cryptovitas Profile Banner
Meded Profile
Meded

@cryptovitas

Followers
3K
Following
6
Media
2
Statuses
123K

By Doctor @KrittanawongMD. Follow me to support our #MedTwitter communities.

MF world
Joined January 2022
Don't wanna be here? Send us removal request.
@cryptovitas
Meded
4 years
Follow me to support our #MedTwitter communities.
3
18
121
@BarbaraEbel
Barbara Ebel, MD
2 years
0
21
15
@PeerView
PeerView
2 years
Overcome barriers to caring for patients with #IBS with constipation and improve patient adherence! Watch our new NCPD video today, featuring Dr. Brooks D. Cash and Kimberly Kearns, APRN, ANP-BC, to learn the latest! https://t.co/floFSZC5x6 #MedEd #MedTwitter
0
4
4
@LaTriadaClasica
La Tríada Clásica
2 years
🧠 Recuerda los grupos de cefaleas primarias 🧠 1. Migraña ⚡️ 2. Cefalea tensional 🤕 3. Cefaleas trigémino-autonómicas 😰 - Cefalea en racimos, hemicraneana proxística, etc. 4. Otras cefaleas primarias: - Tusígena, punzante, etc. #ENARM #ENARM2023 #MedTwitter
0
33
147
@chrost_hugo
Hugo Chrost
2 years
Pain mechanisms and analgesics pathways. Source: @ManualOfMedicine #MedTwitter
0
125
342
@Inside_TheMatch
Inside The Match
2 years
PGY-4 Categorical #GeneralSurgery Residency Opening Howard University Hospital, Washington, D.C. Posted: June 8, 2023 Start: July 1, 2023 https://t.co/DqxdK9aQIM #InsideTheMatch #MedTwitter #GenSurg
0
13
17
@mohsmedical
Hassan Momoh
2 years
It’s Officially #Match2024 Season!! 🤩 Hi #MedTwitter, My name is Hassan and I am an enthusiastic MS4 student applying for the #GeneralSurgery 2024 #NRMP and #CaRMS2024 Match cycles! Looking forward to networking within this space and embracing the journey! #GenSurgMatch
15
22
144
@Innov_Medicine
The Innovation | Medicine
2 years
Demonstration of TAVR/TAVI h/t @BrownJHM #MedEd #MedTwitter https://t.co/cL9Z9348WV
2
68
360
@Inside_TheMatch
Inside The Match
2 years
#MedStudents: @LLSusa is offering a 1-year hematology/oncology research opportunity for minority medical students (M2 and beyond). $75K stipend + relocation costs. Applications are open for the 2024-2025 academic year. https://t.co/EEdQ9pnc6b #InsideTheMatch #MedTwitter
1
20
52
@BrezanSimonMD
Simon Brežan MD
2 years
"#CholesterolParadox": again, there is no real paradox about U curve: #LDLc levels <-> #mortality Secondary pathological low LDLc causing higher mortality in long term is a marker of frailty, latent other diseases etc. #MedTwitter #CardioTwitter https://t.co/DEBsc8G5kW
7
9
30
@NEEMGI1
NEEMGI
2 years
0
3
2
@SyedYNaqvi1
Syed Ali Naqvi
2 years
Severe calcified distal LM and mid LAD disease. Had 3V CABG 8 years ago. LIMA not looking good. Do surgeons typically tie off the LIMA branches? #MedTwitter #CardioTwitter
7
7
31
@El_Homomedicus
#ESTUDIA_MEDICINA 🩺👨🏻‍⚕️
2 years
¿Cómo es la estructura de los huesos cortos? ✔️están formados principalmente por hueso esponjoso rodeado por una delgada capa de hueso compacto. #MEDICINA #FACMED #MEDTWITTER Saber más👇 https://t.co/lwwJEoQVFJ
0
2
1
@simplify_drugs
Classify Rx 📱
2 years
Same answer every time 🎯🤣 #pharmacology #MedStudentTwitter #MedTwitter
36
380
2K
@NHMAmd
National Hispanic Medical Association
2 years
Calling all scholars! Submit your papers to the Journal of the National Hispanic Medical Association (JNHMA). Join the conversation and contribute to the advancement of medical knowledge. Submit now at https://t.co/RmaGAC2MzY. Deadline for our next issue is June 15th! #MedTwitter
0
4
9
@itsgujjarmahi
Dr. Mahesh Kumar Gurjar
2 years
1
14
19
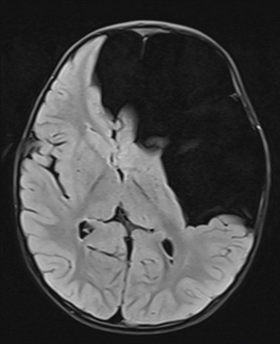
@BrownJHM
Journal of Brown Hospital Medicine
2 years
A 3 year old presented with visual disturbances & vomiting. What is the likely diagnosis? (Image @Radiopaedia, Case contributed by Dr Huda B. Gharbia) #Medtwitter
32
73
640
@imedverse
Top Biomedical Science
2 years
An 80-yr-old man presented to the ED with a 5-day history of fever and right shoulder pain. One week after hospitalization, he developed asymptomatic black discoloration of the dorsal surface of his tongue. What is the diagnosis? @JAMA_current #MedEd #MedTwitter
24
27
213