MahsaDolatshah1 Profile Banner
Mahsa Dolatshahi Profile
Mahsa Dolatshahi

@MahsaDolatshah1

Followers
2K
Following
6K
Media
53
Statuses
571

PGY1 resident @MissouriBaptist || Incoming research track radiology resident @WashUMedMIR class of 2030 || MD-MPH Graduate @TehUofMed

St Louis, MO
Joined March 2021
Don't wanna be here? Send us removal request.
@MahsaDolatshah1
Mahsa Dolatshahi
5 days
9/9 Take-home: C-FLAIR addresses a common diagnostic pitfall: skull-base FLAIR hyperintensity that mimics pathology. ✨A small sequence-level change → clearer images, fewer false positives, stable lesion visibility. @VChernyakMD @RITEditor @DrLindaMoy @ProfVickyGoh @chemshift1
1
0
1
@MahsaDolatshah1
Mahsa Dolatshahi
5 days
8/9 Pulse is shorter (3.82 ms vs 17.16 ms) and Specific Absorption Rate (SAR) increase is modest (~14%) ⚡ No need for per-subject calibration. Scales cleanly to routine clinical use.
1
0
0
@MahsaDolatshah1
Mahsa Dolatshahi
5 days
7/9 Workflow impact: None ⏱ Same scan time 🔧Same reconstruction 🏥Same hardware The only difference is swapping the inversion pulse in the sequence library. No operational friction.
1
0
0
@MahsaDolatshah1
Mahsa Dolatshahi
5 days
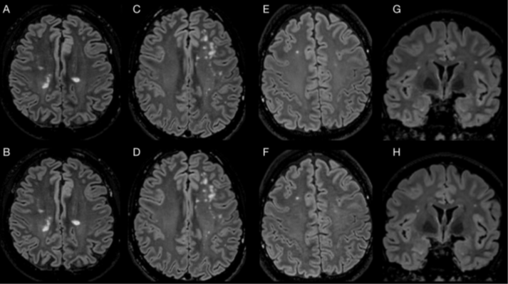
6/9 👥 Human imaging (n = 14 across multiple conditions): C-FLAIR removed skull-base hyperintensity artifacts while preserving lesion visibility in MS and white matter disease ✅ 🩻Key Clinical Point: • SNR unchanged • CNR unchanged
1
0
0
@MahsaDolatshah1
Mahsa Dolatshahi
5 days
5/9 🧪 Phantom test: Standard FLAIR → large bright artifact near induced inhomogeneity C-FLAIR → signal properly suppressed throughout This demonstrates the core mechanism clearly.
1
0
0
@MahsaDolatshah1
Mahsa Dolatshahi
5 days
4/9 The authors designed a new inversion pulse (C-FLAIR) using optimal control theory — basically designing the pulse to remain stable across a wide range of field conditions 🧠🔧 No extra hardware. No parallel transmit. Just a better inversion pulse.
1
0
0
@MahsaDolatshah1
Mahsa Dolatshahi
5 days
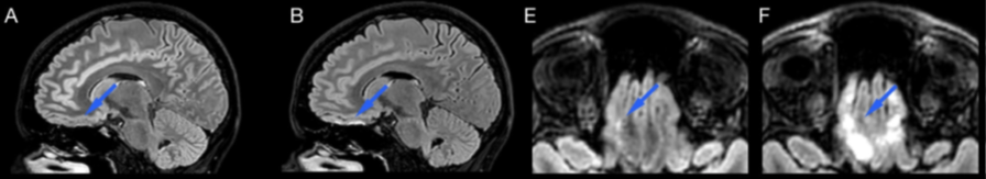
3/9 This is especially noticeable at 3T 🎛️ Skull base, sinuses, and temporal bone regions are notorious for off-resonance and RF variation → where FLAIR is often least trustworthy. Here, the B, F images are acquired without T2-preparation to better expose the FLAIR artifact.
1
0
0
@MahsaDolatshah1
Mahsa Dolatshahi
5 days
2/9 What is the issue? FLAIR suppresses CSF using an inversion pulse 💧 But when field inhomogeneity disrupts that inversion, CSF doesn’t fully null → bright signal → false-positive lesions ⚠️
1
0
0
@MahsaDolatshah1
Mahsa Dolatshahi
5 days
1/9 Can we fix skull-base FLAIR artifacts just by changing the inversion pulse—without changing scan time or hardware? Turns out - yes ✨ A new paper in @radiology_rsna explores this idea: https://t.co/9TGwgbBGc7 #RadInTraining @RITEditor @RadiologyEditor
Tweet card summary image
pubs.rsna.org
Robust inversion in fluid-attenuated inversion recovery reduced artifacts in brain MRI that mimic hyperintense white matter lesions.
1
0
1
@MahsaDolatshah1
Mahsa Dolatshahi
19 days
9/ 🧩 Bottom line: Measuring shades of gray on CT — as a marker of early infarct water uptake — may be the next step toward precision stroke care. #Stroke #Radiology #Thrombectomy @VChernyakMD @RITEditor @DrLindaMoy @ProfVickyGoh @chemshift1
0
0
0
@MahsaDolatshah1
Mahsa Dolatshahi
19 days
8/ Clinical takeaway: 📊 NWU could become a fast, standardized biomarker for stroke triage, especially in centers without perfusion imaging. Low NWU = treat aggressively. High NWU = consider futility or individualize.
1
0
1
@MahsaDolatshah1
Mahsa Dolatshahi
19 days
7/ Safety check ✅ Thrombectomy did not increase hemorrhage risk, even in patients with high NWU. So NWU shouldn’t replace current selection criteria — it should refine them. Think of it as a guide, not a gate for thrombectomy decisions.
1
0
0
@MahsaDolatshah1
Mahsa Dolatshahi
19 days
6/ Translation of these findings: CT doesn’t just show infarct size — it also shows infarct quality. 🧠 Quantifying NWU helps distinguish salvageable from unsalvageable brain tissue in low ASPECTS stroke.
1
0
0
@MahsaDolatshah1
Mahsa Dolatshahi
19 days
5/ Patients with low NWU (<15%) had a clear benefit from thrombectomy → higher chance of walking independently at 90 days. Those with high NWU (≥15%) showed no added benefit over medical therapy.
1
0
0
@MahsaDolatshah1
Mahsa Dolatshahi
19 days
4/ Higher NWU predicted worse outcomes (OR 1.11, P<.001). Thrombectomy improved overall outcomes (OR 0.33, P<.001). ⚡Key finding: Patients with lower NWU benefited most from thrombectomy. NWU does not just predict who does worse. It predicts who benefits most from thrombectomy.
1
0
0
@MahsaDolatshah1
Mahsa Dolatshahi
19 days
3/ What’s NWU? It quantifies early brain edema from CT density differences between infarcted and healthy tissue. High NWU = more edema = more irreversible damage. 📉
1
0
0
@MahsaDolatshah1
Mahsa Dolatshahi
19 days
2/ Background: Recent trials show thrombectomy helps some patients with large infarcts, but not all. How can we tell who truly benefits? That’s where NWU comes in — a CT measure of tissue hypoattenuation (water content = edema). 💧
1
0
0
@MahsaDolatshah1
Mahsa Dolatshahi
19 days
1/ 🚨 New in @Radiology_RSNA: Quantitative net water uptake (NWU) on CT predicts who benefits most from thrombectomy in large-core stroke: secondary analysis of the TENSION trial (n=207). 🧠💉 https://t.co/alLg6TE56L #RadInTraining @RITEditor @Radiology_Editor
Tweet card summary image
pubs.rsna.org
Early infarct net water uptake at admission CT modified the treatment effect of endovascular thrombectomy (EVT) on functional outcomes and may help identify patients with a large infarct core who b...
1
3
16
@Soheil_mhmdi
Soheil Mohammadi
2 months
🚨📈 CT use in the emergency department has nearly doubled in the past decade among Medicare patients. New @Radiology_RSNA study breaks down ED imaging trends from 2013–2023. 🧵on what’s driving the growth ⬇️ #RadInTraining #TWEETORIAL @radiology_rsna @RITEditor @VChernyakMD
1
11
18
@NAIRadSociety
NAIRS-North American Iranian Radiological Society
2 months
📢 NAIRS Webinar Series We are excited to invite you to: Navigating the Radiology Residency Match: Interview Success Strategies 🗓 October 2, 2025 | ⏰ 8–9 PM ET https://t.co/oEE2dXcfnd #Radiology #ResidencyMatch #NAIRS #Match2026 #RadRes
2
10
44