fangjonathanx Profile Banner
Jonathan X Fang, MBBS, FACC, FSCAI Profile
Jonathan X Fang, MBBS, FACC, FSCAI

@fangjonathanx

Followers
1K
Following
2K
Media
7
Statuses
160

SHD IC. Alum: Structural: Henry Ford. IC: MGB. Gen Cards: @HKUmed. @harvardmed: #GCSRT, MPH @ProgClinEffect @HFHCardioFellow @Brighamfellows.

USA, Hong Kong, Singapore
Joined November 2015
Don't wanna be here? Send us removal request.
@fangjonathanx
Jonathan X Fang, MBBS, FACC, FSCAI
20 hours
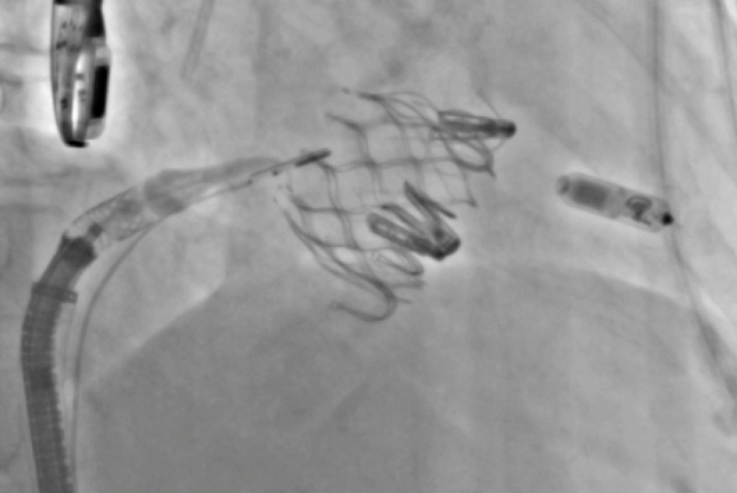
Technique modification allows transradial access balloon aortic valvuloplasty (BAV) to be performed with a high technical success rate, similar hemodynamic performance, and a significantly lower access and non-access-related complication rate compared to transfemoral BAV. It can
4
25
59
@fangjonathanx
Jonathan X Fang, MBBS, FACC, FSCAI
20 hours
Technique modification allows transradial access balloon aortic valvuloplasty (BAV) to be performed with a high technical success rate, similar hemodynamic performance, and a significantly lower access and non-access-related complication rate compared to transfemoral BAV. It can
4
25
59
@CircIntv
CircInterventions
3 days
Single TriClip Steerable Guide for Combined MitraClip and TriClip Transcatheter Edge-to-Edge Repair (STric-TEER): A Multicenter Registry presented @PCRonline #PCRLV and published simultaneously @AlexLee_MD @GilbertTangMD @EuroInterventio #EuroPCR https://t.co/biXFPaurrd
0
12
26
@MayraGuerreroMD
Mayra Guerrero, MD
22 days
This is a truly historic moment. The results from this pivotal trial evaluating a fully percutaneous transcatheter mitral valve replacement technology has opened a new treatment option for patients who are not good candidates for surgery or TEER. This is a remarkable milestone
9
55
183
@fangjonathanx
Jonathan X Fang, MBBS, FACC, FSCAI
22 days
Huge congratulations to my former co-fellow @g_giustinoMD! You’re the man! @crfheart @BillONeillMD @Drroxmehran @HenryFordHealth @MountSinaiHeart
@PedroMDMSc
Pedro Villablanca MD, MSc, FACC, FSCAI
23 days
Congrats to our former fellow and friend @g_giustinoMD for the @crfheart Linnemeir award !!! @HenryFordHealth
0
1
17
@LaiLeoDr
Leo Lai, MBChB, FACC, FSCAI
25 days
Just published: Beyond Limits in Alternative Access: The Success of Right Subclavian Transcatheter Mitral Valve Replacement https://t.co/tqabVP6z8e @Brianponeill @PedroMDMSc @engelpedro @GKFram @AhmadJabri8
4
12
50
@kashishgoelmd
Kashish Goel
1 month
Pushing the boundaries in tricuspid interventions with #TTVR! ✅ 2 Evoque TTVRs in failed #TTEER (3 clips each) & recurrent severe TR — among the first few with 3 prior clips (following @PradeepYadavMD ). Grateful to our amazing VUMC team! @colinbarkerMD @scaielm
1
2
40
@PedroMDMSc
Pedro Villablanca MD, MSc, FACC, FSCAI
2 months
Pack room today for @Sochicaroficial interventional meeting from @municipiopucon for a live case from @HenryFordHealth by @engelpedro @brianponeill and @bryanzweig performing a Pascal M TEER @EdwardsLifesci @crfheart @SCAI @solaci_online with excellent results !!!🇨🇱🇺🇸
2
2
41
@JACCJournals
JACC Journals
2 months
In 540 pts w/ degenerative mitral regurgitation, 23% had commissural involvement. 💪 A novel morphological classification enabled tailored #TEER with 100% technical and 97% device success. At 1 year, 94% had MR ≤2+ https://t.co/QIDWHCzz1x #JACCAsia #vhdMR #ACCIntl
2
45
117
@AMaznyczka
Annette Maznyczka
2 months
Is the Cx ostium still the Achilles heel of LM bifurcation PCI? Our analysis from the EBC MAIN trial is now published in @CircIntv The Cx ostium was the commonest site requiring revascularization after LM bifurcation PCI, irrespective of whether one or two stents had been
1
71
182
@Babar_Basir
Babar Basir
2 months
Congratulations to @Allison_Dupont @SandeepNathanMD @behnam_tehrani for an amazing and highly successful @SCAI Shock 2025! The field is moving in the right direction and our patients lives are improving, lots to be proud of! @SrihariNaiduMD @agtruesdell @adityadoc1 @JasonKatzMD
4
8
54
@SandeepNathanMD
Sandeep Nathan, MD, MSc
2 months
The @SCAI Door to Lactate Clearance initiative presented at #scaishock2025 by @SrihariNaiduMD on behalf of writing group & simultaneously published in @MyJSCAI. Important implications on #CardiogenicShock phenotypic profiling and prognostication. Key slides👇🏽. #CardioTwitter
2
22
75
@MayraGuerreroMD
Mayra Guerrero, MD
2 months
A great way to celebrate “International Day for Interventional Cardiology” doing an “All-Women Transseptal Valve in MAC” with my awesome colleague @KimberlyHolstMD and our wonderful fellow @smitha_narayana!!! @MayoClinicCV ❤️
5
14
81
@JCVAonline
Journal of Cardiothoracic and Vascular Anesthesia
2 months
LAVA-ECMO offers superior biventricular support for cardiogenic shock with severe valvular disease. Key benefits: Effective LV unloading 🏥 Bridge to TAVR/surgery 🌉 Lower complications than Impella ✅ #CardiacAnesthesia #ECMO https://t.co/vbwdmhD8Ld
0
11
28
@aelsab
Abdallah El Sabbagh
3 months
CLEAR-IE - largest multicenter registry on percutaneous mechanical aspiration in R infective endocarditis now published in @JACCJournals - high procedural success, 93% neg blood cx, adverse events likely related to complications from IE esp hypoxia and shock - Prospective studies
18
61
185
@rwyeh
Robert W. Yeh
3 months
An incredible honor and privilege for the faculty, staff and trainees at @SmithBIDMC to learn from and collaborate with @metrics52 this coming year. We will be thinking of all the ways that econometric methods could be better used in medical research.
@SmithBIDMC
BIDMC Smith Center
3 months
We are pleased to announce that Nobel Laureate Professor Josh Angrist will spend a sabbatical year at @SmithBIDMC. Please join us in welcoming Professor Angrist!
2
3
54