RowcroftMD Profile Banner
Dominique Rowcroft, MD Profile
Dominique Rowcroft, MD

@RowcroftMD

Followers
919
Following
3K
Media
15
Statuses
252

Private practice Radiologist. Past life as a Forensic Anthropologist.

New Hampshire
Joined May 2018
Don't wanna be here? Send us removal request.
@RowcroftMD
Dominique Rowcroft, MD
6 years
Home school when your Mom is a Radiologist. #radres #radxx #futureradres
44
179
2K
@RowcroftMD
Dominique Rowcroft, MD
4 years
If any #mskrad wants to dress as melorheostosis for Halloween it looks like @Target has you covered! ☠️
1
0
8
@RowcroftMD
Dominique Rowcroft, MD
4 years
My LAST graduation!! 😱👩‍🎓 @UMassRadFellow @UMMSRadiology #radres #radwomen
5
1
34
@wegotusproject
We Got Us Project
4 years
The vaccines are helping Black communities reconnect & rebuild. This Juneteenth we are celebrating that with an in-person & virtual comedy event at Madison Park High. This event will feature 4 comedians & 4 doctors as they discuss the impact of the pandemic on Black Americans 3/4
2
3
8
@AnnJayMD1
Ann Jay MD
5 years
EXCITING NEWS!!! We are offering externship scholarships this August in Radiology for underrepresented minority students. Please apply! We can’t wait to meet you!! Link and info below! #futureradres #radres https://t.co/N4Jwfj6X44
2
31
73
@RowcroftMD
Dominique Rowcroft, MD
5 years
🤎🧡
@virginia_tech
Virginia Tech
5 years
Today, on the 2021 Day of Remembrance, we honor the lives of the 32 students and faculty members who were tragically taken from their loved ones and our community on April 16, 2007. 🧡 #VTWeRemember ➡️ https://t.co/XIHNx7oEzd
0
0
1
@MRSRFS
Massachusetts Radiological Society RFS
5 years
🚨🚨Don’t forget to register for the MRS RFS Career Panel!! Don’t miss out hearing from our incredible panelists!
3
4
16
@RowcroftMD
Dominique Rowcroft, MD
5 years
Time to update your #medgradwishlist #futureradres
@JunziShi
Junzi Shi, MD
5 years
Pleased to announce that you can pre-order this now!! Core Radiology: A Visual Approach to Diagnostic Imaging Ellen X. Sun https://t.co/a0EvquJqJ0 via @amazon #radiology @elonwysun
1
0
2
@RowcroftMD
Dominique Rowcroft, MD
5 years
@walterfwiggins @JenGillmanMD @SecretRadiology @Daemonelix47706 @Liver_Fibrosis Steve Poochemi is really appreciating all these dog puns.
0
0
0
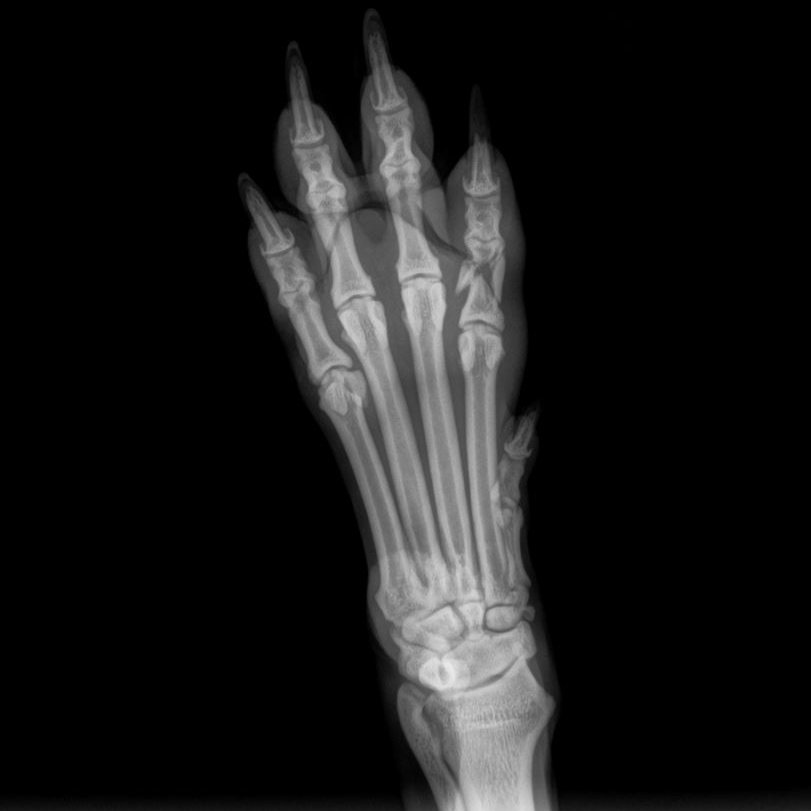
@RowcroftMD
Dominique Rowcroft, MD
5 years
5yr old male presents with inability to bear weight. #MSKrad #radiology
10
1
39
@RowcroftMD
Dominique Rowcroft, MD
5 years
Congratulations to all the M4s who matched to Radiology today and especially to my @futureradres mentee Patrick Assoua on matching to UMass Radiology!! @PJAssoua @UMMSRadiology #RADRes #futureradres #MatchDay2021 💪😃
0
1
18
@HemangKotechaDO
Hemang Kotecha, DO
5 years
An excellent opportunity for anyone considering a career in Emergency Radiology! Well-rounded training including Level 1 Trauma, Comprehensive Stroke, and both academic and community emergency medicine. #MedEd #EMrad #Erad
@UMassRadFellow
UMass Chan Radiology Fellowships
5 years
We are accepting applications for 1 open position for fellowship in Emergency Radiology at @UMMSRadiology for the 2021-2022 academic year. Please share! https://t.co/4SWsYzlkYN #EMRad #ERad #trauma #stroke @UMassMedical @umassmemorial @ASER_ERad
0
3
6
@RowcroftMD
Dominique Rowcroft, MD
5 years
Was really hoping to wake up on March 1st 2020 this morning ready for our Groundhog year re-do.
1
0
1
@DarelHeitkamp
Darel Heitkamp, MD
5 years
Regional Variations in Diagnostic Radiology Residency Stipends Are Accentuated When Correlated With Cost of Living Great article - thx to these authors for bringing this to light https://t.co/sTScaQdlIQ @marcoertreo @RowcroftMD @PeteOHalloranMD @JACRJournal #JACRVisualAbstract
0
5
12
@bird_facts_
Paid Extra to Yell
5 years
Pandemic Day 25: I made bread :) Day 95: I sure do miss my friends .... Day 310: The White House appears to be under the control of a shirtless man in a Viking helmet Day 330: Reddit’s coordinated attack on Wall Street is going as planned
508
90K
462K
@RowcroftMD
Dominique Rowcroft, MD
5 years
$GME has nothing to do with graduate medical education In case anyone else was confused.
0
0
3
@RowcroftMD
Dominique Rowcroft, MD
5 years
T5: Radiology education has become so much more accessible and seemingly at warp speed, it's truly impressive. I would love to see more Business of Radiology lectures! #SSRTweets #RadRes (but also I miss people)
0
1
8
@RowcroftMD
Dominique Rowcroft, MD
5 years
I'll add that two of my favorites are @ctisus and @PCHradiology
0
1
3
@RowcroftMD
Dominique Rowcroft, MD
5 years
T4: It was definitely tough to stay focused this past spring. I started following a lot of radiology accounts on instagram. Made me feel like I was doing something a little extra to learn each day and helped break up the Doom Scrolling. 🤪#SSRTweets #RadRes
1
1
7
@RowcroftMD
Dominique Rowcroft, MD
5 years
T3: In intern year I tried to read the whole report & look at the images for my patients. In R1, I spent extra time looking at prior images and their reports, helps you get a sense of just how many ways there are to phrase things! #SSRTweets #RadRes
1
1
16