AleoHQ, @AvaCloud, @fluidkey, @payy_link, @0xprivacypools, @RAILGUN_Project, @solana, @verulink, + @zksync
79
59
216
@RadMasterclass
Radiology Masterclass
14 days
QUIZ: Breathless. Chest pain. (Image 2 = previous). For image 1, which statement is FALSE? A Costophrenic angles are blunt B Upper zone vessels are enlarged C Previous imaging is irrelevant D Image quality is adequate E Image shows heart failure Start Quiz https://t.co/91djR6tPtq
7
8
54
@RadMasterclass
Radiology Masterclass
15 days
CHEST X-RAY 45: This chest X-ray could be considered normal. Why? Answer https://t.co/164UtqXGoE
10
15
167
@RadMasterclass
Radiology Masterclass
16 days
ABDOMINAL X-RAY 23: Patient with abdominal pain. What is the radiological diagnosis and what clinical features would you expect? Answer https://t.co/sujqcLg4p1
14
14
97
@RadMasterclass
Radiology Masterclass
17 days
X-RAY QUIZ: Which statement is correct? A The X-ray is poor quality so should be repeated B The endotracheal tube should be advanced C The jugular catheter should be removed D The nasogastric tube should be removed E The lungs are normal Start Quiz https://t.co/yXBdW5eYSQ
12
10
67
@bigbatteryinc
BigBattery
6 days
The 48V NEXUS off-grid solar battery is built to keep your cabin, homestead, or backup system running strong with serious LiFePO₄ capacity, scalability, and dependable performance when the grid can’t be trusted. If you’ve been waiting to build out your off-grid system or
3
15
25
@RadMasterclass
Radiology Masterclass
18 days
TRAUMA X-RAY 71: Gymnast with pain in lower leg. What is the abnormality? Answer https://t.co/MvjB5A3H4C
22
24
198
@RadMasterclass
Radiology Masterclass
19 days
X-RAY QUIZ: Direct trauma to the lateral side of the knee. Is there a visible injury? If so, what is the injury? Start Quiz https://t.co/X7CYF8FOw0
4
6
44
@RadMasterclass
Radiology Masterclass
20 days
CHEST X-RAY 44: Short of breath and chest pain. What is the radiological abnormality and what does it signify? Answer https://t.co/pJEPGNaLj7
12
14
147