ITMAT
@UPENN_ITMAT
Followers
87
Following
77
Media
139
Statuses
210
ITMAT was launched formally in January 2005; the first Institute of Translational Medicine And Therapeutics in the world.
Philadelphia, PA
Joined April 2024
Characterizing individual contributions of the different components of #mRNA #vaccine to mount #ImmuneResponse
https://t.co/D3yHYq608S
#mRNAvaccine @Loccilab #TranslationalScience
0
0
0
#TargetedGeneTherapy for partial restoration of #MitochondrialFunction and protection against #DilatedCardiomyopathy
https://t.co/bKgI4yp2Ux
#MitochondrialCardiomyopathy #CardiacFunction #PGC1α #TranslationalScience
nature.com
Nature Communications - Patients with primary mitochondrial disease manifesting cardiomyopathy are twice as likely to die compared to those without cardiomyopathy. Here, the authors show that a...
0
0
0
Defining the role of #ApolipoproteinL1 (#APOL1) #RiskVariants on #BloodPressure
https://t.co/Fi1zDGgxXJ
@KSusztak #HealthEquity #KidneyHealth #TranslationalScience
ahajournals.org
BACKGROUND: Black people bear a disproportionate burden of hypertension and hypertension-attributed chronic kidney disease. A role of apolipoprotein L1 (APOL1) risk variants (RVs; G1 and G2) in these...
0
3
5
Scaling personalized gene-editing therapy into a future of “interventional genetics” through “umbrella of umbrellas” master protocol clinical trial approaches https://t.co/04Q8vqFGRt
@AhrensNicklas @kiranmusunuru #CRISPR #TranslationalScience
0
0
0
Honing in on characterizing biological implications of the #hepatic #Mitochondria NAD+ pool https://t.co/ik6N0NQ4oP
#OrganRegeneration #MembraneTransporter #TranslationalScience
nature.com
Nature Metabolism - Modulating mitochondrial NAD+ levels by changing the expression of the mitochondrial NAD+ transporter, SLC25A51, Mukherjee et al. demonstrate that mitochondrial, rather than...
0
0
0
#CARTCell based hyperlocalized targeting of #InflammatoryPathways involved in development of #AtheroscleroticPlaque
https://t.co/1pNKjqCxQQ
@IAmDrDex @PoseyLab #CellTherapy #ImmunoTherapy #Atherosclerosis #TranslationalScience
0
0
1
Ilucidating the critical interplay between environmental timing cues and endogenous #CircadianRhythms for #Influenza outcomes https://t.co/zkWXbkANiQ
@sengupta_shaon #ImmuneResponse #Chronobiology #CircadianMedicine #TranslationalScience
0
2
4
#ICU patients w/ reverse #BloodPressure dipping at 40% higher risk to be diagnosed w/ #Delirium & 13% increased #RiskOfDeath
https://t.co/UJCmPkfdVx
@Nadimeljamal @CarstenSkarke #CriticalCare #BiologicalRhythm #Cognition #TranslationalScience
nature.com
Scientific Reports - Critically ill patients with a reverse blood pressure dipping phenotype at increased risk for delirium and death
0
0
1
Determinants of receptiveness to respiratory care in patients w/ diagnosis of #AmyotrophicLateralSclerosis
https://t.co/JXqUXaJYzy
#ALS #ALSResearch #LouGehrigDisease #ImplementationScience #TranslationalScience
neurology.org
Background and ObjectivesAmyotrophic lateral sclerosis (ALS) is a neurodegenerative disease that commonly leads to respiratory failure. Early respiratory interventions that may improve symptoms and...
0
0
1
Remote incentivized trialing raises #PhysicalActivity levels by ≈30% in #ParkinsonsDisease
https://t.co/Br4GJR4x4m
#Parkinsons #TranslationalScience
jamanetwork.com
This nonrandomized clinical trial tests the efficacy of a remote, automated gamification intervention for increasing daily steps in people with Parkinson disease.
0
0
1
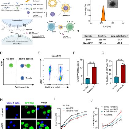
Circumventing #CancerTherapyResistance: #NanoMedicine to engage #Tcells with CD19+tumor cells for #Tumor #CellLysis
https://t.co/OLtVLM4eCK
@MJMitchell_Lab #TranslationalScience
pnas.org
Bispecific T cell engager (BiTE) therapeutics that link T cells and tumor cells to induce tumor cell lysis have demonstrated great success in the c...
0
1
2
Depleting #ChromatinRegulators, #DNAmodifyingEnzymes & #TranscriptionFactors linked to #AutismSpectrumDisorder as experimental approaches to decipher mechanisms https://t.co/fKqmbbo6fW
#TranslationalScience
0
1
1
Integrating #Proteomics & #StructuralBiology to study lysosomal membrane protein function at scale https://t.co/FlUQuiXnRj
@bridget_mcveigh #CryoEM #TranslationalScience
nature.com
Nature Communications - Lysosomes are vital for cellular health and linked to many diseases. Here, authors use cryo-ET to image intact lysosomes and resolve lysosomal protein structures, providing...
0
1
2
Advancing chimeric antigen receptor #CARTcellTherapy for #SolidMalignancies through tumor-on-a-chip technology https://t.co/XwruH1WYXd
#OrganTumorOnAChip #Cancer #CellTherapy #CARTCell #ImmunoTherapy #Oncology #TranslationalScience
0
1
1
#PRDM16 identified as gatekeeper for #proatherogenic phenotype switching of #VascularSmoothMuscleCells (SMCs) with potential interest as #DrugTarget
https://t.co/84owfcPjm3
@PatrickSeale11 #SingleCell #AtheroscleroticPlaque #TranslationalScience
nature.com
Nature Cardiovascular Research - Tan et al. identify PRDM16 as a key repressor of fibrotic switching in smooth muscle cells and show that its downregulation in atherosclerosis drives smooth muscle...
0
2
3
End of Day 2 #ITMATSymposium #ITMAT2025 #TranslationalScience with concluding remarks by @FitzGerald__Lab
1
0
0
Novel insights on #MitochondrialTransfer by Yosuke Togashi at #ITMATSymposium #ITMAT2025 #TranslationalScience
0
0
0
Shaping the #ImmuneResponse: Brilliant talk by @AnaisElewaut on #PGE2 #Cancer #TCell at the #ITMATSymposium #ITMAT2025 #TranslationalScience
0
0
0