
Fernando Cabo Gomez
@fcabgom
Followers
536
Following
804
Media
47
Statuses
279
DERMATOLOGIST (SPAIN)
Orense, Galicia
Joined October 2012
Úlcera en la pierna con dolor tipo isquemico en un paciente hipertenso con pulsos periféricos conservados . Úlcera de Martorell : arterioloesclerosis hiperplasica con estenosis luminal
1
2
25
#publichealth #tweetorial on #monkeypox facts that all of us need to be aware of to keep our communities safe. Who can get monkeypox during this current outbreak that WHO has declared a global health emergency?
1
5
10
15 años . Panadizo herpetico . Tzanck típico :queratinocito multinucleado con molding nuclear y marginación de cromatina
1
6
25
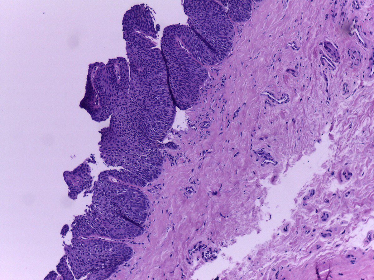
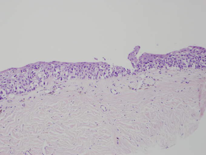
Melanoniquia lungitudinal . Enfermedad de Bowen subungueal
5
23
90
Penfigo foliaceo clínica y citología Wright-Giemsa de célula de Tzanck : células epiteliales acantoliticas redondeadas, con halo perinuclear y condensación periférica del citoplasma .
4
18
81
Herpes simple . Tzanck : células acantoliticas y sincitio herpetico
0
1
12
Paciente mujer de 72a . Melanoma subungueal .Atentos a las Melanoniquias longitudinales
0
13
71
Fernando Cabo médico de > 25 años de ejercicio apoyo una elección MIR presencial justa y transparente #OsApoyamosMIR
0
1
2
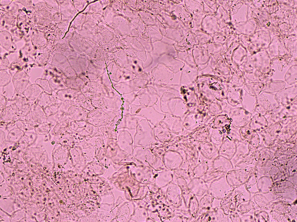
Onicomicosis . Detalle : micelio desarticulado en artrosporas
2
8
51
Pediculosis capitis . Liendres : foto clínica, tricoscopia, liendre viable( a menos de 6 mm del cuero cabelludo) y liendre vacía ( en el tallo piloso a > 9 mm del cuero cabelludo). La liendre viable eclosiona en 1 semana y sale la primera ninfa .
0
12
32
Onicomicosis subungueal distal. Patrón de estrías . Dermatofitos con Clamidiosporas en Ex directo
0
3
10
Could this be a true sebaceous cyst? #dermpath @david_terrano @HENRYY_MD @JCGarcesPath @gonzadetoro @SGottesmanMD @JRamirezMD
9
22
57
Esta es una #verruga viral de la planta del #pie #ojodepescado #dermatología #dermatopatología, a veces se toma biopsia. Acude a revisión de #dermatología #dermatopatología
7
16
61