Nityanand (Nand) Miskin, MD
@NandMiskinMD
Followers
435
Following
571
Media
1
Statuses
45
Neuroradiologist | tweets my own
Greenwich, CT
Joined May 2019
💡Basic fundamentals of LUMBAR SPINE MRI !!💡 Useful for everyday practice standardization Source: https://t.co/GsFC57Fhlm
@ESSRmsk @MskSerme @intskeletal
9
235
817
The top story on Doximity in 2021 for neuroradiology was a paper by cofellow @NandMiskinMD et al. "Standardized Classification of Lumbar Spine Degeneration on Magnetic Resonance Imaging Reduces Intra- and Inter-subspecialty Variability" Check out these diagrams when reporting!
10
121
373
Standardizing MRI spine degradation definitions bolsters neuro, musculoskeletal radiologist agreement. @BrighamWomens @CPDRJournal @NandMiskinMD @harvardmed #radiology
0
2
2
#PublicationTuesday Congrats to @DanielleSarnoMD, @yilu1945 et al. on the publication "Simplified Universal Grading of Lumbar Spine MRI Degenerative Findings: Inter-Reader Agreement of Non-Radiologist Spine Experts" in @PainMedJournal:
academic.oup.com
AbstractObjective. 1) To describe a simplified multidisciplinary grading system for the most clinically relevant lumbar spine degenerative changes. 2) To m
1
3
4
@BWHNeurosurgery @yilu1945 @PainMedJournal Thank you, @BWHNeurosurgery, @NandMiskinMD, and Dr. Jacob Mandell.
0
1
2
Excited to share our @MGHImaging #NeuroRad fellowship video! Come meet some of our awesome fellows and get to know our program! @francisdeng @Sim1Montoya @NColemanMD @KBuchRad @hillaryrkelly @SusieHuangMDPhD @YoonNeurorad @bfreezerad @KmShervin @MatthewAHaberMD @NandMiskinMD
Please check out our fellowship video on Youtube! https://t.co/gEMgvRpEfr
0
6
14
Applications to radiology reports?
The below post has generated some interesting discussion, so people might also be interested in this analysis of probabilistic language from a few years ago: https://t.co/Pb1DbXm8y4
0
0
1
Magudia et al use fully automated deep learning at CT to show how body composition varies by age, race & sex. https://t.co/vMipcP6RSC
@KMagudia @kpa_kathy @F_Fintelmann_MD @NandMiskinMD @MRosenthalMDPhD @UCSFimaging @BWHRadiology @Clindatsci @BrighamWomens @MGHImaging @DanaFarber
0
3
9
Outstanding work @KMagudia @MRosenthalMDPhD. Thank for allowing me to be part of this seminal work.
In our @radiology_rsna paper, we 1) demonstrate a fully automated pipeline using DL for CT-based body composition analysis, 2) establish reference curves, & 3) show that normalized body composition values can predict 2 year survival. @MRosenthalMDPhD
https://t.co/vdsc4aX0vk
0
1
5
Proud to share that 3 of the experts named to President-elect Biden’s COVID-19 task force are connected to the Brigham. Grateful to @Atul_Gawande, @vivek_murthy, Dr. Marcella Nunez-Smith & the entire team of medical and scientific experts for their guidance amid this pandemic.
President-elect Biden just met with his newly formed COVID-19 advisory board. Tune in for a debrief:
1
28
145
Thanks to everyone’s hard work!! Beyond business as usual: Radiology residency educational response to COVID19 ... https://t.co/WLWaIalvaC
@ShannaMatalonMD @uyedajen @petrous_segment @AriadneDeSimone @NandMiskinMD @gunetty @BWHRadEdu #MedTwitter
2
4
23
Please join us for the MGH Neuroradiology Fellowship Virtual Information Session on Sunday, October 4th at 7 PM EST!! Please register at https://t.co/LZyemrqW6B or use the QR code below. Please share with anyone who may be interested!
0
9
13
Congrats to @BWHRadEdu #MedEd leader @ShannaMatalonMD and colleagues including @AriadneDeSimone, @elonwysun, @laur_olga & @NandMiskinMD for their new publication in @AcadPathol! #radres #pathology #radpath #MedTwitter
https://t.co/Ch05l4rvTX
0
2
6
Having fun with our new fellows! MGH Neuroradiology Socially Distanced Picnic @MGHNeuroRad @mghradchiefs #ASHNR20 #asnr #fellowshipfun
1
7
26
Happy to announce our article came out today! Quantifying impact of disruption to radiology education during COVID https://t.co/TKudZlEfwA
@AriadneDeSimone @petrous_segment @gunetty @NandMiskinMD
5
6
56
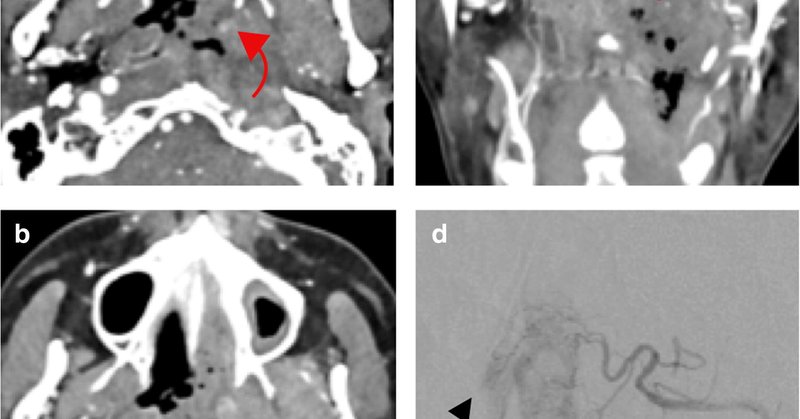
👏Superstar #radres alums @traviscaton @NandMiskinMD @gunetty collaborated on this great article published by @ASER_ERad 👏#soproud #congrats🥂 https://t.co/cqMMvVjY5k
link.springer.com
Emergency Radiology - Acute hemorrhage in the head and neck (AHNH) is life-threatening due to asphyxiation and hemorrhagic shock. When conservative measures fail, some patients benefit from...
0
4
13
📣Congrats to our superstar chief @AriadneDeSimone , APD @ShannaMatalonMD, and our alums @elonwysun, @laur_olga & @NandMiskinMD 👏🎉 #radres #meded #pathology #radpath
https://t.co/f9jfysvjFJ
journals.sagepub.com
The College of American Pathologists expects pathologists to attain competency in radiologic/pathologic correlation, including correlation of histopathologic fi...
2
3
16
Machine learning has high accuracy in differentiating benign and potentially malignant cystic renal masses using Bosniak v2019. May help reduce inter-reader variability in application of Bosniak classification. @NandMiskinMD @BWHRadEdu @SocAbdRadiology
https://t.co/1ZwsP9YApi
0
5
18
#RadGrad2020 Series Day 7/10: It's @NandMiskinMD Day! Congrats Chief Resident Nand, we will miss you, but we're happy you'll still be close by next year! #ohtheplacesyoullgo #radres #meded #NeuroRad
@BrighamWomens @BrighamRad
0
3
15
thrilled to share our #AcademicRadiology pre-proof manuscript on "Trainee and attending perspectives on remote #radiology readouts in the era of the #COVIDー19 #pandemic"! we hope our experience helps other programs navigate this issue! https://t.co/CiAjHJHo8H
3
15
62