Mishima Eikan Profile
Mishima Eikan

@eikan_em

Followers
426
Following
2K
Media
8
Statuses
368

MD, PhD. @HelmholtzMunich, @Conrad_Lab, Germany/ Tohoku University Graduate School of Medicine @TohokuUniPR, Japan. #Ferroptosis

Munich, Germany
Joined March 2019
Don't wanna be here? Send us removal request.
@eikan_em
Mishima Eikan
6 months
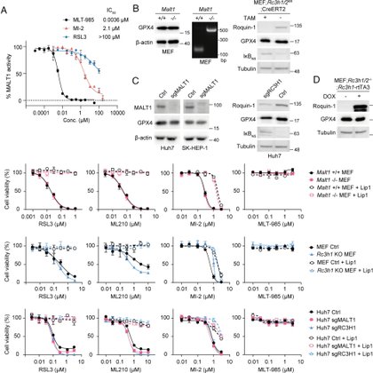
We report a short commentary in @PNASNews highlighting that the MALT1 inhibitor MI-2 also inhibits GPX4—an off-target effect to consider in #ferroptosis studies. https://t.co/NeyhiWCYDi
Tweet card summary image
pnas.org
MALT1 inhibitor MI-2 induces ferroptosis by direct targeting of GPX4
1
2
29
@eikan_em
Mishima Eikan
7 months
Reposting a @LinkedIn update by corresponding author Marcus Conrad highlighting our recent review #ferroptosis #beginnersguide https://t.co/44x42jxCge
@NatRevMCB
Nature Reviews Molecular Cell Biology
8 months
New Online! Recommendations for robust and reproducible research on ferroptosis https://t.co/krRIxBzfkH
0
1
12
@eikan_em
Mishima Eikan
7 months
フェロトーシス研究実験法に関するrecommendation総説が @NatRevMCB に掲載されました📢 基礎概念から推奨実験法、ピットフォールまで幅広くカバー🧪#ferroptosis 研究を既に行ってる方もこれからの方にも読んで頂きたい内容です @Conrad_Lab @ToshiNakamura51 Sharable link
@NatRevMCB
Nature Reviews Molecular Cell Biology
8 months
New Online! Recommendations for robust and reproducible research on ferroptosis https://t.co/krRIxBzfkH
2
15
76
@eikan_em
Mishima Eikan
1 year
This cool artwork was made by Misaki Ouchida🎨 https://t.co/rETkMmlqHA
misakiouchida.com
0
0
2
@eikan_em
Mishima Eikan
1 year
happy to share our design was selected as cover art @MolecularCell 🎉 This depicts the moonlighting function of PRDX6 carrying rocks of selenium, named after the goddes of moon Selene. #ferroptosis @Conrad_Lab @ToshiNakamura51
@MolecularCell
Molecular Cell
1 year
Read our latest issue here https://t.co/ie4LKjhlBX
2
6
33
@Conrad_Lab
The Conrad Lab
1 year
Thrilled that our design made the cover of the current @MolecularCell issue! Congratulations again to the team @eikan_em and Junya as well as the companion paper by @AngeliFriedmann group!
@MolecularCell
Molecular Cell
1 year
Read our latest issue here https://t.co/ie4LKjhlBX
1
5
46
@eikan_em
Mishima Eikan
1 year
第47回日本分子生物学会 #MBSJ2024 で、シンポジウムで話します. 興味ある方はぜひご参加を 11月27日(水) 16:45 〜 19:00 Non-canonicalな生物学的経路の発見とその未来: 「フェロトーシス細胞死制御におけるレドックス分子のNon-canonicalな機能」 @mbsj_2024 #フェロトーシス
0
9
46
@harveyjberger
Harvey J. Berger, M.D.
1 year
Selenium carrier protein, peroxiredoxin (PRDX-6), found by @Conrad_Lab to regulate #ferroptosis in vivo and proposed as an essential target for therapeutic intervention in #cancer and neurodegenerative disease. Landmark study in explaining novel human biology.
@Conrad_Lab
The Conrad Lab
1 year
We are beyond excited to share our latest work on the role of PRDX6 in #ferroptosis out today in @MolecularCell and spearheaded by two exceptional postdocs in our lab, Junya and @eikan_em ! https://t.co/DJnxngaIUl
0
1
5
@TohokuUniPR
Tohoku University
1 year
Researchers have identified that peroxiredoxin 6 plays a critical role in regulating ferroptosis, meaning it could become an important target for treating cancer and neurodegenerative diseases. #Ferroptosis #CancerTreatment #TohokuUniversity https://t.co/QArX4ZWmEb
Tweet card summary image
tohoku.ac.jp
Researchers have identified that peroxiredoxin 6 plays a critical role in regulating ferroptosis.
0
2
7
@tohoku_univ_med
東北大学大学院医学系研究科
1 year
【プレスリリース】 フェロトーシス感受性を制御するセレン運搬タンパク質を同定 -がんや神経変性疾患研究への応用につながる成果- ▼論文はこちら▼ https://t.co/QP6LsQMbDz ▼詳細はこちら▼ https://t.co/LLDWHxSgIC #東北大学医学部 #研究成果 #プレスリリース #フェロトーシス
tohoku.ac.jp
【本学研究者情報】 〇大学院農学研究科 助教 伊藤隼哉researchmap 〇大学院医学系研究科 非常勤講師 三島英換researchmap 【発表のポイント】 がん治療の新戦略として注目されている...
0
3
5
@MolecularCell
Molecular Cell
1 year
Online Now: PRDX6 dictates ferroptosis sensitivity by directing cellular selenium utilization https://t.co/Me5tIMG3Eg
0
28
134
@HelmholtzMunich
Helmholtz Munich | @HelmholtzMunich
1 year
Novel Selenium Carrier Protein Regulates Ferroptosis in Cancer and Brain🧫 👉Read more: https://t.co/BRNoy6FeiP Scientists at #HelmholtzMunich have uncovered the selenium carrier protein PRDX6 as a critical player in #ferroptosis - a cell death process that holds promise for
0
3
15
@eikan_em
Mishima Eikan
1 year
6/ 🔬 興味深いことに、PRDX6 がセレン運搬タンパク質であるという知見は、別のグループからも @MolecularCell に同日掲載されました。 https://t.co/Ww898Cey8T さらに京大のチームも@NatureSMBに報告しており、PRDX6の新たな機能に注目が集まっています/end https://t.co/RUTmGy7gg6
Tweet card summary image
nature.com
Nature Structural & Molecular Biology - The authors identified PRDX6 as a novel selenoprotein synthesis factor performing an iron-induced ferroptosis screen. They reveal that PRDX6 greatly...
0
1
6
@eikan_em
Mishima Eikan
1 year
5/ 💊 近年、#フェロトーシス は #がん や #神経変性疾患 の治療標的としても注目されており、今後PRDX6 は、がん治療の標的分子や神経変性疾患の病態理解に重要な役割を果たす可能性が期待されます
1
1
4
@eikan_em
Mishima Eikan
1 year
4/ 🧠 さらにマウスを用いた検討から、PRDX6 を欠損したがん細胞はフェロトーシス感受性が増加し、腫��増殖が抑制されました。さらにPRDX6欠損マウスでは脳内の GPX4 発現が顕著に減少していたため、PRDX6は特に脳内でのセレン利用の重要な役割を担っていることがわかりました!
1
1
3
@eikan_em
Mishima Eikan
1 year
3/ 🧪 この機序を検討した結果、PRDX6は微量元素セレンの細胞内での運搬タンパク質として機能することが判明しました。この機能はセレンの効率的な利用に重要であり、GPX4 を含むセレノプロテインの合成を促進することで、細胞のフェロトーシス感受性を制御していることがわかりました。
1
1
3
@eikan_em
Mishima Eikan
1 year
2/🔍 意外なことにPRDX6 の酸化脂質の還元能は GPX4 に比べて非常に弱いにもかかわらず、PRDX6 を欠損させると 細胞はフェロトーシスを高度に起こしやすくなりました。
1
1
3
@eikan_em
Mishima Eikan
1 year
1/🎉本研究で #フェロトーシス 細胞死の新たな制御因子としてPRDX6を同定しました。フェロトーシスの主な制御タンパク質としてセレノプロテインである GPX4 が知られていますが、我々は他の酸化脂質の還元酵素として知られていた PRDX6 に注目しました。
1
1
5
@eikan_em
Mishima Eikan
1 year
Check it out for new insights into the role of PRDX6 in ferroptosis and potential implications in #cancer and #brain! 🔬💡 Also see threads 🧵 https://t.co/n6LBZCS5Jg Japanese threads as follows🧵:
@Conrad_Lab
The Conrad Lab
1 year
We are beyond excited to share our latest work on the role of PRDX6 in #ferroptosis out today in @MolecularCell and spearheaded by two exceptional postdocs in our lab, Junya and @eikan_em ! https://t.co/DJnxngaIUl
1
1
4