Explore tweets tagged as #IVCfilter
@AustinBourgeois
Austin Bourgeois
6 years
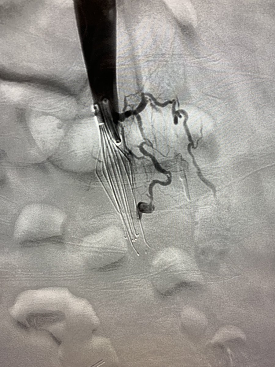
This #IVCfilter was placed after a #trauma in a patient with DVT. During removal, the apex was imbedded and removed with standard equipment using the “hangman” aka “loop sling” technique of flossing a glide wire through the apex #iRad
1
8
64
@AustinBourgeois
Austin Bourgeois
6 years
This patient presented with severe leg edema, iliocaval thrombus with 12 year old #IVCfilter. After a night of lysis a large vol of chronic appearing clot persisted. Was able to get most of it out with a few passes with the Inari T20 from popliteal access. #iRad
10
10
62
@JACCJournals
JACC Journals
8 years
5
54
69
@AustinBourgeois
Austin Bourgeois
7 years
3 month old #IVCfilter with iliocaval occlusion, bilateral leg edema. Crossed both CIV occlusion from below, forceps #Filterout with 18Fr sheath then 18mm wallstent iliocaval reconstruction. #WeCanRecan
10
16
78
@IR_Doctor
Peder E. Horner, MD Interventional Physician
6 years
Another long-dwelling #IVCFilter has been liberated into the afterlife. The broken secondary struts lacerated the standard sheath, and removal was easy after changing out for a 16 French Cook sheath. #GTFO #FilterOUT!
4
5
54
@DanielJafari
Daniel Jafari
6 years
#IVCfilter does not mean patient won't have pulmonary embolism. Second patient in one week with clots throughout their filter and extending into the Pulm vasculature. Be careful in dismissing warning signs of PE in its presence.
0
1
2
@IR_Doctor
Peder E. Horner, MD Interventional Physician
6 years
#filterout with a #clotout bonus procedure for a le olde HookClot. 16 French suction thrombectomy for the win. Only a tiny residual filling defect on the completion cavogram. Will continue on NOAC for another month. #iRad #IVCFilter
7
8
40
@IR_Doctor
Peder E. Horner, MD Interventional Physician
7 years
The rare #IVCFilter #Gunsight #Kyphoplasty technique. #iRad
1
0
9
@drduribi
د. ياسر الدريبي | Dr. Yasser Al-Duribi
4 years
My first IVC filter retrieval case #irad #ivcfilter #FilterOUT
4
2
42
@AustinBourgeois
Austin Bourgeois
6 years
8 week old #IVCfilter with some apical thrombus. Patient has been on Elliquis for 6 weeks. Would you just pull it? Mechanical thrombectomy? More AC and relook? Here it was pulled with an oversized sheath removing mostly chronic thrombus along with the filter #iRad #FilterOUT
5
7
51
@IR_Doctor
Peder E. Horner, MD Interventional Physician
5 years
Inspiring video #IVCFilter #FilterOUT #iRad
1
0
10
@IR_Doctor
Peder E. Horner, MD Interventional Physician
7 years
#iRad #ProTip: Curve those #IVCFilter retrieval sheaths to give you some directionality. Our awesome tech Sarah has prepped our @CookMedical retrieval set to what's known around here as the "Horner Curve." #FilterOUT #GTFO #minimallyinvasive #DVT #pulmonaryembolism #radres
2
4
29
@ZJBD_MD
Zach Blegen-DiPietro, MD
6 years
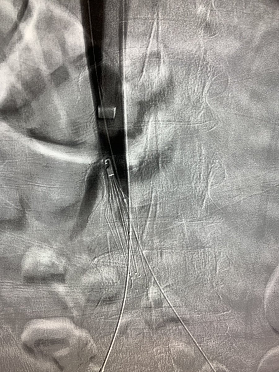
Gunther tulip IVC filter retrieved with vena cava filter retrieval set #Filterout #IVCfilter #GTFO #IRad #IamIR
0
1
10
@ShariqShamimMD
Shariq Shamim
7 years
#LeaveNoFilters #IVCfilter Quick outpatient procedure saves patients from trouble in future. Take it out when indication over. #ACCFIT #Cardiotwitter @adityadoc1 @DrAnkitKPatel @Selkrish98 @Babar_Basir @SGuptaMD @heartdoc45 @AnkurKalraMD @SDRoyMD @MohamedOmerMD @UditBBhatnagar
1
11
25
@IR_Doctor
Peder E. Horner, MD Interventional Physician
6 years
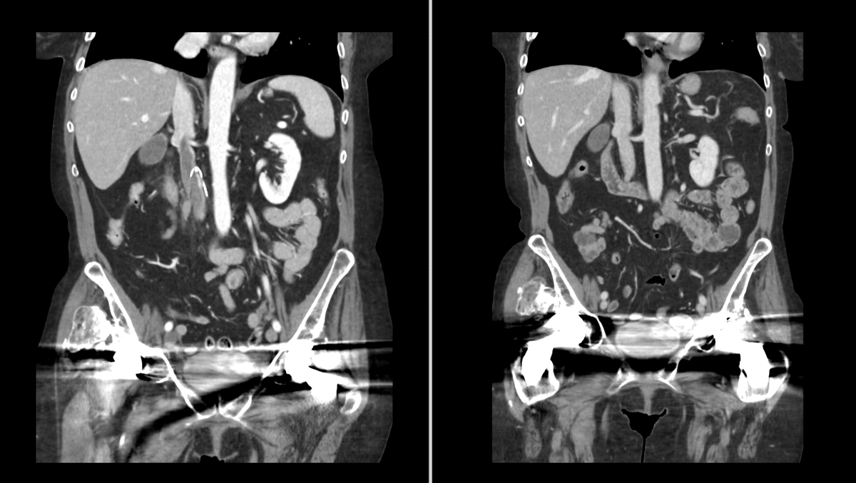
Friendly reminder to get that #IVCFilter out when no longer needed. This patient had acute thrombosis of her IVC and right iliac veins 2.5 years after placement. Clean as a whistle after @BostonPIMedEd #AngioJet thrombectomy and tPA Thrombolysis w #FilterOut. 2 year f/u CT #iRad
1
3
25
@BruceTjadenMD
Bruce Tjaden MD
6 years
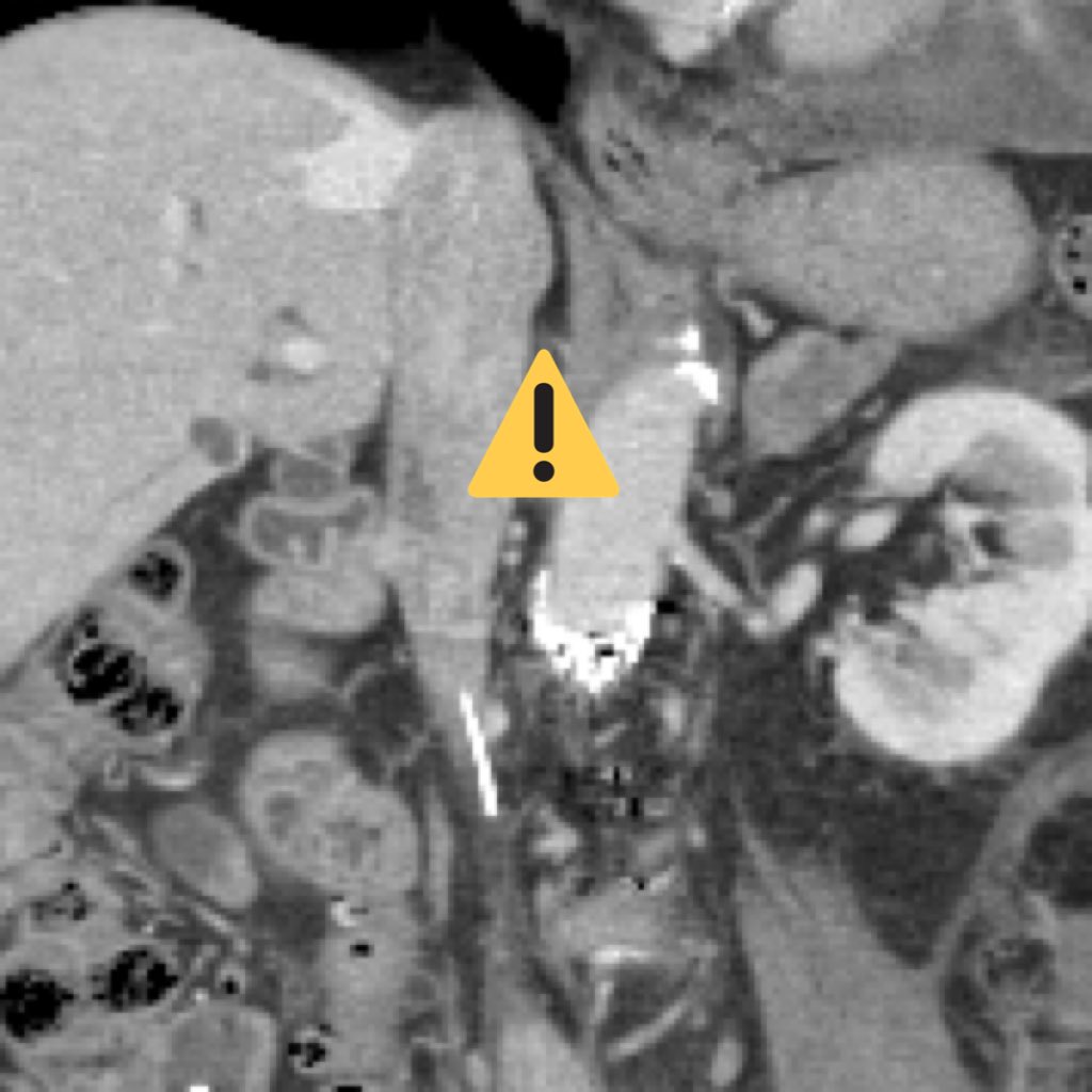
Young patient (30’s) w/ small PE & #symptomatic #subacute #iliocaval #DVT extending above #IVCFilter. #Inari #ClotTriever #Thrombectomy
0
6
40
@IR_Doctor
Peder E. Horner, MD Interventional Physician
7 years
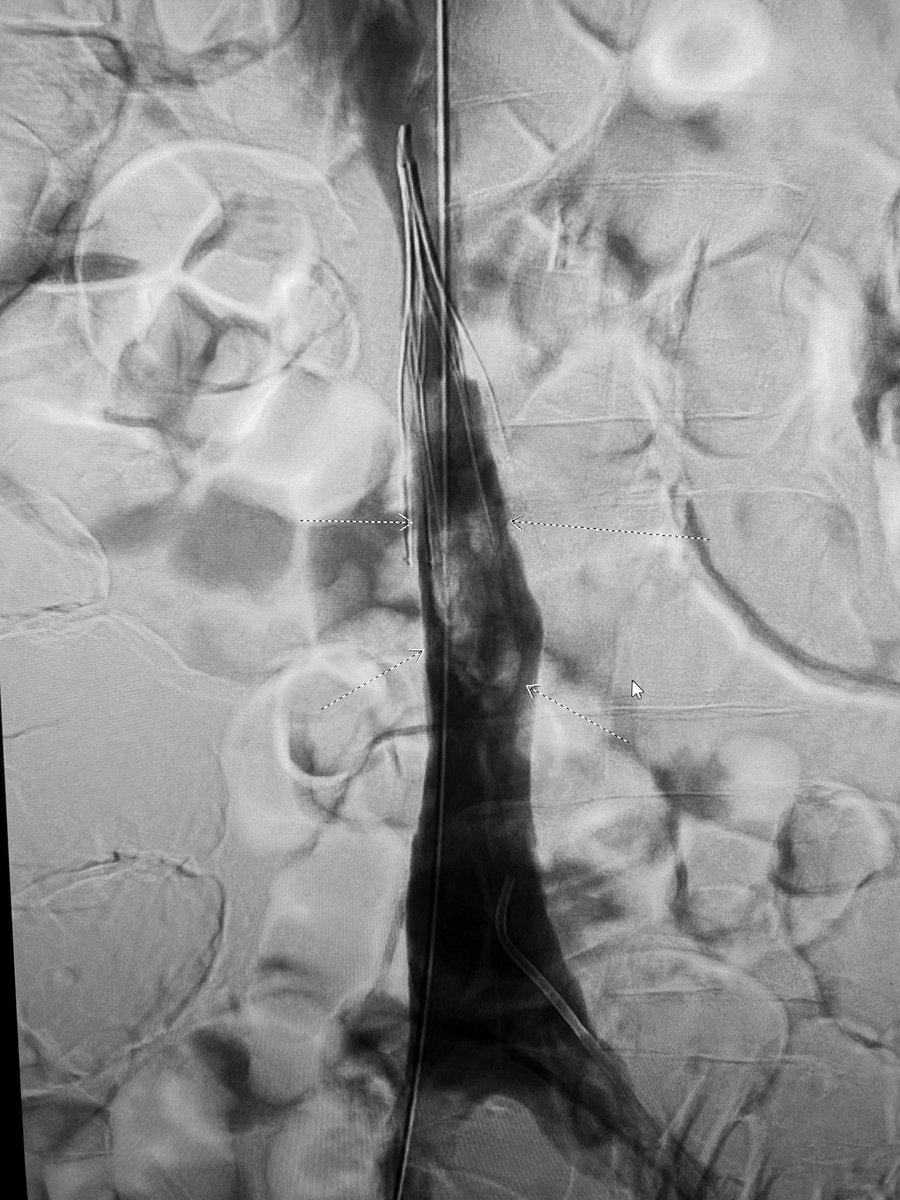
Forceps delivery of a tilted and embedded Argon Option Elite #IVCFilter. The key move here was using the forceps to free the filter apical tissue cap from the caval wall and some serious 🖐🏼 strength! #iRad #FilterOUT #FilterFriday
4
2
23
@shamitsdesai
Shamit Desai MD
7 years
Make sure you check any availabile cross sectional imaging or confirm a conventional left iliac vein before placing #ivcfilter .
2
0
24