
Oluwaseun Akinbo, MD, FAAOS, FAAHKS
@akinbomd
Followers
2K
Following
10K
Media
209
Statuses
3K
Orthopedic Surgeon Specializing in Hip and Knee Replacement. Director of Joint Replacement. Views my opinion and not of my employer.
Hays, KS
Joined August 2012
Good surgeons know how to operate, better surgeons know when to operate, and the best surgeons know when not to operate #orthotwitter #facts
7
48
361
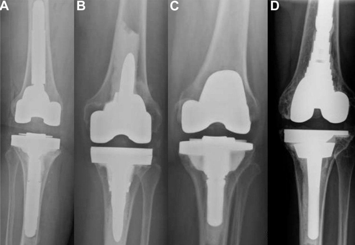
Patients who had symmetric tibial augment constructs exhibited similar rates of radiolucency but higher survivorship compared to those with asymmetric constructs overall. However, when metaphyseal cones were utilized, survivorship was equivalent. https://t.co/ForMz4dU8s
0
4
38
Neutral vs Natural: Who Wins in TKA Alignment? @HallieRemer @DrLawrieHipKnee @PASArthroplasty @EcclesMD_Ortho
https://t.co/qTc4Q8KwRu VA: @raineyvb
0
4
16
Study finds 1◦-2◦ difference between planned and postoperative radiographic sagittal alignment in robotic-assisted TKA. Is that still a perfect cut? @generalorthomd @denehy1 @neiltheknee @DrCafferky VA: @ashtongoldmanmd
https://t.co/KmNdyDi52r
3
5
30
Do you use a tourniquet for TKA? This study found using a tourniquet during TKA was not associated with differences in clinical or patient-reported outcomes at up to 5yr f/u. https://t.co/AO10oMyMsg
2
5
27
High-risk patients who got ASA had similar risk of PE/DVT, but decreased risk of bleeding compared to enoxaparin. ASA in high-risk patients was not associated with an increased risk of adverse outcomes. https://t.co/VzS5vYD6RR
#VA by Dr. Zachary Podoll @zjpodoll
1
6
36
It's not just smoke. Non-tobacco nicotine dependence is associated with infection, revision, mortality, and postoperative complications in primary THA. Do you screen for nicotine? @collinblackburn @sam_florentino @mdSchwarzkopf @rhk_md
https://t.co/Q05Ms1ZNLv VA: @raineyvb
1
13
20
Dear patient: Don’t be disappointed if your ortho trusts the natural healing potential of ur body, doesn’t want to fry u with studies and understands the dangers of MRIs and surgery. Not every pain is explained by Studies or cured with surgery. Waiting solves most problems.
1
1
12
Do you close the capsule in DAA? @Dr_Stambough @joelwellsmd @DrLeeRubin This study found no difference in iliopsoas tendonitis comparing DAA with capsulectomy, DAA with capsule repair, and posterior THA. https://t.co/Yd659MqnsA VA: @ashtongoldmanmd
11
5
27
Dressed to impress! Silk dressings had lower rate of contact dermatitis compared to mesh in this study from @HoagOrthopedic @robertgorab Would you use it? @Bloch_ortho @HoganMDCraig @akinbomd
https://t.co/kv7mStHzTc VA: @ashtongoldmanmd
0
7
23
This DM slid way too far....Early failure of a novel modular dual-mobility liner Is a metal-metal interface ever safe? @PeltMD @NaanDerthaal @BridanChalmersMD @HaganOrthoMD Visual abstract: @raineyvb
https://t.co/bn6ioHsQeV
2
8
19
Revision Rates for Aseptic Loosening in the Obese Patient: A Comparison Between Stemmed, Uncemented, and Unstemmed Tibial Total Knee Arthroplasty Components - Arthroplasty Today https://t.co/bT2Y6aOySU What’s the go to for morbidly obese patients? Stem or pressfit? #orthotwitter
arthroplastytoday.org
Total knee arthroplasty (TKA) is an effective treatment option for high body mass index (BMI) patients achieving similar outcomes to nonobese patients. However, increased rates of aseptic loosening...
0
0
1
What say you? My evolution has been exclusively CR to CR and PS to exclusively PS to CR with retained PCL and now to CR with resected PCL (with MC/MS poly)
Team PS or Team CR? Does poly bearing design influence your decision to cut a box and use PS? @frickakevin @drsebheaven @victohug Authors found no difference in short term outcomes comparing different poly congruency in a single CR TKA implant. https://t.co/EaDvNVy2Hd
1
3
8
Efficacy and safety of minimally invasive interventions targeting the genicular nerves for knee osteoarthritis: A meta-analysis - Osteoarthritis and Cartilage https://t.co/6a7TAoUVh4 Anyone using RFA for knee arthritis patients that can’t have TKA? #orthotwitter @generalorthomd
oarsijournal.com
Osteoarthritis (OA) is a prevalent and disabling joint disorder. Minimally invasive interventions targeting the genicular nerves are widely used for the clinical management of knee OA, but evidence...
0
0
2
🎶 Feels just like I'm walking on broken ceramic 🎶 CASE REPORT: 4th generation ceramic head fracture after a fall. Authors describe management + lit review. Have you ever seen this? https://t.co/Wixf0DWkFn
4
6
34
When are intraprosthetic dislocations following dual mobility total hip arthroplasty most likely to occur? How can you prevent them? https://t.co/Ue118bf7QX
@aahks @MichaelFinster2 @orthopod2012 @CenterRotation Visual Abstract: @raineyvb
0
10
38
Patients who have symptomatic degenerative labral tears with mild to moderate arthritic changes have comparable outcomes to patients who have advanced arthritis following THA. https://t.co/Iu61EvMV0C
2
20
98
Routine CT for patients who underwent THA with CoC bearings > 20yr ago revealed osteolysis and suspected chip fractures of the ceramic liner. CT in this cohort should be selectively performed for patients who have relevant clinical symptoms. https://t.co/1atyssbLbY
0
3
10