Explore tweets tagged as #Colonpolyps
@BilalMohammadMD
Mohammad Bilal, MD
2 years
Fantastic πŸ”₯πŸ”₯ talk by the incredible @DennisYangMD on management of large #ColonPolyps at the @AmCollegeGastro Regional #PGCourse and bonus session to get to hangout w him ! @spaulliver @JessPhilpottMD
3
3
48
@ariella8
Celina Stayerman MD
5 years
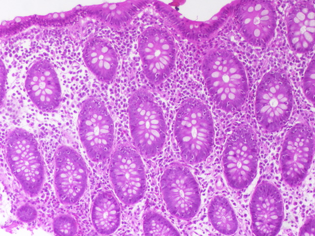
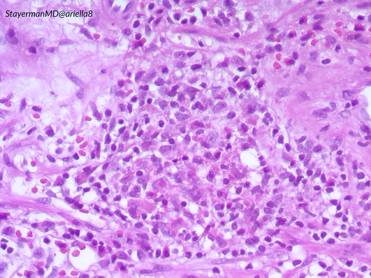
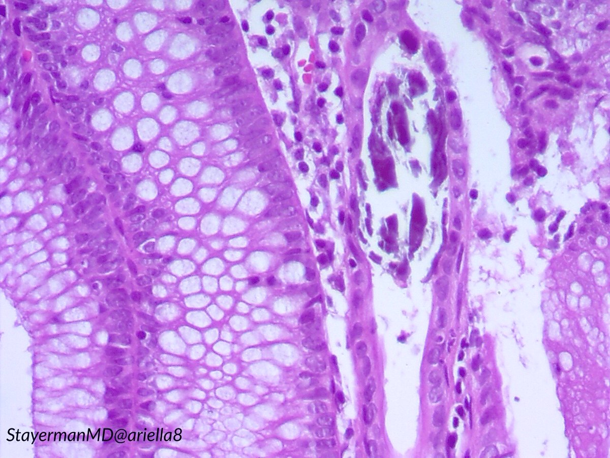
#GIPath #FAQGIPath #Colonpolyps My tubular adenoma doesn't want to be boring, so it showed this, calcifications and focal eosinophilia Levels didn't show additional findings. How would you approach /inform this on your report ??
7
13
40
@StarpoliMD
Anthony A. Starpoli, MD
7 years
0
0
0
@EmreGorgunMD
Emre Gorgun
7 years
Standing room only at #acsCC18 #colonpolyps everything you need to know about advance management of colorectal lesions @Sangwleemd @HrabeMd @JeffreyMilsomMD @ConorDelaneyMD @dubaicolorectal @DrMikeValente @JeremyLipman @JeffPonskyMD @DavidLiskaMD @drivadeneiramd
1
13
42
@ariella8
Celina Stayerman MD
2 years
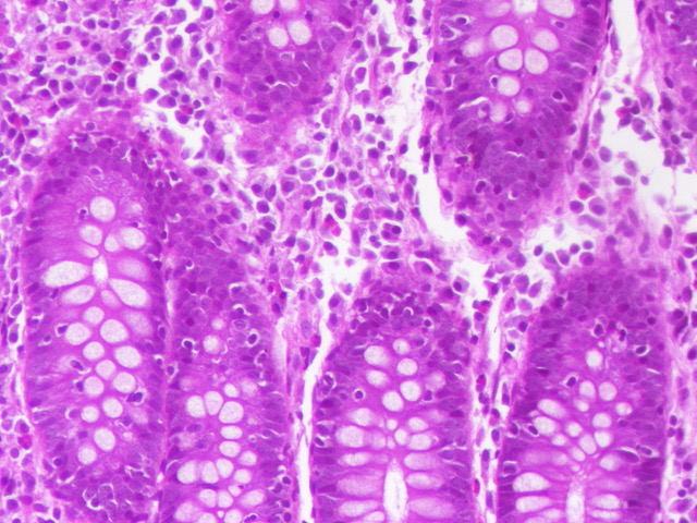
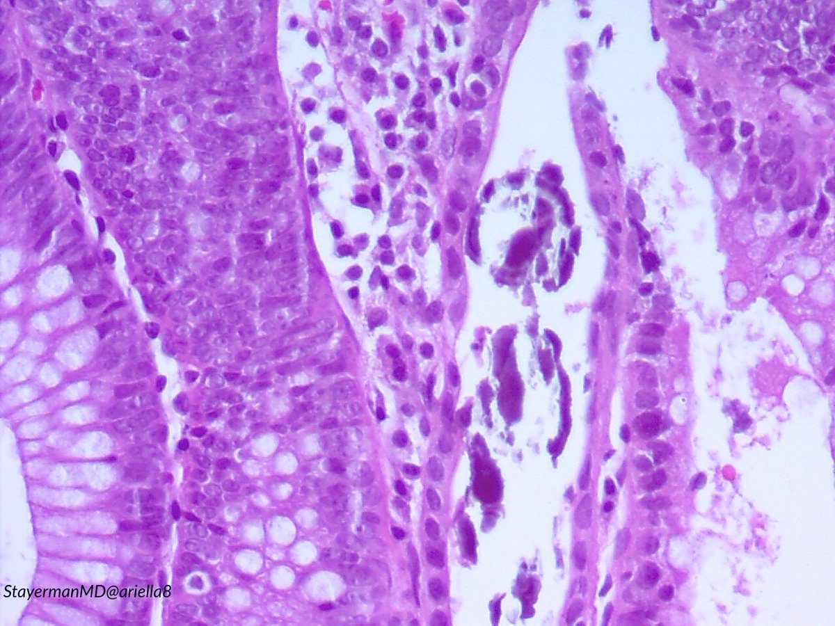
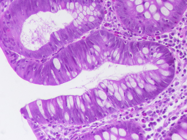
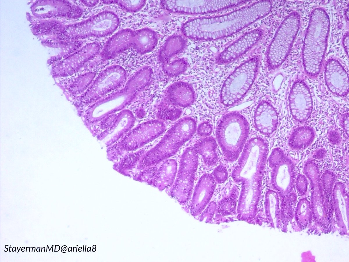
Dear #GIPath #colonpolyps Do you report or make any comment on colonic adenoma with increased IEL, there were 6 adenomas In this case, I also have on adjacent normal colonic mucosa. Not all adenomas show the IEL
5
1
17
@elenaAivanina
Dr. Elena A. Ivanina
7 years
Prevent #colonpolyps: 🌟 #fruit #veggies high #fiber foods #wholegrains 🌟 #loseweight + optimize your weight 🌟 Talk to your doc about #calcium + #vitaminD 🌟 Limit #redmeat 🌟 Limit #saturatedfat 🌟 Limit #processed meats 🌟 Limit #alcohol + quit #smoking #gutlove #guthealth
0
0
4
@Adrienne_Wicca
Adrienne
6 years
0
1
2
@MayoClinic
Mayo Clinic
8 years
Eating for a healthy colon and preventing #ColonPolyps and #ColorectalCancer - hear from @kzeratsky, a registered dietitian nutritionist, in this #MayoClinicMinute. https://t.co/7n5sy1UQAq
1
34
51
@DocFoster
Cynthia Foster, MD
8 years
πŸ’ŠCalcium Carbonate supplements tied to higher risk of Colon Polyps: https://t.co/32IMhCnx94 #HolisticMedicalDoctor #CalciumCarbonate #ColonPolyps
0
0
0
@Cn1699
CN1699
5 years
Colon Polyps #colonpolyps #NIDDK For more information | ⬇️ https://t.co/jTRuhPojvO
0
0
0
@Montalvan214
Eleazar Montalvan β€œMonte”
3 years
Wonderful #podcast #colonpolyps discussion bowel prep, cscope reports & polyp surveillance by Dr.Maranki @jenmarankimd πŸ‘ŒπŸ½
0
0
9
@AmerGastroAssn
American Gastroenterological Association (AGA)
7 years
A #colonoscopy can examine issues like belly pain or #rectalpain that won’t go away; blood in your stool; changes in your #bowelhabits; and an #inflamedcolon. It can also check for #colitis & remove #colonpolyps that could lead to #colorectalcancer (#CRC): https://t.co/g5RFbObynP
0
5
1
@JagraniH
Jagrani Hospital
3 years
As a highly accurate non-invasive procedure to screen for #gastrointestinal diseases & detect #abdominal & rectal #cancers, a #colonoscopy is conducted by inserting a camera-carrying tube inside your rectal cavity. #colonpolyps #colorectalcancer #cancertreatmentinlucknow
0
0
0
@BilalMohammadMD
Mohammad Bilal, MD
1 year
As #GIs, we all encounter Large #ColonPolyps needing #EMR ✳️ Several techniques available (πŸ”₯, πŸ₯ΆπŸ’§ EMR) βœ… In this review, we (alongside #HeikoPohl) summarize a Polyp Tailored Resection Strategy πŸ™ to @AGA_CGH & @PrasadIyerMD for the opportunity πŸ‘‰ https://t.co/VsakNsDDpN
1
48
143