🩺 Hari (హరి 🇮🇳) Kalagara
@KalagaraHari
Followers
8K
Following
33K
Media
2K
Statuses
15K
#Anesthesiology 👨⚕️ @MayoClinic
Mayo Clinic🥇🏥 🇺🇸 🌎
Joined December 2017
Came to India 🇮🇳 for family medical reasons. The beauty of being an Anesthesiologist 🇺🇸/ Anaesthetist 🇬🇧/ Anaesthesiologist 🇮🇳 and also being an expert in #RegionalAnesthesia #RegionalAnaesthesia & #POCUS! A small 🧵
20
18
159
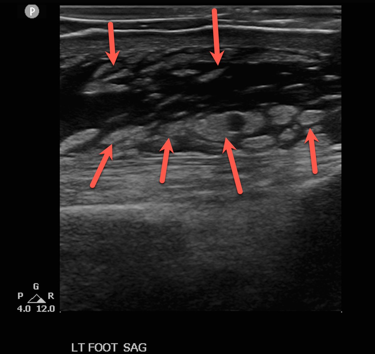
❓ What does this clip show? Answer: Significant soft-tissue cobblestoning caused by edema (red arrows) in a patient who had just sustained multiple yellow-jacket stings to the foot. Cobblestoning can appear in cellulitis — but it isn’t pathognomonic. 🧠 Learning tip (PF
0
5
12
Trainees interested in RAAPM, join us for our event this Thursday! @AlejandroHalloC @BrittaniBungart @CrystalJosephMD @DrPingenot @EricJones_MD @SpencerBrodsky @dr_rajgupta @shaskinsMD @KalagaraHari @EMARIANOMD @UcheUmehMD @James_Kim_MD @KohanLynn
This Thursday, 11/20, join the ASRA Pain Medicine Resident & Fellow Committee and the Regional Anesthesiology Fellowship Directors Association for a live Q&A, answering all your questions about fellowship opportunities. Learn more & register👇 https://t.co/So9UsTrJIf
0
5
7
@dr_rajgupta @AlbertoArdonMD @SretroPMD @pmgjones @sambahq @ESRA_Society @Siva6faces @ssinha3300 @AmandaKumarMD @MKwesiKwofie @jon_bailey_anes @DrTimJen @JanBoublikMDPhD @KohanLynn @SLKoppMD @jeffgadsden @AoraIndia @sites_brian @ArcherKMartin @sher_pai @athmathottungal @tsmurali @DrTuhinM @DrDiveshArora @DrRiteshRoy1 @rakesh6282 @Archana_Areti @SuwimonTang #MayoAnesGR The future will be TJA at ASC..be prepared for the storm coming! #regionalanesthesia
@ASRA_Society @ESRA_Society @AFSRA10 @sambahq Thx 🙏 @dr_rajgupta for a great talk and sharing your expertise !!
0
0
5
@dr_rajgupta @AlbertoArdonMD @SretroPMD @pmgjones @sambahq @ESRA_Society @Siva6faces @ssinha3300 @AmandaKumarMD @MKwesiKwofie @jon_bailey_anes @DrTimJen @JanBoublikMDPhD @KohanLynn @SLKoppMD @jeffgadsden #MayoAnesGR soem great modification is #regionalanesthesia techniques to transform outcomes for THA & TKA at ASC. Spinals !!! Aspirin for DVT TXA Multimodal analgesia !! @AoraIndia @sites_brian
1
0
5
#MayoAnesGR Impressed with @dr_rajgupta 99.6% success rate !!! This is outstanding inspire of high risk criteria for patient election at ASC for TJA. Until disciplinary approach is essential with feedbacks. @AlbertoArdonMD @SretroPMD @pmgjones @sambahq @ESRA_Society
1
1
10
#MayoAnesGR A phenomenal talk by @dr_rajgupta on Outpatient TJA at ASC ! History of evolution from IP to OP Selection criteria Amazing to see this own data leading at the ASC with THA & TKA ! Key factors for success ! @ASRA_Society @MayoAnesthesia @RyanChadha1 @NarouzeMD
1
6
21
- Acute RV dysfunction and iNO dependency in 🫁 transplant. -Join us on Thursday, November 20th, at 0630 EST with colleagues from around the globe for a free webinar and expert discussion from @MayoTransplant and @KULeuven experts -Sign up here for free:
0
11
14
Thank you @KalagaraHari for showcasing our first pain illuminated event! I am incredibly proud of my Resident and Fellows Committee for their hard work. Special shoutout to Bhargavi Madhu and Andrew Aboudjoude for spearheading the event with the support of @ASRA_Society board!
#ASRAfall25 @ASRA_Society 🖼️ competition showcasing pain is at its best🥰 ! Congrats to all Residents & Fellows ! @CrystalJosephMD @ASRAPM_Ex_Dir @dr_rajgupta @NarouzeMD @Ropivacaine @shaskinsMD @MayoPainMed @galusweegie @SLKoppMD @rljohnsonmd @KohanLynn @CARLOSPINOMD
1
3
7
We learned important regional techniques for liver transplantation from Dr. Kalagara today! @KalagaraHari @TransplantAnes @mayojaxanes
0
2
6
Congratulations to the medical student winners of the @ASRA_Society art in pain medicine competition. We are so proud of you! #ASRAFall25
1
5
17
Thank you, to my @ASRA_Society Resident and Fellows Committee! You are the future of this society and I am incredibly proud of my co-trainees who are so dedicated to the field! The future is bright! #ASRAFall25 @SwathiRayasam @AlejandroHalloC @EricJones_MD @DrPingenot
2
8
18
#ASRAfall25 @ASRA_Society 🖼️ competition showcasing pain is at its best🥰 ! Congrats to all Residents & Fellows ! @CrystalJosephMD @ASRAPM_Ex_Dir @dr_rajgupta @NarouzeMD @Ropivacaine @shaskinsMD @MayoPainMed @galusweegie @SLKoppMD @rljohnsonmd @KohanLynn @CARLOSPINOMD
2
8
19
#AORA26 #GARC26 Dr Samer Narouze will deliver APSF annual oration on US GUIDED PAIN PROCEDURES- Enhancing safety and Precision.. in India... @BalavenkatSubr1 @anesthetix @pritanand @Ropivacaine
https://t.co/4FFfZzA6ek
1
7
15
One of the most common concerns we hear from hospitalists: "I want to learn POCUS, but there's no one at my hospital who can teach me." I get it. When I started my POCUS journey after 20+ years in medicine, I was in the same boat. No mentor down the hall. No established POCUS
1
14
35
Cirrhosis tips and tricks part 3: the hypotensive cirrhotic 😱 This is SUPER common and can get spicy 🌶️- these patients can get sick quick! Here are some useful principles to remember 🧵
1
26
100
🔍 What does a normal aortic valve look like on PSSA? Normal PSSA Ao video showing a tricuspid aortic valve (Mercedes Benz sign). Learning tip: Your brain loves connections, not isolated facts. Link this normal finding to what you already know—it makes pathology easier to spot.
0
2
5
🧠 "My RA Tips" – A 54-Tip eBook for Every Regional Anaesthetist #RegionalAnaesthesia #RATips #AnesthesiaEducation #RAEssentials
#MyRATips
#TipOfTheDay 📘 This is not just a PDF. It’s your go-to guide packed with concise, practical, and clinically relevant tips. 🔗 Download
4
16
37
❓What does this clip show? Answer: Large circumferential pericardial effusion (subcostal view). 🧠 Learning tip: Don’t wait for textbook tamponade. Before hypotension or tachycardia appear — can you already recognize the RA or RV collapse that signals rising pericardial
0
10
54
CONGRATS to Dr. Michaela Farber on being named the inaugural Kodali Family Endowed Chair in Anesthesiology, honoring Dr. Bhavani Kodali’s lasting contributions to our field and department. Michaela’s leadership and academic contributions exemplify the spirit of this recognition!
3
9
37