IvcFilterClinic Profile Banner
IVC Filter Clinic Profile
IVC Filter Clinic

@IvcFilterClinic

Followers
369
Following
154
Media
23
Statuses
60

Experienced interventional radiologists specializing in #IVCfilter retrieval | #filterOUT #iRad | Email Ivcfilterclinic@gmail for appointments & free info

Alabama, USA
Joined August 2016
Don't wanna be here? Send us removal request.
@AVIRnews
AVIR
9 years
1
3
8
@kmadass
Kumar Madassery
9 years
0
3
18
@saherssabri
Saher Sabri
9 years
Nice work @Hendricks_IR one of the best feelings when former fellows share their SAFARIs &BRTOs
1
2
11
@kmadass
Kumar Madassery
9 years
Filter Out Friday fun w/ @arslanmd @jtass6 @roshah31 5yr old embedded Venatech!! #laserlife #GTFO @rkryu @kush_r_desai @IvcFilterClinic
2
13
36
@LessneVIR
Mark Lessne, MD
9 years
@rkryu @IvcFilterClinic Oh boy, just got referral for "IVC clip removal". We'll take this one nice and slowly...
0
1
9
@mcbreamy
Peter Bream
9 years
0
4
15
@LessneVIR
Mark Lessne, MD
9 years
@IvcFilterClinic Can I have a reprint for my room? I'll put it next to my #DuranDuran poster.
1
1
6
@IvcFilterClinic
IVC Filter Clinic
9 years
0
10
18
@AbhiKumar47
Abhishek Kumar M.D.
9 years
When the loop fails to engage...Clover snare kit + 💪🏻 #filterOUT. #GTFO #irad @CookMedical @SIRRFS @Drshiloh @SDhandMD @amdevane
0
5
20
@IvcFilterClinic
IVC Filter Clinic
9 years
The FDA recommendations on IVC filter removal. Implanting physicians, primary care, & hematologists should consider removal if no acute DVT
0
5
11
@IvcFilterClinic
IVC Filter Clinic
9 years
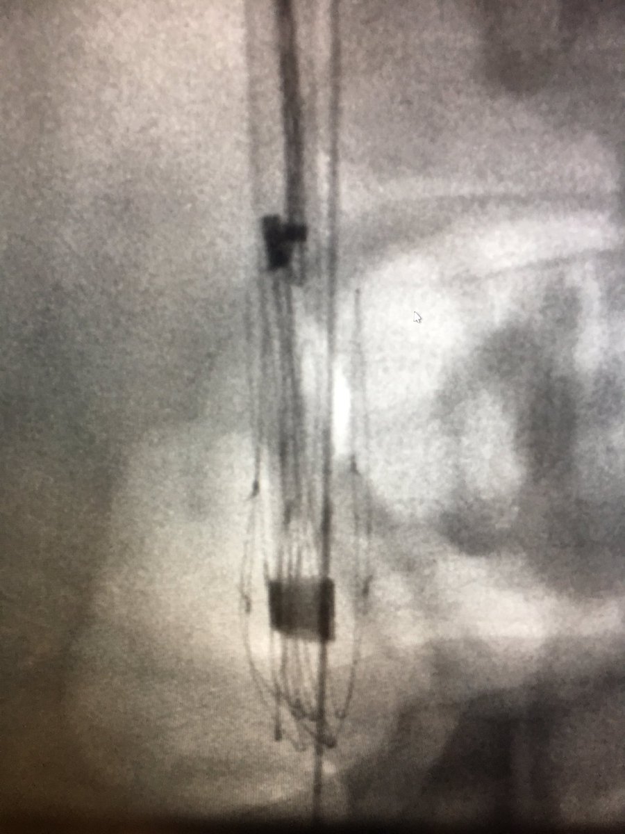
Scar tissue forms around the components of an #IVCfilter as seen here, reducing blood flow through the IVC. This increases rates of #DVT.
0
5
15
@IvcFilterClinic
IVC Filter Clinic
9 years
It was hard to say goodbye to this 4 year old filter with strut in the aorta | #iRad #radres #IRmusicvideos #FOAMed #Boyz2men #IRonc
1
6
17
@LukeWilkins_UVA
Luke Wilkins, MD, FSIR
9 years
New post on https://t.co/MbyOlM5VW3 by @CHICKVIR and Thomas An @VUMChealth on cryoneurolysis for #phantomlimbpain. @JVIRmedia #IRad #MIIPs
0
11
14
@IvcFilterClinic
IVC Filter Clinic
9 years
Have a (so called) permanent IVC filter? Many of these can be removed via a minimally invasive outpatient procedure
0
2
8
@IvcFilterClinic
IVC Filter Clinic
9 years
Have patients with questions about #IVCfilters? Check out https://t.co/qmzq5nmhFf for free patient resources #iRad #FilterOUT
0
5
7
@IvcFilterClinic
IVC Filter Clinic
9 years
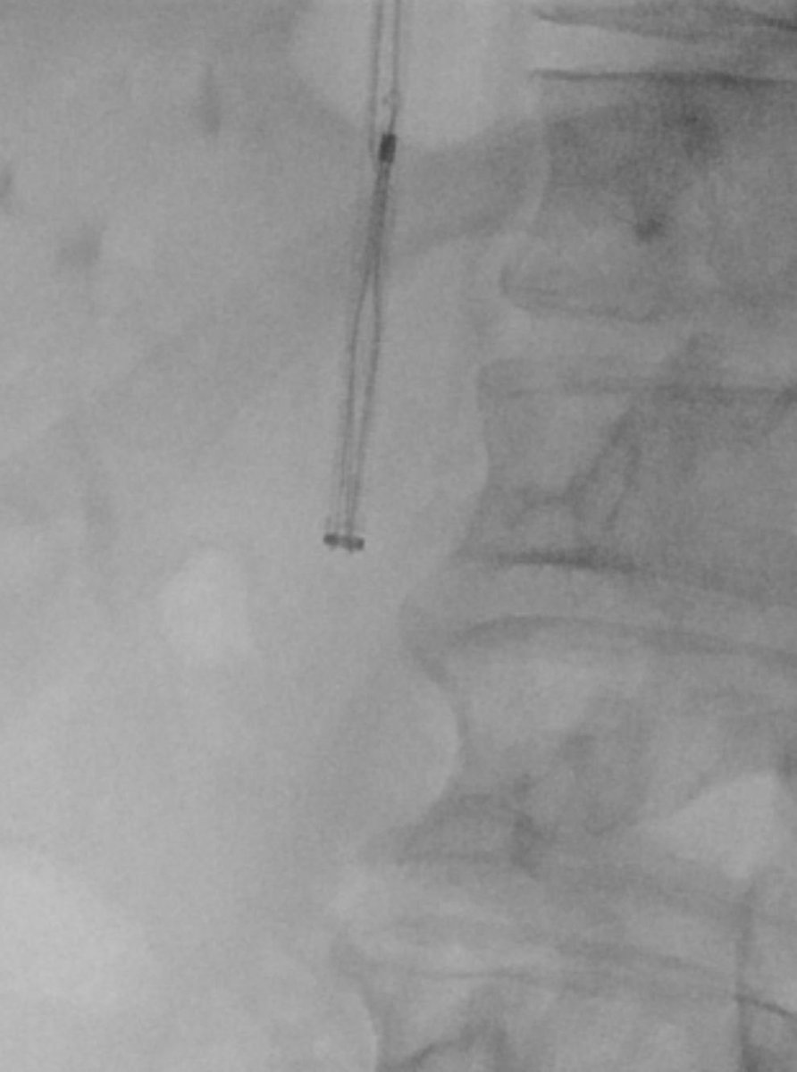
4year old tulip removed < 2mins fluoro time | #iRad #filterOUT #IRmusicvideos #JAWSthemesong #radres
0
8
22
@IvcFilterClinic
IVC Filter Clinic
9 years
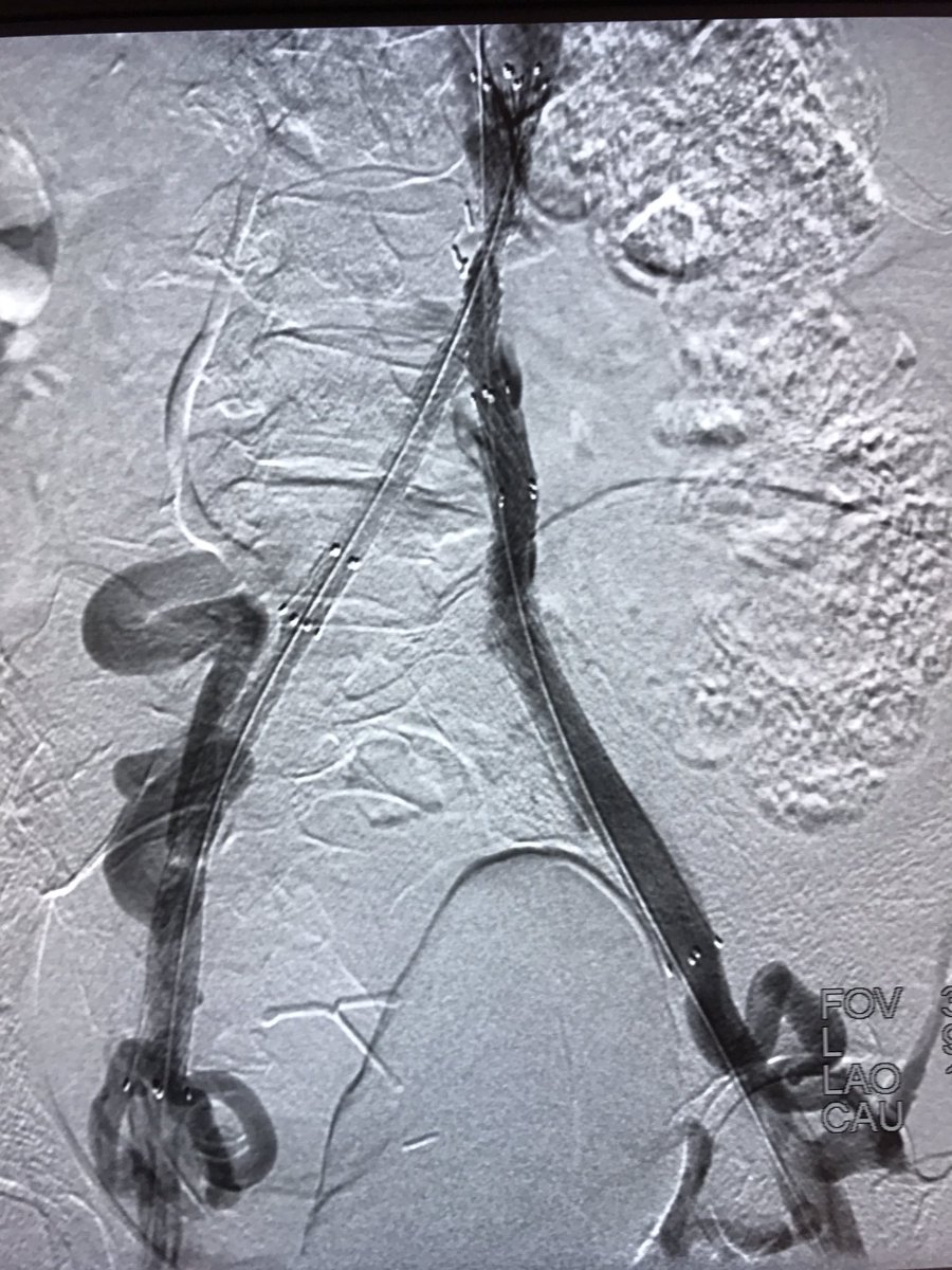
Went old school snare and sheath with this #filterOUT | #iRad #bonanzatheme #IRmusicvideos
1
4
7
@IvcFilterClinic
IVC Filter Clinic
9 years
4year old tulip removed < 2mins fluoro time | #iRad #filterOUT #IRmusicvideos #JAWSthemesong #radres
0
8
22