JunziShi Profile Banner
Junzi Shi, MD Profile
Junzi Shi, MD

@JunziShi

Followers
909
Following
1K
Media
66
Statuses
445

Former Chief Resident @BWHRadEdu #RadRes | Brigham & Women's Hospital @HarvardMed @BrighamWomens | MSK Imaging & Interventional Fellowship | #RadXX

Boston, MA
Joined September 2013
Don't wanna be here? Send us removal request.
@JunziShi
Junzi Shi, MD
5 years
Congrats to our team for addressing equity in radiology use postCOVID! ➡️🏥😷Exacerbation of Inequities in Use of Diagnostic Radiology During the Early Stages of Reopening After COVID-19 https://t.co/J47wa1FW5A @JACRJournal #COVID #MedTwitter
1
4
33
@WCInvestor
White Coat Investor
2 years
Today, the University of Chicago cost of attendance is $84,126. $84,126 x 4 Years = $336,504 $84,126 x 5 Years = $420,630 Paid for with 5.5% loans? Defer for 2 years, then pay off over 20 years. How much would you pay for that education? $784,000. For an UNDERGRAD degree.
35
45
289
@JunziShi
Junzi Shi, MD
3 years
Welcome to the US! Landed in JFK to find out flights canceled for rest of the day and Delta refused to cover hotel. Plenty of other young women traveling alone to a foreign country, stranded, and have to pay out of pocket?! Unacceptable to pass costs to customers @Delta
0
0
3
@JunziShi
Junzi Shi, MD
4 years
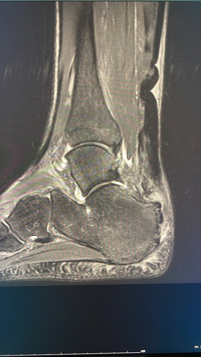
Achilles’ tendon rupture in soccer player. MR in 2020 versus 2022 shows progression to full thickness tear of distal Achilles’ tendon. The distal 2.5 inches is most prone to rupture especially in the setting of chronic trauma due to less blood flow which may also impair healing.
0
0
5
@JunziShi
Junzi Shi, MD
4 years
Wow 1400 copies sold in 3 weeks!!!
3
0
5
@JunziShi
Junzi Shi, MD
4 years
It’s finally here!!! #CR2E @elonwysun #MedEd #radiology @BWHRadEdu
3
1
51
@JunziShi
Junzi Shi, MD
4 years
This is so exciting! Our book has hit US warehouses! Core Radiology | Medical imaging https://t.co/brcQrANoJI via @CUPAcademic #MedTwitter
4
4
82
@francisdeng
Francis Deng, MD
5 years
Key principles for writing the impression in a radiology report: 1) Know your audience 2) Lead with the diagnosis 3) Avoid technical language https://t.co/8dHBS17rMc @RadioGraphics by @MP_Hartung @JeffreyKanneMD @frankgaillard
1
9
52
@JunziShi
Junzi Shi, MD
5 years
Pleased to announce that you can pre-order this now!! Core Radiology: A Visual Approach to Diagnostic Imaging Ellen X. Sun https://t.co/a0EvquJqJ0 via @amazon #radiology @elonwysun
10
14
137
@francisdeng
Francis Deng, MD
5 years
Core Radiology 2nd Edition available for pre-order on Amazon now: https://t.co/D4vFyGn8Tj 👀 Edited by @elonwysun @JunziShi and Mandell. Nearly 200 more pages, 900 more images. Everything you need but still easy to read. This is THE introductory text for #radres.
3
1
12
@JunziShi
Junzi Shi, MD
5 years
INTRODUCING rad DJ Jake Mandell to all those nerdy music listeners out there 🎙️🎶🎹 MUST FOLLOW! 💫 https://t.co/kBNphID697 #NowPlaying
2
2
20
@JunziShi
Junzi Shi, MD
5 years
0
0
1
@JunziShi
Junzi Shi, MD
5 years
***Patients of Asian race and Hispanic ethnicity had a significantly lower odds ratio for having radiology examinations post-COVID-19 shutdown compared with Whites and non-Hispanics, respectively.***
1
2
5
@JunziShi
Junzi Shi, MD
5 years
0
0
1
@JunziShi
Junzi Shi, MD
5 years
0
0
0
@JunziShi
Junzi Shi, MD
5 years
Volunteering at the beginning of the COVID pandemic @bonerads_msk
0
0
0
@MeNoreLakeMD
MeNore Lake
5 years
Tonight’s💫THE💫Night!👇👇 Weigh in & hear from all-star #RadFellows & #RadRes like @JunziShi , @CourtneyBDey , @RowcroftMD , @CBoonie_nanoIR & so many more!! So excited to co-moderate w/ the great @Shruthi44673728 !! @SSRbone @ssr_rwg @VivekKaliaMD @CQuirkMSK
@ssr_rwg
SSR_RWG
5 years
Weigh In Tonight!!👇👇🌟💫 The Premiere @SSRbone TweetChat will be from 7-8P EST! ✅Topic: The SSR Scholars Program & Other Ways to Thrive as a Rad Trainee: An Open Conversation w/ Residents & Fellows ✅Moderated by SSR Scholars @MeNoreLakeMD & @Shruthi44673728 !! 🌟💫
0
1
9