Explore tweets tagged as #RadInTraining
@RITEditor
Rad In Training Editor
2 days
An incredibly informative interactive QA session on statistics with Dr Schweitzer, EIC of @jmri_ismrm. Many excellent questions were asked and answered! #RadInTraining @radiology_rsna
0
8
23
@nadinebayerl
Nadine Bayerl
2 days
Can low dose CT (#LDCT) predict #lungcancer risk 🫁 years ahead, even without visible nodules? Answers in new @Radiology_RSNA study! πŸ“– https://t.co/aHHiRIPHXu #Tweetorial #RadInTraining @RITEditor @VChernyakMD @RadiologyEditor @chemshift1 @ProfVickyGoh
2
16
31
@sruradiology
SRU Radiology
21 hours
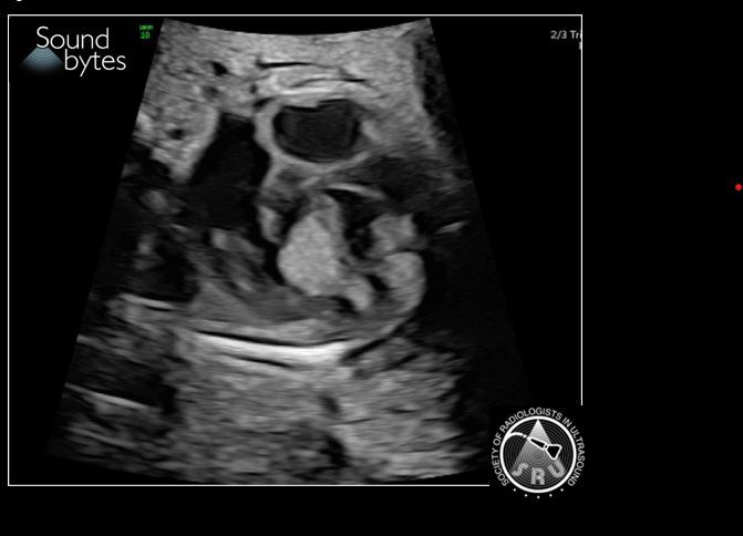
Pregnant woman presents for 2ndT anatomy scan. What's your sound diagnosis? Case courtesy of Dr. April Griffith, U of UT #RadResidents #ultrasound #RadInTraining
0
0
2
@klf_mohammad
Mohammad Khalafi, MD
2 days
1/ 🚨 #tweetorial Multicenter study in @Radiology_RSNA (4,414 pts, median 7.7-yr follow-up) dives into preoperative MRI’s impact on outcomes for women ≀50 yr with #BreastCancer. MRI linked to lower ipsilateral in-breast recurrence (sHR=0.49, P=.04)Β #Radiology #RadInTraining
1
8
24
@sruradiology
SRU Radiology
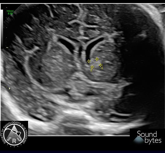
8 days
Pregnant woman w history of seizures presents for 2ndT anatomy scan. What's your sound diagnosis? Case courtesy of Dr. April Griffith, U of UT #RadResidents #ultrasound #RadInTraining
0
1
5
@eniscy
Enis C. Yilmaz, MD
1 month
πŸ“Best Practices for the Safe Use of Large Language Models and Other Generative #AI in #RadiologyπŸš¨πŸ‘‡ @PaulYiMD @jjeudymd @woojinrad @FelipeKitamura @AndrewSmith_AI @DrLindaMoy @vishwa_parekh @RITEditor #RadInTraining #Tweetorial 🧡 @Radiology_RSNA @RadiologyEditor
1
20
30
@sruradiology
SRU Radiology
15 days
Pregnant woman with vaginal bleeding. What's your sound diagnosis? Case courtesy of Dr. April Griffith, U of UT #RadResidents #ultrasound #RadInTraining
1
1
3
@sruradiology
SRU Radiology
2 months
Patient with fever and confusion. What's your sound diagnosis? Case Courtesy of Naiim Ali, MD, University of VT #RadInTraining #RadRes #ultrasound
2
5
9
@RaisaAmiruddin
Raisa Amiruddin
2 months
🚨 #Radiology in a Minute @radiology_rsna 🚨 Significance of cardiac chamber volume ratios in prediction and clinical risk stratification of adverse cardiac events - @malakhoballah et al https://t.co/7gdnsEtALS @RITEditor @RadiologyEditor @VChernyakMD #RadInTraining
0
12
38
@OmidShafaat
Omid Shafaat, MD
2 months
1/10 Can a radiology-trained LLM beat GPT-4o at writing impressions? Results of this 🧡 may surprise you! πŸ‘‡ #RadInTraining #Tweetorial of a study just published in @radiology_rsna @RITEditor @VChernyakMD @DrLindaMoy https://t.co/TqXnG9s5jY
10
21
59
@ShailendraKatw4
Shailendra Katwal
4 days
#RIAM (Radiology in a Minute)@radiology_rsna PSMA PET/CT Reporting: Real-Life Inconsistencies, Heterogeneity, and Underutilization of Scoring Systems and Interpretation Frameworks Full study link : https://t.co/wJjDocAplv @RITEditor @RadiologyEditor @VChernyakMD #RadInTraining
0
6
11
@RaisaAmiruddin
Raisa Amiruddin
1 month
🚨 #Radiology in a Minute @radiology_rsna 🚨 The Financial, Operational, and Clinical advantages of Generalist Radiology AI - @siddograMD @pranavrajpurkar et al https://t.co/OFYjVQgrJ2 @RITEditor @VChernyakMD @RadiologyEditor @DrLindaMoy #RadInTraining
0
12
19
@nadinebayerl
Nadine Bayerl
23 days
1/10 Can #AI help create those eye-catching visual abstracts we see in radiology journals? πŸ€–πŸ€” New @Radiology_RSNA study tests GPT-4o's ability to generate visual abstracts (VAs) vs. human-created ones. @RITEditor @VChernyakMD @Radiology_Editor #Tweetorial #RadInTraining πŸ‘‡
4
15
19
@MahsaDolatshah1
Mahsa Dolatshahi
2 months
1/10 ❓Can imaging-based paraspinal muscle volumes quantification on preop MRI classify normal, partial, or total avulsion traumatic brachial plexus injuries (TBPIs) to improve surgical planning? @Radiology_RSNA #RadInTraining @RITEditor πŸ‘‰A Tweetorial on: https://t.co/jp7mSpAC2e
1
10
25
@klf_mohammad
Mohammad Khalafi, MD
2 months
🚨 #Tweetorial 1/6 Hot off the press @Radiology_rsna: "MRI Evaluation of Liver Fat & Iron After GLP-1R/GCGR Dual Agonist" Tackling metabolic dysfunction-associated steatotic liver disease (MASLD) with 9.4T MRI!  #Radiology #RSNA #RadInTraining
2
9
25
@sruradiology
SRU Radiology
10 days
Answer: Size Date Mismatch Findings: Discrepancy of >7d in GA by LMP vs US late1st T (9 0/7 wk to 13 6/7 wk) suggests size-dates discrepancy, per ACOG guidelines (below). Case courtesy of Dr. April Griffith, U of UT #RadResidents #ultrasound #RadInTraining
0
1
8
@klf_mohammad
Mohammad Khalafi, MD
1 month
1/ 🚨 #Tweetorial New study in @Radiology_RSNA shows left atrial minimal volume index (LAVImin) on cardiac MRI predicts major adverse cardiovascular events (MACE) after acute myocardial infarction (AMI). πŸ«€Β #Cardiology #MedicalImaging #Radiology #RSNA #RadInTraining
1
12
16
@sruradiology
SRU Radiology
1 month
Answer: Acute Thyrotoxicosis/Thyroid storm Findings: Enlarged, hypervascular thyroid gland in a patient with acute sxs. Case Courtesy of Naiim Ali, MD; U of VT #RadRes #RadInTraining #ultrasound
2
4
16
@jyedlin
Julian Yedlin
16 days
🧠Can diffusion #MRI detect early brain changes in #Alzheimer disease? Researchers studied free water fraction (FWF), a marker of extra water outside brain cells. This #RadInTraining #Tweetorial shows how FWF reveals hidden damage. πŸ‘‡ @RITEditor @VChernyakMD @RadiologyEditor
1
13
19