artforepilepsy Profile Banner
🎨Art for Epilepsy Profile
🎨Art for Epilepsy

@artforepilepsy

Followers
810
Following
3K
Media
71
Statuses
908

Creating pathways into the arts for people affected by #epilepsy #seizures #sudep in #Kingston #Ontario. #Workshops #Artkits #Community #Creative #Support #ygk

Kingston, Ontario
Joined May 2017
Don't wanna be here? Send us removal request.
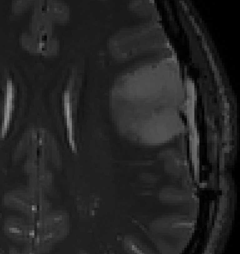
@EMiddlebrooksMD
Erik Middlebrooks, MD
4 years
Amazing detection of fiber orientations through this glioma corresponding to expected anatomy using GQI and grid sampling scheme. Credit to collaboration with @FangChengYeh, a true ‘Michelangelo’ of tractography! #tractography #neurosurgery #MayoClinicFlorida @MayoRadiology
1
6
56
@TheNotoriousEEG
The Notorious EEG (M. Scott Perry MD)
4 years
Finally got these @GDunnArt works of art back from the framer. Can’t wait to add them to the #neuroscience collection! #neuroart
11
19
207
@artforepilepsy
🎨Art for Epilepsy
4 years
My new favourite artist discovery!
2
0
0
@DeeptiZutshiMD
Deepti Zutshi
4 years
I'm in love with this pillow that my graduating MS4 SIGN group got me. Unexpected and appreciated. As a clinician-educator, student success IS mentor success. #NeuroTwitter #medED
1
3
49
@KingstonHSC
KingstonHSC
5 years
The District #Epilepsy Centre at #myKHSC enables patients to receive care closer to home. Reid Gladman had brain surgery last summer to remove a cluster of abnormal blood vessels. He’s been seizure-free ever since. More: https://t.co/VtgXArGkP1 #onhealth #ygk
0
6
18
@EpilepsyTeamPEP
Pediatric Epilepsy Program Team London ON
5 years
March is #EpilepsyAwareness Month! Raise awareness & join a local, national or internatinal campaign! 1 in 100 Canadians are living w epilepsy. ~ 42,000 children in Canada ~ 300,000 Canadians ~ 54 new cases everyday March 26th is #PurpleDay for #Epilepsy! *photos: 2018 & 2019
0
14
22
@artforepilepsy
🎨Art for Epilepsy
5 years
Getting ready for Epilepsy Awareness Month by revisiting some beautiful artwork from past workshops. #Seizures #epilepsy #epilepsyawareness #PurpleDay #March2021 #Creative #Collage #inspiration #PNES #SUDEP #Butterfly #Art #Disability #DisabilityArt
0
1
6
@artforepilepsy
🎨Art for Epilepsy
5 years
#Picasso inspired mixed media #art #collage #workshop for people with #epilepsy in #Kingston #Ontario #YGK @TettCentre
0
0
1
@artforepilepsy
🎨Art for Epilepsy
5 years
I just learned about this amazing Halloween display! Halloween haunted house aims to educate about epilepsy | CBC News
Tweet card summary image
cbc.ca
Joviah Butchike was diagnosed with epilepsy at the age of five, but living with the condition hasn’t stopped her from dreaming big.
0
1
2
@EpilepsySWO
Epilepsy Southwestern Ontario
5 years
Check out Cohen and Gavin's epilepsy warriors pumpkin! It's purple and huge! Great job boys! #purplepumpkinproject2020 #purplepumpkin #epilepsyawareness
0
4
9
@artforepilepsy
🎨Art for Epilepsy
5 years
We are back with a new art series! Join us at the Tett Centre (this) Friday, October 23 from 6-8:30 for a #watercolour #collage #workshop. It's #free for anyone affected by seizure disorders in the #Kingston region. All ages and abilities are welcome. 🥰 https://t.co/qHbT6JoYze
0
1
1
@rajeshramnair
Rajesh Ramachandran Nair, MD, FRCP, FAES,FRCPC
5 years
Welcome Dr Robyn Whitney, a great addition to Neurology & comprehensive epilepsy program of @mch_childrens @HamHealthSci. An expert in Epilepsy, with interest in Tuberous Sclerosis, Genetic epileptic encephalopathy and ketogenic diet. Now we have 3 full time epileptologists!
0
3
33
@artforepilepsy
🎨Art for Epilepsy
6 years
Did you know you can see the National Gallery of Canada virtually? View the #exhibitions #artists #collections #online #freeadmission #staycation #education #art #CanadianArt @NatGalleryCan https://t.co/BGWf8MS9kr
0
1
3
@EpLinkON
EpLink
6 years
EpLink has updated the 'Clinical Guidelines for the Management of Epilepsy' to help improve #epilepsy care. View the revised guidelines here: https://t.co/E47qAnz85V & check out https://t.co/rawKDukn8l to learn more! @OntarioBrain @ucb_news @criticalcareON
0
9
11
@artforepilepsy
🎨Art for Epilepsy
6 years
So beautiful! #Science #Art #Brain
@SBeniczky
Sandor Beniczky
6 years
EEG Triphasic Waves Are Generated by Widespread Bilateral Cortical Networks https://t.co/EWlG7WXtAF #epilepsy #EEG
0
0
2
@artforepilepsy
🎨Art for Epilepsy
6 years
I agree! I love the new me since #epilepsy. She's #fierce #fun #fantastic!
0
0
0
@artforepilepsy
🎨Art for Epilepsy
6 years
Oh so good!
0
0
0
@artforepilepsy
🎨Art for Epilepsy
6 years
0
0
1
@artforepilepsy
🎨Art for Epilepsy
6 years
I really needed this reminder today. I've been struggling with challenges that are eroding my sense of peace and perspective. Thank you! #Mindfulness #peace #calm #relax #LoveMyself #pause #reflect
@DalaiLama
Dalai Lama
6 years
Peace means no disturbance, no danger. It relates to our mental attitude. If we have a calm mind, obstacles will be less disruptive. What’s important to realize is that ultimately peace of mind is within us, it takes a warm heart and using our intelligence.
0
0
0