JacobMPogson Profile Banner
Jacob Pogson Profile
Jacob Pogson

@JacobMPogson

Followers
353
Following
3K
Media
182
Statuses
2K

neuroscientist + vestibular audiologist | 🧠👂👁 | @SydneyLHD + @HopkinsNeuro @HopkinsMedicine @[email protected]

Sydney, AUS
Joined May 2008
Don't wanna be here? Send us removal request.
@DanielMannionMD
Daniel Mannion
3 years
@zach_london @UMICHNeuroRes To those who asked, the files, instructions and materials are available to make your own: https://t.co/Kx9816CAYs https://t.co/Nqj9JD5oJt or you can purchase one here https://t.co/Xs7OSyhH48 @docaustinlim @danielmorenoz @cvans @DrJeffRatliff @michaelcokane @DrKentris
1
1
11
@ALEscamez
Escamez Lab
2 years
🧬Research opportunity: We are offering 1 Honours project @Sydney_Uni @KollingINST @sydFMH_EMCR @Syd_IntStudents starting on S1 2024 to study rare variants in the coding regions of patients with Meniere disease and Tumarkin endotype. EoI✍️
0
4
9
@ALEscamez
Escamez Lab
3 years
🇦🇺New bioinfo postdoc research offer to study 🧬genomics & epigenomics of Meniere disease and tinnitus at Meniere disease Neuroscience Lab @Sydney_Uni @Sydney_DDI @KollingINST @north_fndn @genyo_pts @CanalUGR @BioInfoGRX Apply👉
1
10
14
@docranjana
Ranjana Srivastava
3 years
Why Australia must break the conspiracy of silence and restore hearing to the most vulnerable | Ranjana Srivastava | The Guardian
theguardian.com
It is time the government listened to the experts and reined in misleading providers
1
5
12
@RARohde
Dr. Robert Rohde
3 years
NCEP has placed Earth's average temperature yesterday as the hottest single day thus far measured by humans. This is driven by the combination of El Niño on top of global warming, and we may well see a few even warmer days over the next 6 weeks.
139
1K
2K
@ALEscamez
Escamez Lab
3 years
Join our team in Sydney -Competitive PhD scholarship @Sydney_Uni to study the genetic bases of Meniere Disease by genome sequencing @KollingINST @syd_health
2
5
13
@AcademicEmerMed
AEM Journal
3 years
The first of their kind #GRACE3 guidelines for acute management of #dizziness in the #ED have been published in #SAEM. Read the full guidelines at https://t.co/K0CI3TwHSk. @SAEMonline
0
2
12
@DiegoKaski
Diego kaski
3 years
Excited to share the following publication. An important message (we think!) about the evolution of signs in patients with acute vertigo:
Tweet card summary image
thelancet.com
In 1998, Hotson and Baloh1 detailed the acute vestibular syndrome (AVS), consisting of severe vertigo, nausea and vomiting, spontaneous nystagmus, and postural instability, caused by unilateral...
3
17
48
@ALEscamez
Escamez Lab
3 years
We are seeking a Postdoctoral Researcher to join Meniere disease Neuroscience lab to conduct bioinformatics analysis of human genetic data (WGS/WGBS/RNAseq) at our new lab @KollingINST @Sydney_Uni @syd_health @genyo_pts @ibsGRANADA More info
1
12
17
@JacobMPogson
Jacob Pogson
3 years
"Our vestibular system operates a bit like a stereo, with our left and right ears sending separate signals to our brain. They need to send precisely the same information for us to remain balanced." Great article!
@RichardGerraty
Richard Gerraty
3 years
Article on #Vertigo, interviewing two of our expert neurologists in Melbourne. Didn’t leave out Migraine, fortunately.
0
0
4
@JacobMPogson
Jacob Pogson
3 years
The best reason to publish your data with publications: for your future self in 5-years. At least you'll know where to find the canonical dataset!
0
0
0
@JacobMPogson
Jacob Pogson
3 years
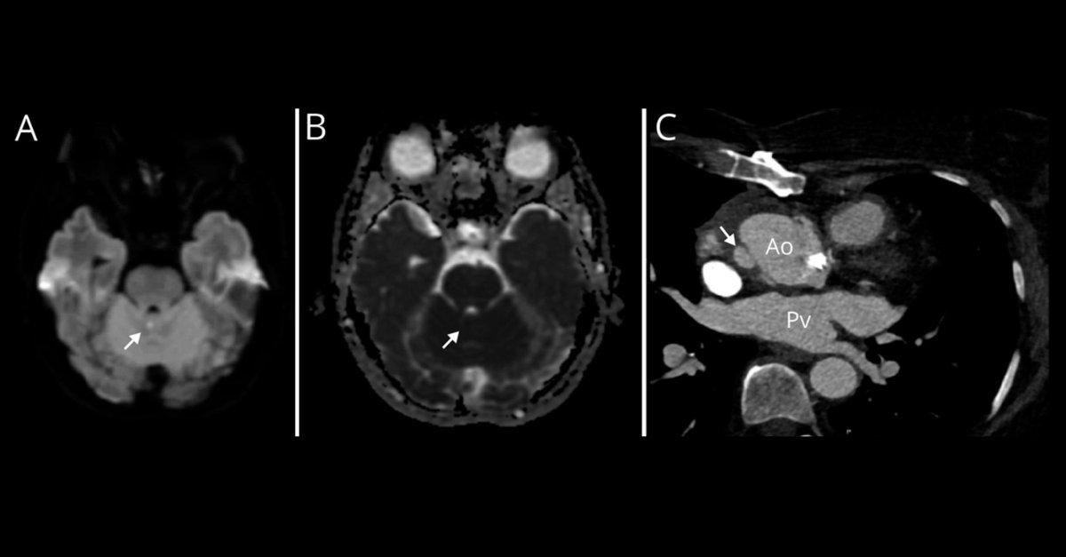
Lateropulsion: when the vestibular system cannot compute the correct directions of gravity and inertia
@GreenJournal
Neurology Journal
3 years
Teaching NeuroImage: Acute Onset Gait Instability and Lateropulsion Secondary to Cerebellar Vermis Stroke https://t.co/5TJbD5rC4t #NeuroTwitter #NeurologyRF
0
1
6
@JARO_News
@JARO_News
3 years
Outstanding histopathological endeavor to find that Otolith Membrane Herniation, not Semicircular Canal Duct Dilation impacts the caloric response in MD patients - check Shen et al. @JohnsHopkins https://t.co/oVnrLqmfCO
1
5
9
@JacobMPogson
Jacob Pogson
3 years
Your regular reminder than hearing loss is the #1 modifiable risk factor for cognition loss. Protect your hearing like you protect your seeing. If you can use use sunglasses in bright light, you can use ear plugs in loud places.
@AlisonHuangPhD
Alison Huang PhD
3 years
Thrilled to see this impactful study published today in @JAMA_current! Summed perfectly below by @NickSReed. #Hearingloss is associated with higher prevalence of #dementia in older adults in the @NHATS_NSOC dataset. Dementia prevalence is lower among hearing aid users.
1
5
11
@JacobMPogson
Jacob Pogson
3 years
Fluid mechanics show that reducing the SCC duct diameter disproportionately attenuates low velocity flow (like thermal stimulus) but not high velocity flow (like head impulse), thus cupula position deflection. See Rabbitt, et al. (1999) Figure 9 toadfish https://t.co/VBONtT3gWU
2
0
5
@JacobMPogson
Jacob Pogson
3 years
Histology from @hopkins_ent and @MassEyeAndEar found evidence that otolith membrane herniation is associated with decreased caloric responses in Ménière’s Disease, but no evidence of canal duct dilation. Lead by @LeoLShen & @WardensMD
2
10
45
@ContinuumAAN
Continuum: Lifelong Learning in Neurology
3 years
Bonus Key Point 1 from the article #Neurodegenerative Cerebellar #Ataxia by Dr. Liana S. Rosenthal, available to subscribers at https://t.co/3wipn9aV3J. #neurology #MedEd #NeuroTwitter
1
9
24
@GreenJournal
Neurology Journal
3 years
A 58 y/o woman presented to the clinic with 3 years of rapidly progressive gait dysfunction. She has a matrilineal family history of neurodegenerative diseases. Read more: https://t.co/nZPaDjo7BR #NeurologyRF
0
7
16
@JacobMPogson
Jacob Pogson
3 years
The real reason we have otoliths: dancing.
@blamlab
John W. Krakauer
3 years
Low frequency sound is processed via vibrotactile and vestibular (in addition to auditory) pathways, and stimulation of these non-auditory modalities in the context of music can increase ratings of groove (the pleasurable urge to move to music).
0
0
0