Helene Retrouvey
@HeleneRetrouvey
Followers
643
Following
917
Media
0
Statuses
100
Plastic Surgeon @McMasterSurgery | Hand and Upper Extremity Specialist @CUOrtho | Board Certified Plastic Surgeon @uoftprs | PhD @ihpmeuoft
Hamilton, Ontario
Joined April 2016
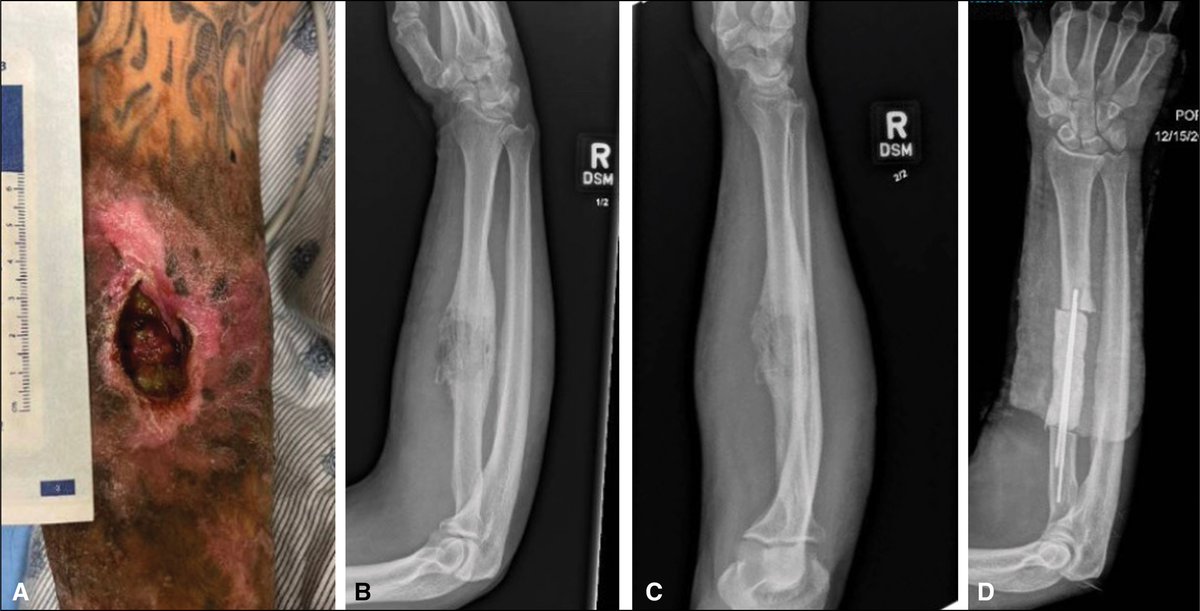
Exploring the latest research: Management of Xylazine-Induced Soft Tissue Necrosis β A Review of 20 cases https://t.co/UnmmT9Cs0y
@HeleneRetrouvey
0
1
3
Happy to share our study on psychosocial outcomes after #breastcancer surgery @pmcancercentre presented @SocSurgOnc now out in @AnnSurgOncol: https://t.co/mfdD5wVLqr
@HeleneRetrouvey @DrToniZhong @sophofer @tdcil @WCRInstitute @WCHospital @uhn @UofTGSx
https://t.co/LEFf6sqIB1
1
4
23
Thank you again @SocSurgOnc for the opportunity to present our research in the #breast forum at #SSO2021 π @WCRInstitute @WCHospital @UHN_BRP and S/O to my coauthors @HeleneRetrouvey @sophofer @DrToniZhong @tdcil + others not on #SoMe4Surgery
Dr. David Lim discussed their study of PROs after breast surgery & particularly w/ regard to CPM. Important to talk to patients about these studies but to some degree may be self-selection bias. Also congrats on winning the traveling fellowship for this abstract! #SSO2021
1
4
14
Read the latest issue of the @KrembilRI @UHN newsletter to learn about new research into spinal cord injuries, our newly launched Vision Magazine and how Krembil scientists are inspiring a new generation of #STEM advocates >> https://t.co/HRKjFeKgsO
@UHN_Research
1
12
26
With multiple #surgery options available for wrist #arthritis, picking the best one isnβt easy. Dr. Heather Baltzer @UHN @KrembilRI has led a new research study that will help surgeons make informed decisions >> https://t.co/DepMwccZNY;
https://t.co/iq9PHjLvKs
0
7
29
@UofTPGME #Leadership Certificate Program tonite featured ultimate role models in #leadership discussing #engagingothers. Thx @epdevilla @SteinJanice @DrMichaelGardam for sharing your wisdom and expertise. @LBahrey_AnesPD @HeleneRetrouvey @GlenBandiera
0
3
4
Amplify women scientists! Thank you @kat_howe ! @k_golnaz @Dr_Amy @Dr_Kristen @DrToniZhong @tdcil @arghavan_salles @alilyroberts @KWongRiffMD @HeleneRetrouvey
0
1
10
1/4 Excited to share this new paper led by @HeleneRetrouvey that compares the impact of quant and qual studies in BMJ with @DrToniZhong @enenbee and Anna Gagliardi. "In 2016, the BMJ developed a policy of rejecting qualitative articles" https://t.co/YDxfT5Sr4r
bmjopen.bmj.com
Objectives In comparison to quantitative research, the impact of qualitative articles in the medical literature has been questioned by the BMJ; to explore this, we compared the impact of quantitative...
6
39
80
Join @annematlow, Lisa Bahrey & @HeleneRetrouvey as they discuss experiences at @UofTPGME in 'Development & Evaluation of the University of Torontoβs Longitudinal PGME Leadership Certificate Program' @ #TISLEP2020, @sanokondu's annual healthcare #LeadershipDevelopment summit
1
5
3
#TISLEP2020 Learner Session: Finding your WHY-Pathways to leadership, mentorship & career development. Sept 23,13:00-14:30 ET facilitated by students, residents & faculty including Kyle Goldberger, Enrico Rullo, @HeleneRetrouvey, Isser Dubinsky, @drddath & @dimeschino 1/2
2
3
5
@DrAoifeMolloy @rebecca_rohrer @Dr_VGandhi @durgasiva9 @shivalifulchand @tweetasoni @NJCallender @sarscah @gawareing @AmyDehnLunn @a_c_harvey @AnnettBlochber1 @annastilwell10 @GeeMcLachlan @finegoulden @doctorpreneur @hann_gayle @cosgretton @Peipeimeow @hibasaleem @AdalinaSacco @ejparish @krsmalley @AlexisHutson1 @LeighAKendall @carriemacewen @kateadlington @Beth_Clift @SMHopkins @AnnaStarling Thanks for including me as we amplify voices of 10 (at least) women in medicine/health & keep list going. Today adding @CatchTheBaby @ruthmhabte @kristyshines @jesstrier @DrTrishHenwood @FiMoss @HeleneRetrouvey @PiaNitsche @MDiBartoloMD @XC_TongMD #MedEd #HPE
2
2
11
Congratulations to the NEW members of this quarter's #PRSJournal and #PRSGlobalOpen Resident Advisory Board! We are excited to work with such a broad and diverse group of plastic surgery residents! Learn more and sign up to get involved: https://t.co/VXLRW5mEk6
2
13
32
There's a massive outpouring of support for healthcare workers going on in Toronto right now π¨ #Toronto #ourcommunityTO
302
742
4K
2/2 First up, Dr. Gregory Borschel @dr_borschel, PSRC Chair, @UofTPRS & @SickKidsNews shared his team's initiative on #N95 masks sterilization? hosted by #PSRCTechCom member @HeleneRetrouvey & Dr. Tomas Saun. #InItTogether #PPE #COVID19 #redeployment #plasticsurgery
0
4
11
1/2 During these unprecedented times, many of us have been called upon to stretch our skills as surgeons & scientists. Over the next 2 months, the #PSRCTechCom will be featuring PSRC members in stories of #redeployment in the #COVID19 fight. #InItTogether #Allin #plasticsurgery
0
6
13
PSRC in the #COVID19 fight! #PSRCTechCom member @HeleneRetrouvey & @tom_esson interview Dr. Greg Borschel @dr_borschel on his work @uoftprs @sickkidstoronto supporting frontline healthcare workers. Full interview headed your way, stay tuned!! #PPE #plasticsurgery #PSRC2021
0
3
8
Our February @prsjournal #PSRCBestPaper is #EvidenceBased Performance Measures for Autologous #BreastReconstruction by @drbernardlee & @ASPS_News workgroup, hosted by #PSRCTechCom members @HeleneRetrouvey & @DrSummerHanson Read it for free: https://t.co/uLQN9i7ZHj
0
12
28
Thank you @DrSummerHanson Amplify the voices of π women and keep it going. @DeanaMD @LS_Humphries @ErikaDSears @LeeSquitieriMD @HeleneRetrouvey @paigelmyers @GinaFariasMD @CarrieKubiak_MD @Thuchan @CRogersVizena
#researchiscoolπ
Thank you @6state Amplify the voices of π women and keep it going. @DrCarrieChu @drheatherfurnas @DrAliSW @AmandaKSilvaMD @KellyKhunt @drmediget @AbigailCaudleMD @drjustineleemd @AngelaChengMD @MRoubaudMD
0
2
7
Every flower blooms in its own time And at its own pace. Ken Petti π¬ Adam Hayes
80
1K
5K