MarielKozberg Profile Banner
Mariel Kozberg Profile
Mariel Kozberg

@MarielKozberg

Followers
328
Following
112
Media
3
Statuses
29

Vascular neurologist | Neuroscientist @MassGeneral

Joined January 2021
Don't wanna be here? Send us removal request.
@MarielKozberg
Mariel Kozberg
2 years
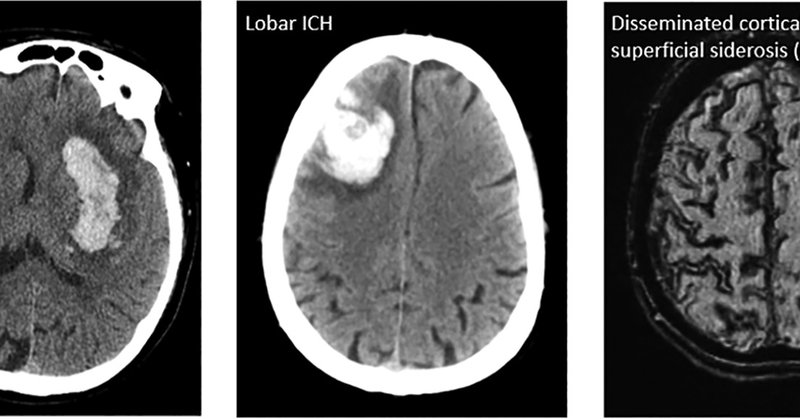
Cortical superficial siderosis – cortical iron deposition in #CerebralAmyloidAngiopathy – is associated with chronic neuroinflammation. A potential contributor to future hemorrhage #ICH risk? Congrats to @CorinneAAuger on her first author publication! https://t.co/dQb9EVr7PV
Tweet card summary image
jneuroinflammation.biomedcentral.com
Background Cortical superficial siderosis (cSS) has recently emerged as one of the most important predictors of symptomatic intracerebral hemorrhage and is a risk factor for post-stroke dementia in...
1
16
36
@braincomms
@BrainComms
6 months
Using multi-modal imaging, Kozberg et al. report that loss of vasomotion occurs early in cerebral amyloid angiopathy in a mouse model. This loss coincided with initial vascular amyloid-β deposition and preceded the occurrence of microbleeds. Read at https://t.co/xljnepCErD
0
7
17
@NancyatHeart
nancyatheart
8 months
Honored to share the 2025 Ralph L. Sacco Scholarships for Brain Health have been awarded to two outstanding researchers: Drs. Hortense Triniac & @KatyWala, whose work will contribute to advancing research in brain health. @American_Heart @AANmember https://t.co/AHlxvKV7ZQ
2
9
16
@MarielKozberg
Mariel Kozberg
8 months
The Kozberg Lab is so proud of @KatyWala for receiving this scholarship to study #APOE, #CAA, and #BrainHealth!
@AANmember
American Academy of Neurology
8 months
Congratulations to our 2025 recipients of the Sacco Scholars Program: Katy Walsh, Ph.D., and Hortense Triniac, Ph.D.! 🎉 These scholarships provide two early career trainees with funding for two-year research programs that focus on #BrainHealth. https://t.co/PzjeK03M5u
1
0
13
@JAHA_AHA
JAHA
8 months
Novel study ties lower CSF Aβ42 to CAA severity through CAA-related macrohemorrhages and enlarged perivascular spaces, advancing biomarker-driven approaches. #AHAJournals @AltenBaris @MarielKozberg @guroledip @SMGreenbergNeur @MGHNeurology @BWHNeurology https://t.co/gIKKlHJv0U
0
3
7
@MarielKozberg
Mariel Kozberg
8 months
So lucky to have this team!
0
0
7
@MarielKozberg
Mariel Kozberg
10 months
Dami Adetunla presents our mouse model of cortical superficial siderosis at ISC! #CerebralAmyloidAngiopathy
0
0
14
@AHAScience
AHA Science
1 year
This advisory discusses amyloid-related imaging abnormalities in ppl receiving antibodies directed at the amyloid-beta peptide for treatment of early-stage Alzheimer’s & safety issues related to treatment ✍🏼 @hugoapariciomd @HinmanLabUCLA @MarielKozberg @SMGreenbergNeur @msgoyal
2
14
23
@MarielKozberg
Mariel Kozberg
1 year
Is neuroinflammation central to vascular damage in #CerebralAmyloidAngiopathy? Could neuroinflammation be a treatment target for #CAA? Really enjoyed writing this review with Hilde van den Brink, @SabineV159, and @Ellis_van_Etten! https://t.co/7smZS6OP4c
0
9
48
@iCAAassociation
iCAA
1 year
Day 2: Kicking off with an insightful morning session tackling complex clinical dilemmas at the intersection of: - CAA and Hypertension 🫀 (@marco_pasi85) - AFib and CAA 🩸 (@a_charidimou) - Anti-amyloid treatments and ARIA ⚡️(@MarielKozberg) #CAAConference2024
0
12
24
@dbfisch
David Fischer, MD
1 year
Looking for a post-doc interested in neuroimaging/neurophysiology in disorders of consciousness, who wants to join our @RECOVER_program to understand, predict and promote consciousness recovery. Please contact for more info, and spread the word to any who might be interested!🧠⚡️
2
19
50
@SattarKhoshkhoo
Sattar Khoshkhoo
1 year
Looking forward to catching up with friends @SfNtweets! I am also looking for a postdoc trained in neurophys/systems neuro who is interested in modeling brain genetic mosaicism in neuronal cultures/mouse and combine with voltage imaging. Happy to meet at SFN to discuss! Plz RT.
0
9
12
@MarielKozberg
Mariel Kozberg
1 year
Kozberg Lab at MGH Neuroscience Day! Very proud of our team!
1
0
17
@MarielKozberg
Mariel Kozberg
1 year
The Kozberg Lab is officially online! https://t.co/Ebdq5CDzrc
Tweet card summary image
kozberglab.com
4
8
43
@MarielKozberg
Mariel Kozberg
2 years
How does vascular dysfunction progress in #CAA? See our pre-print which used a combo of in-vivo two-photon microscopy and MRI to track changes in #vasomotion, #pulsatility, #CBF, #CVR, and more!
Tweet card summary image
biorxiv.org
Background Cerebral amyloid angiopathy (CAA) is a cerebral small vessel disease in which amyloid-β accumulates in vessel walls. CAA is a leading cause of symptomatic lobar intracerebral hemorrhage...
0
8
20
@ValentinaPerosa
Valentina Perosa
2 years
📢📢 Our dynamic team is looking for a fellow who will engage in stroke-related clinical trials and lead research projects on the interaction between CSVD and AD-pathology 🧠. If you are passionate 🤩, an MD, and interested, contact me!
0
8
15
@MarielKozberg
Mariel Kozberg
2 years
How will anti-amyloid immunotherapies and ARIA affect stroke care? @phil_bilodeau, John Dickson, and I review the latest data on ARIA in the context of acute stroke care and secondary stroke prevention here:
Tweet card summary image
mdpi.com
Anti-amyloid immunotherapies have recently emerged as treatments for Alzheimer’s disease. While these therapies have demonstrated efficacy in clearing amyloid-β and slowing cognitive decline, they...
1
4
33
@SMGreenbergNeur
Steven M. Greenberg MD, PhD
2 years
For all interested: Our proposed pathophysiologic framework for understanding CAA (and maybe other small vessel diseases?)
4
24
78
@StrokeAHA_ASA
Stroke AHA/ASA
3 years
#TopicalReview: "Role of Inflammatory Processes in Hemorrhagic #Stroke" by Drs. Ohashi, DeLong, Kozberg, @dmazurhart, @SusanneVanVeluw, Alkayed & @LaurenHSansing #AHAJournals https://t.co/jbl8uVwS2M
0
7
20